老年終末期肺炎

老年終末期肺炎

老年終末期肺炎是指各種疾病晚期或長期臥床,體質極度衰竭導致的免疫機能低下和呼吸系統防禦機能的減退所致的肺炎。症狀①大多無典型肺炎的症狀如發熱、咳嗽、咳痰等,起病方式一般以精神萎靡、乏力、臥床、大小便失禁、神志變化、跌倒多見,易誤診及漏診。②病情變化多端,併發症多見,如呼吸衰竭、心腎功能衰竭、心律失常、電解質紊亂、脫水等,預後較差。③常有多臟器功能受累或營養不良、全身衰竭。④療效差,病死率高。⑤有反覆感染的特點。⑥常有二重或多重感染。⑦起病隱襲,病程易遷延。

基本信息

疾病描述

老年終末期肺炎老年終末期肺炎
老年終末期肺炎是指各種疾病晚期或長期臥床,體質極度衰竭導致的免疫機能低下和呼吸系統防禦機能的減退所致的肺炎。引起終末期肺炎的常見疾病有:各種腦血管病恢復期,惡性腫瘤晚期,重症糖尿病患者,肝腎功能衰竭,腦外傷,放療化療患者,獲得性免疫缺陷症(AIDS),大手術後,器官移植患者,以及留置導尿和氣管插管的患者。常將這些患者稱為免疫損害宿主,其合併感染的發生率相當高,其中以肺部感染最為常見,也是死亡的主要原因。

症狀體徵

老年終末期肺炎咳嗽
1.症狀 ①大多無典型肺炎的症狀如發熱、咳嗽、咳痰等,起病方式一般以精神萎靡、乏力、臥床、大小便失禁、神志變化、跌倒多見,易誤診及漏診。②病情變化多端,併發症多見,如呼吸衰竭、心腎功能衰竭、心律失常、電解質紊亂、脫水等,預後較差。③常有多臟器功能受累或營養不良、全身衰竭。④療效差,病死率高。⑤有反覆感染的特點。⑥常有二重或多重感染。⑦起病隱襲,病程易遷延。

2.體徵 意識模糊、嗜睡及昏睡,呼吸淺促,合併酸中毒時呼吸深大,合併低氧血症時出現發紺,伴脫水時可有脫水貌及皮膚彈性差。典型肺部體徵多於背部聞及濕囉音,形成阻塞性肺炎時可有呼吸音消失。但終末期肺炎往往缺乏體徵。

疾病病因

老年終末期肺炎奴卡菌
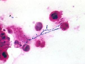
終末期肺炎患者以老年人為多。隨著年齡的增大,其呼吸系統結構、功能及呼吸力學的退行性變,上呼吸道的加濕功能減退,排痰能力減退,特別是腦血管病、意識障礙的患者,吞咽反射及咳嗽反射的刺激閾均明顯升高,喉頭功能障礙,睡眠中易出現誤吸造成吸入性肺炎。鼻飼患者由胃管刺激引起嘔吐也可導致吸入性肺炎。故在終末期肺炎中,吸入性肺炎占有相當多的比例。也有一部分是由於機體免疫力低下,細菌從身體其他部分通過血行進入肺內,造成肺部感染,其中包括真菌。老年終末期肺炎常因排痰能力減弱,或由於意識障礙,得不到滿意的痰標本,因而病原菌不明確的病例遠較一般肺炎多,一般來說免疫損害的相關因素與易感病原體存在一定的關係。由T 細胞異常造成免疫損害的終末期患者易感染李斯特菌、分枝桿菌屬、奴卡菌屬、沙門菌(除傷寒外)、軍團菌屬,真菌包括新型隱球菌、組織胞漿菌毛黴菌、球孢子菌。病毒包括巨細胞病毒、帶狀皰疹病毒、單純皰疹病毒。寄生蟲包括卡氏肺孢子蟲、糞類圓線蟲。由B 細胞異常造成免疫損害的終末期患者主要感染菌為肺炎鏈球菌、流感嗜血桿菌。粒細胞缺乏患者主要感染大腸埃希菌、銅綠假單胞菌、克雷白桿菌、沙雷菌及其他革蘭陽性桿菌、真菌。脾切除術的終末期患者易感染肺炎鏈球菌金黃色葡萄球菌流感嗜血桿菌大腸埃希菌。套用激素或細胞毒藥物的終末期患者的感染菌為金黃色葡萄球菌、李斯特菌、銅綠假單胞菌及其他革蘭陰性桿菌、真菌、巨細胞病毒帶狀皰疹病毒、卡氏肺孢子蟲、弓漿蟲、糞類圓線蟲。屏障破壞及帶有各種插管的終末期病人主要感染葡萄球菌、銅綠假單胞菌等。

