疾病名稱
老年性牙齦炎 老年性牙齦炎
疾病概述
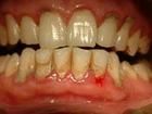
牙齦炎是局限在牙齦部位的疾病,常見的為邊緣性齦炎和肥大性齦炎。邊緣性齦炎:又稱單純性齦炎,病變部位在齦縫的齦緣部和牙間乳頭。常見病因有菌斑、牙垢、牙石、食物嵌塞和不合適的假牙等。本病早期尤明顯的自覺症狀,也無疼痛,但常有牙齦出血;輕者可為刺激性出血,如刷牙、咀嚼、輕微碰撞即有出血;重者可有自發性出血。
疾病分類
口腔科
症狀體徵
老年人牙齦炎和牙周炎的基本組織反應仍然是炎症。臨床上,牙齦炎的典型特徵為:牙齦充血、水腫、探診出血。但由於牙齦結締組織纖維成分的增多,牙齦色澤不呈明顯鮮紅狀,牙齦增生性反應也較為少見。
治療方案
老年牙周炎患者治療的目的在於消除感染、減少病痛,最大限度地改善咀嚼功能,維護口腔健康,增強全身體制。
(1)拔牙。
(2)齦上潔治、齦下刮治和根面平整。
(3)咬合調整。
(4)牙周手術。
疾病預防
無特殊。
如何預防
(1)注意口腔衛生,養成良好的衛生習慣。做到早晚刷牙、飯後漱口,堅持“豎刷牙法”,棄用“橫刷牙法”。兒童晚上刷牙更重要,這樣有利於口腔清潔,防止齲齒、牙周疾病的發生。
(2)注意牙周疾病的早期信號。如果在刷牙、吃東西的時候有牙齦出血的現象,要引起重視,這是牙周有炎症的表現,應儘早到醫院治療。
(3)養成健康的飲食習慣。改善飲食結構,少吃含糖食品,特別是少吃軟性甜食,多吃富含纖維的耐嚼食物,這樣會增加唾液分泌,有利於清潔牙面。多吃肉、蛋、蔬菜、瓜果等有益於牙齒健康的食物。
(4)糾正各種不良習慣。兒童自律性差,容易形成各種不良習慣,如吮手指、咬唇、咬鉛筆、偏側咀嚼、張口呼吸等,很容易導致牙牙合畸形,應及早糾正。牙牙合畸形的正畸治療最佳時間是10歲-15歲。
(5)增加牙齒及口腔的抗病能力。可使用含氟牙膏、牙刷,兒童可進行牙齒窩溝封閉防齲。中老年人要經常做牙齦按摩或叩齒運動,有利於牙齒的穩健。
(6)定期做口腔保健。兒童每半年,成人每年都要做一次口腔牙齒檢查。發現牙病及早治療,每半年去醫院洗一次牙,除掉牙結石,預防牙周疾病的發生。
(7)重視吸菸對口腔的危害。研究表明,吸菸是造成人群牙周病流行的危害因素之一。為了保護牙齒,奉勸菸民少抽菸,最好能戒菸。
牙齦出血就需提防
牙周病在普通人群中的患病率非常高,患病率高達80%,“引起牙周炎的發病因素有很多,其中最主要的是菌斑和牙石,口腔衛生不良會使牙齒及牙齦表面形成細菌薄膜——牙菌斑。如果牙菌斑不除去,就會在口中逐漸鈣化,形成牙結石破壞牙齦,致使牙齦紅腫出血,引起牙齦炎症,形成‘牙周袋’,造成‘牙槽骨’吸收喪失,牙齒鬆動,最後脫落。”梁敏教授特彆強調:“吸菸人群需特別注意,長期吸菸的人口腔不但易滋生細菌誘發牙周炎,還能使已經患有牙周炎的患者病情加劇。”牙周炎的早期臨床表現為口腔異味、牙齦紅腫、刷牙或咬硬物時牙齦出血等。有些人由於缺乏口腔衛生知識,不了解牙齦出血與口腔衛生的關係,一旦發現牙齦出血,便立即停止刷牙,這樣反而加重了牙齦的炎症。另有一些人則認為,牙齦出血是維生素缺乏,故盲目服用大量維生素,延誤了牙周病的診治。隨著牙齦炎症逐步向深層牙周組織發展,可出現牙齒鬆動和移位、咀嚼無力或疼痛、牙齦退縮、牙根暴露、食物嵌塞、牙周膿腫甚至牙齒脫落,到此時才去就診為時已晚。
由於牙周病臨床表現是靜止期和加重期交替出現,它的主要症狀如牙齦出血等也不會持續存在,這也造成了大多數患者對牙周病早期所出現的症狀沒有足夠重視而延誤治療。
關愛我們身邊的老年人
| 關注老年人的健康,從我們身邊的點滴做起,從你我做起。 |
