概述
由於高壓鍋爐,化學藥品或瓦斯爆炸,在戰時,由於烈性炸藥或核爆炸,瞬間可釋放出巨大的能量,使爆心處的壓力和溫度急劇增高,迅速向四周傳播,從而形成一種超聲速的高壓波,即衝擊波。空氣衝擊波或水下衝擊波的連續超壓-負壓,作用於人體,使胸腹部急劇的壓縮和擴張,發生一系列血液動力學變化,造成心、肺和血管損傷;體內氣體在超壓-負壓作用下產生內爆效應,使含氣組織(如肺泡)發生損傷;壓力波透過不同密度組織時在界面上發生反射引起碎裂效應,造成損傷;以及密度不同組織受相同的壓力波作用後,因慣性作用不同而速度發生差異,在連線部位發生撕裂和出血,以上衝擊波本身直接作用於人體所造成的損傷稱為爆震傷。病因
肺爆震傷
衝擊傷肺是衝擊波作用的“靶器官”,較之其他臟器損傷機會多,程度重,且有其不同的特點。肺爆震傷的主要病理改變是肺泡破裂和肺泡內出血,其次是肺水腫和氣腫,有時伴肺破裂。肺出血可由斑點狀至瀰漫性不等,重者可見相當於肋間隙下的相互平行條狀的肺實質出血。肺實質內血管破裂可形成血腫,甚至可出現血凝塊堵塞氣管而迅速致死。肺水腫輕者為間質性或肺泡腔內含有少量積液,重者可見大量的水腫液溢至支氣管以至氣管內,常混有血液,呈血性泡沫液。肺出血和水腫可致肺不張。肺氣腫可為間質性或肺泡性,重者在胸膜下出現含有血和氣的肺大皰,發生肺破裂時可引起血胸或血氣胸。
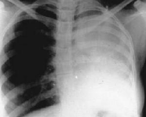
肺爆震傷的臨床表現因傷情輕重不同而有所差異。輕者僅有短暫的胸痛、胸悶或憋氣感。稍重者傷後1~3天內出現咳嗽、咯血或血絲痰,少數有呼吸困難,聽診可聞及變化不定的散在性濕羅音或捻發音。嚴重者可出現明顯的呼吸困難、發紺、血性泡沫痰等,常伴休克。查體除肺內羅音外可有肺實變體徵和血氣胸體徵。此外,常伴有其他臟器損傷的表現。X線檢查肺內可見肺紋理增粗、斑片狀陰影、透光度減低、以至大片狀密影,亦可有肺不張和血氣胸的表現。血氣檢查可出現輕重不等的異常結果。根據爆炸傷史、臨床表現和X線檢查,肺爆震傷容易確診,但應注意其外輕內重、迅速發展和常有合併傷的特點,慎勿誤診和漏診。
肺爆震傷的受傷機制是,爆炸產生的高壓氣浪衝擊胸部使胸壁撞擊肺組織,緊隨高壓後的負壓波使肺臟碰撞胸壁而產生肺挫傷,肺毛細血管出血,小支氣管和肺泡破裂,肺組織廣泛性滲出、肺水腫,嚴重者可有血氣胸,危及生命。因此,傷後患者迅速出現呼吸困難和低氧血症,火藥爆炸等原因所致的肺爆震傷多數複合重度燒傷、骨折等,構成嚴重的複合傷。
症狀
肺不張肺爆震傷的主要病理改變是肺泡破裂和肺泡內出血,其次是肺水腫和氣腫,有時伴肺破裂。肺出血可由斑點狀至瀰漫性不等,重者可見相當於肋間隙下的相互平行條狀的肺實質出血。肺實質內血管破裂可形成血腫,甚至可出現血凝塊堵塞氣管而迅速致死。肺水腫輕者為間質性或肺泡腔內含有少量積液,重者可見大量的水腫液溢至支氣管以至氣管內,常混有血液,呈血性泡沫液。肺出血和水腫可致肺不張。肺氣腫可為間質性或肺泡性,重者在胸膜下出現含有血和氣的肺大皰,發生肺破裂時可引起血胸或血氣胸。
肺爆震傷的臨床表現因傷情輕重不同而有所差異。輕者僅有短暫的胸痛、胸悶或憋氣感。稍重者傷後1~3天內出現咳嗽、咯血或血絲痰,少數有呼吸困難,聽診可聞及變化不定的散在性濕羅音或捻發音。嚴重者可出現明顯的呼吸困難、發紺、血性泡沫痰等,常伴休克。查體除肺內羅音外可有肺實變體徵和血氣胸體徵。此外,常伴有其他臟器損傷的表現。X線檢查肺內可見肺紋理增粗、斑片狀陰影、透光度減低、以至大片狀密影,亦可有肺不張和血氣胸的表現。血氣檢查可出現輕重不等的異常結果。
檢查
X線檢查肺內可見肺紋理增粗、斑片狀陰影、透光度減低、以至大片狀密影,亦可有肺不張和血氣胸的表現。
2、血氣檢查
可出現輕重不等的異常結果。一般呈持續低氧血症。
3、體格檢查
查體除肺內羅音外可有肺實變體徵和血氣胸體徵。
4、胸部CT檢查
若表現為密度增高的雲絮狀陰影,提示肺泡及肺間質出血。
治療
