尿毒症肺炎疾病概述
尿毒症肺炎症狀體徵
尿毒症肺炎1.症狀最常見為呼吸困難,多為輕中度,以能平臥為其特徵,發生率30%~80%之間,各家報導不一,病情嚴重時氣促明顯,呈深大呼吸。其次為咳嗽,發生率50%~65%,通常乾咳或咳少量白黏痰,合併感染時出現大量黃膿痰。發熱比率12.9%,體溫在38℃左右,多為肺或其他部位並發感染。咯血占8%~32%,很少大咯血。少數病人還感到雙下胸部脹痛。必有嚴重的腎臟病,檢測腎功能符合尿毒症標準。多見於少尿、無尿、水鈉攝入過多或透析超濾不充分者。
尿毒症肺炎臨床最主要的症狀是呼吸困難,但能平臥。X線胸片典型表現為雙下肺廣泛的小片狀或大片狀滲出性陰影,並可在短期內迅速變化。血液檢查白細胞總數及中性粒細胞比值不增高,痰培養無病原菌,X線胸片表現與感染不相符。動脈血氣分析為低氧血症和代謝性酸中毒。肺功能檢測彌散功能下降出現最早且一直存在,限制性通氣改變占51%以上。抗感染效果不明顯,血液透析療效明顯。
2.體徵發紺發生率約6.3%,接近半數患者可無肺部體徵,50%以上患者雙肺聽診可聞及爆裂音,30%~40%病人雙下肺呼吸音偏低,個別病人可聞及乾性囉音。
疾病病因
尿毒症肺炎1.肺泡-毛細血管通透性增加
(1)小分子物質:包括尿素、胍類物質和胺類。尿素是體液內含量最大的一種代謝物質,慢性腎功能衰竭的中晚期,尿素的血清濃度漸升高,臨床常見的尿毒症症狀如頭痛、乏力、噁心、嘔吐、嗜睡、出血傾向等都與尿素有關,還可瀰漫性損傷肺泡-毛細血管膜,使其通透性增加,尿素在體記憶體在的時間愈長其毒性愈大。胍類物質是某些胺基酸及肌酐的代謝產物,正常人每天從尿中排出10g左右,尿毒症患者隨血清肌酐水平的上升,血清中胍類物質也呈平行上升,胍類物質的作用同尿素相似。胺類包括脂肪族胺、芳香族胺和多胺,脂肪族胺和芳香族胺都可抑制某些酶的活性,影響代謝。多胺可促進紅細胞溶解,抑制促紅細胞生成素的生成,抑制Na+-K--ATP酶和Mg++-ATP酶的活性,增加微循環的通透性,促進尿毒症肺水腫的生成。
(2)中分子物質:包括結構正常但濃度增高的激素、高濃度的正常代謝產物、細胞或細菌的裂解產物。高濃度中分子物質可引起周圍神經病變、紅細胞生成抑制、各種抗體生成抑制、細胞免疫功能降低,其中的甲狀旁腺激素(PTH),對肺泡-毛細血管膜瀰漫性損傷最為明顯,還可影響心肌功能和心肌細胞代謝。
(3)免疫因素:由於腎小球基底膜和肺毛細血管基底膜具有相同的抗原決定簇,故引起尿毒症的病因如慢性腎小球腎炎、腎病綜合徵等均可損害肺毛細血管基底膜,使其通透性發生改變。
2.容量負荷增加結紮輸尿管產生急性腎功能衰竭的動物模型出現肺部病變,證明其發生機製取決於水分過多。尿毒症病人尿少、尿閉致容量負荷增加,是最主要病理生理改變,是形成肺水腫的重要原因之一。
3.血漿膠體滲透壓降低大量蛋白尿、營養不良、合併貧血等使血漿膠體滲透壓下降,致液體滲出到間質,引起間質水腫。調節跨肺毛細血管液體流動是按Starling公式進行,即淨水流動決定於跨膜的淨水壓差(△P)、跨膜膠體滲透壓差(△π),以及膜濾過係數(Kf)相互作用。正常時在△P和△π之間保持一定的平衡,這主要由淋巴系統調節。原發性肺水腫發生於膜Kf的改變,膜的液體漏出增加超過淋巴系統引流,出現肺組織間隙液體積聚。繼發性肺水腫由於△π或△P的改變,導致肺毛細血管內液體進入肺間質。患者不一定表現有全身體液容量過多,但可有心腔內壓和肺楔壓升高。
