概述
肺動脈高壓指肺動脈壓力升高超過一定界值的一種血流動力學和病理生理狀態,可導致右心衰竭,可以是一種獨立的疾病,也可以是併發症,還可以是綜合徵。
其血流動力學診斷標準為:海平面靜息狀態下,右心導管檢測肺動脈平均壓≥25mmHg。肺動脈高壓是一種常見病、多發病,且致殘率和病死率均很高,應引起人們的高度重視。
病因
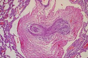
肺動脈高壓引起的叢狀損害1.左心疾病相關性肺動脈高壓
約占全部肺動脈高壓的78.8%.高血壓、糖尿病、冠心病等疾病的後期經常會並發心功能不全,在中、重度患者中會引起肺循環血流動力學改變和肺血管重構,進一步導致肺動脈高壓。
2.先天性心臟病(先心病)相關性肺動脈高壓
先心病相關性肺動脈高壓主要由心內分流引起。醫|學教|育網蒐集整理未經手術治療的先心病患者合併肺動脈高壓的發生率為30%,而經手術治療的患者合併肺動脈高壓的發生率約為15%.
3.結締組織疾病相關的肺動脈高壓
包括各種風濕、類風濕性疾病。如乾燥綜合徵、系統性紅斑狼瘡、硬皮病、血管炎、類風濕性關節炎等都可以引起肺動脈高壓,在中國發病人數很多。這一類疾病並發肺動脈高壓比例很高,且能顯著影響預後,而原發病的識別與處理至關重要。
4.缺氧性肺動脈高壓
中國是菸草大國,由此導致慢性支氣管炎、肺氣腫、慢性阻塞性肺疾病(C0PD)等慢性肺部疾病高發;支氣管擴張、肺結核等這些疾病最後也會導致肺動脈高壓,引起右心衰竭。睡眠呼吸障礙患者也會發生肺血管阻力增加,引起肺動脈高壓,因此慢性阻塞性肺疾病導致的缺氧性是一個值得關注的問題;另一方面高原性肺動脈高壓是國外少有而中國常見的一種疾病。這些患者,由於肺泡缺氧,繼而發生低氧性肺血管收縮,肺動脈壓升高。
5.慢性血栓栓塞性肺動脈高壓
深靜脈血栓形成和肺栓塞在臨床經常遇到,發病率、致死率、致殘率都很高,由此而誘發的慢性血栓栓塞性肺動脈高壓也有很高的發生率,臨床上也很常見。
6.其他
如代謝性疾病、血液系統疾病、腫瘤性疾病、血吸蟲病、愛滋病毒感染等均可以引起肺動脈高壓。
分級
肺動脈高壓Ⅰ級:患者有肺動脈高壓,但體力活動不受限,一般體力活動不會引起呼吸困難、乏力、胸痛和頭暈。
Ⅱ級:患者有肺動脈高壓,體力活動輕度受限,休息是沒有不適,但一般體力活動可引起呼吸困難、乏力、胸痛和頭暈。
Ⅲ級:患者有肺動脈高壓,體力活動明顯受限,休息是無不適,但小於一般體力活動的運動量即可引起呼吸困難、乏力、胸痛和頭暈。
Ⅳ級:患者有肺動脈高壓並且任何活動都可引起症狀的出現,有右心功能衰竭的體徵,休息時可有呼吸困難和(或)乏力,輕微體力活動即可引起明顯的上述症狀。
症狀
肺動脈高壓CT表現肺動脈高壓的症狀是非特異的,早期可無症狀,隨病情進展可有如下表現:
1.呼吸困難:最早出現,也最常見。表現為進行性活動後氣短,病情嚴重的在休息時也可出現。
2.疲勞、乏力、運動耐量減低:與心排量減少,組織灌注不足有關。
3.暈厥:心排量下降導致腦組織供血不足。
4.心絞痛或胸痛:右心缺血所致,與右心室肥厚冠狀動脈灌流減少,心肌相對供血不足有關。
5.咯血:肺毛細血管前微血管瘤破裂所致。
6.聲音嘶啞:肺動脈擴張壓迫喉返神經所致。
7.右心衰的症狀:食慾缺乏、噁心、嘔吐、上腹脹痛,雙下肢、會陰、腰骶部水腫,胸腹水,口唇、指尖、耳廓發紺,神經系統症狀等。
8.某些類型肺動脈高壓還會有原發病的症狀:如結締組織病相關性肺動脈高壓可有脫髮、光敏、口腔潰瘍、關節炎等。
