肺血吸蟲病

肺血吸蟲病

肺血吸蟲病(pulmonaryschistosomiasis)是由於血吸蟲的童蟲、成蟲在肺內移行、發育、寄生,或其蟲卵在肺組織肺血吸蟲病內沉著,引起的以肺內炎症、膿腫、肉芽腫、假結核等為主要表現的病變,也是最常見的異位血吸蟲病。臨床上除一般血吸蟲病症狀外,常表現為發熱、咳嗽、咳痰、咯血、胸痛或哮喘等呼吸道症狀。發病季節多在夏秋季,隨侵入病原體的多寡和肺部病變範圍而異。在急性感染後1~2周,肺部聽診可聞及乾、濕囉音。嚴重的可引起瀰漫性、閉塞性肺小動脈炎,由於童蟲在體內移行過程中所產生的機械性損害和人體對童蟲代謝產物的反應,有不同程度的症狀。

基本信息

體徵

發病季節多在夏秋季,隨侵入病原體的多寡和肺部病變範圍而異。在急性感染後1~2周,由於童蟲在體內移行過

肺血吸蟲病肺血吸蟲病
程中所產生的機械性損害和人體對童蟲代謝產物的反應,有不同程度的症狀。如弛張熱或低熱(少數有高熱),咳嗽、咳痰、痰中帶血,胸痛哮喘,也可有腹痛瘙癢蕁麻疹等過敏症狀。在體內成蟲大量產卵時期,相當於初次感染1個月後,最短10餘天,最長達2個月,多數急性起病,嚴重程度不等。臨床表現主要有發熱,以間歇熱、弛張熱為多見,早晚波動幅度較大,另外患者可有乾咳、氣急、胸痛、心悸。肺部聽診可聞及乾、濕囉音。嚴重的可引起瀰漫性、閉塞性肺小動脈炎,少數可引起肺動脈高壓心力衰竭。此期亦可引起嚴重過敏反應,有蕁麻疹、支氣管哮喘、血管神經性水腫、淋巴結腫大等。卵周圍有急性膿腫形成,可以有氣急、哮喘、胸痛、咳血痰或膿血痰。伴隨噁心、嘔吐、腹痛、腹瀉等腹部症狀在早期相當多見,可以是過敏反應的一部分,但持久的腹瀉都由於蟲卵對腸黏膜刺激所致。肺血吸蟲病慢性期可表現為血吸蟲性慢性支氣管炎、反覆發作的過敏性肺炎、支氣管擴張症、胸膜炎等。

病因

血吸蟲患者的尿等排泄物含有活卵,尤其是糞便中的活卵,為主要傳染源,這些含有活卵的排泄物可以

肺血吸蟲病肺血吸蟲病
污染水源、溝塘,在水中孵化成毛蚴,毛蚴感染釘螺後形成尾蚴。傳播媒介主要是釘螺,釘螺體內的尾蚴可陸續逸出至少1年半以上。傳播途徑主要是通過皮膚與疫水接觸,如游泳、洗衣、捕魚等,亦可在飲用生水時從口腔黏膜侵入體內。任何性別、年齡、職業的人群均為易感人群,在流行病區因有重複感染,故感染程度隨年齡而增高。