4.左心功能不全尿毒症時,心肌功能阻礙,左心功能不全導致肺毛細血管壓升高,引起肺水腫和肺順應性下降。在尿毒症晚期,胸部X線片的心血管異常與尿素氮(BUN)、肌酐(Scr)並不一定相關,說明肺水腫形成是綜合因素。
5.氧自由基、黏附分子和細胞因子的影響尿毒症時由於殘存腎單位減少,肌酐代謝和易感染等因素使氧自由基產生增多,患者全身抗氧化能力明顯下降,不能迅速有效清除這些超氧陰離子,導致在清除異物同時,加劇組織損傷。其中次氯酸加速肌酐代謝,所形成的代謝產物極易穿入細胞內發生細胞毒作用而損傷組織。肺對次氯酸具有高敏感性,在中性粒細胞所致的肺組織損傷中起主要作用。血透時由於使用生物不相容膜,激活補體,致白細胞聚集於肺微循環,釋放各種溶酶體酶,造成肺部損害。還有研究證明,白細胞聚集於肺微循環與其表面黏附分子表達增加和白細胞活性增加有關。
6.呼吸肌障礙尿毒症時因營養不良,活性維生素D3缺乏、甲狀旁腺功能亢進、營養不良等因素,導致肌無力和廢用,胸壁順應性改變,影響了肺功能,表現為最大吸氣壓,最大呼氣壓和跨膈肌壓均下降。
7.其他因素臨床上對水分攝入管理不當,代謝性酸中毒和電解質紊亂,也極易造成肺水腫。
病理生理
尿毒症肺炎診斷檢查
診斷:尿毒症肺的診斷可依據:
1.必有嚴重的腎臟病,檢測腎功能符合尿毒症標準。
2.多見於少尿、無尿、水鈉攝入過多或透析超濾不充分者。
尿毒症肺炎3.臨床最主要的症狀是呼吸困難,但能平臥。
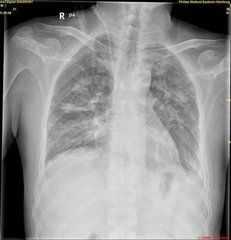
4.X線胸片典型表現為雙下肺廣泛的小片狀或大片狀滲出性陰影,並可在短期內迅速變化。
5.血液檢查白細胞總數及中性粒細胞比值不增高,痰培養無病原菌,X線胸片表現與感染不相符。
6.動脈血氣分析為低氧血症和代謝性酸中毒。
7.肺功能檢測彌散功能下降出現最早且一直存在,限制性通氣改變占51%以上。
8.抗感染效果不明顯,血液透析療效明顯。
實驗室檢查:血氣分析呈代謝性酸中毒。低氧血症。早、中期PaCO2下降或正常,當PaCO2明顯升高時,提示病情危重。
其他輔助檢查:
1.胸部X線
(1)肺部的影像特點:
①形態多樣:可呈蝶翼狀、粟粒狀、孤立或瀰漫小片狀,單發或多發大片狀,團塊狀或多髮結節狀等各種陰影,典型的蝶翼狀少見,占4%~10%左右,肺紋理增多、粗亂最常見,占71%。
②密度不等:密度可淡可濃,可均勻或多種影像混雜。
③位置不定:可居於兩側或一側肺部,可位於兩側全肺或兩肺中下野,亦可見於一側全肺或某一肺葉肺段。總的印象:右肺多於左肺,中內帶多於外帶,中下肺葉多於上肺葉,右肺下葉極易受侵犯。
④變化較快:經血液透析、強心、利尿等治療後,隨著腎、心功能的改善,肺部陰影短時間內可明顯吸收或完全消散。
(2)肺部影像分型
①肺淤血症型:臨床最常見,約占60%,表現為雙肺門陰影增大、模糊,肺紋理增粗。
②間質性肺水腫型:肺門影增大,邊緣不清,上下肺紋理增多、增粗和模糊。約13%出現K線,B線占7%,A線2%~3%。
③肺泡性肺水腫型:兩下肺出現廣泛小片狀或大片狀影,密度不高,連續且模糊,典型者即蝶翼狀。此型占臨床19%左右。
④肺間質纖維化型:肺野內多數條索狀及格線狀陰影,約占臨床21%。
⑤心臟擴大:肺泡性和間質性水腫型多見心臟擴大和心力衰竭,心∶胸>0.5者占61%。
