沙雷菌肺炎體徵
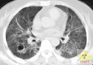
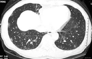
沙雷菌肺炎2.體徵雙肺可聞及乾濕性囉音,當肺葉或肺段出現實變時,可有相應肺段、肺葉的語顫增強,叩濁、可聞及支氣管呼吸音。危重病人可能有呼吸急促、發紺及休克等。
病因
沙雷菌肺炎2.培養與生化反應沙雷菌對生長的培養基要求不高。在營養瓊脂、遠藤瓊脂,麥康凱瓊脂、血瓊脂平板上均可生長。黏質沙雷菌菌落圓形,略呈粗糙有黏性。在低於37℃的溫度培養時,鞭毛較易發育。為需氧或兼性厭氧菌。沙雷菌能發酵葡萄糖,但只有部分菌株產生少量氣體。不發酵乳糖、衛矛糖、阿拉伯糖、棉子糖及鼠李糖,可發酵甘露醇、水楊苷及山梨醇,對側金盞花醇及肌醇發酵力不一致。不形成吲哚,大部分菌株甲基紅反應為陰性,在氰化鉀培養基內生長。大部分菌株迅速液化明膠,少數為遲緩反應。具有賴氨酸和鳥氨酸脫羧酶。但不形成精氨酸雙水解酶及苯丙氨酸脫氨酶,不利用丙二酸鈉,能利用枸櫞酸鹽,VP反應陽性,在三糖鐵培養基上(TSI)產酸不產氣。能產生細胞外DNA酶,脂肪酶。沙雷菌產生紅色色素,在低於37℃培養時,色素產生往往更豐富,但多次傳代後產生色素的能力減弱,甚至消失。1902年Kroft提取該色素並命名為“靈菌紅素”(prodigiosin),因而黏質沙雷菌過去稱為靈桿菌。直到1960年才被Rapoport和Hollen闡明其化學結構。靈菌紅色素溶於酒精、乙醚、氯仿等有機溶劑,不溶於水。靈紅菌素是一種脂多糖,有報導它具有提高白細胞數量和消炎作用。產生色素與不產生色素菌株均可致病,可引起敗血症、尿道及呼吸道感染,骨髓炎及術後傷口感染。
3.抗原與分型沙雷菌有菌體“O”抗原和鞭毛“H”抗原。現已知有15種O和13種H,共46個血清型。
4.誘發因素沙雷菌肺炎多發生在原有基礎疾病的住院病人。A11en等在Temple大學醫院觀察了135例黏質沙雷菌感染,89%病例與宿主抵抗力降低有關。凡能導致機體免疫功能損害的情況都可能成為引起感染的誘因,如各種嚴重疾病,惡性腫瘤、白血病、糖尿病、肝硬化、心衰、慢性支氣管炎、肺心病、尿毒症及燒傷等;長期濫用類固醇激素、免疫抑制劑、損害全身免疫功能;部分有創性檢查和治療,如大手術,留置導尿管、靜脈插管,血液及腹膜透析等;呼吸科治療措施,如氣管插管、氣管切開、機械通氣、霧化吸入等可使沙雷菌直接吸入到肺臟。此外,長期使用廣譜抗生素及麻醉品成癮者,使沙雷菌易於呼吸道寄殖,導致感染髮病的可能,特別是在新生兒、老年人及孕婦。
生理
沙雷菌肺炎診斷
沙雷菌肺炎檢查
沙雷菌肺炎(1)外周血象示白細胞和中性粒細胞增高,血小板可降低。
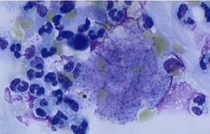
(2)痰液檢查常規塗片革蘭染色,可見大量革蘭陰性桿菌。
(3)嚴重病例常有低氧血症,部分病人可伴高碳酸血症,可有不同程度酸鹼失衡。
(4)部分病人可出現腎衰,BUN、Cr升高。
2.病原學檢查
(1)血培養:由於沙雷菌肺炎常為菌血症性,如能抓住時機抽血培養,可發現沙雷菌生長。一般血源性沙雷菌肺炎血培養陽性率高。
(2)痰液細菌培養:此法簡單、方便、病人易接受。但易被上呼吸道寄殖菌的污染。因此,要求標本為來自肺深部,並先進行清洗和勻化定量檢查後送培養,以提高準確性。