檢查
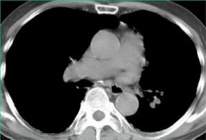
左室中部狹窄合併重度肺動脈高壓1.實驗室檢查:自身抗體、肝功能與肝炎病毒標誌物、HIV抗體、甲狀腺功能檢查、血氣分析、凝血酶原時間與活動度、BNP或NT-proBNP.2.心電圖提示右室超負荷、肥厚和右房擴張。
3.胸片:提示肺動脈高壓的徵象有:右下肺動脈橫徑≥15mm,肺動脈段突出≥3mm,中央肺動脈擴張、外周肺血管丟失形成“殘根征”,右房、右室擴大,心胸比增大。
4.超聲心動圖:用於估測肺動脈壓力,排除其他病因,如先心病、瓣膜病等,還可評價右心功能、判斷預後。
5.肺功能測定:用於明確氣道和肺實質病變,重點參考一氧化碳彌散能力。
6.肺通氣/灌注掃描:幫助判斷有無肺栓塞。
7.高解析度CT和增強CT:提供更詳細的肺實質和肺血管影像學信息。
8.磁共振成像:能直接評估右室形態、大小和功能,也能無創評估部分右心血流動力學特徵。
9.多導睡眠監測:用於排除缺氧性肺動脈高壓。
10.心肺運動試驗:可評價心功能、氣體交換能力,最大氧耗量和EqCO2可用於預測預後。
11.6分鐘步行距離:評價患者運動耐量的重要方法。
12.右心導管檢查和急性血管擴張試驗:右心導管檢查是診斷肺動脈高壓的金標準,可準確獲得肺循環及右心繫統的血流動力學特徵。急性血管擴張試驗用於判斷患者是否對鈣離子阻滯劑治療有反應。
13.肺動脈造影術:排除肺栓塞、肺動脈腫瘤等。
14.胸腔鏡肺活檢:不推薦常規進行。
診斷
1.識別肺動脈高壓高危人群:患分類表中所列舉的基礎疾病者均為肺動脈高壓的高危人群,如患先天性心臟病、結締組織病、門脈高壓、肺部疾病、慢性肺栓塞、HIV感染等基礎疾病者,服用減肥藥、中樞性食慾抑制劑者,家族中有特發性肺動脈高壓或遺傳性肺動脈高壓病史者。
2.肺動脈高壓篩查:超聲心動圖。
3.肺動脈高壓確診:行右心導管檢查。
治療
肺動脈高壓1.一般措施
康復/運動和運動訓練、社會心理支持、避孕、疫苗接種。
2.支持治療
3.靶向藥物治療
4.介入治療
先天性心臟病相關性肺動脈高壓:有適應證的,可進行介入封堵治療。
慢性血栓栓塞性肺動脈高壓及大動脈炎累及肺動脈者:有適應證者,可行肺血管球囊擴張術和支架置入。
5.手術治療
肺動脈血栓內膜剝脫術:是慢性血栓栓塞性肺高壓首選治療措施,適應證為心功能Ⅲ、Ⅳ級,肺動脈平均壓達30mmHg以上,肺血管阻力>300dyn·s/cm,血栓位於肺段以上動脈手術能達到者。
肺移植術:對於藥物治療無效的肺動脈高壓患者者推薦做肺移植手術。
預防
一級預防:針對普通人群,提倡健康的生活方式,戒菸、限酒、慎用減肥藥等。
二級預防:針對高危人群,特別是患分類表中列舉的基礎疾病者,如先天性心臟病、結締組織病、門脈高壓、肺部疾病、慢性肺栓塞、HIV感染,服用減肥藥、中樞性食慾抑制劑,家族中有特發性肺動脈高壓或遺傳性肺動脈高壓病史者,應注意監測,積極控制、治療原發病,及時發現肺動脈高壓。
三級預防:針對肺動脈高壓患者,應改善預後,積極治療,避免懷孕、感冒、重體力活動等加重肺動脈高壓病情的因素。
費用
2008年,中華慈善總會曾啟動“全可利慈善援助項目”,使受捐助的該病患者用藥費用由每月2萬多元降低到4000多元。
2012年7月8日,北京慈善醫療救助基金計畫啟動,首次將罕見病肺動脈高壓納入救助範圍,符合條件的患者,個人承擔費用的40%將受到該基金的捐助。

