發病原因
青少年時期由於組織生長旺盛,對局部刺激易發生增殖性反應,對口腔衛生習慣不夠重視,內分泌改變等諸多因素,使牙齦對局部刺激敏感性增加,因而易患本病。(一)凡能引起慢性齦緣炎的因素皆可引起本病
例如菌斑、牙石、食物嵌塞、鄰面齲、不良修復體、正畸裝置等。
(二)口呼吸
由於鼻部疾患引起的通氣不暢,或因上頜牙前突或上唇過短等均可造成口呼吸。長期的口呼吸,由於牙齦和牙面都較乾燥而缺乏唾液的沖洗自潔作用,菌斑易於堆積,發生齦炎。前牙唇側牙齦暴露於乾燥的空氣中而不斷受到氣流的刺激,使牙齦腫大的發生率較高。
(三)咬合異常
如牙齒排列不齊、前牙深覆合、錯位擁擠等均易引起本病。
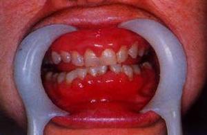
臨床表現
牙齦腫脹肥大,呈深紅色或暗紅色,組織鬆軟,探診易出。牙齦乳頭呈球狀突起。腫脹的牙齦常可覆蓋前牙唇的1/3或更多。由於牙齦肥大,使齦溝加深而形成齦袋,袋內易藏食物,細菌易滋生,自潔作用差,故炎症加重,可有深性分泌物。若身體抵抗力降低時,可出現單發或多發性的齦膿腫,特別以齦乳頭區較多見。自覺症狀可有刺激性牙齦出血、發脹、口臭等。病變後期,因纖維增生而使牙齦質地較為堅韌,炎症也有減輕,又稱增生性齦炎。
妊娠期間發生的肥大性齦炎,稱妊娠期齦炎(Pregnancy gingivitis)。有時個別齦乳頭腫脹成球狀且常帶蒂,稱妊娠期齦瘤。分娩後,肥大的牙齦一般可自行消退。
某些系統性疾病也可出現牙齦的肥大或增生改變。應注意鑑別,如:
白血病由於白細胞增多,在末梢血管內淤積,造成牙齦腫脹和肥大,齦色蒼白,如伴有炎症則齦緣充血並有滲血現象。病情嚴重者,齦乳頭或齦緣出現壞死,並有口臭。
維生素C缺乏性齦炎。整個牙齦呈紫紅色,易出血。重者,齦緣壞死,口臭明顯。
長期服用苯妥英納的病員,可出現牙齦增生,其特徵是頰、舌側牙齦同是增生,呈結節狀,質堅實,色淺淡,不易出血。
鑑別診斷
1.藥物性牙齦增生。2.牙齦纖維瘤病。
3.白血病引起的牙齦肥大。
4.漿細胞性齦炎(plasma cell gingivitis)又名牙齦漿細胞增多症(gingival plasmacytosis)或漿細胞性肉芽腫(plasma cell granuloma),病因不明。本病主要發生於牙齦,也可發生於口角和和舌,可出現多個牙或全口牙的牙齦鮮紅、腫大,鬆軟而脆弱,表面呈結節狀或分葉狀,上皮菲薄,呈半透明狀,極易出血。病理變化主要特點是上皮不全形化,結締組織內有密集浸潤的形態正常的漿細胞呈片狀集聚,也可表現為肉芽腫即有大量血管和其他炎症細胞存在。根據典型的牙齦症狀以及典型的病理變化,不難鑑別。
併發症
如不治療,牙齦炎繼續發展可侵犯深部牙周組織,發展為牙周炎。治療
1.去除局部刺激因素如刮除牙石,消除食物嵌塞,去除不良修復物等,對口呼吸者,應針對原因,加以處理。有咬合異常者,可磨改牙齒或作正畸治療。2.藥物治療可用1~3%過氧化氫液沖洗齦袋,袋內上碘合劑或滅滴靈、螺鏇黴素藥膜,並有漱口劑含漱等。若有膿腫發生時,可配合抗菌藥物的治療。
3.手術治療經上述治療後仍不能使牙齦恢復正常生理外形者,可作牙齦切除術。
由系統性疾病引起的牙齦肥大,應先進行系統性疾病的治療,再配合適當的局部治療。如白血病引起者,應先到內科診治,不應輕率地進行牙石刮除或手術。
疾病預防