(3)直接採集下呼吸道分泌物培養:直接採取下呼吸道分泌物,可減少上呼吸道菌群的污染,結果較準確,但有創傷性,需一定條件,臨床上可根據各種方法的優缺點及醫院條件和操作者的技術水平選用下列方法之一,特別是對於醫院內獲得性沙雷菌肺炎者,常用的檢查方法有:①經環甲膜穿刺插入無菌細塑膠導管,抽吸下呼吸道分泌物,由於不經口鼻咽腔,減少了咽部細菌的污染,但有一定的創傷性。②在X線胸透定位下,經胸壁穿刺抽吸肺部炎症浸潤陰影部位的肺組織和分泌物,完全避免了上呼吸道污染,但創傷性較大,出血及氣胸等併發症可達20%。③經纖維支氣管鏡抽吸分泌物,是一較安全的檢查方法,但需一定設備,且操作者要有一定技術水平。
(4)其他體液培養:中段尿細菌培養、骨髓細菌培養、和胸腔積液培養可發現沙雷菌生長。
經上述各種體液培養,可得到沙雷菌的陽性結果,為指導治療,應在培養出細菌時加做藥敏試驗,對於混合感染者可同時培養出其他細菌。
治療
沙雷菌肺炎2.對症治療促進排痰保持呼吸道通暢,糾正缺氧,要鼓勵病人咳痰,必要時霧化吸入,並給支氣管擴張劑,祛痰劑,吸氧糾正呼衰,保護心、腎、腦、肝功能,防治多臟器衰竭。
3.積極治療原發病及併發症,加強營養及支持治療要積極治療原發病及各種併發症,補足病人所需能量,適當輸新鮮血漿,人血白蛋白,人血丙種球蛋白,粒細胞,有報導用鼠單克隆抗體E5拮抗內毒素。
流行病
沙雷菌肺炎國際醫院獲得性感染研究組織,1984年報導醫院獲得性感染中,60%以上是由需氧性革蘭陰性桿菌引起,黏質沙雷菌占5.8%,Duggan等於1984年報導某醫院新生兒室在1年內,共發生32例黏質沙雷菌感染,其中肺炎5例。Saito等於1989年報導118例癌症發生沙雷菌血症,原發病多為急性白血病,多為醫院內獲得性感染,61%病人入院前10天用過抗生素治療,38%病人伴有肺炎。Watanakunakorn於1989年報導44例沙雷菌菌血症,因下呼吸道感染引起者有11例。Sokalsk等於1992年報導14例病人心臟外科手術後發生黏質沙雷菌感染,其中肺炎9例。國內過去有關沙雷菌感染報導較少。李氏1989年報導沙雷菌肺炎敗血症1例。尹氏等1992年報導黏質沙雷菌感染27例,其中肺部感染17例且均為院內感染。趙氏於1994年報導36例下呼吸道感染分離出31株細菌,沙雷菌5株。現在沙雷菌已成為醫院獲得性肺炎的主要病原體之一。據報導在醫院獲得性感染中,沙雷菌引起大約4%的菌血症性下呼吸道感染。沙雷菌引起呼吸系統感染的類型有肺炎、肺膿腫,支氣管擴張、膿胸。其外沙雷菌還可引起腦膜炎、關節炎、骨髓炎、敗血症、皮膚傷口感染等。本菌感染的病死率高,有報導達30%。
沙雷菌引起醫院獲得性肺炎的傳播途徑有:內源性吸入,外源性吸入和肺外病灶經菌血症播散至肺。以外源性吸入為主,如機械通氣霧化吸入可將本菌直接吸入到肺臟。沙雷菌常易於在慢性嚴重住院病人的上呼吸道寄殖。呼吸道是沙雷菌入侵的主要門戶。沙雷菌可經氣溶膠傳播吸入呼吸道引起感染。病人通過吸入含有沙雷菌的灰塵、空氣而引起肺部感染。在醫院可因使用了沙雷菌污染的靜脈輸液,外用消毒液,洗手液而引起皮膚傷口感染,菌血症,腦膜炎。經血行最後播散到肺部。此外,醫生、護士和病人的手與手的傳播在住院病人中也是主要的傳播途徑,可引起交叉感染。部分有創性操作如靜脈輸液,靜脈置管、腰穿、導尿、血液和腹膜透析、氣管插管、氣管切開、主動脈內球囊反搏、輸血等均可引起沙雷菌感染及流行。
