枸櫞酸桿菌肺炎體徵
枸櫞酸桿菌肺炎2.體徵枸櫞酸桿菌肺炎可有呼吸音增粗,一側或雙側下肺濕性囉音。當出現肺葉、段實變時可於相應肺葉、段出現語顫增強,叩濁,聞及支氣管呼吸音或濕性囉音。如有胸腔積液,可有積液側語顫及呼吸音均減弱。此外部分病人可有呼吸急促,發紺,血壓下降、黃疸等。
病因
枸櫞酸桿菌肺炎1.形態和染色枸櫞酸桿菌為有動力,無芽孢,革蘭染色陰性的需氧或兼性厭氧桿菌。
2.培養與生化反應枸櫞酸桿菌在simmons枸櫞酸鹽培養基中生長。可在含有KCN(氰化鉀)的培養基內生長。在jordoni酒石酸鹽培養基中生長產酸。弗勞地枸櫞酸桿菌可產生硫化氫。枸櫞酸桿菌能發酵葡萄糖、甘露醇,通常產氣。此外,還可發酵山梨醇、阿拉伯糖、鼠李糖、麥芽糖、木糖、蕈糖、纖維二糖及甘油。還原硝酸鹽。不發酵戊五醇及肌醇。對乳糖、蔗糖及水楊酸的發酵能力各菌株間不一致。不能使賴氨酸和苯丙氨酸脫氨基。無DNA酶。不液化明膠。多數菌株能緩慢產生尿素酶。吲哚反應陰性。MR(甲基紅)反應陽性。V-P反應陰性。硝基半乳糖苷(Onitrophenyl-β-D-galactoside)半乳糖酶(onpg)試驗為陽性反應
3.抗原與分離枸櫞酸桿菌的特徵與沙門菌有相似之處,其中有的細菌具有Vi抗原,而被稱為巴勒盧普沙門菌(salmonellbalIerup)。此群菌株的主要成員曾一度被稱為貝薩斯達-巴勒盧普沙門菌(salmonellbethesda-ballerup)。而作為埃希菌屬的一個菌種(弗勞地埃希菌)。通過對貝薩斯達-巴勒盧普菌群進行研究。建立了32個“O”群和75種“H”抗原。後來Sedlak及Slajsova又發現了10個新的“O”群,其中有些是原來劃分為埃希菌的菌株。目前大約有40個以上的“O”群。本群菌株的“O”抗原與沙門菌屬及埃希菌屬中的一些“O”群有交叉抗原性。
生理
枸櫞酸桿菌肺炎診斷
枸櫞酸桿菌肺炎檢查
枸櫞酸桿菌肺炎(1)血常規:外周血白細胞及中性粒細胞可增高,但嚴重病人可降低。
(2)常規痰液塗片革蘭染色:可發現大量革蘭陰性桿菌。
(3)動脈血氣分析:嚴重病人PaO2可下降,部分病人可伴PaCO2升高。並可有不同程度的酸鹼失衡。
(4)血生化檢查:部分病人可有尿素氮、肌酐、轉氨酶、膽紅素升高等。
2.病原學檢查
1)血培養:枸櫞酸桿菌肺炎在有菌血症時多有血培養陽性。一般血源性枸櫞酸桿菌肺炎的血培養陽性率較高。有時血培養陰性而骨髓培養陽性。
2)痰培養:此法簡單、方便、病人易接受。但易受上呼吸道寄殖菌的污染而影響結果的準確性。因此要求選擇病人用3%過氧化氫清潔漱口後由肺深部咳出的痰,並進行痰液清洗和勻化定量檢查後培養,可大大提高陽性率和診斷的準確性。
3)直接採集下呼吸道分泌物培養:避免了上呼吸道細菌污染,較準確,但有一定創傷性。臨床上可根據各種方法的優缺點、醫院條件及醫生的技術水平選用。以提高病原體的診斷率。特別是對於醫院獲得性枸櫞酸桿菌肺炎者,應爭取採用下列方法送檢下呼吸道分泌物培養。