病理生理

老年終末期肺炎微生物
人每天吸入的空氣在1 萬升以上,其中可能含有大量微生物,一般情況下肺和呼吸道的防禦機制可將這些致病因子排出、滅活和消除,但如吸入的病原微生物過多或過強或肺的防禦功能減退就可能導致呼吸道炎症的發生。老年人的肺與肺氣腫頗相似,胸廓硬度增加,呼吸肌力量減弱,故咳嗽效果減少,加之支氣管纖毛活動減退和無效腔增大,易發生呼吸道感染。終末期肺炎大多為小葉性支氣管性肺炎,即感染可沿支氣管分布,由於此類患者吞噬細胞功能的減退,不能及時吞噬肺泡內的異物(死亡的細菌等),易導致吸收延緩性肺炎,即套用敏感抗生素後,症狀體徵消失,但胸部X 線檢查炎症陰影長期不吸收。吸入性肺炎時吸入物可刺激氣管引起支氣管痙攣,之後造成支氣管上皮的急性炎症及支氣管周圍炎症浸潤,進入肺泡的胃液迅速擴散至周圍組織,肺泡上皮細胞破壞、變性,並累及毛細血管壁,血管通透性增加,形成間質性肺水腫。吸入食物或異物時若將口腔寄居菌帶進肺內,形成肺膿腫。肺水腫使肺組織彈性減弱,順應性降低,肺容量減少,加之肺泡表面活性物質的減少,使小氣道閉合,肺泡萎陷引起微肺不張,均可造成通氣不足,通氣血流比例失調和動靜脈分流增加,導致低氧血症或酸中毒。

診斷檢查

老年終末期肺炎肺部
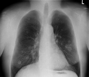
診斷:老年終末期肺炎大多數缺乏典型症狀和體徵,診斷主要依據肺部X線,有小片狀陰影,結合肺部可聞及水泡音,即可診斷。

實驗室檢查:血液化驗:白細胞增多不如一般肺炎多見,有40%~50%的病例白細胞在正常範圍,90%病例可有核左移,50%病例有不同程度的貧血,80%左右的患者血沉增快,常合併低蛋白血症,血漿蛋白及總蛋白均低於正常。低鉀及低鈉、低氯血症常見。血氣分析50%病例有低氧血症,二氧化碳分壓常在正常水平,當合併慢性阻塞性肺疾病時,可出現高碳酸血症。痰細菌學檢查:終末期肺炎患者由於排痰能力減弱,或由於意識障礙得不到滿意的痰標本,因而病原學診斷較困難,但對於重症或經驗性治療無效的患者迫切要求可靠的病原學診斷。目前最有用的技術是經纖支鏡防污染取痰,但存在著一定的危險性,一般來說如氧分壓>8kPa(60mmHg),無嚴重的心血管疾病,無凝血機制異常,經過充分準備,此項技術是可用的。終末期肺炎的常見致病菌為肺炎鏈球菌、流感嗜血桿菌、大腸埃希桿菌、銅綠假單胞菌、克雷白桿菌、金黃色葡萄球菌、李斯特菌及其他革蘭陰性桿菌。其他病原體還包括真菌、病毒(巨細胞病毒、帶狀皰疹病毒等)、寄生蟲(卡氏肺孢子蟲、糞類圓線蟲)等。

其他輔助檢查:
1.心電圖 本病有60%~70%病例心電圖可出現異常,包括T 波倒置、ST 段下移、期前收縮、心房纖顫、肺型P 波等。
2.影像學 終末期肺炎由於症狀、體徵不明顯,故診斷主要依據X 線,多顯示小片狀陰影,沿支氣管走行,右下肺為著,但臨床上也可聽到肺部可聞及明顯的水泡音,而胸片炎症徵象不明顯者,可能與長期臥床、炎性分泌物積聚到脊柱旁導致炎症陰影顯示不清有關。除此以外如合併心衰可見心影增大,並可見胸腔積液徵象,其原因考慮由於胸膜炎症反應,低蛋白血症及心衰綜合因素所致。

