疾病描述
青春期齦炎是指發生於青春期少年的慢性非特異性牙齦炎,男女均可患,但女性稍多。
症狀體徵
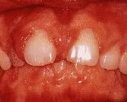
本病好發於前牙的齦乳頭和齦緣,青春期發病。其特徵為牙齦組織充血水腫,深紅光亮,點彩消失。齦乳頭常呈球狀突起,質地鬆軟如海綿,有齦袋形成,出血傾向較一般肥大性齦炎明顯。診斷主要根據患者年齡及牙齦肥大發炎的程度超過局部刺激物的程度。在青春期後,牙齦腫大在消除局部因素後,可明顯地自然消退一部分或逐漸完全消退。
疾病病因
青春期少年未養成良好的刷牙習慣,在錯牙合擁擠、口呼吸以及戴各種正畸矯治器的情況下,前牙、替牙部位易發生牙齦的炎症。青春期內分泌特別是性激素的改變,可使牙齦組織對微量 局部刺激物產生明顯的炎症反應。
診斷檢查
患者的年齡處於青春期,局部有上述刺激因素存在,牙齦炎症反應較重。
治療方案
潔治術去除菌斑和牙石,或可配合局部藥物治療,如齦袋沖洗及袋內上藥,給以含漱劑清潔口腔。病程長且過度肥大增長者,常需手術切除。
疾病介紹
青春期齦炎見於一部分處於青春期的人群,男女均可患病。一項包括127名11到17歲少年兒童的研究表明,青春期齦炎的發生率隨著年齡增長降低,每位少年兒童平均發病牙齦數與炎症持續時間和牙齦發炎時口腔衛生情況有關,但炎症的嚴重程度與口腔衛生因素沒有明顯相關性。另一項同樣包括11到14歲少年兒童的研究表明,青春期齦炎患者牙齦中存在的與臨床指標相關的細菌主要為二氧化碳噬纖維菌。其他研究報告發現激素水平改變與中間普氏菌和產黑素普氏菌的共同致病作用。
青春期齦炎的發病與局部牙菌斑聚集有關,但牙齦炎症增生的程度往往明顯超過局部刺激的程度。牙齦炎症主要表現在牙齦邊緣和齦乳頭區,局部牙齦紅腫肥大,易出血,有時牙間齦乳頭可以呈球狀增生,通常以唇側牙齦為主。由於舌的機械運動可防止食物堆積,故舌側牙面不易積累大量局部刺激物,該側牙齦球狀增生較少見。青春期齦炎牙齦腫脹具有普通慢性牙齦炎症的臨床特點,但與之不同的是,青春期齦炎牙齦增生的程度與局部菌斑積累等刺激程度不符,且易大面積復發。青春期後,牙齦炎症增生會逐漸自行減輕,但只有徹底清除菌斑和牙石之後牙齦炎症才能徹底消失。
青春期齦炎與牙面菌斑堆積以及內分泌水平的變化明顯相關。牙菌斑的堆積是青春期齦炎患病的基礎。這一年齡段的人群,由於恆乳牙更替、牙列不齊、口呼吸及戴矯治器等,造成牙齒不易清潔,加之該年齡患者一般不注意保持良好的口腔衛生習慣,如刷牙、用牙線等,易造成菌斑的滯留,引起牙齦炎,而牙結石一般較少。內分泌水平的變化是該疾病發生的重要促進因素。人體血液循環中的性激素(最重要的是雌激素和睪丸激素)可以作用於牙齦組織,是其對於細菌刺激的反應加重,也就是說在性激素的作用下,少量的細菌刺激就有可能導致較為重度的牙齦炎症反應。有學者提出青春期齦炎的診斷應根據激素水平來確定,對於牙齦反應加重的女性患者,其雌激素水平至少≥26pmol/L;對於男性患者,其睪丸激素水平應達到≥8.7nmol/L。需要注意的是,發生炎症的前提是菌斑的堆積,如果口腔衛生維護良好,牙面細菌的量很少,單純的激素作用是不會導致炎症的。也就是說保持良好的口腔衛生,減少牙面的菌斑堆積對於青春期齦炎的預防和治療有重要意義。