⑥胸膜炎:少量或中等積液,一般只肋膈角變鈍,臨床占31%。
2.CT和磁共振高分辨CT和磁共振成像(MRI),現已被臨床廣泛套用,可發現這類患者的亞臨床性肺水腫,更具有特異性和敏感性。
3.肺功能尿毒症患者早期即有肺功能異常,其中47%患者出現肺功能異常
時,胸部X片尚正常,可見肺功能檢查對早期發現尿毒症患者的肺部侵犯有一定
意義。肺活量和用力呼氣肺活量及1s用力呼氣容量均低於正常預計值。尿毒症患者肺通氣功能,彌散功能和大小氣道通氣功能均有下降,表現為用力呼氣一秒率(FEV1%)、50%和25%肺活量最大呼氣流量(V25、V50)均下降,一氧化碳彌散量下降。
上述肺功能指標的下降與血漿尿素氮濃度升高呈負相關。其中一氧化碳彌散功能(DLCO)改變最為重要,在尿毒症早期即下降,肺泡膜的水腫,繼發的肺間質纖維化,使肺泡毛細血管面積減少,貧血時肺毛細血管的血紅蛋白減少,均是彌散功能下降的病理基礎。隨著病情加重,混合性通氣功能障礙漸明顯。
鑑別診斷
1.心源性肺水腫一部分學者認為,左心衰竭是尿毒症肺的重要致病因素,尿毒症時影響心功能因素頗多,很少有孤立的尿毒症性肺水腫,在X線下也不能區分尿毒症肺水腫和心源性肺水腫。另部分學者則認為二者還是有一定的區別。
(1)心源性肺水腫:
①有冠心病、心肌病等病史。
②典型者有胸悶、氣急、心前區疼痛、咳粉紅色泡沫樣痰、痰多、不能平臥,早期有臥位時咳嗽史、端坐呼吸史。
③發紺明顯,雙肺聽診可聞及廣泛的乾濕性囉音。
尿毒症肺炎④心電圖有和原發病相關的特殊改變。
⑤X線胸片早期是間質性肺水腫,繼之是肺血樣改變,肺淤血主要表現為上肺的血管怒張和血管邊緣模糊。
⑥強心、利尿治療有明顯效果。
(2)尿毒症肺水腫:
①即使肺水腫較重,但咳嗽、咳痰等症狀仍很輕。
②除因代謝性酸中毒可致深大呼吸外,氣急亦輕,仍能平臥。
③咯血者少見,很少有粉紅色泡沫痰。
④40%患者的X線胸片無心血管異常表現。
⑤病理的基本病變是纖維素性滲出,其肺淤血改變是全肺的血管擴張。
⑥抗感染治療、強心和利尿治療均無效,而透析治療效果好。
2.肺部感染慢性腎功能衰竭患者多伴有免疫功能降低,再加上貧血、代謝性酸中毒等使機體防禦因子障礙,容易受到各種感染,肺部的病毒、細菌感染首當其衝。
(1)有發熱、咳嗽加重、咳膿性痰、氣急加重。
(2)肺部聽診可聞及乾、濕囉音。
(3)血常規檢查,發現白細胞總數升高,中性粒細胞比例升高。
(4)C-反應蛋白測定值明顯升高。
(5)痰培養可獲得陽性結果,根據藥敏試驗抗感染治療效果明顯。
3.肺結核尿毒症患者並有肺結核約20%左右,尿毒症晚期接受透析後2~3個月是結核病的好發期。
(1)症狀不典型:因免疫功能低下,可以無午後低熱,也可有對一般抗生素無效的高熱。盜汗、食慾下降、消瘦等症狀往往被原發病症狀掩蓋,結核菌素試驗常呈假陰性。
(2)血沉明顯加快,可達100mm/h,痰塗片或培養,可查到結核桿菌,陽性率在20%~30%。痰結核菌PCR檢出陽性率可明顯提高。
(3)X線胸片可能無典型結核表現,CT檢查有一定意義。
(4)試驗性抗結核治療有效。
4.肺出血-腎炎綜合徵本綜合徵晚期進入尿毒症階段已無鑑別意義,早中期則有其特點。
(1)本病多為16歲以下男性。
(2)間斷性反覆咯血,咯血量不等。
(3)痰中可查見含鐵血黃素巨噬細胞。
(4)肺功能呈限制性通氣功能障礙;彌散功能減退;動脈血二氧化碳分壓降低,說明通氣過度。