合理的刷牙法是豎刷法:將牙刷平置於口腔,刷毛指向牙齦,尖端輕壓牙齒邊緣,然後將刷毛逐漸轉向牙面,沿牙齒的長軸上下用力。刷上牙時刷毛由上向下,刷下牙時刷毛由下向上,作孤形的鏇轉刷動。依次刷淨牙齒的唇頰、舌面及咬合面,有效地清除了齦緣處的牙菌斑、軟垢及牙石;同時對牙齦也起到了按摩作用,可刺激牙齦角化,維持牙齒的正常質地與外形。刷牙的次數每日不宜少於兩次,做到早晚刷牙,強調睡前刷牙較晨間刷牙更為重要。患者如已存在牙齦出血的症狀,提倡選用藥物牙膏。治療牙齦炎的有效方法是牙齒潔治(俗稱洗牙)。醫務人員利用手用潔治器或超音波潔牙機清除齦附近牙面沉積的牙石和菌斑,同時注意磨光牙面,防止菌斑、牙石的再沉積,必要時配合藥物治療。當牙齦的色澤、質地轉為正常,刷牙、進食不再出血,表明牙齒炎得到了有效控制。為了保證良好的口腔健康,預防並治療牙齦炎;建議您最好每隔半年定期去口腔科潔牙一次。
飲食保健
1、多食含維生素C的食物,如橙,柑、甜椒、球莖甘藍、綠花椰菜、西紅柿、奇異果、柑橘類水果、木瓜、草莓等。2、 可多吃芹菜和芭樂等。
3、 多吃新鮮水果和蔬菜。
食療法
方1:蜜橘雞粒原料:橘子4個,雞脯肉100克,蛋清、精鹽、味素、澱粉、水澱粉、料酒及西芹葉子、白蘿蔔絲適量。
製作:先把3個橘子洗淨,用刀切成兩半,放在盤裡;剩下的橘子剝皮後,橘肉切成小粒;雞脯肉洗淨後,切小粒,放在碗裡,用精鹽、味素、蛋清、料酒、澱粉浸醃;把精鹽、料酒、水澱粉放入碗裡,兌成稀芡汁;鍋放在火上,倒入色拉油,燒至三四成熱下入雞粒滑散,撈出瀝油;向鍋里下入雞粒、橘粒、稀芡汁,推勻出鍋,分別澆在盤中已切成兩半的橘子剖面上,用白蘿蔔絲、西芹葉子點綴即成。
方2:八寶番茄
原料:番茄10個,水發蓮子25克,蜜棗25克,櫻桃15克,密瓜片25克,桃脯15克,杏脯15克,桃仁15克,橘餅15克,雞蛋1顆,熟豬油、白糖、精鹽適量。
製作:先把8種果料去核、切小丁,再用些許白糖拌勻;番茄洗淨,在距離頂端1.5厘米處切開、成蓋,再用小刀挖去內瓤,填入已製作好的果餡;雞蛋清打入一個小碗裡,攪勻後加澱粉調勻,把裝好果餡的番茄用蛋清糊封閉,放入蒸籠里蒸5分鐘;火上放鍋,加清水100毫升,白糖和精鹽些許,以旺火燒開;再用澱粉勾成湯芡,淋上豬油,澆在蒸好的番茄上即成。
方3:紅椒拌藕片
原料:紅椒2個,白嫩蓮藕1根,白糖、生姜、芝麻油、香醋及精鹽適量。
製作:先將蓮藕、紅椒及生薑清洗乾淨(最後一遍水應該用溫白開水),蓮藕去皮切薄薄的片,先不要散開,直接裝入一個器皿中,放精鹽並加涼開水大約300毫升浸泡至軟,取出後裝盤;紅椒去籽、去蒂、切絲,裝入蓮藕片盤中;生薑切細絲,把白糖、香醋及薑絲一起撒在藕片和紅椒絲上,略醃一會兒,淋上芝麻油拌勻即成。
方4:八寶番茄
原料:番茄10個,水發蓮子25克,蜜棗25克,櫻桃15克,密瓜片25克,桃脯15克,杏脯15克,桃仁15克,橘餅15克,雞蛋1顆,熟豬油、白糖、精鹽適量。
製作:先把8種果料去核、切小丁,再用些許白糖拌勻;番茄洗淨,在距離頂端1.5厘米處切開、成蓋,再用小刀挖去內瓤,填入已製作好的果餡;雞蛋清打入一個小碗裡,攪勻後加澱粉調勻,把裝好果餡的番茄用蛋清糊封閉,放入蒸籠里蒸5分鐘;火上放鍋,加清水100毫升,白糖和精鹽些許,以旺火燒開;再用澱粉勾成湯芡,淋上豬油,澆在蒸好的番茄上即成。
方5:紅椒拌藕片
原料:紅椒2個,白嫩蓮藕1根,白糖、生薑、芝麻油、香醋及精鹽適量。
製作:先將蓮藕、紅椒及生薑清洗乾淨(最後一遍水應該用溫白開水),蓮藕去皮切薄薄的片,先不要散開,直接裝入一個器皿中,放精鹽並加涼開水大約300毫升浸泡至軟,取出後裝盤;紅椒去籽、去蒂、切絲,裝入蓮藕片盤中;生薑切細絲,把白糖、香醋及薑絲一起撒在藕片和紅椒絲上,略醃一會兒,淋上芝麻油拌勻即成。

