病因
肺不張病根據累及的範圍肺不張可分為段、小葉葉或整個肺的不張,亦可根據其發生機制分為阻塞性(吸收性)和非阻塞性,後者包括粘連性被動性、壓迫性、瘢痕性和墜積性肺不張。大多數肺不張由葉或段的支氣管內源性或外源性的阻塞所致阻塞遠端的肺段或肺葉內的氣體吸收使肺組織皺縮,在胸片上表現為不透光區域一般無支氣管空氣征,又稱吸收性肺不張。若為多發性或周邊的阻塞可出現支氣管空氣征非阻塞性肺不張通常由瘢痕或粘連所致,表現為肺容量的下降多有透光度降低,一般有支氣管空氣征。瘢痕性(攣縮性)肺不張來自慢性炎症,常伴有肺實質不同程度的纖維化此種肺不張通常繼發於支氣管擴張、結核、真菌感染或機化性肺炎
粘連性肺不張有周圍氣道與肺泡的塌陷,可為瀰漫性(如透明膜病)多灶性(如手術後以及膈肌運動障礙所致的微小肺不張與亞段肺不張)或葉、段肺不張如肺栓塞,其機制尚未完全明確,可能與缺乏表面活性物質有關。
壓迫性肺不張系因肺組織受鄰近的擴張性病變的推壓所致,如腫瘤、肺氣囊、肺大泡,而鬆弛性(被動性)肺不張由胸腔內積氣、積液所致常表現為圓形肺不張。盤狀肺不張較為少見,其發生與橫膈運動減弱(常見於腹腔積液時)或呼吸動度減弱有關。
1.支氣管阻塞(bronchial obstruction) 葉、段支氣管部分或完全性阻塞可引起多种放射學改變其中之一為肺不張。阻塞的後果與阻塞的程度、病變的可變性、是否有側支氣體交通等因素有關引起阻塞的病變可在管腔內、外或管壁內(表1) 。
當氣道發生阻塞後,受累部分肺組織中的血管床開始吸收空氣使肺泡逐漸萎陷。在既往健康的肺臟,阻塞後24h空氣將完全吸收。因為氧氣的彌散速率遠遠高於氮氣,吸入100%純氧的患者在阻塞後1h即可發生肺不張。空氣吸收使胸腔內負壓增高,促使毛細血管滲漏,液體瀦留於不張肺的間質與肺泡中,此種情況類似“淹溺肺”。但支氣管的阻塞並非一定引起肺不張如果肺葉或肺段之間存在良好的氣體交通,阻塞遠端的肺組織可以保持正常的通氣,甚至可以發生過度膨脹。
臨床上黏液性或黏液膿性痰栓引起的支氣管阻塞和隨後的肺葉、段或全肺不張較為常見。痰栓多位於中央氣道,形成均一的肺葉段透光度降低可有或沒有支氣管空氣征。如果周圍氣道有痰栓存在則無氣體的肺實質可顯露出中央氣道的支氣管空氣征。手術後肺不張是最常見的阻塞性肺不張,大手術後的發生率約5%。這類患者通常有慢性支氣管炎、重度吸菸或手術前呼吸道感染的病史。其他易患因素包括麻醉時間過長、上腹部手術、術中和術後氣道清潔較差,以及黏液纖毛系統清除功能受損。此種患者多在術後24~48h出現發熱、心動過速與呼吸急促咳嗽有痰聲但咳嗽無力,受累區域叩呈濁音,呼吸音降低。纖維支氣管鏡檢查常可見相應支氣管有散在的黏液栓。患者常繼發感染若在支氣管完全堵塞之前發生感染,則可因肺實變而不致形成完全性的肺不張偶在神經疾患時由於呼吸肌無力或昏迷狀態形成黏液栓而致肺不張。此時咳嗽無力是主要因素,而呼吸道感染常為易患因素。慢性化膿性支氣管炎患者偶可因黏稠的分泌物形成栓子而發生肺不張
胸壁疾病所致肺不張常發生於受累側的下肺。多根肋骨骨折形成連枷胸可顯著影響同側肺清除分泌物的能力而單根骨折若錯位明顯,同樣可因疼痛而抑制呼吸造成肺不張特別見於分泌物較多的慢性支氣管炎患者。胸部外傷引起肺不張的其他原因還包括支氣管內的血凝塊堵塞或支氣管裂傷
支氣管哮喘患者急性發作時細支氣管可形成活瓣樣阻塞導致廣泛的雙側肺過度膨脹,但偶爾黏稠的黏液栓亦可引起段或葉的不張。此種情況多見於兒童。一般通過抗哮喘治療即可奏效,但有時可能需要緊急的支氣管鏡吸出痰栓。成年哮喘患者若發生肺不張,常提示有變應性支氣管肺麴黴菌病所致黏液嵌塞的可能性。黏液黏稠病(胰囊性纖維變性)的晚期亦可因黏液栓引起肺不張。
2.異物吸入(aspiration of foreign bodies) 異物吸入主要見於嬰幼兒,常見吸入物為花生、瓜子、糖果、魚刺筆帽等等,偶見於戴義齒或昏迷、遲鈍的老年人。工作時習慣將小零件、小工具含在口中亦可吸入。面部創傷,特別是車禍傷,亦可吸入碎牙。
兒童吸入異物常有明確的吸入史。吸入當時有突發的嗆咳或說話時咳嗽,隨後有數分鐘到數月的無症狀期。此後患兒有慢性咳嗽、氣緊,常可聞及喘息或喘鳴,可咳膿痰。有機性異物可迅速產生嚴重的咽-氣管-支氣管炎有發熱與中毒症狀。由於醫生未能想到吸入的可能,或所提的問題不當,常常不能蒐集到異物吸入的病史,如果無症狀間隙期太長,更不易將症狀與吸入史聯繫起來。
