原因
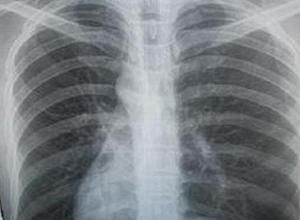
常引起本症狀的疾病有慢性支氣管炎、支氣管擴張、風心病、先心病、塵肺、癌性淋巴管炎等呼吸和心律增快、肺部羅音、肺動脈瓣第二心音亢進。胸片呈現肺部斑片狀
肺紋理增粗檢查
(1)支氣管性肺紋理增多:表現為肺紋理粗細不勻,其中常夾雜變形紋理和小蜂窩影,常見於慢性支氣管炎、支氣管擴張等。(2)血管性肺紋理增多:肺紋理粗大,從肺門向肺內保持血管走行的特性,常伴有心臟增大的表現,主要見於風心病、先心病等。(3)淋巴性肺紋理增多:肺紋理在兩肺內呈纖細的網狀,常見於塵肺、癌性淋巴管炎等。(4)吸菸性肺紋理增多:顯示雙肺紋理增多,但走行正常,主要是由於長期吸菸引起的炭末沉著症所致。(5)生理性肺紋理增多:主要見於老年人和肥胖者。前者是由於老年人肺間質相對較豐富,從而在X線胸片上顯示肺紋理增多;後者是由於受檢者體質肥胖,皮下脂肪增多,導致X線吸收增加,從而引起胸片上肺紋理增多的假象。鑑別診斷
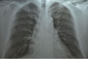
臨床常與小葉性肺炎鑑別。小葉性肺炎是以肺小葉為單位的灶狀急性化膿性炎症。由於病灶多以細支氣管為中心,故又稱支氣管肺炎。病變起始於支氣管,並向其周圍所屬肺泡蔓延。多見於小兒和年老體弱者。臨床上主要表現為發熱、咳嗽、咳痰等症狀,聽診肺部可聞及散在的濕性音。(1)支氣管性肺紋理增多:表現為肺紋理粗細不勻,其中常夾雜變形紋理和小蜂窩影,常見於慢性支氣管炎、支氣管擴張等。
(2)血管性肺紋理增多:肺紋理粗大,從肺門向肺內保持血管走行的特性,常伴有心臟增大的表現,主要見於風心病、先心病等。
(3)淋巴性肺紋理增多:肺紋理在兩肺內呈纖細的網狀,常見於塵肺、癌性淋巴管炎等。
(4)吸菸性肺紋理增多:顯示雙肺紋理增多,但走行正常,主要是由於長期吸菸引起的炭末沉著症所致。
(5)生理性肺紋理增多:主要見於老年人和肥胖者。前者是由於老年人肺間質相對較豐富,從而在X線胸片上顯示肺紋理增多;後者是由於受檢者體質肥胖,皮下脂肪增多,導致X線吸收增加,從而引起胸片上肺紋理增多的假象。
緩解方法
一、簡易的耐寒按摩1、以手摩擦頭面部及上下肢的暴露部位,每日3-5次,每次5分鐘。
2、按摩迎香穴:迎香穴位於鼻唇溝止於鼻翼處,以食指輕輕揉1-3分鐘,每日2次。
3、按摩風池穴:風池穴位於頸部頸肌兩旁的凹窩中,以雙手掌心按摩之,每次30-60下,每日2-3次。
二、慢性支氣管炎病人需要高蛋白、高熱量、高維生素的飲食。要多方攝取、合理胺基酸,切忌挑食偏食。飲食要清淡,儘量少食辛辣刺激、油膩肥甘和一些易致過敏的食物,如魚、蝦、蟹等。
三、居住環境適宜
居住環境優雅安靜、空氣清新、陽光充足。居室要經常形容換氣,有些病人常年門窗緊閉,這是不益健康的。居室的溫度要冷暖適宜,一般以15-20℃為最佳。
四、家庭氧療
慢性支氣管炎病人,特別是合併有阻塞性肺氣腫和肺源性心臟病的病人,都會有不同程度的肺通氣功能障礙,導致缺氧和二氧化碳瀦留。適當的氧療可以改善症狀,糾正缺氧。家庭氧療可選用氧氣筒、氧氣袋、小型攜帶型化學制氧機等,原則為低流量,持續性,長療程。這是一種較好的康復療法。
五、急性發作期護理
急性發作期,患者應臥床休息,有發熱者,應定時測量體溫;痰多者,可進行體位引流;高齡體弱的病人要做好皮膚和口腔護理,防止發生褥瘡和感染。現將體位引流方法介紹如下:
1、安排病人在一定體位(病灶處於高位,引流支氣管開口向下)拍其背部,或囑作深呼吸,咳嗽,使痰咯出。
2、在空腹時進行,每日2-3次,每次10-15分鐘,引流量在每日30毫升左右,排痰後給予溫開水漱口。
3、排痰不暢、痰粘稠者,可先給予霧化吸入,稀釋痰液。
4、高齡、衰弱、呼吸困難,伴有高血壓、心衰的病人不宜進行引流。