肺爆震傷的救治在於維護呼吸和循環功能,包括保持呼吸道通暢、給氧、必要時行氣管切開和人工呼吸器輔助呼吸以及輸血補液抗休克。有血氣胸者儘早作胸腔閉式引流。給予止血藥物。套用足量的抗菌素預防感染。對合併其他器官損傷進行相應的處理。
肺爆震傷一旦構成嚴重複合傷,機體便會產生強烈的應激反應,容易導致應激反應紊亂,發生消化道應激性潰瘍、腸源性感染、高代謝等,從而造成全身臟器嚴重的病理性損害,使得患者的病情複雜多變,治療難度大。因此,在肺爆震傷複合重度燒傷的治療過程中,根據傷情輕重分類,個性化治療,明確診斷後立即行氣管切開,建立人工氣,保持呼吸道通暢。疑有痰痂阻塞氣道時應立即進行纖維支氣管鏡檢查,去除痰痂並作沖洗。對呼吸道內的出血點給予電凝止血,呼吸困難不見改善,低氧血症持續的患者套用呼吸機輔助呼吸,以高頻通氣或呼吸末正壓通氣模式輔助呼吸,儘量使PaO2>80mmHg,SaO2>90%給予超聲霧化吸入濕化氣道,促進痰液排出,去除異物刺激,減少各種炎性介質的作用。呼吸機的使用應遵循“早上機、早撤機、個性化”的原則。當患者自主呼吸恢復好,咳嗽有力,監測血氣分析正常且穩定即可考慮脫機,應爭取早日脫機,避免呼吸機依賴。
鑑別
根據爆炸傷史、臨床表現和X線檢查,肺爆震傷容易確診,因此一般不需要進行鑑別診斷。但應注意其外輕內重、始輕末重、迅速發展和常有合併傷的特點。臨床上肺爆震傷的症狀表現最容易被其它外部損傷所掩蓋,如燒傷、骨折等更易診斷的損傷。故對本病的診斷最重要的是要分清臨床資料,且對這一類病人要充分考慮到肺爆震傷的存在,及時地預防處理。
疾病診斷
根據爆炸傷史,臨床表現和X線檢查,肺爆震傷容易確診,因此一般不需要進行鑑別診斷,但應注意其外輕內重,始輕末重,迅速發展和常有合併傷的特點,臨床上肺爆震傷的症狀表現最容易被其它外部損傷所掩蓋,如燒傷,骨折等更易診斷的損傷,故對本病的診斷最重要的是要分清臨床資料,且對這一類病人要充分考慮到肺爆震傷的存在,及時地預防處理。預防
對本病的預防最主要地是要積極地預防各種併發症的發生。如對於燒傷的患者,積極控制感染,防止肺部感染的發生。對需要上肺呼吸機的病人,應遵循呼吸機“早上機,早撤機、個性化”的原則。且應爭取早日脫機,避免呼吸機依賴。對懷疑有呼吸道阻塞危險的病人,可提早進行氣管切開。
併發症
肺肺部爆震傷致肺部症常見,這與肺爆震傷後彌散性毛細血管2肺泡膜受損,肺泡通透性升高,肺泡表面活性物質減少或失活有關,從而導致肺部感染。
2、ARDS
急性呼吸窘迫症候群(ARDS)病患的肺部變化源於廣泛性的肺泡微血管受損,使得內皮細胞間通透性增加,引發肺泡出血及水腫等現象,最後導致肺內死腔及分流增大,肺順應性與氧合狀況變差,而造成臨床上的呼吸窘迫。大致而言病理變化包含三期:滲出期(exudates),增升期(proliferative),纖維期(fibrosis)。目前急性呼吸窘迫症候群病患死於呼吸衰竭的機率不高(<5%),而大多死於敗血症或多重器官衰竭,死亡率約50%。對病人而言肺纖維程度也決定患者日後肺功能。
3、MODS
多器官功能不全綜合(MODS)是嚴重創傷、燒傷、大腹腔手術、休克和感染等過程中,同時國內或相繼出現2個以上的器官損害以至衰竭,,多在上述病因作用後經復甦病情平穩後發生。MODS包括器官損害由輕到重的過程,輕者發生器官的生理功能異常,重者達到器官、發現系統衰竭的程度,稱為多器官衰竭。在肺爆震傷的患者中,常常是創傷、燒傷肺部傷並存,休克和感染也非常常見,故存在著非常大的並發MODS的危險性。
飲食保健
肺爆震傷的食療(以下資料僅供參考,詳細需諮詢醫生)豬肺湯
原料:新鮮豬肺1個,生薑汁60毫升,甜杏仁60玫,蜂蜜250克。
做法:
1、將豬肺洗淨,甜杏仁用溫水淨泡2小時,去皮,搗爛,取出同生薑汁、蜂蜜一起拌勻,塞入豬肺管內,紮好管口備用。
2、將豬肺放入砂鍋,加水適量,先用武火燒沸,後改用文火燉150分鐘即可。
肺爆震傷患者飲食宜忌
1、多飲水,宜飲開水。
2、多補充維生素。
3、多吃對肺用以的食物,如胡蘿蔔、梨子、木耳、豆漿、蜂蜜等
4、應避免飲用咖啡、茶、可可及可樂飲料等。
5、忌食過冷、過熱,或其他油炸及刺激性的食物。
6、忌煙。