生理

尾蚴在疫水中,當與人體接觸時侵入皮膚,脫去尾部變為童蟲,童蟲在皮下停留5~6h,即進入小血管和淋巴管,

肺血吸蟲病肺血吸蟲病
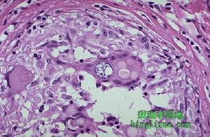
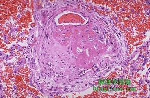
一般在侵入後第2天隨血流經右心、肺動脈到達肺部毛細血管,約在侵入後第8~9天童蟲到達門脈系統寄生並發育為成蟲,之後成蟲逆行到痔上靜脈及腸系膜下靜脈內寄生並產卵,自感染至產卵一般為4~6周。血吸蟲主要在人體門脈系統的血管中寄生,成蟲產出的蟲卵主要沉積在腸黏膜下及肝組織內。如果成蟲寄生和蟲卵沉著在超出此範圍以外的器官組織並造成損害時,則稱為異位血吸蟲病。血吸蟲蟲卵可經肝靜脈或門靜脈的側支循環而入肺,沉積於肺組織。偶有血吸蟲在肺內異位寄生,甚至雌蟲、雄蟲合抱產卵。到達肺部的童蟲可穿過肺泡壁毛細血管而進入胸腔縱隔橫膈而達腹腔,進入門脈系統。當急性期過後或由於肺部小量尾蚴反覆感染和長期侵襲,形成肺慢性血吸蟲病。童蟲移行至肺部,可引起肺組織充血、出血和嗜酸性粒細胞浸潤等過敏性肺炎的病理變化,這些病變常於感染後1~2周出現,很快消失。蟲卵沉積肺部引起的反應因其發育成熟程度而異:成熟的蟲卵可引起組織壞死與急性滲出性炎症,蟲卵沉積處常有血管內膜炎、嗜酸性肉芽腫,感染嚴重時可形成急性膿腫,隨著蟲卵的死亡,膿腫漸被吸收形成肉芽腫,該肉芽腫含有大量類上皮細胞並雜有異物巨細胞,與結核結節很相像,被稱為“假結核”,小的肉芽腫可逐漸纖維化,蟲卵死亡後偶可鈣化;未成熟的蟲卵所引起的組織反應較輕,雖也有“假結核"形成,但嗜酸性粒細胞和中性粒細胞浸潤不多。肺慢性血吸蟲病主要是由於沉積在肺內的血吸蟲卵的機械性或化學性刺激,引起肺間質、支氣管黏膜下層充血、水腫、潰瘍形成,支氣管、細支氣管管腔狹窄,黏膜上皮纖維組織增生、細胞浸潤等改變。

診斷

主要依據有血吸蟲流行區居住和與疫水接觸史,同時具有一般血吸蟲病的其他症狀。X線胸片提示肺內有小結狀或

肺血吸蟲病肺血吸蟲病
粟粒狀病變或炎性病變,伴程度不等的咳嗽、胸痛、咳血痰、哮喘、呼吸困難等症狀。痰內找到血吸蟲卵,或支氣管刷檢、支氣管黏膜活檢找到血吸蟲卵;糞內或直腸乙狀結腸黏膜活檢找到血吸蟲卵。血嗜酸性粒細胞增高,免疫學試驗如皮試陽性、環卵試驗陽性等,可助診斷。
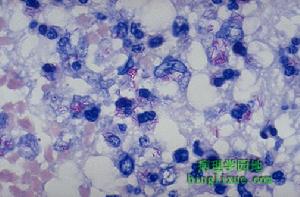
實驗室檢查:急性期白細胞總數和嗜酸性粒細胞計數增高,嗜酸性粒細胞一般占15%~20%,偶可達70%,嗜酸性粒細胞的增多程度與感染輕重不成比例,重症患者可不增多,或反見減少,或代以中性粒細胞增多,為病情兇險之兆。慢性血吸蟲病患者的嗜酸性粒細胞一般不超過20%,而晚期病例則增多不明顯。亦可伴有血紅蛋白降低、肝功能異常。糞便檢查直接塗片的陽性率不高,故一般採用沉澱和孵化法。痰檢也可通過直接塗片法或沉澱和孵化法找到蟲卵或毛蚴。直腸黏膜活檢或壓片可找到蟲卵。免疫學檢查如血吸蟲抗原皮內試驗、環卵沉澱實驗、尾蚴膜試驗以及免疫電泳檢測抗原等方法可以提供輔助診斷。

鑑別

肺血吸蟲病肺血吸蟲病
1.心源性哮喘左心功能不全常出現夜間發作性呼吸困難,伴有呼氣性喘鳴時症狀酷似支氣管哮喘。此類病人常有明顯心臟病史和體徵,多呈端坐呼吸,可有雙肺底瀰漫性細濕囉音等體徵,鑑別有困難時,可吸入選擇性β2受體興奮藥作診斷性治療。

2.自發性氣胸慢性阻塞性肺疾病基礎上出現的氣胸,氣胸體徵常不明顯,而表現為突發性呼吸困難。部分患者出現呼氣性哮鳴(尤其是氣胸對側),臨床上容易與哮喘混淆,要提高警惕性,有可疑者及早作X線檢查以明確診斷。