①經環甲膜穿刺插入細塑膠導管抽吸下呼吸道分泌。優點是不經口、鼻、咽腔,減少了污染。但有一定創傷,穿刺不慎可能出現皮下氣腫、出血等。
②在X線胸透定位下,經胸壁穿刺抽吸病灶部位的肺組織及分泌物。優點是完全避免了上呼吸道分泌物的污染。缺點是創傷大,氣胸出血等併發症可高達20%,但細菌檢出率達84%。
③經纖維支氣管鏡採取下呼吸道分泌物:A.經纖維支氣管鏡直接抽吸分泌物培養;B.經纖維支氣管鏡行支氣管肺泡灌洗液定量培養,敏感性和特異性分別是90%和97%,在已接受抗生素治療者的敏感性和特異性分別是78%和96%;C.經纖維支氣管鏡導管支氣管肺泡灌洗培養;D.纖維支氣管鏡有塞雙套管標本刷檢採樣培養。可防止標本受污染;E.在X線胸透定位下,經纖維支氣管鏡肺活檢。可用於診斷及鑑別診斷,但有創傷性。
4)其他體液培養:如胸腔積液、腦脊液、尿液等培養。經上述方法檢查,可得到枸櫞酸桿菌的陽性結果。為指導治療,應同時加做藥敏試驗。此外,有些繼發性枸櫞酸桿菌肺炎,除培養出枸櫞酸桿菌外,還有其他革蘭陰性或陽性菌生長。
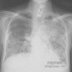
其他輔助檢查:X線表現:枸櫞酸桿菌肺炎的胸片主要表現為支氣管肺炎,可為局灶性浸濕陰影或瀰漫性雙側下肺浸潤陰影,肺小膿腫。胸腔積液及膿胸較少見。
鑑別
枸櫞酸桿菌肺炎2.其他革蘭陰性桿菌肺炎枸櫞酸桿菌肺炎與克雷白桿菌肺炎,銅綠假單胞菌肺炎,變形桿菌肺炎,沙雷菌肺炎及摩根摩根菌肺炎的表現均相似。特別是在醫院獲得性感染中,克雷白桿菌肺炎的典型表現如紅磚樣痰,銅綠假單胞菌肺炎的黃綠痰均缺乏,因此,鑑別主要依據血、痰、胸水及下呼吸道分泌物細菌學檢查。有時它們之間常存在混合感染,特別是繼發性枸櫞酸桿菌肺炎者,應引起注意。
治療
枸櫞酸桿菌肺炎1.抗生素治療早期選用敏感抗生素是治療的關鍵。曾對枸櫞酸桿菌有效的抗生素如慶大黴素,卡那黴素,氯黴素,氨苄西林(氨苄青黴素),羧苄西林(羧苄青黴素),頭孢噻吩,吡哌酸及磺胺藥物,現在已發現有耐藥現象。近幾年來,耐藥菌逐年增多,且為多重耐藥。特別是醫院內獲得性感染者耐藥現象更常見。枸櫞酸桿菌能產生可誘生的β-內醯胺酶,這種誘導型酶系由染色體上一組Amp基因介導的,且在50%枸櫞酸桿菌中發現能轉移耐藥現象(R+因子)因而產生廣泛的耐藥率。不僅對第一代頭孢菌素耐藥,而且對第三代頭孢菌素也有耐藥現象。如對頭孢曲松(頭孢三嗪)、頭孢哌酮和頭孢他啶(頭孢噻甲羧肟)的耐藥率分別為36%,41%和37%。但現認為第三代頭孢菌素和喹諾酮類抗菌藥物,對枸櫞酸桿菌仍有較強的抗菌活性。臨床研究發現不同的枸櫞酸桿菌種、株對抗生素的敏感性差異大。因此,抗生素套用應以藥敏為依據,選用第三代頭孢菌素或喹諾酮類抗菌藥物。在藥敏前,經驗性治療可用阿米卡星(丁胺卡那黴素)聯合一種第三代頭孢菌素或喹諾酮類抗菌藥物。