(5)X線胸片見兩肺瀰漫性顆粒或結節狀陰影,陰影可呈遊走性,肺尖部清晰。
(6)血液檢查抗-腎小球基底膜(GBM)抗體陽性。
治療方案
1.血液透析充分透析,可除去多餘的水分和尿毒素,症狀緩解,是目前臨床最基本、最重要的治療手段。透析後通氣功能的恢復早於彌散功能的恢復,尤其是小氣道通氣功能恢復快,這可能與小氣道水腫易緩解而肺泡水腫消退較慢有關。國內報導肺功能各項指標在血液透析2個月後明顯改善。
2.腹膜透析尿毒症病人一般應少用這種透析方式,因為腹透液的植入>3L時,使膈肌抬高,造成肺下葉塌陷、肺不張、肺炎、胸腔積液等肺部併發症,直接影響肺功能,特別是彌散功能下降最明顯。如在認真控制腹透液量和腹內壓情況下,透析3個月,肺功能也有明顯改善。
3.腎移植的歷史近40年,現已成為治療尿毒症的重要手段。
尿毒症肺炎①排尿功能恢復有利機體內環境穩定和心肺功能改善。
②貧血改善,紅細胞計數上升,攜氧能力恢復。
③原有高血壓恢復正常。
④糾正了鈣磷代謝紊亂。
(2)腎移植後對心肺功能恢復不利因素:
①大劑量激素和免疫抑制藥的套用,易誘發肺部感染。
②肺功能中的一氧化碳彌散功能在移植後難以恢復,最可能的解釋是,在移植之前,由於反覆肺水腫發作,已經進展為肺纖維化,這種纖維化還可進一步使移植者的殘氣量下降。
4.其他治療
(1)防治肺部感染:①抗病毒治療可選用抗病毒沖劑,1~2袋,3次/d,口服;板藍根沖劑,1~2袋,3次/d,口服;利巴韋林片0.2g,3次/d,口服;其他抗病毒藥物使用,要注意是否有腎毒性。②根據藥物敏感試驗,抗感染藥可選用頭孢曲松(頭孢三嗪),1~2g,靜脈注射,1次/d,只要肝功能正常,可常規套用。紅黴素、利福平、頭孢哌酮、氨苄西林(氨苄青黴素)、哌拉西林等在腎功能輕度損害時常規劑量套用,中度以上腎功能損害時要減量套用。
(2)加強營養和防治貧血:低蛋白、低磷飲食;補充足夠的必需胺基酸和維生素類。必需胺基酸療法是每天每公斤體重0.1~0.2g,分3~4次口服。維生素B族、維生素C按常規量供給,維生素B6需加大量供給。必要時予以輸血。
(3)減輕心臟負荷,改善肺水腫症狀:①限制水、鈉的攝入。②利尿劑套用:可用呋塞米(速尿),劑量從20~80mg開始,療效不理想時再增加。噻嗪類和瀦鉀類利尿劑無效。③強心劑套用:對洋地黃套用一直有爭議,多數學者認為其臨床套用仍有其他藥物不能取代的必要性,應選用半衰期短的洋地黃毒苷和地高辛,一定注意洋地黃的毒性反應。④血管張劑套用:可改善肺水腫的臨床表現,臨床用酚妥拉明(苄胺唑啉)、硝普鈉、硝酸酯類。⑤其他物:氨茶鹼、川芎、丹參等藥都有改善尿毒肺水腫的報告。
(4)對症治療:①止咳首選中樞性非麻性鎮咳藥,如右美沙芬片、右美沙芬糖漿、咳嗪片、白葡菌止咳片等。②化痰藥適用痰稠不易咳出者,可選用氨溴索(沐舒坦)、二醯半胱氨酸等。③根據呼吸困難情況予以吸氧。
預後及預防
尿毒症肺炎預防:在腎功能損害的早期,儘管沒有任何肺部症狀,也應該對患者進行肺功能逐步監測,整個病程中肺彌散功能的下降,限性通氣功能損害程度有都和腎功能下降程度有關。凡有肺功能異常者即應注意肺水腫的發生,當患者的肌酐清除率<10ml/min,就開始建立透析通路,作長期透析治療,可預防肺水腫發生。
尿毒症肺炎相關藥品:抗病毒沖劑 頭孢曲松
尿毒症肺炎相關疾病:心源性肺水腫 肺部感染 肺結核 肺出血 腎炎綜合徵