鑑別診斷

老年終末期肺炎肺結核
1.心力衰竭 左心衰竭早期有咳嗽,咳泡沫痰,呼吸困難較顯著,不能平臥,兩肺濕囉音較為廣泛,且可隨體位而改變。

2.肺癌伴發阻塞性肺炎 經充分的抗生素治療效果不理想或肺內陰影性質不明時,應作痰脫落細胞、癌胚抗原、X 線體層攝片、CT 以及纖維支氣管鏡等檢查,有助於診斷。

3.肺結核 老年肺結核常缺乏典型的症狀、體徵和X 線表現,對發熱原因不明、X 線有明顯陰影存在、一般抗感染效果不佳者,應考慮肺結核的可能。仔細追溯病史,X 線片上老結核灶的存在及痰抗酸桿菌檢查有助於診斷。

4.肺栓塞 有外科手術、外傷、心臟病(尤其合併心房纖顫者)及動、靜脈炎病史,表現為突發性呼吸困難,咳嗽、咳血痰及胸痛明顯。心電圖典型變化有助於鑑別。

5.其他 伴消化道症狀者應與急性胃腸炎、急腹症鑑別;休克型肺炎應與腦血管意外及其原因所致休克等進行鑑別。

治療方案

老年終末期肺炎西力欣
1.常規治療 鑒於終末期肺炎患者的特點,在抗菌治療時應注意以下問題:①詳細詢問病史,仔細查體,了解基礎疾病,既往用藥情況,明確感染的嚴重程度。②儘可能拿到準確的病原學依據。③儘快開始經驗性抗菌治療。④根據病原學情況,隨時調整用藥。⑤注意觀察藥物的不良反應。⑥避免使用對肝腎功能有損害的藥。抗生素的經驗性治療,社區獲得性肺炎可選用青黴素族或青黴素族+β-內醯胺酶抑制劑類,第二代頭孢(葛蘭素公司生產的頭孢呋辛(西力欣),新大環內酯類等。醫院獲得性肺炎可選用第三代頭孢、氨基甙類或喹諾酮類。隨著新藥的不斷開發和面世,具有新特點或新優勢的藥物可能更適合老年終末期肺炎患者。新大環內酯類如阿奇黴素(輝瑞公司生產的希舒美),其抗菌譜有所擴展,藥動學得到明顯改善,消化道反應明顯減輕比較適合於老年終末期肺炎,且對支原體感染有效;亞胺培南雖上市多年,但仍是目前各種抗生素中耐藥率最低者,對於重症感染仍不失為療效最佳的一種藥物;頭孢三代抗生素+β-內醯胺酶抑制劑,如頭孢哌酮/舒巴坦(舒普深)在耐藥率不斷提高的今天,仍具有良好的套用價值,同樣適用於老年患者。頭孢他啶 (葛蘭素公司生產的復達欣)抗革蘭陰性桿菌特別是抗銅綠假單胞菌活性最強,對酶穩定,耐藥性較低,對重症患者尤其有用。哌拉西林聯合他唑巴坦的新製劑如他唑仙(聯邦製藥生產),具有副作用小、抗菌活性強、很少引起真菌感染等特點,不失為一種好藥。
具有免疫調節作用的抗生素備受關注,增強人體非特異性免疫的有頭孢克洛、頭孢地秦、亞胺培南-西司他丁鈉(泰能)等;增強特異性免疫功能的有頭孢哌酮(先鋒必)、頭孢哌酮/舒巴坦(舒普深)、環丙沙星、氧氟沙星等。上述藥物對老年免疫功能低下病人及慢性疾病終末期病人抗感染時的免疫調節作用具有重要意義。真菌感染目前套用最廣泛的為氟康唑(輝瑞公司產大扶康)。兩性黴素B 由於毒副作用大,只在特殊情況下再考慮套用。病毒感染如巨細胞病毒,套用更昔洛韋(可同時套用高劑量丙球靜滴),單純皰疹病毒、帶狀皰疹病毒可用阿昔洛韋。干擾素在治療病毒感染早期有一定作用。