體格檢查所見與阻塞的程度有關,也取決於異物是固定的還是活動的異物形成部分開啟的活瓣時可聞及喘鳴但很少有其他異常發現。由於患側過度充氣,氣管和心尖可向健側移位,受累區域呈過清音,呼吸音降低,可聞及吸氣性或呼氣性喘鳴如有肺不張或阻塞性肺炎,氣管和心尖衝動可向患側移位此時患側胸廓變小,語顫降低,吸氣時肋間隙內陷,叩診呈濁音,觸覺語顫降低,呼吸音降低或消失。受累肺可有吸氣性濕囉音。通過查體分辨肺不張、阻塞性肺炎還是胸腔積液常常比較困難。
胸片有相當大的診斷價值,如果異物不透X線,胸片即可明確診斷並定位。若為透過X線異物,則平片上的阻塞性病變或其他的放射學改變亦可提示異物所在。支氣管內活瓣性病變所致的阻塞性肺過度充氣是最常見的放射學改變。整葉的不張一般由完全性阻塞所致,但並不常見如果阻塞部位在主支氣管,整側肺均可塌陷依據阻塞的程度,可表現為復發性肺炎、支氣管擴張或少見的肺膿腫CT檢查對明確異物的存在及其性質和部位價值更大
如果臨床上初步考慮為支氣管內異物,應通過支氣管鏡檢查證實,通過支氣管鏡檢常常也能達到治療的目的。大多數異物在鏡下可以看到,某些植物性異物由於引起明顯的炎症反應,可隱藏於水腫的黏膜下而不易發現。
3.腫瘤性支氣管狹窄(neoplastic bronchiostenosis) 肺不張和阻塞性肺炎是中央型支氣管肺癌最常見的放射學徵象。同時也有相當數量的肺不張由支氣管肺癌引起。完全性支氣管阻塞主要見於鱗癌和大細胞未分化癌,而腺癌和小細胞癌較為少見典型的患者為中老年男性,有多年重度吸菸史,常有呼吸道症狀如咳嗽、咯血、咳痰、胸痛和氣短。胸片可見肺門增大,縱隔增寬。在某些病例腫瘤體積較大,形成“S”征。支氣管抽吸物或刷片做細胞學檢查或支氣管活檢對於明確腫瘤所致的肺不張有極高的診斷價值,然而上葉不張由於纖支鏡操作的不便常不易窺見。
支氣管肺癌經皮肺穿刺或縱隔鏡檢查亦可得到陽性結果,特別是有肺門增大或鎖骨上淋巴結腫大時,後者還可直接活檢。
肺內轉移性腫瘤偶亦侵及支氣管使其阻塞。支氣管鏡檢常有陽性發現,痰細胞學檢查可發現腫瘤細胞,但不易與支氣管肺癌鑑別診斷。腎上腺樣瘤為支氣管內轉移的常見原因。腫瘤轉移時亦可因腫大的淋巴結壓迫支氣管而致肺不張。
支氣管腺瘤惡性程度相對較低,主要來自支氣管黏液腺。90%的支氣管腺瘤為類癌,細胞來源似乎為嗜銀細胞而非起源於腺體。黏液腺腫瘤包括柱狀瘤(腺樣囊性癌),黏液表皮腺瘤和混合性腫瘤。柱狀瘤生長緩慢,但為支氣管腺瘤中惡性程度最高者,切除後極易復發。
支氣管腺瘤患者中男性與女性發病率相近主要見於50歲以下人群,85%的病例有症狀,如咳嗽、咯血、疼痛反覆發熱以及喘息。75%的病例胸片上有氣道阻塞的證據一般為肺不張、阻塞性肺氣腫和阻塞性肺炎。支氣管腺瘤常常較大部分位於支氣管外,故在胸片上可見鄰近肺門的中等大小的不透光陰影伴遠端肺不張。肺臟廣泛受累時有肺不張的體徵。大多數腺瘤起源於較大的主支氣管,故易在纖支鏡下窺見腫瘤並取活檢。
通常腺瘤表面的支氣管黏膜保持完整,纖支鏡下活檢偶可引起大量出血。細胞學檢查或支氣管沖洗常無陽性發現。淋巴瘤亦可引起支氣管阻塞和肺不張。Hodgkin病可在支氣管內浸潤引起肺不張,同時常伴有其他部位的病變如縱隔淋巴結腫大、空洞形成肺內結節或粗糙的瀰漫性網狀浸潤。通過纖支鏡活檢、沖洗或痰的細胞學檢查常可作出診斷腫大的淋巴結壓迫所致肺不張極為罕見。一些非Hodgkin淋巴瘤亦可引起肺不張,一般見於疾病的晚期,也可通過支氣管鏡檢得以診斷。
良性支氣管腫瘤比較少見。約有10%的畸胎瘤表現為孤立性支氣管內腫瘤,除非引起阻塞性肺不張或阻塞性肺炎,一般無臨床症狀。其他支氣管內良性腫瘤如平滑肌瘤、纖維瘤、神經鞘瘤、軟骨瘤、血管瘤、脂肪瘤等也可引起阻塞性肺不張支氣管內乳頭狀瘤主要見於兒童,常為多發,通常合併有復發性咽部乳頭狀瘤病,可引起咳嗽、咯血喘息肺泡細胞癌一般不會引起支氣管阻塞。
