疾病描述
慢性肺炎病程超過3個月者為慢性肺炎。近年來小兒急性肺炎病死率正在降低,但重症肺炎患兒有時未徹底恢復,復發和演變成慢性肺炎者頗不少見。因此,及時地防治慢性肺炎非常重要。
促成慢性肺炎的因素有以下幾種:①營養不良、佝僂病、先天性心臟病或肺結核患兒發生肺炎時,易致病程遷延。②病毒感染引起間質性肺炎,易演變為慢性肺炎。首都兒科研究所曾對103例腺病毒肺炎在病後1~5年隨訪,發現30.1%在X線檢查時呈現輕重不等的慢性肺炎和肺不張,個別患兒還有支氣管擴張。對13例麻疹並發腺病毒肺炎在病後2~3年隨訪,其中6例已成為慢性肺炎。③反覆發生的上呼吸道感染或支氣管炎以及慢性鼻竇炎均為慢性肺炎的誘因。④深入支氣管的異物,特別是缺乏刺激性而不產生初期急性發熱的異物(如棗核等),可被忽視而長期存留在肺部,形成慢性肺炎。⑤免疫缺陷小兒,包括體液及細胞免疫缺陷,補體缺乏及白細胞吞噬功能缺陷皆可致肺炎反覆發作,最後變成慢性。⑥原發性或繼發性呼吸道纖毛形態及功能異常可致肺慢性炎症。
炎症病變可侵及各級支氣管、肺泡、間質組織和血管。特別在間質組織的炎症,每次發作時都有所進展,使支氣管壁彈力纖維破壞,終因纖維化而致管腔狹窄。同時,由於分泌物堵塞管腔而發生肺不張,終致支氣管擴張。由於支氣管壁及肺泡間壁的破壞,空氣經過淋巴管散布,進入組織間隙,可形成間質性肺氣腫。局部血管及淋巴管也發生增生性炎症,管壁增厚,管腔狹窄。
病因學
慢性肺炎促成慢性肺炎的因素有以下幾種:①營養不良、佝僂病、先天性心臟病或肺結核患兒發生肺炎時,易致病程遷延。②病毒感染引起間質性肺炎,易演變為慢性肺炎。首都兒科研究所曾對103例腺病毒肺炎在病後1~5年隨訪,發現30.1%在X線檢查時呈現輕重不等的慢性肺炎和肺不張,個別患兒還有支氣管擴張。對13例麻疹並發腺病毒肺炎在病後2~3年隨訪,其中6例已成為慢性肺炎。③反覆發生的上呼吸道感染或支氣管炎以及慢性鼻竇炎均為慢性肺炎的誘因。④深入支氣管的異物,特別是缺乏刺激性而不產生初期急性發熱的異物(如棗核等),可被忽視而長期存留在肺部,形成慢性肺炎。⑤免疫缺陷小兒,包括體液及細胞免疫缺陷,補體缺乏及白細胞吞噬功能缺陷皆可致肺炎反覆發作,最後變成慢性。⑥原發性或繼發性呼吸道纖毛形態及功能異常可致肺慢性炎症。
誘因
正常情況下,由於人體呼吸道防禦機制,病原體進入體內不一定引起發病,有些因素可使其防禦功能下降,病原體乘虛而入,導致機體發病。這些誘因包括:
⑴ 上呼吸道病毒感染:病毒感染能破壞支氣管黏膜的完整性,影響粘液 —纖毛活動,從而導致細菌的感染。
⑵ 突然受、飢餓、疲勞、醉酒等,消弱全身抵抗力,使細胞吞噬作用減退,免疫功能減弱,導致發病。
⑶ 昏迷、麻醉、鎮靜劑過量,易發生異物吸入,引起細菌感染。
⑷ 患有一些基礎疾病,如免疫缺陷,糖尿病,腎功能衰竭等,也是易感因素。
病理改變
炎症病變可侵及各級支氣管、肺泡、間質組織和血管。特別在間質組織的炎症,每次發作時都有所進展,使支氣管壁彈力纖維破壞,終因纖維化而致管腔狹窄。同時,由於分泌物堵塞管腔而發生肺不張,終致支氣管擴張。由於支氣管壁及肺泡間壁的破壞,空氣經過淋巴管散布,進入組織間隙,可形成間質性肺氣腫。局部血管及淋巴管也發生增生性炎症,管壁增厚,管腔狹窄。
臨床表現
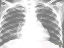
慢性肺炎的特點是周期性的復發和惡化,呈波浪型經過。由於病變的時期、年齡和個體的不同,症狀多種多樣。在靜止期體溫正常,無明顯體徵,幾乎沒有咳嗽,但在跑步和上樓時容易氣喘。在惡化期常伴有肺功能不全,出現發紺和呼吸困難,並由於肺活量和呼吸儲備減少及屏氣時間縮短等,引起過度通氣的外呼吸功能障礙。惡化後好轉很緩慢,經常咳痰,甚至出現面部浮腫、發紺、胸廓變形和杵狀指、趾。由於肺氣腫、肺功能不全而引起肺循環阻力增高,肺動脈壓力增高,右心負擔加重,可在半年至兩年內發生肺原性心臟病。還可能有肝功能障礙。白細胞增加,血沉中度增快。 X線胸片顯示在兩肺中下野及肺門區肺紋理可呈蜂窩狀,出現小泡性肺氣腫,同時還可伴有實質性炎症病灶。兩側肺門陰影可見對稱性增大。隨病變的發展還可發生支氣管擴張、右心室肥大及肺動脈段突出等肺原性心臟病的X線徵象。有肺原性心臟病時,心電圖表現順鐘向轉位,P波高而尖,QRS綜合波多數出現右心室肥厚圖型等改變。