可選用的抗生素有:頭孢曲松(頭孢三嗪噻肟)1.0~2.0g/次靜注,1~2次/d,頭孢哌酮(頭孢氧哌唑)2.0~4.0g/次靜注,2~3次/d,頭孢他啶(頭孢噻甲羧肟)1.0~2.0g/次靜注,2~3次/d,環丙沙星200~400mg/次靜注,2次/d,氨曲南1.0~2.0g/次靜注,3次/d,阿米卡星(丁胺卡那黴素)15mg/(kg?d),分2~3次靜注,頭孢替坦2.0~4.0g/d,分2次靜注,頭孢拉宗(頭孢布宗)2.0~4.0g/d,分2次靜注,頭孢特侖(頭孢特侖新戊醯氧甲酯)300~600mg/d,分3次口服,頭孢甲肟2.0~4.0g/d,分2次靜注。廣譜青黴素與β-內醯胺酶強效抑制劑複合製劑可於用治療枸櫞酸桿菌耐藥株,常用的有阿莫西林/克拉維酸鉀(奧格門汀)375mg口服,3次/d或1.0g靜滴,3次/d,替卡西林/克拉維酸鉀(泰門汀)每天9.6g,分3次靜滴,舒他西林(優立新)(Unasyn)4.5~9.0g/d,分2次靜滴,哌拉西林/三唑巴坦(8∶1)和頭孢哌酮/舒巴坦(1∶1)也可用於治療。新近開發的新型頭孢菌素FK037對弗勞地枸櫞酸桿菌的MIC90為6.25μg/ml,其對第三代頭孢菌素有耐藥的枸櫞酸桿菌有強大抗菌活性。亞胺培南(伊米匹能,複方亞胺硫黴素)也可用於對第三代頭孢菌素耐藥的枸櫞酸桿菌治療。以亞胺培南(亞氨硫黴素)劑量表示,中度感染500mg靜滴,3次/d,嚴重感染2.0~4.0g/d,分3~4次靜滴。為了提高枸櫞酸桿菌肺炎的抗生素治療效果。
2.促進排痰糾正缺氧。保護心、腎、肝及腦功能對於枸櫞酸桿菌肺炎應鼓勵病人咳嗽、排痰,對痰黏稠者可在補充水分同時霧化吸入排痰,套用支氣管擴張藥,祛痰藥,以保持呼吸道通暢。吸氧糾正低氧血症,防治心、腎、肝及腦功能衰竭的發生。
3.加強原發病、併發症及營養支持治療枸櫞酸桿菌肺炎伴有原發病及併發症要有積極治療,並補充足夠營養,對嚴重病人可適當給輸新鮮血漿、人血白蛋白、人血丙種球蛋白(丙種球蛋白),對粒細胞減少者可補給人血白細胞。並加強護理,防止交叉感染。
預防
枸櫞酸桿菌肺炎預防:本病治療較困難,因此預防非常重要。應提高機體抵抗力,防止發生枸櫞酸桿菌肺炎。要積極治療原發病;正確掌握抗生素、糖皮質激素使用指征;保持病房內空氣新鮮潔淨,特別是對於重症監護室、新生兒室、老年病房及其他易感者所住病房。如腫瘤化療放療病人,腎移植病人等,要定期用紫外線照射,地板濕擦消毒劑;各種診斷及治療操作,特別是呼吸治療儀器應嚴格無菌消毒制度;及時治療病人加強護理,防止交叉感染。
流行病
枸櫞酸桿菌肺炎枸櫞酸桿菌現已成為醫院獲得性感染的主要細菌,特別是醫院獲得性肺炎。本菌主要通過內源性吸入進入到肺臟,或經機械通氣,霧化吸入,纖維支氣管鏡檢查等使細菌直接進入到肺臟。也可經菌血症或敗血症播散到肺臟。在醫院內,病人是主要傳染源,醫護人員的手、醫療器械是病人間交叉感染的主要途徑。現已從病人體內分離出各種枸櫞酸桿菌。