4.非腫瘤性支氣管狹窄(non-neoplastic bronchiostenosis) 支氣管結核是引起良性支氣管狹窄的最主要的原因。大多數病例肺不張發生於纖維空洞型肺結核,由結核性肉芽組織及潰瘍引起狹窄,病變癒合期也可出現纖維性狹窄。在原發性肺結核,支氣管阻塞和肺不張主要由腫大的淋巴結在管外壓迫所致。結核性支氣管狹窄的X線徵象為迅速長大的薄壁空洞,伴有肺不張或支氣管擴張。支氣管鏡檢查及痰培養可以明確診斷。有時僅從纖支鏡下所見即可明確狹窄的性質為結核性結核性肺不張還可由肺實質的瘢痕所致。肺真菌病以及支氣管內異物未及時處理時亦可引起支氣管狹窄。
非特異性局限性支氣管炎為局限於肺葉或肺段開口處的炎症,嚴重的炎症和肉芽腫形成可阻塞支氣管。這種少見疾病只能通過排除腫瘤、異物、特異性感染後作出診斷,有時需要開胸活檢。大多數慢性炎症所致的支氣管狹窄其原發病因不明,有時可能是由於管腔外的壓迫所致。Wegener肉芽腫也可引起支氣管狹窄和肺不張。支氣管鏡下活檢通常不易明確診斷。
如果在外傷後未及時進行手術修復,大的支氣管斷裂可引起支氣管狹窄和肺不張。肺不張可發生於急性損傷期,但多見於急性期後4~6周,其發生常不可預料急性期通常表現為第1~3根肋骨單支或多支骨折,氣胸縱隔氣腫和皮下氣腫。最常見的原因是交通意外的頓挫傷。
支氣管內結節病較少引起肺不張,但常可見到其他的放射學改變如肺門增大肺內瀰漫性網狀影、結節影等纖支鏡檢查常可以作出診斷。
5.支氣管結石(broncholithiasis) 支氣管結石較為少見,系由支氣管周圍的鈣化淋巴結穿破支氣管壁形成,常見的病因為肺結核和組織胞漿菌病臨床症狀有咳嗽咯血與胸痛。咳出沙粒狀物或鈣化物質的病史極有診斷價值。如為不完全阻塞,可聞及喘鳴,而完全性阻塞則引起阻塞性肺炎和肺不張。造成阻塞的主要原因為圍繞突出管腔的結石形成大量的肉芽腫組織。典型的胸片表現為肺不張與近端的多數鈣化影。斷層攝片和CT對於明確結石的存在及評價結石與支氣管壁的關係甚有價值75%的病例支氣管鏡檢查可以明確診斷,若肉芽組織完全覆蓋結石則不易見到結石,這些病例只能由開胸活檢明確診斷。
6.黏液嵌塞(mucous impaction) 支氣管分泌物濃縮可形成半固體或固體狀的黏液嵌塞,此時由於側支氣體交通遠端的肺泡尚有氣體充盈。出現肺不張後黏液嵌塞的特徵性放射學徵象變得不明顯,如單個或多個結節影,“手指樣”“葡萄串”或“牙膏樣”等改變。臨床體徵有哮喘、外周血和痰中嗜酸性粒細胞增多,實驗室檢查常可發現變應性麴黴菌病的證據。黏液嵌塞偶亦發生於沒有麴黴菌病的哮喘患者或發生於囊性纖維化和支氣管擴張患者。
支氣管內阻塞性病變(如腫瘤)遠端的黏液嵌塞亦可出現上述X線徵象。如果有氣體通過阻塞處或有側支通氣則不出現遠端肺的萎陷。
7.醫源性肺不張(iatrogenic atelectasis) 機械通氣時帶氣囊的導管移位可迅速引起整側肺的塌陷,多見於氣囊導管超過隆突進入右側主支氣管,使左肺完全沒有通氣。聽診時受累肺沒有呼吸音可立即確定診斷,故在更換導管後應定期進行胸部聽診。冠狀動脈搭橋術後患者常出現左下肺不張,主要的原因是由於手術時局部使用冰塊致冷,從而引起左膈神經麻痹。
8.外源性壓迫所致支氣管堵塞(bronchial obstruction due to extrinsic pressure) 鄰近結構異常壓迫支氣管也可引起肺不張,如動脈瘤、心腔擴大(特別是左房)、肺門淋巴結腫大縱隔腫瘤、纖維化性縱隔炎、囊腫及肺的惡性腫瘤。外源性壓迫最常見為支氣管周圍腫大的淋巴結,其中右側中葉最常受累。引起淋巴結腫大的疾病主要為結核,其次為真菌感染、淋巴瘤、轉移性腫瘤。
普通胸片可見與肺不張同時存在的肺門腫大與血管異常,從而提示外源性壓迫的可能性。胸部斷層攝影和CT可進一步明確診斷。纖支鏡下在阻塞部位作黏膜活檢有時可獲得原發疾病的組織學資料,但在活檢前必須排除動脈瘤。受壓的支氣管可能存在非特異性的炎症。
類癌的淋巴結腫大罕有壓迫支氣管,而淋巴瘤和轉移性腫瘤亦極少引起肺門淋巴結腫大此種情況下的肺不張通常由支氣管內的直接侵犯而非外源性壓迫所致。外源性包塊跨壁性壓迫兒童多於成人。
9.中葉綜合徵(middle lobe syndrome) 右中葉特別易於發生慢性或復發性感染以及肺不張。中葉綜合徵原指淋巴結腫大壓迫支氣管所致的中葉不張。中葉支氣管易於受累與其解剖特點有關特別是中葉支氣管較為細長,與淋巴結更為接近。另一原因是中葉與其他肺葉完全隔絕缺乏側支通氣。