2.擇優方案:
(1)0.9%鹽水60ml+亞胺培南-西司他丁鈉(泰能)0.5g,1 次/8h,靜滴。或0.9%鹽水100ml+頭孢哌酮/舒巴坦(舒普深)2.0g,2 次/d,靜滴。或0.9%鹽水100ml+他唑仙4.5g,2 次/d 靜滴。
(2)如合併真菌感染,給予氟康唑(大扶康)0.2~0.4g,1 次/d,口服。

3.康復治療 肺炎的好發季節主要為冬春,患有慢性疾病特別是終末期患者更是如此,主要是由於冬春季節空氣乾燥、氣候寒冷,呼吸道局部防禦能力下降,肺炎病原微生物往往乘虛而入所致,所以這些患者在冬春季節要時刻警惕,做到“冬病夏治”。另外吸菸也可促使肺內局部防禦力減弱,也是導致肺炎的一個重要原因。故應教育患者戒菸。肺炎患者的飲食應該以病人的康復、營養物質的補充和增強機體抗病能力為原則,進食高熱量、高維生素、高蛋白、易消化飲食。發熱病人要多飲水、多食水果、不宜食用含脂肪較高食物。對於意識障礙、長期臥床、衰竭、咳痰反射減弱的患者,要定期翻身拍背,做霧化治療,必要時吸,以利於痰液引流。對於低氧血症病人,應給予吸氧,改善器官功能狀態。如進食困難,可給予鼻飼或靜脈高營養,以改善機體營養狀態。

併發症

併發症有呼吸衰竭、心律失常、心腎功能衰竭、電解質紊亂等。

預後及預防

老年終末期肺炎脊柱
預後:老年終末期肺炎的發病率高於青壯年肺炎,隨著年齡的增加,發病率增高,病死率明顯的上升,老年終末期肺炎的病死率是青壯年肺炎的3 倍。

預防:隨著人口的老齡化,呼吸系統的結構與功能發生一系列的變化,這些變化包括咳嗽反射降低,脊柱彎曲後突等使老年人傾向於易患肺炎及導致死亡。老年人機體防禦機能的改變包括肺組織黏液分泌增加,纖毛運動減弱,多形核白細胞吞噬活力降低,以及與增齡相關的T 細胞功能的顯著缺乏,這些都為微生物的入侵創造了可乘之機。患有各種慢性疾病的老年患者至終末期時,極易合併肺炎,從預防的角度,對於上述疾病終末期患者社區應進行登記備案,定期對本人及家屬進行健康宣教,可根據季節變化及病原體流行情況進行針對性的預防接種,儘量避免接觸呼吸道感染患者,經常開窗通風,定時煮沸食進行房間空氣消毒,對於長期臥床患者,要定期翻身、拍背,以利於呼吸道分泌物的引流,減少感染機會。每天做口腔清潔護理,防止口腔內病原微生物的吸入。保證睡眠時間,飲食應給予營養豐富的食物。可在床上做一些功能鍛鍊,以增強機體免疫力。如患者出現發熱、精神萎靡、拒食、神志變化等,應立即送往醫院診治。

流行病學

隨著現代治療學的迅速發展,社會老齡化日益明顯,以上提到的免疫損害宿主日益增加,這些人群由於其自身的系統器官功能衰竭及機體免疫應答及防禦機制消弱或改變,往往導致難治性感染,如何針對這些特殊人群合理有效地套用抗生素已成為困擾臨床醫生的新的課題。

保健貼士

患有各種慢性疾病的老年患者至終末期時,極易合併肺炎,從預防的角度,對於上述疾病終末期患者社區應進行登記備案,定期對本人及家屬進行健康宣教,可根據季節變化及病原體流行情況進行針對性的預防接種,儘量避免接觸呼吸道感染患者,經常開窗通風,定時煮沸食醋進行房間空氣消毒,對於長期臥床患者,要定期翻身、拍背,以利於呼吸道分泌物的引流,減少感染機會。每天做口腔清潔護理,防止口腔內病原微生物的吸入。保證睡眠時間,飲食應給予營養豐富的食物。可在床上做一些功能鍛鍊,以增強機體免疫力。如患者出現發熱、精神萎靡、拒食、神志變化等,應立即送往醫院診治。

相關詞條

相關搜尋

熱門詞條

聯絡我們