病理生理
青春期齦炎的病理表現是非特異性的炎症反應。顯微鏡下主要表現為牙齦毛細血管的增生、擴張和充血,血管的通透性提高,滲出增加,牙齦組織中炎症細胞的數量顯著增多,有時可以出現牙齦膠原纖維的變性破壞。
發病機制
口腔衛生不佳、牙齒清潔不徹底等可以導致積聚在牙齒表面的細菌、軟垢和牙石增多,刺激局部牙齦產生炎症,組織增生腫脹、毛細血管擴張、炎症細胞聚集,臨床表現為牙齦慢性炎症改變。牙齦是性激素的作用器官之一,青春期少年兒童體內性激素水平發生改變,導致牙齦組織對菌斑等局部刺激物的反應性增強,產生較明顯的炎症反應,或使原有的慢性齦炎加重。
發病原因
局部因素
菌斑仍是青春期齦炎的主要病因。這一年齡段的人群,由於乳恆牙的更替、牙齒排列不齊、張口呼吸及戴矯治器等,造成牙齒不易清潔,加之該年齡段患者不易保持良好的口腔衛生習慣,如刷牙、用牙線等,易造成菌斑的滯留,引起牙齦炎,而牙石一般較少。
全身因素
青春期少年體內性激素水平的變化,是青春期齦炎發生的全身因素。牙齦是性激素的目標組織之一,由於內分泌的改變,牙齦組織對菌斑等局部刺激物的反應性增強,產生較明顯的炎症反應,或使原有的慢性齦炎加重。
臨床表現
疾病症狀
患者年齡在青春期前後,牙齦的變化為非特異性炎症,牙齦邊緣和齦乳頭均可發生炎症,其明顯的特徵是輕刺激易出血,齦乳頭肥大,牙齦色、形、質的改變與普通炎症性牙齦病相同。牙齦鮮紅或暗紅;牙齦邊緣和齦乳頭組織水腫圓鈍,失去原有的扇貝狀外形,牙齦腫脹形成假性牙周袋;質地鬆軟,施壓時易引起壓痕;探診及刷牙後易出血。牙齦炎症肥大的程度超過局部刺激的程度,且易於復發。可有牙齦增生的臨床表現。口腔衛生一般較差,可有錯牙合、正畸矯治器、不良習慣等因素存在。
疾病危害
若不及時治療牙齦炎症,長期發展可能導致慢性牙周炎,牙周支持組織破壞引起牙齒鬆動缺失。若其他局部因素如牙齒排列不齊、張口呼吸等得不到及時糾正,可能影響口腔和面部形態發育及正常功能。
併發症
當伴有牙齒排列不齊、張口呼吸或者正畸矯正器等因素時,青春期齦炎患者可以伴發較為嚴重的牙齦增生,有時牙齦可以復蓋部分牙齒,甚至影響到進食,部分情況下需要進行必要的手術治療。
診斷鑑別
輔助檢查
1. 血液學檢查:性激素水平升高,但這並非臨床常規檢查;
2. X線檢查:無明顯牙槽骨吸收影或骨質密度減低影。
疾病診斷
1. 青春期的患者;
2. 牙齦肥大發炎的程度超過局部刺激的程度;
3. 可有牙齦增生的臨床表現;
4. 口腔衛生一般較差,可有錯牙合、正畸矯治器、不良習慣等因素存在。
鑑別診斷
1.菌斑性齦炎:患者年齡不局限於青春期,牙齦炎症狀況一般與牙頸部和牙齦溝內的菌斑及牙石量有關。牙齦的炎症一般局限於牙齦邊緣和齦乳頭,嚴重時也可波及附著齦。
妊娠期婦女發生,與妊娠所致性激素水平改變有關。臨床表現為牙齦炎症明顯加重且易出血,以前牙區牙齦炎性增生為主,可表現為齦瘤;妊娠後疾病程度逐漸減輕。