目前中葉綜合徵含義更為廣泛,用於描述各種原因引起的中葉的慢性或反覆的炎症,包括支氣管肺癌(20%~40%)、良性腫瘤、其他類型的支氣管狹窄(包括支氣管結石)、外源性壓迫、支氣管擴張、慢性感染,等等。最常見的原因為非特異性感染,而此種肺不張多為非阻塞性的。
10.非阻塞性肺不張(non-obstructive atelectasis) 偶可見葉支氣管並無阻塞而有肺葉容量的減少。此種肺不張多繼發於周圍小的支氣管和細支氣管由於黏液栓或炎性腫脹所致的阻塞。胸片上可見實變的或塌陷的肺葉內有支氣管空氣征,表明主支氣管仍然通暢。此種現象亦可見於細菌性肺炎病毒性肺炎、支氣管哮喘和黏液過稠症。支氣管鏡檢查和支氣管造影可見不張的肺葉中葉支氣管通暢,而周圍細支氣管和肺泡不能充盈造影劑。嚴格地講上述情況並不屬於“非阻塞性”肺不張。另外還可見阻塞的支氣管發生擴張。若基礎疾病緩解,肺可以重新復張,擴張的支氣管也可恢復正常大小(可恢復性支氣管擴張)。若黏液栓不能清除,則可能引起永久性的瘢痕性肺不張。大多數瘢痕性肺不張繼發於慢性炎症過程,如結核、真菌感染、矽肺、煤塵肺石棉肺、支氣管擴張、礦物油肉芽腫和慢性非特異性肺炎(機化性肺炎),慢性炎症伴有明顯的纖維化,可引起受累肺葉的皺縮和容量減少此種情況下肺容量的減少較其他類型的肺不張更為嚴重。硬皮病和其他結締組織疾病亦可引起肺內的纖維化和瘢痕性肺不張。
粘連性肺不張是由於表面活性物質不足而致肺容量減少表面活性物質產生不足或活性下降見於透明膜病、急性呼吸窘迫綜合徵、尿毒症、呼吸過於淺慢、心臟搭橋手術後、放射性肺炎、重度吸菸以及中毒性肺炎。這也是肺栓塞時發生亞段(盤狀、碟狀)肺不張的機制。不完全性栓塞可在胸片上很快消失,表明並未發生組織的壞死繼發於肺血栓的完全性或不完全性肺栓塞與阻塞性肺不張有相似之處:①肺容量減少,常見患側膈肌抬高;②不透光陰影呈段-葉分布,常為三角形,基底朝向胸膜,尖端指向肺門;③一般缺乏支氣管空氣征;④常可在其他部位發現亞段(碟狀)肺不張;⑤常發生於手術以後
提示肺栓塞而非阻塞性肺不張的影像學特徵有:①病灶仍有一定的透光;②出現Hampton駝峰;③肺血減少;④肺門血管增大。肺栓塞的診斷在很大程度上依賴肺血管造影或肺通氣-灌注掃描(表2)。
11.壓迫性肺不張(compressive atelectasis) 胸腔內占位性病變可推移擠壓肺組織使其不張此種不張一般較輕微或為不完全性但偶可為完全性肺萎陷胸腔內病變有胸腔積液膿胸、氣胸、胸腔或肺內腫瘤、肺大泡、肺氣囊腫腹部膨隆亦可使膈肌上抬擠壓肺臟如過度肥胖、腹腔內腫瘤、肝脾長大、大量腹水、腸梗阻以及懷孕等。
12.墜積性肺不張(hypostatic atelectasis) 肺臟存在重力依賴部分和非重力依賴部分重力依賴部分的減少提示有肺組織灌注增加與肺泡通氣下降。直立位時呼吸末肺尖與肺底肺泡容積梯度約為4∶1,平臥時其比例約為2.5∶1重力梯度可在某些情況下參與肺不張的形成,如長期臥床的病人,呼吸過於表淺,黏液纖毛輸送系統受損,以及肺重量增加的疾病如肺炎、肺水腫與肺充血等。
13.圓形肺不張(盤狀肺不張)[round atelectasis(platelike atelectasis)] 圓形肺不張為一種特殊類型,一般位於胸膜下肺基底部呈圓形或橢圓形,其下方有支氣管或血管影延伸到肺門,形似“彗星尾”常可見鄰近的胸膜與葉間裂增厚。圓形肺不張的影像學特徵常數年保持不變。一般認為圓形肺不張與接觸石棉有關。其機制可能為:石棉性胸膜炎有胸膜增厚粘連和胸腔積液,肺組織漂浮在胸水中並與胸膜粘連,當胸水吸收橫膈上升時肺組織不能充分復張。盤狀或碟狀肺不張為橫膈上方2~6cm的盤狀或碟狀陰影隨呼吸上下移動。常見於腹腔積液或過度肥胖時橫膈運動減弱,或各種原因引起的呼吸動度減弱時。肺栓塞亦可出現盤狀不張,機制如前述。
臨床表現
肺不張病肺不張的症狀和體徵取決於支氣管阻塞發生的速度、受累的範圍以及是否合併感染。
1.症狀 短期內形成的阻塞伴大面積的肺臟萎陷特別是合併感染時,患側可有明顯的疼痛突發呼吸困難發紺,甚至出現血壓下降、心動過速、發熱,偶可引起休克。緩慢形成的肺不張可以沒有症狀或只有輕微的症狀。中葉綜合徵多無症狀,但常有劇烈的刺激性乾咳。
