肺蟎病體徵
肺蟎病生理
肺蟎病診斷
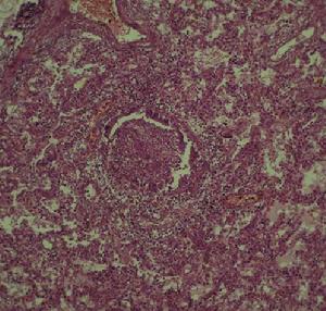
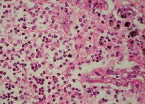
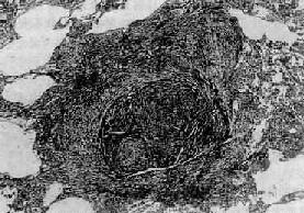
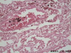
肺蟎病實驗室檢查:1.一般檢查外周血白細胞正常或輕度增加。嗜酸粒細胞常增高,約占10%~50%。血清IgE明顯增高,可達正常人的5~6倍。IgG和IgA也增高,IgM在疾病早期雖有不同程度增高,但與對照組比較無明顯差異。痰可有較多的嗜酸粒細胞。偶見夏科結晶。留24h痰經5%~7.5%氫氧化鈉消化2~3h,離心塗片鏡檢找到蟎成蟲、幼蟲或卵可確診。
2.免疫學檢查常用的有:(1)皮試:多用蟎變應原點刺試驗(SPT),其總陽性率達80%。(2)間接螢光抗體試驗(IFA):方法簡便,敏感性及特異性均較好,陽性率在90%以上。(3)間接血凝試驗(IHA):陽性率較IFA稍低,約85%,其特異性也較好,診斷肺蟎病時其滴度宜≥1∶16。(4)生物素-親和素酶聯免疫吸附(ABC-ELISA)試驗:方法簡便、快捷、易推廣,其陽性率在80%左右。(5)酶聯免疫吸附試驗(EIISA):採用對蟎蟲病患者血清抗體檢測的一種方法,若以吸光度值OD≥3為陽性,則肺蟎病患者陽性符合率為83%,非肺蟎病呼吸系統疾病患者的陰性符合率為90%,健康人的陰性符合率為95%。由於它具有敏感性高,特異性強的優點,故可用於肺蟎病的診斷和重點人群的流行病學調查。但此等試驗必須與臨床結合,才能正確診斷。其他輔助檢查:X線表現主要徵象有肺門陰影增寬,紋理增粗紊亂,兩肺中下野可見雲霧狀陰影,肺門部及兩肺可有散在、大小不等(2~5mm)的結節狀或斑點狀陰影,此為肺蟎病特徵性的X線表現。有報導肺蟎病X線胸片有此等徵象者達70%~80%。
鑑別
肺蟎病2.自發性氣胸慢性阻塞性肺疾病基礎上出現的氣胸,氣胸體徵常不明顯,而表現為突發性呼吸困難。部分患者出現呼氣性哮鳴(尤其是氣胸對側),臨床上容易與哮喘混淆,要提高警惕性,有可疑者及早作X線檢查以明確診斷。
3.大氣道阻塞性疾患腫瘤、異物、炎症和先天性異常等均可引起喉、聲門、氣管或主支氣管(腔內或外壓性)阻塞,引起呼吸困難和喘鳴音。但這種喘鳴音常在某一部分特別明顯,多為以吸氣相為主的雙相性喘鳴音,常伴雙肺底支氣管呼吸音異常增粗。喉部檢查,X線氣管額面斷層攝片及纖維支氣管檢查可以明確診斷。
4.外源性過敏性肺泡炎此病可出現典型的哮喘表現,但這些病人常有變應原(枯草、鴿糞等)接觸史,X線胸片可見瀰漫性肺間質病變呈斑片狀浸潤,血嗜酸性粒細胞顯著增高,有助於鑑別。急、慢性支氣管炎此類病人可出現喘鳴音和呼吸困難,而哮喘患者亦可以無喘鳴音而僅有發作性乾咳。臨床上有時難以鑑別。但支氣管炎患者的症狀沒有發作性的特點。慢性支氣管炎有長期慢性咳嗽,支氣管炎咳痰一般較多,支氣管擴張劑吸入試驗或晝夜PEF波動率測定有助於鑑別。
5.變態反應性支氣管肺曲菌病(allergicbronchopulmonaryaspergillosisABPA)常以反覆哮喘發作為特徵,伴咳嗽,咳痰,痰多為黏液膿性,有時伴血絲,可分離出棕黃色痰栓,常有低熱,肺部可聞哮鳴音或乾囉音,X線檢查可見浸潤性陰影,段性肺不張,牙膏征或指套征(支氣管黏液栓塞),周圍血嗜酸性粒細胞明顯增高,曲菌變應原皮膚點刺可出現雙相皮膚反應(即刻及遲髮型),血清IgE水平通常比正常人高2倍以上。
6.胃食管反流(GER)鼻後滴漏綜合徵(PNDS)食管賁門弛緩症,賁門痙攣等疾病中,常出現胃或十二指腸內容物通過食管下端括約肌反流入食管的現象,反流物多呈酸性。只要有少量被吸入氣管,即可刺激上氣道感受器通過迷走神經反射性地引起支氣管痙攣,而出現咳嗽和喘鳴,有報導認為在嚴重哮喘病人,其GER的發生率可接近50%,說明GER至少是使哮喘病人不斷發作,症狀難於控制的重要誘因,對GER進行針對性治療,可明顯改善哮喘症狀。鼻後滴漏綜合徵(PNDS),常見於慢性鼻竇炎,其分泌物常在患者平臥時通過後鼻道進入氣管,可引起類似哮喘的咳嗽和喘鳴症狀,同時也是部分哮喘患者反覆發作及療效不佳的重要因素。
治療
肺蟎病流行病
肺蟎病