病因
口呼吸
鼻腔疾患常會造成用口呼吸,口腔長時間受到空氣的刺激,導致牙齦增生。
口腔衛生不良
由於長期不刷牙,食物殘渣滯留在齦溝內,經細菌作用形成牙石。牙齦充血,紅腫增生,有時稍受刺激就會流血,致炎症性牙齦增生。
藥品
如長期服用治療癲癇以及心血管藥物苯妥英鈉、硝苯地平等,會引起牙齦增生。
咬合關係錯亂
前牙擁擠、排列錯亂、深覆咬合等牙頜畸形,導致牙齦常常受到食物的刺激而增生。
白血病
患白血病可出現牙齦增生。
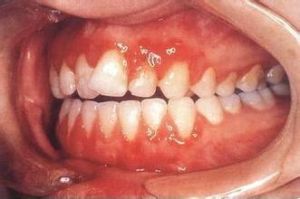
臨床表現
正常牙齦呈粉紅色,齦緣應為菲薄而緊貼牙面。牙齦增生時,齦緣變厚,牙齦乳頭圓鈍,呈球狀,顏色可為鮮紅色、暗紅色或粉紅色。診斷
牙齦增生慢性齦炎
牙菌斑、牙石的存在;牙齦色形質改變:牙齦鮮紅或暗紅色,齦緣變厚,齦乳頭圓鈍肥大,有時可呈球狀增生。少數炎症嚴重者,可出現齦緣糜爛或肉芽增生。牙齦有時表面鬆軟脆弱。探診時,齦溝出血,齦溝底應位於釉牙骨質界處,無臨床附著喪失。影像學上無牙槽嵴頂骨吸收的表現。
青春期齦炎
(1)患者處於青春期;口腔衛生情況尚可或較差;牙齦紅腫明顯,齦乳頭常呈球狀突起,光亮、質軟。輕刺激易出血,好發於前牙唇側。可有口臭。
(2)可有錯合、正畸矯治器、不良習慣等因素存在,牙齦肥大增生的程度與局部刺激的程度不符,即牙齦組織的炎症反應較強。
妊娠期齦炎
(1)齦緣和牙齦乳頭炎症可發生於個別牙或全口牙齦,但以前牙區為重。局部有菌斑等刺激物存在。一般在妊娠前即有不同程度的牙齦炎,從妊娠2~3個月後出現明顯的刷牙和吃食物時牙齦出血等症狀。
(2)妊娠期齦瘤發生於單個牙的牙間乳頭,一般在妊娠第3個月出現,迅速增生,色鮮紅或暗紫,形態不規則,可有分葉,有蒂或無蒂,質鬆軟,易出血,一般可找到局部刺激因素,如殘根、牙石、不良修復體等。分娩後,妊娠瘤大多能逐漸自行縮小,但必須除去局部刺激物才能使病變完全消失。
藥物性牙齦增生
(1)全身疾病病史、服藥史。
(2)牙間乳頭或牙齦緣增生肥大呈球狀、桑椹樣或分葉狀,淡粉紅色,質地堅實並略有彈性,嚴重者妨礙咀嚼。前牙區多見,也可發生於全口牙齦。
(3)一般無痛,可伴有口臭、刷牙出血和牙周溢膿等嚴重的牙齦炎症表現。
(4)因增生牙齦擠壓,牙齒鬆動和移位(多見於上前牙)。
(5)病情可因口腔衛生不良、創傷合、齲齒、不良充填體和矯治器等加重。
牙齦纖維瘤病
牙齦增生(2)可累計全口的齦緣、齦乳頭和附著齦,以上頜磨牙齶側最重。
(3)常覆蓋牙面2/3以上。
(4)增生牙齦顏色正常,組織堅韌,不易出血。有時有牙齒萌出困難。
牙齦瘤
(1)齦乳頭呈圓形、橢圓形,有時呈分葉狀的瘤樣增生物。大小不一。
(2)有蒂或無蒂。有蒂的為息肉狀,無蒂的有寬廣的基底。
(3)質軟、色紅(血管性和肉芽腫性)或質地較硬而韌,色粉紅(纖維性)。
(4)一般無痛,腫物表面發生潰瘍時可感覺疼痛。
(5)X線片示局部牙槽骨吸收或牙周膜增寬。
治療
牙齦增生根據具體的病因不同,治療方法也是不同的。
慢性齦炎
(1)去除菌斑、結石和其他促進菌斑堆積的致病因素。
(2)指導患者自我控制菌斑。
(3)詢問了解患者是否存在促進疾病進展的系統性危險因素,如吸菸、系統性疾病和狀態(免疫抑制)、壓力、營養、妊娠、吸毒、HIV感染和藥物使用等,考慮積極採取針對性的措施。
(4)經牙周基礎治療後,牙齦增生仍處明顯狀態可考慮手術切除。
青春期齦炎
針對青春期進行口腔衛生指導。去除局部刺激因素治療,齦上潔治,必要時刮治。必要時還可配合局部的藥物輔助治療,如含漱、齦袋沖洗和局部上藥等。去除菌斑滯留因素,對於長期牙齦肥大增生,不利菌斑控制的患者,必要時可採取牙齦切除術。
妊娠期齦炎
在妊娠前三個月或後三個月,考慮延期進行牙周治療,避免發生流產或早產。妊娠4~6個月去除菌斑牙石等局部刺激因素,但操作必須輕柔,儘量減少出血和疼痛。應急的牙周治療,可在妊娠的任何時期進行。慎用抗生素和其他藥物。強調自我菌斑控制和定期牙周維護。增生的牙齦考慮延期到分娩以後進行手術切除,已妨礙進食,體積較大的妊娠期齦瘤,需手術切除時,可考慮在妊娠期4~6個月內進行。
藥物性牙齦增生
在不影響控制全身疾病的前提下,更換引起牙齦增生的藥物。去除菌斑、牙石等局部刺激因素,消除導致菌斑滯留的因素,指導患者菌斑控制。治療後多數患者的牙齦增生可明顯好轉甚至消退。對於牙齦炎症明顯的患者,輔助藥物治療,可用3%過氧化氫液沖洗齦袋,並在袋內置入抗菌消炎的藥物。對上述治療牙齦增生仍不能完全消退者,可進行牙齦切除加成形、也可翻瓣聯合齦切的手術治療。明確醫囑,避免術後復發。
牙齦纖維瘤病
去除菌斑、牙石等局部刺激因素,消除導致菌斑滯留的因素,指導患者菌斑控制。手術治療,以牙齦成形術為主,也可翻瓣聯合齦切手術。
牙齦瘤
去除刺激因素,手術切除。手術切除應徹底,在腫塊基底部周圍的正常組織上做切口,切除腫塊連同骨膜、部分基底部牙槽骨及相應部位的牙周膜組織,防止復發。創面放置牙周保護劑,若牙齦瘤周圍牙已鬆動,應同時拔除,同時去除波及的牙周膜及鄰近的骨組織。復發後一般仍按上述方法切除,若多次復發,切除同時應拔除病變波及的牙齒。