一些臨床狀況可提示支氣管阻塞和肺不張的可能性。某些哮喘患兒若持續發作喘息,可發生肺不張,此時如有發熱,則提示診斷變應性麴黴菌病伴黏液嵌塞主要見於哮喘患者。外科手術後48h出現發熱和心動過速(手術後肺炎)常由肺不張引起。
心臟手術後最易發生左下葉不張。胸壁疾病患者不能進行有效的咳嗽,是肺不張的易患因素,這種患者一旦出現呼吸系統症狀,應考慮到肺不張的可能性單根或多根肋骨骨折均可發生肺不張,特別是存在有慢性支氣管炎時。
兒童出現呼吸系統症狀時均應想到異物吸入的可能,特別是病史中有說話嗆咳、窒息或咳嗽。患者常不能主動提供這類資料,需要通過有目的的詢問加以排除。應注意到在異物吸入之後有一個長短不一的無症狀期。成年人常可提供明確的異物吸入史但遲鈍或神志不清者例外。
繼發於支氣管肺癌的肺不張主要見於有吸菸史的中年或老年男性常有慢性咳嗽史。這類情況常伴發感染,患者常有發熱、寒戰、胸痛及咳膿痰,反覆少量咯血較具特徵性腫瘤向胸腔外轉移時可出現明顯的症狀。支氣管腺瘤女性多於男性,發病年齡較支氣管肺癌小。呼吸道症狀均無特異性,但多有咯血。偶爾患者可表現為類癌綜合徵,提示有腫瘤的廣泛轉移。
若病史中有肺結核、肺真菌感染、異物吸入或慢性哮喘,應注意有無支氣管狹窄。以前有胸部創傷史應注意排除有無未發現的支氣管裂傷和支氣管狹窄。繼發於支氣管結石的肺不張患者約有50%有咳出鈣化物質的歷史,患者常常未加以注意,需要醫生的提示。有的患者以為醫生不相信會咳出“石頭”,所以有意遺漏這段病史。支氣管結石的其他常見症狀包括慢性咳嗽喘息、反覆咯血及反覆的肺部感染。此外,在重症監護病房的患者也易發生肺不張。
2.體徵 阻塞性肺不張的典型體徵有肺容量減少的證據(觸覺語顫減弱膈肌上抬、縱隔移位)、叩濁、語音震顫和呼吸音減弱或消失如果有少量的氣體進入萎陷的區域,可聞及濕囉音。可有明顯的發紺和呼吸困難在手術後病人,較有特徵的是反覆的帶痰聲而無力的咳嗽。如果受累的區域較小,或周圍肺組織充分有效地代償性過度膨脹此時肺不張的體徵可能不典型或缺如。非阻塞性肺不張其主要的支氣管仍然通暢,故語音震顫常有增強,呼吸音存在。上葉不張因其鄰近氣管,可在肺尖聞及支氣管呼吸音。下葉不張的體徵與胸腔積液和單側膈肌抬高的體徵相似。
體檢時發現與基礎疾病有關的體徵,可提供診斷線索。黏液栓、黏液嵌塞或繼發於哮喘的支氣管狹窄所致的肺不張,聽診可聞及特徵性的呼氣性哮鳴。支氣管肺癌可有杵狀指或其他轉移徵象。淋巴瘤所致肺不張可發現有不同部位的淋巴結腫大。肺不張伴頸靜脈擴張或怒張和肝臟長大常提示纖維化性縱隔炎。心血管疾病所致的壓迫性肺不張可發現心臟雜音、奔馬律發紺或心力衰竭的體徵。胸部創傷時觸診較易發現一根或多根肋骨骨折吸氣時出現連枷胸由於胸壁肌肉無力所致的肺不張常有基礎的神經肌肉疾病的證據。
併發症:
常合併細菌感染。
診斷
肺不張病在臨床症狀與體徵的基礎上,以下檢查手段可明確是否存在肺不張,並為病因診斷提供線索。
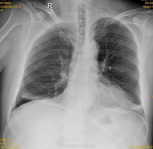
1.放射學檢查 放射學檢查是診斷肺不張最重要的手段。常規胸部平片通常即可明確葉或段不張的存在及其部位。肺不張的放射學表現變化較大常常是不典型的。在投照條件不夠的前後位或後前位攝片,由於心臟的掩蓋,左下葉不張常易漏診。上葉不張可誤認為縱隔增寬,包裹性積液亦與肺不張相似,且大量胸腔積液可掩蓋下葉不張。支氣管空氣征可排除完全性支氣管阻塞,但不能除開肺葉萎陷。
在不張的肺段或肺葉的頂部發現鈣化的淋巴結,對診斷支氣管結石有重要意義。纖維化性縱隔炎及各種炎性淋巴結腫大時可發現縱隔鈣化
變應性麴黴菌病黏液黏稠症、淋巴瘤、不透X線的異物和支氣管裂傷均有相應的放射學異常徵象。異物阻塞主支氣管時,常規胸片可發現一側肺變小透光度降低另一側肺體積增大透光度增加。這一現象可能表示①一側肺因活瓣阻塞而過度膨脹,壓迫對側肺使其不張;②一側肺阻塞後發生吸收性不張對側肺代償性過度膨脹。螢光透視和比較吸氣末與呼氣末的胸片可以鑑別上述2種情況,因為只有支氣管通暢的肺在吸氣、呼氣之間容量有明顯的變化。