3.大氣道阻塞性疾患腫瘤、異物、炎症和先天性異常等均可引起喉、聲門、氣管或主支氣管(腔內或外壓性)阻塞,引起呼吸困難和喘鳴音。但這種喘鳴音常在某一部分特別明顯,多為以吸氣相為主的雙相性喘鳴音,常伴雙肺底支氣管呼吸音異常增粗。喉部檢查,X線氣管額面斷層攝片及纖維支氣管檢查可以明確診斷。

4.外源性過敏性肺泡炎此病可出現典型的哮喘表現,但這些病人常有變應原(枯草、鴿糞等)接觸史,X線胸片可見瀰漫性肺間質病變呈斑片狀浸潤,血嗜酸性粒細胞顯著增高,有助於鑑別。

5.急、慢性支氣管炎此類病人可出現喘鳴音和呼吸困難,而哮喘患者亦可以無喘鳴音而僅有發作性乾咳。臨床上有時難以鑑別。但支氣管炎患者的症狀沒有發作性的特點。慢性支氣管炎有長期慢性咳嗽,支氣管炎咳痰一般較多,支氣管擴張劑吸入試驗或晝夜PEF波動率測定有助於鑑別。

6.變態反應性支氣管肺曲菌病(allergicbronchopulmonaryaspergillosisABPA)常以反覆哮喘發作為特徵,伴咳嗽,咳痰,痰多為黏液膿性,有時伴血絲,可分離出棕黃色痰栓,常有低熱,肺部可聞哮鳴音或乾囉音,X線檢查可見浸潤性陰影,段性肺不張,牙膏征或指套征(支氣管黏液栓塞),周圍血嗜酸性粒細胞明顯增高,曲菌變應原皮膚點刺可出現雙相皮膚反應(即刻及遲髮型),血清IgE水平通常比正常人高2倍以上。

檢查

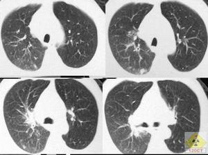
1.X線檢查大多有明確的肺實質性改變,可見肺紋理增加,片狀陰影,粟粒狀改變,肺門陰影增大等。早期兩肺紋

肺血吸蟲病肺血吸蟲病
理增強,繼而兩肺出現散在性點狀浸潤,邊緣模糊,以中下部肺野為多。隨著病情發展,肺部陰影趨於緻密,並有互相融合的傾向,形似支氣管肺炎。當蟲卵死亡,周圍組織反應消失,病變逐漸吸收縮小,邊緣轉為清晰整齊,遺留點狀陰影,與粟粒狀肺結核的表現近似,以後點狀陰影逐漸減少,有時可見鈣化現象。典型X線病變一般在3~6個月內逐漸消失。少數病例肺小動脈廣泛閉塞可引起肺動脈高壓及右心肥厚表現。如有多次疫水接觸史而反覆感染,肺野可有新舊不一,密度不等且大小不均的粟粒狀陰影。慢性肺血吸蟲病可表現有密度增高的片狀陰影,與健康肺組織有明確邊界,狀如炎性假瘤或腫瘤
2.支氣管鏡肺血吸蟲病急性期,部分病例在纖維支氣管鏡下觀察可見支氣管黏膜充血、水腫和黏膜下黃色顆粒;慢性期則有淺表潰瘍,粟粒狀結節、瘢痕,支氣管管腔狹窄,分泌物瀦留等。可通過支氣管刷檢、支氣管黏膜組織活檢找到血吸蟲卵。所見蟲卵以鈣化殼或空殼(黑色)最為常見,偶見成熟或未成熟活卵,活卵無色透明,其中毛蚴清晰可見。如蟲卵形態變化可能為死卵,血吸蟲的死卵可長期存留在組織中不消失。

治療

肺血吸蟲病肺血吸蟲病
血吸蟲病的治療與一般血吸蟲病治療相同。治療血吸蟲病的藥物有吡喹酮、硝基呋喃類美曲膦酯銻劑六氯肺血吸蟲病對二甲苯、硝硫氰胺等,以吡喹酮首選。吡喹酮具有療效高、療程短、不良反應少等優點,一般每次10mg/kg,3次/d,連用2天,總劑量60mg/kg為1療程,必要時可隔2~3天后再服用1個療程。經治療後30%~40%復發,因而要注意複查和復治。

相關詞條


相關詞條

相關搜尋

熱門詞條

聯絡我們