多發生在兒童及青年急性白血病患者,口腔表現多為牙齦明顯腫大,波及牙間乳頭、邊緣齦和附著齦,外形不規則呈結節狀,顏色暗紅或蒼白(為病變白細胞大量浸潤所致,並非牙齦結締組織本身的增生)。有的牙齦發生壞死、潰瘍,有自發痛,口臭,牙齒鬆動。牙齦和黏膜自發性出血,且不易止住。由於牙齦腫脹,出血,口腔自潔作用差,使菌斑大量堆積,加重牙齦炎症。多伴有乏力、發熱、貧血等全身症狀,可有局部和全身淋巴結腫大。血細胞分析和血塗片檢查可發現白細胞數目及形態異常,骨髓檢查可明確診斷。
4.遺傳性牙齦纖維瘤病:牙齦增生嚴重,通常波及全部牙齦,唇舌側牙齦均可發生,常復蓋牙面2/3以上,以至影響咀嚼,妨礙恆牙萌出。增生牙齦表面呈結節狀、球狀、顆粒狀。牙齦顏色粉紅,質地堅韌,無明顯的局部刺激因素。在牙齦增生的基礎上如果有大量菌斑堆積,亦可伴有牙齦的炎症。增生的牙齦組織在牙齒脫落後可縮小或消退,本病有較為明顯的遺傳傾向。
牙齦炎症的同時存在較深部位的牙周支持組織炎性破壞(附著喪失),X線檢查可見牙槽骨不同程度吸收。進行牙周治療後炎症消退、病變靜止,但已破壞的牙周支持組織難以完全恢復正常。
患者有癲癇或高血壓、心臟病或接受過器官移植,並有苯妥英鈉、環孢菌素、硝苯地平等服藥史,一般在用藥後的三個月即發病。牙齦增生起始於牙間乳頭,隨後波及牙齦緣,表面呈小球狀或桑葚狀,質地堅韌,略有彈性。牙齦色澤多為淡粉色。
牙齦瘤好發於牙間乳頭,通常呈圓形、橢圓形,大小不一,有的可與下方組織呈蒂狀相連。主要分為色紅、質軟的血管性和肉芽腫性牙齦瘤和色粉紅、質硬韌的纖維性牙齦瘤,一般無痛。多由殘根、牙石、不良修復體等局部刺激引起,與機械性刺激和慢性炎症有關。
8.齦乳頭炎:局部牙齦乳頭充血、腫脹,易出血。患者有疼痛感。患區存在局部刺激因素,如食物嵌塞、不良修復體、異物、充填體形態不佳等,或由於剔牙不當造成。
9.漿細胞性齦炎:目前多認為漿細胞齦炎是一種過敏性疾病,過敏原多種多樣,如牙膏、口香糖等,一旦除去及停止與過敏原的接觸,則病變可逐漸恢復、自愈。牙齦鮮紅、腫大、鬆軟易碎,表面似半透明狀或顆粒狀,極易出血,可同時發生於鼻腔或口腔黏膜,病理檢查有助於診斷。
疾病治療
1. 口腔衛生指導:提高患者自我控制菌斑的能力,保持良好的口腔衛生習慣是獲得良好療效的關鍵;
2.潔治,除去齦上、齦下的牙石和菌斑;
3. 糾正不良習慣;
4. 改正不良修復體或不良矯治器;
5. 經上述治療後仍有牙齦外形不良、呈纖維性增生者可行牙齦切除術和牙齦成形術;
6. 定期複查,進行牙周維護治療。
疾病預後
青春期過後原有的牙齦炎症可以自行減輕,經過徹底的治療後,牙齦組織可以完全恢復正常。如果不經過及時的治療,部分患者可以進展成為牙周炎。
飲食及注意事項
避免過細過粘的飲食,適當吃一些纖維性的食物,因為纖維性的食物在咀嚼過程中有助於清潔牙齒,有利於牙齦健康。
疾病預防
注意保持口腔衛生,掌握正確的刷牙方法,利用牙刷、牙線、間隙刷等徹底清除牙面的菌斑、軟垢,定期進行專業牙周潔治。去除牙齒排列不齊、修復體或充填體形態不佳、口呼吸等局部刺激因素。
專家觀點
青春期齦炎雖然與激素水平的變化有關,但是發病的前提還是口腔衛生不良,牙齒表面的細菌堆積。激素水平的改變我們沒有辦法干預,但是如果能夠對青春期的青少年進行必要的口腔衛生教育,提高口腔衛生意識和菌斑控制的能力,這種疾病是完全可以得到有效預防的。