斷層攝片對下述情況幫助較大:描述萎陷肺葉的位置與形狀,有無支氣管空氣征,有無鈣化及其位置阻塞病變的性狀,有無管腔內引起阻塞的包塊。CT檢查對於此類問題的診斷價值更大,特別是對下述情況明顯優於斷層攝影包括:明確支氣管腔內阻塞性病變的位置甚或性質,探查腫大的縱隔淋巴結鑑別縱隔包塊與縱隔周圍的肺不張。支氣管造影主要用於了解非阻塞性肺不張中是否存在支氣管擴張,但目前已基本為CT所取代如懷疑肺不張由肺血栓所致,可考慮行肺通氣-灌注顯像或肺血管造影,相對而言血管造影的特異性較高。
對纖維化性縱隔炎所致肺不張的患者,上腔靜脈血管造影有一定的價值。心血管疾病引起壓迫性肺不張時可選擇多種影像學手段。
2.實驗室檢查 血液常規檢查對肺不張的鑑別診斷價值有限。哮喘及伴有黏液嵌塞的肺麴黴菌感染血嗜酸性粒細胞增多偶爾也可見於Hodgkin病、非Hodgkin淋巴瘤、支氣管肺癌和結節病阻塞遠端繼發感染時有中性粒細胞增多、血沉增快。慢性感染和淋巴瘤多有貧血。結節病澱粉樣變、慢性感染和淋巴瘤可見γ球蛋白增高。
血清學試驗檢測抗麴黴菌抗體對診斷肺變應性麴黴菌感染的敏感性與特異性較高組織胞漿菌病和球孢子菌病引起支氣管狹窄時特異性補體結合試驗可為陽性。血及尿中檢出5-羥色胺對支氣管肺癌引起的類癌綜合徵有診斷價值。
3.痰與支氣管抽吸物檢查 因為咳出的分泌物主要來自未發生不張的肺,不能反映引起支氣管阻塞的病理過程,所以痰液檢查對肺不張的診斷意義很小應作細菌、真菌和結核桿菌的塗片檢查與培養,並常規做細胞學檢查。變應性麴黴菌感染有時可培養出麴黴菌,但需注意實驗室常有麴黴菌的污染。如果咳出痰栓,並在鏡下發現大量的菌絲,即可確立診斷。
支氣管肺癌時細胞學檢查可有陽性發現,而大多數腺癌和良性腫瘤細胞學檢查陰性。偶爾在淋巴瘤患者痰中可查到腫瘤細胞。
4.皮膚試驗 皮膚試驗對肺不張診斷意義不大。支氣管結石所致肺不張時結核菌素、球孢子菌素或組織胞漿菌素皮膚試驗可為陽性,並為診斷提供線索。如肺不張由肺門淋巴結腫大壓迫所致,結核菌素皮試在近期轉為陽性特別在兒童或青少年,有一定的診斷價值變應性麴黴菌感染時皮膚試驗典型的為立即皮膚反應,某些患者表現為雙相反應。
5.支氣管鏡檢查 支氣管鏡檢查是肺不張最有價值的診斷手段之一,可用於大部分病例。多數情況下可在鏡下直接看到阻塞性病變並取活檢如果使用硬質支氣管鏡,則可擴張狹窄部位並取出外源性異物或內源性的結石。如異物或支氣管結石被肉芽組織包繞,則在鏡下不易明確診斷。
支氣管腺癌表面通常覆蓋有一層正常的上皮組織,如果腫瘤無蒂,易被誤認為腔內的壓迫性病變。但大部分腺癌有蒂,有助於判斷其支氣管的起源。支氣管類癌血管豐富活檢時易出血,此時應留待開胸手術時切除,而不應盲目活檢有時支氣管肺癌表面也可覆蓋一層肉芽組織,鏡下活檢只能取到炎症組織此時如果阻塞的支氣管尚存細小的縫隙,也可通過深部刷檢取得腫瘤學證據對於支氣管外的壓迫性病變支氣管黏膜的活檢偶爾可發現與基礎病變有關的組織學異常。但管外的搏動性包塊切忌活檢。
對於黏液栓引起的阻塞性肺不張,纖支鏡下抽吸既是診斷性的也是治療性的。纖支鏡下活檢與刷檢對引起阻塞的良性和惡性腫瘤、結節病及特異性炎症也有診斷價值。
6.淋巴結活檢與胸腔外活檢 如果肺不張由支氣管肺癌或淋巴瘤所致,斜角肌下與縱隔淋巴結活檢對診斷甚有幫助,而纖支鏡活檢常常為陰性。如果有明確的肺門或縱隔長大,淋巴結活檢常有陽性發現,如果放射學改變只有遠端的肺組織萎陷,則難以取得陽性結果。結節病結核、真菌感染引起肺不張時,斜角肌下和縱隔淋巴結活檢偶有陽性發現胸腔外活檢(肝臟骨骼骨髓周圍淋巴結)對某些疾病如結節病、感染性肉芽腫淋巴瘤和轉移性支氣管肺癌有時能提供診斷幫助
7.胸腔積液檢查與胸膜活檢 肺不張時形成胸腔積液有多種原因。胸腔積液可能掩蓋肺不張的放射學徵象。胸腔積液檢查與胸膜活檢對惡性病變及某些炎症性病變有診斷價值。血胸見於胸部外傷或動脈瘤破裂,而血性胸腔積液提示腫瘤、肺栓塞、結核或創傷。
鑑別診斷:
相當多的肺不張患者因診斷性或治療性目的最終需要作剖胸手術。支氣管結石有35%需要開胸得以確診。由支氣管肺癌腺癌支氣管狹窄、慢性炎症伴肺皺縮、局限性支氣管炎以及外源性壓迫所致的肺不張中也有部分病例需剖胸探查方能確診。
檢查
肺不張病實驗室檢查:
血液常規檢查對肺不張的鑑別診斷價值有限。
白細胞分類計數 哮喘及伴有黏液嵌塞的肺麴黴菌感染血嗜酸性粒細胞增多,偶爾也可見於Hodgkin病、非Hodgkin淋巴瘤、支氣管肺癌和結節病。阻塞遠端繼發感染時有中性粒細胞增多。
紅細胞沉降率血沉增快
慢性感染和淋巴瘤多有貧血。
結節病澱粉樣變、慢性感染和淋巴瘤可見γ球蛋白增高。
血清學試驗檢測抗麴黴菌抗體對診斷肺變應性麴黴菌感染的敏感性與特異性較高,組織胞漿菌病和球孢子菌病引起支氣管狹窄時特異性補體結合試驗可為陽性。血及尿中檢出5-羥色胺對支氣管肺癌引起的類癌綜合徵有診斷價值。
其它輔助檢查:
1.放射學檢查 放射學檢查是診斷肺不張最重要的手段。常規胸部平片通常即可明確葉或段不張的存在及其部位。肺不張的放射學表現變化較大,常常是不典型的。在投照條件不夠的前後位或後前位攝片,由於心臟的掩蓋,左下葉不張常易漏診。上葉不張可誤認為縱隔增寬,包裹性積液亦與肺不張相似,且大量胸腔積液可掩蓋下葉不張支氣管空氣征可排除完全性支氣管阻塞,但不能除開肺葉萎陷。
在不張的肺段或肺葉的頂部發現鈣化的淋巴結,對診斷支氣管結石有重要意義纖維化性縱隔炎及各種炎性淋巴結腫大時可發現縱隔鈣化
變應性麴黴菌病、黏液黏稠症、淋巴瘤、不透X線的異物和支氣管裂傷均有相應的放射學異常徵象。異物阻塞主支氣管時,常規胸片可發現一側肺變小,透光度降低另一側肺體積增大透光度增加。這一現象可能表示①一側肺因活瓣阻塞而過度膨脹,壓迫對側肺使其不張;②一側肺阻塞後發生吸收性不張,對側肺代償性過度膨脹。螢光透視和比較吸氣末與呼氣末的胸片可以鑑別上述兩種情況因為只有支氣管通暢的肺在吸氣呼氣之間容量有明顯的變化。
胸部的CT檢查斷層攝片對下述情況幫助較大:描述萎陷肺葉的位置與形狀,有無支氣管空氣征,有無鈣化及其位置阻塞病變的性狀,有無管腔內引起阻塞的包塊。CT檢查對於此類問題的診斷價值更大特別是對下述情況明顯優於斷層攝影,包括:明確支氣管腔內阻塞性病變的位置甚或性質,探查腫大的縱隔淋巴結,鑑別縱隔包塊與縱隔周圍的肺不張。
支氣管造影主要用於了解非阻塞性肺不張中是否存在支氣管擴張但目前已基本為CT所取代
肺通氣-灌注顯像如懷疑肺不張由肺血栓所致,可考慮行肺通氣-灌注顯像或肺血管造影,相對而言血管造影的特異性較高。
放射性核素心血管造影對纖維化性縱隔炎所致肺不張的患者,上腔靜脈血管造影有一定的價值。心血管疾病引起壓迫性肺不張時可選擇多種影像學手段。
2.痰與支氣管抽吸物檢查 痰液細菌塗片檢查痰液細菌培養因為咳出的分泌物主要來自未發生不張的肺,不能反映引起支氣管阻塞的病理過程所以痰液檢查對肺不張的診斷意義很小。應作細菌、真菌和結核桿菌的塗片檢查與培養,並常規做細胞學檢查。變應性麴黴菌感染有時可培養出麴黴菌,但需注意實驗室常有麴黴菌的污染。如果咳出痰栓,並在鏡下發現大量的菌絲,即可確立診斷。
支氣管肺癌時細胞學檢查可有陽性發現,而大多數腺癌和良性腫瘤細胞學檢查陰性。偶爾在淋巴瘤患者痰中可查到腫瘤細胞。
3.皮膚試驗 遲發性皮膚變態反應皮膚試驗對肺不張診斷意義不大。支氣管結石所致肺不張時結核菌素、球孢子菌素或組織胞漿菌素皮膚試驗可為陽性,並為診斷提供線索。如肺不張由肺門淋巴結腫大壓迫所致,結核菌素皮試在近期轉為陽性特別在兒童或青少年,有一定的診斷價值。變應性麴黴菌感染時皮膚試驗典型的為立即皮膚反應,某些患者表現為雙相反應。
4.支氣管鏡檢查 支氣管鏡檢查是肺不張最有價值的診斷手段之一,可用於大部分病例。多數情況下可在鏡下直接看到阻塞性病變並取活檢。如果使用硬質支氣管鏡,則可擴張狹窄部位並取出外源性異物或內源性的結石如異物或支氣管結石被肉芽組織包繞,則在鏡下不易明確診斷。
支氣管腺癌表面通常覆蓋有一層正常的上皮組織,如果腫瘤無蒂,易被誤認為腔內的壓迫性病變。但大部分腺癌有蒂,有助於判斷其支氣管的起源支氣管類癌血管豐富,活檢時易出血,此時應留待開胸手術時切除,而不應盲目活檢。有時支氣管肺癌表面也可覆蓋一層肉芽組織,鏡下活檢只能取到炎症組織。此時如果阻塞的支氣管尚存細小的縫隙,也可通過深部刷檢取得腫瘤學證據對於支氣管外的壓迫性病變,支氣管黏膜的活檢偶爾可發現與基礎病變有關的組織學異常。但管外的搏動性包塊切忌活檢。