診斷檢查
診斷
在本病的診斷中病史極為重要,往往曾反覆
發生
鼻竇炎、
支氣管炎或肺炎,或曾患
麻疹、
百日咳、
流行性感冒或
腺病毒肺炎。確定診斷
需要結
合病史、症狀和絲檢查。
鑑別診斷
要特別注意與
結核病鑑別。反覆發生上、下呼吸道感染或
傳染病後
肺部感染遷延不愈的歷史,以及排出膿樣痰等,多見於慢性肺炎。
結核菌素試驗和X線檢查,肺門及氣管旁
淋巴結腫大,可協助診斷。
老年人患病原因
全身及呼吸道的免疫機能減退;老年人患糖尿病和惡性腫瘤的多,容易合併肺炎;因腦血管意外、外傷和衰老而長期臥床,容易發生吸入性肺炎和墜積性肺炎;老年人患慢性病較多,如氣管炎慢性支氣管炎、肺結核、慢性心衰等易發生呼吸道感染;老年人胃食管反流次數增多,增加了患吸入性肺炎的機會。
老年人患病表現
老年人患肺炎後,臨床表現不典型、變化快、多樣化、預後差。由於老人反應能力低下,發熱可不明顯,咳嗽不重,痰不易咳出,胸痛也不顯著。相反,可表現出胃腸道症狀、
心血管症狀、全身衰竭症狀,有些體弱者甚至早期出現休克、呼吸衰竭和多器官衰竭。化驗檢查血白細胞總數可能不高,但中性粒細胞比例明顯增高。由於老年人各臟器的基礎功能較差,一旦合併肺炎,可以累及多個臟器,出現多米諾骨牌現象,以至於發展為不可救治。
老年人治療
首先要正確合理地使用抗生素。可根據痰培養及藥物敏感實驗的結果選擇抗生素。無痰患者可用霧化吸入誘導痰排除。在細菌未分離出以前,可按經驗選用抗生素。社會獲得性肺炎可先使用針對球菌及
流感嗜血桿菌的藥物,如青黴素、第一代頭孢菌素、紅黴素;對病情較重者,可選用第二代頭孢菌素。醫院獲得性肺炎多為條件致病菌,近來革蘭氏陰性菌有增多趨勢,如綠膿桿菌、陰溝桿菌、克雷百桿菌、大腸桿菌、變形桿菌等,球菌中耐藥金葡菌、表皮葡萄球菌及腸球菌也不少見。老年肺炎常常是混合感染,在治療時應考慮廣譜及聯合用藥。聯合用藥時尚要考慮藥物之間的協同作用,避免拮抗和增加不良反應。還要考慮抗生素對心、肝、腎的影響。多種抗生素不敏感時要考慮非細菌感染,如真菌、病毒等等。
治療措施
對本症的治療需長期堅持綜合措施。治療要點如下:
(1)加強營養:供給富有營養及維生素的飲食。積極治療營養不良及佝僂病。
(2)鍛鍊體格:經常做戶外活動或戶外睡眠。進行體操、冷水擦浴或冷水浴等鍛鍊,增強機體的耐寒性。室內宜通風換氣,保持空氣新鮮。積極預防呼吸道感染。
(3)中醫療法:主要是補益全身和恢復肺功能,參閱支氣管肺炎中醫療法節和肺炎恢復期治療。
(4)清除病灶:如有鼻竇炎及支氣管擴張等並存時,應採取適當治療或外科手術治療。
(5)其它療法:霧化吸入適當的抗生素,反覆感染時套用抗生素控制感染。腎上腺皮質激素可起到抑制增生和促進病灶呼吸的作用。天津兒童醫院曾用強的松治療5例,用藥2~12月,效果良好。此外,又可用電磁療法,超短波透熱,按摩及芥末敷等物理療法。
預防
急性肺炎病理的恢複比臨床恢復晚。因此,在重症肺炎的恢復期應進行理療和體操,積極治療並發的佝僂病和營養不良,並於出院後隨訪和繼續治療,直至徹底痊癒為止。此外,嬰幼兒時期應設法預防麻疹、百口咳、流感和
腺病毒感染。對漫性鼻竇炎及反覆發生的支氣管炎,也應積極防治。有免疫缺陷的患兒可採用免疫促進療法,根據具體情況分別選 用
人血丙種球蛋白、
轉移因子、
胸腺素
或中藥治療,必要時可採用
骨髓移植以
重建免疫功能,防治反覆感染及慢性肺炎的發生。
併發症
慢性肺炎的併發症有敗血症或膿毒血症心律失常和心力衰竭呼吸衰竭和多臟器功能衰竭。

