概述
肺挫傷為常見的肺實質損傷,多為迅猛鈍性傷所致,例如車禍、撞擊、擠壓和墜落等。發生率約占胸部鈍性傷的30%~75%,但常由於對其認識不足、檢查技術不敏感或被其他胸部傷所掩蓋而被忽視或漏診。
發病機理
肺挫傷的發病機理仍不完全清楚,多數認為與肺爆震傷類似,系由於強烈的高壓波作用所致。當強大的暴力作用於胸壁,使胸腔容積縮小,增高的胸內壓力迫肺臟,引起肺實質出血及水腫;當外力消除,變形的胸廓彈回,在產生胸內負壓的一瞬間又可導致原損傷區的附加損傷。主要病理改變為肺泡和毛細血管損傷並有間質及肺泡內血液滲出及間質性肺水腫,使肺實質含氣減少而血管外含水量增加,通氣和換氣功能障礙,肺動脈壓和肺循環阻力產增高。病理變化在傷後12~24小時呈進行性發展。肺挫傷往往合併其他損傷,如胸壁骨折、連枷胸、血胸、氣胸及心臟和心包損傷。
臨床表現
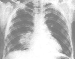
由於肺挫傷的嚴重程度和範圍大小不同,臨床表現有很大的差異。輕者僅有胸痛、胸悶、氣促、咳嗽和血痰等,聽診有散在羅音。X線胸片上有斑片狀陰影(常報告為創傷性濕肺)、1~2天即可完全吸收。血氣可正常。有人稱之為肺震盪。嚴重者則有明顯呼吸困難、發紺、血性泡沫痰、心動過速和血壓下降等。聽診有廣泛羅音、呼吸音減弱至消失或管型呼吸音。動脈血氣分析有低血氧症在胸片尚未能顯示之前具有參考價值。X線胸片是診斷肺挫傷的重要手段。其改變約70%病例在傷後1小時內出現,30%病例可延遲到傷後4~6小時,範圍可由小的局限區域到一側或雙側,程度可由斑點狀浸潤、瀰漫性或局部斑點融合浸潤、以致瀰漫性單肺或雙肺大片浸潤或實變陰影。經治療後一般在傷後2~3天開始吸收,完全吸收需2~3周以上。近年來通過系列CT檢查,對肺挫傷提出新的病理觀點,X線平片上所顯示的挫傷表現在CT片上是肺實質裂傷和圍繞裂傷周圍的一片肺泡積血而無肺間質損傷。
治療
輕型肺挫傷也應治療。重型肺挫傷是引起胸部傷後急性呼吸衰竭的最常見因素,治療在於維護呼吸和循環功能以及適當處理合併傷。連枷胸常有不同程度的肺挫傷,病理生理改變在很大程度上取決於肺挫傷,當出現急性呼吸衰竭的先兆時即應及時給予機械通氣治療。目前已不像以往那樣強調皮質激素的套用,對伴有低血容量休克者,仍要及時補充血容量,合理搭配晶體與膠體液比例,保持正常的膠體滲透壓和總滲透壓,以後則保持液體負平衡,每日量1600~1800毫升。

