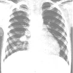
概念
各種原因引起的胸部外傷因其衝力自胸壁向肺內傳導產生肺挫裂傷,造成肺泡或肺間質毛細血管充血、水腫、通透性增高,血管擴張甚至破裂出血,使血液漏至肺泡及肺間質。當胸部創傷的衝力向肺內傳導產生一種壓力時,使患者聲門緊閉,肺內壓力升高,肺組織發生撕裂,血液及氣體溢入其裂隙內,因周圍肺組織的彈力回縮作用形成束狀影,稱之為創傷性肺束腫。束記憶體有血液時可有液平面。如被血液填滿,稱為肺血腫。
肺血腫X線表現的病理基礎
主要是肺出血,由於肺血液循環豐富,損傷易出血,量可很多。加之血液的凝縮而成血腫,肺撕裂傷或肺血腫早期可僅顯示大片實變影,似肺挫傷,待後才出現創傷性肺束腫或肺血腫的典型X線徵象,這是因為在早期肺撕裂傷或肺血腫周圍被滲出性陰影掩蓋所致。
肺血腫

