恙蟲病性肺炎患者疾病描述
恙蟲病性肺炎X片疾病病理
恙蟲診斷檢查
恙蟲病性肺炎患者鑑別診斷:對懷疑患本病的患者應十分注意尋找焦痂或潰瘍。它多位於腫大、壓痛的淋巴結附近。
檢查
患者外圍血白細胞多表現降低。曾氏的41例中白細胞(4.3~9.6)×109/L者27例,大於4.0×109/L者6例,最低值為1.65×109/L,(12.4~24.2)×109/L,即白細胞升高者僅8例。查到病原體為診斷依據,方法有:①小白鼠試驗:以患者血接種於小白鼠,自死亡的動物肝脾及腹膜中,然後以姬姆薩染色可在單核細胞中查見立克次體;也可直接從高熱患者的血中(通過馬氏染色)發現病原體。②血清學檢查;外斐試驗效價升高,為1∶160~1∶1280。
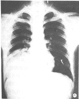
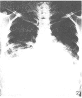
恙蟲病性肺炎超微圖其他輔助檢查:從X線胸片可見到病變的類型及範圍。瞿氏的30例資料中雙下肺間質炎症改變14例(伴斜裂增厚1例,雙肋膈角變鈍1例),單側肺炎改變7例(累及胸膜3例),雙側肺炎改變9例(累及胸膜3例)。胸部的CT檢查其中1例胸部CT檢查為雙下肺絮狀模糊影。曾氏的41例雙肺紋理增粗模糊,並有兩肺瀰漫性或局限性浸潤,以兩下肺為著,病變呈雲霧狀,密度均勻陰影。
治療方案
恙蟲病性肺炎解剖圖發生胸腔積液及多臟器功能不全以至衰竭者要使用皮質腺激素。不要普遍使用該藥,因它可抑制機體免疫功能。
併發症:恙蟲病合併瀰漫性血管內凝血、中毒性腦病、中毒性心肌炎及肺炎。可並發多臟器功能衰竭。
恙蟲病性肺炎相關藥品:氯黴素、多西環素
預後及預防
恙蟲病性肺炎預防:
1.消滅傳染源主要是滅鼠。應發動民眾,採取綜合措施,可用各種捕鼠器,與藥物滅鼠相結合。常用藥物有磷化鋅、安妥和敵鼠等。
2.切斷傳播途徑剷除雜草,改造環境是最根本的措施,應結合衛生運動、積肥、套用沼氣等反覆進行,消滅恙蟎孳生地。在流行區野外作業時,剷除或焚燒住地周圍半徑50m內雜草,然後噴灑1%~2%敵敵畏或0.1%馬拉硫磷,20~25ml/m2。
防治恙蟲病性肺炎3.個人防護在發病季節避免在草地上坐、臥、曬衣服。預防恙蟎幼蟲叮咬,在流行區野外工作、生產勞動、軍事訓練及其他活動時,必須紮緊袖口、領口和褲腳口,並在袖口、領口等處塗上防蟲劑,如鄰苯二甲酸二甲酯,鄰苯二甲酸二苯酯或苯甲酸苄酯等。目前尚無可供套用的恙蟲病疫苗。滅活疫苗效果差,減毒活疫苗未達安全限度,初步研究顯示,恙蟲病立克次體中分子量為56000的表膜蛋白抗原有較強的免疫原性。編碼該蛋白的基因已在大腸桿菌表達成功,能否用其製成疫苗,有待作進一步研究。
流行病學
恙蟲病性肺炎宣傳2.傳染源本病是自然疫源性傳染病。鼠類是主要的傳染源,如褐家鼠、黑家鼠、黃胸鼠、鼷鼠、小家鼠、黑線姬鼠、赤家鼠、環腕鼠、黃毛鼠、針毛鼠、社鼠、包氏鼠、板齒鼠和東方田鼠等。中國廣東市鎮以家鼠為主,而農村以社鼠、黃毛鼠為主,福建以黃毛鼠和褐家鼠為主,四川以黑線姬鼠為主,雲南、浙江以黃胸鼠為主,台灣以赤家鼠為主,海南以黃胸鼠和黑家鼠為主。此外,鼩鼱、野兔、家兔、豬、貓和雞等也能感染本病。恙蟎被恙蟲病立克次體感染後,可經卵傳給後代,故亦能起到傳染源的作用。人患本病後,血中雖然也有恙蟲病立克次體,但由於恙蟎幼蟲叮咬人類僅屬偶然現象,故病人作為傳染源的重要性不大。