對於黏液栓引起的阻塞性肺不張,纖支鏡下抽吸既是診斷性的也是治療性的。纖支鏡下活檢與刷檢對引起阻塞的良性和惡性腫瘤、結節病及特異性炎症也有診斷價值。
5.淋巴結活檢與胸腔外活檢 組織病理如果肺不張由支氣管肺癌或淋巴瘤所致,斜角肌下與縱隔淋巴結活檢對診斷甚有幫助,而纖支鏡活檢常常為陰性。如果有明確的肺門或縱隔長大,淋巴結活檢常有陽性發現,如果放射學改變只有遠端的肺組織萎陷,則難以取得陽性結果。結節病、結核、真菌感染引起肺不張時,斜角肌下和縱隔淋巴結活檢偶有陽性發現。胸腔外活檢(肝臟、骨骼、骨髓、周圍淋巴結)對某些疾病如結節病感染性肉芽腫淋巴瘤和轉移性支氣管肺癌有時能提供診斷幫助。
6.胸腔積液檢查與胸膜活檢 肺不張時形成胸腔積液有多種原因胸腔積液可能掩蓋肺不張的放射學徵象。胸腔積液檢查與胸膜活檢對惡性病變及某些炎症性病變有診斷價值。血胸見於胸部外傷或動脈瘤破裂,而血性胸腔積液提示腫瘤、肺栓塞、結核或創傷。
7.剖胸探查 相當多的肺不張患者因診斷性或治療性目的最終需要作剖胸手術。支氣管結石有35%需要開胸得以確診。由支氣管肺癌、腺癌支氣管狹窄、慢性炎症伴肺皺縮、局限性支氣管炎以及外源性壓迫所致的肺不張中也有部分病例需剖胸探查方能確診。
治療
1.急性肺不張(acute atelectasis) 急性肺不張(包括手術後急性大面積的肺萎陷)需要儘快去除基礎病因。如果懷疑肺不張由阻塞所致而咳嗽、吸痰、24h的呼吸治療與物理治療仍不能緩解時或者患者不能配合治療措施時,應當考慮行纖維支氣管鏡檢查。支氣管阻塞的診斷一旦確定,治療措施即應針對阻塞病變以及合併的感染。纖支鏡檢查時可吸出黏液栓或濃縮的分泌物而使肺臟得以復張。如果懷疑異物吸入,應立即行支氣管鏡檢查,較大的異物可能需經硬質支氣管鏡取出。
肺不張患者的一般處理包括:①臥位時頭低腳高患側向上,以利引流;②適當的物理治療;③鼓勵翻身咳嗽、深呼吸。如果在醫院外發生肺不張,例如由異物吸入所致而又有感染的臨床或實驗室證據,應當使用廣譜抗生素。住院患者應根據病原學資料和藥敏試驗選擇針對性強的抗生素。神經肌肉疾病引起的反覆發生的肺不張試用5~15cm H2O的經鼻導管持續氣道正壓(CPAP)通氣可能有一定的幫助。
2.慢性肺不張(chronic atelectasis) 肺萎陷的時間越久,則肺組織毀損纖維化或繼發支氣管擴張的可能性越大。任何原因的肺不張均可繼發感染,故若有痰量及痰中膿性成分增加應使用適當的抗生素部分結核性肺不張通過抗結核治療也可使肺復張以下情況應考慮手術切除不張的肺葉或肺段:①緩慢形成或存在時間較久的肺不張,常繼發慢性炎症使肺組織機化攣縮此時即使解除阻塞性因素,肺臟也難於復張;②由於肺不張引起頻繁的感染和咯血。如系腫瘤阻塞所致肺不張,應根據細胞學類型腫瘤的範圍與患者的全身情況,決定是否進行手術治療以及手術的方式放射治療與化療亦可使部分患者的症狀得以緩解。對某些管腔內病變可試用雷射治療。
治療肺不張,應該選擇好的治療方法,4S清肺平喘療法由軍事醫學科學研究院、國際科學研究院等多位專家歷經30多年聯合研發形成的一套全方位、多立體的綜合治療體系。療法包括清肺淨肺、PI活肺治療、植物神經綜合平衡和軍科細胞免疫技術四大步驟,其中軍科細胞免疫技術是多位專家在2008年諾貝爾醫學獎DC細胞技術基礎上獨創的治療手段,它直擊哮喘病的發病根源——炎症細胞,利用特定的靶向免疫激活技術抑制和清除哮喘發病根源,真真正正防止哮喘反覆發作。
預後預防
預後:
慢性支氣管炎以及重度吸菸是手術後肺不張的主要易患因素因此應在術前戒菸並訓練咳嗽與深呼吸。應避免使用作用時間過長的麻醉方式,術後儘量少用鎮靜劑,以免抑制咳嗽反射。麻醉結束時不應使用100%的純氧。患者應每小時翻身一次,鼓勵咳嗽和深呼吸。必要時可霧化吸入支氣管擴張劑,霧化吸入生理鹽水也可達到濕化氣道,促進分泌物排出的目的。
由胸廓疾患神經肌肉疾病或中樞神經疾病所致通氣不足,或呼吸淺快,以及長期進行機械通氣的患者,均有發生肺不張的可能,應予以特別注意並進行嚴密的監護。
預防:
1.先天性肺不張是指嬰兒出生時肺泡內無氣體充盈,臨床上有嚴重的呼吸困難與發紺,患兒多在出生後死於嚴重的缺氧。
2.後天獲得的肺不張如癌腫和併發症者預後不佳。

