牙齦瘤
牙齦瘤是牙齦上特別是齦乳頭處局限生長的炎性反應性瘤樣增生物。它來源於牙周膜及牙齦的結締組織,因其無腫瘤的生物學特徵和結構,故為非真性腫瘤,但切除後易復發。牙齦瘤是來源於牙周膜的增生性疾病,如果反覆發生說明治療效果不佳則應拔除病變牙齒,這是唯一有效的方法,此外女性懷孕期雌性激素分泌量增多,可促使牙齦血運豐富進一步加重牙齦增生病情,口腔專業疾病分類中特別有關於妊娠期牙齦炎或妊娠期牙齦瘤的詳細描述,建議到醫院檢查治療。此病不具有遺傳性。
基本信息
- 中文名:牙齦瘤
- 外文名:Epulis
- 臨床表現:腫塊,一般無痛
- 就診科室:五官科
- 發病部位:牙齦
- 主要病因:殘根,牙石,不良修復體
- 多發群體:女性患者多見,中青年發病較多
發病原因
牙齦瘤牙齦瘤一般由殘根、牙石、不良修復體等局部因素引起,與機械刺激或慢性炎症刺激有關。此外還與內分泌因素有關,如婦女懷孕期間容易發生牙齦瘤,分娩後則牙齦瘤縮小或停止生長。
病理生理
牙齦瘤根據其病理變化一般分為三型:
(1)肉芽腫型:似炎性肉芽組織,有許多新生毛細血管及成纖維細胞,伴有許多炎性細胞浸潤,主要是淋巴細胞和漿細胞,纖維成分少,牙齦黏膜上皮往往呈現假上皮瘤樣增生。肉芽腫型齦瘤的牙齦表面呈紅色或暗紅色,質地較軟、易出血;
(2)纖維型:肉芽組織纖維化,細胞及血管成份減少,而纖維組織增多。粗大的膠原纖維束間有少量慢性炎症細胞浸潤,纖維束內可有鈣化或骨化,有不規則的骨小梁但無牙源性上皮結構,稱為外周性骨化性纖維瘤。這種纖維瘤被認為是牙周膜來源的一種反應性瘤樣增生,並非真性腫瘤。纖維型齦瘤的牙齦表面光滑,顏色與正常牙齦顏色無大差別,不易出血;
(3)血管型:血管特別多,似血管瘤,血管間纖維組織可有水腫及黏液性變,並有炎性細胞浸潤。牙齦極易出血。
臨床表現
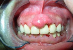
妊娠型牙齦瘤牙齦瘤以女性患者多見,中青年發病較多。多發生於唇頰側齦乳頭,以雙尖牙區最常見,舌、齶處少見,一般為單個牙發生。腫塊較局限,大小不一,通常呈圓形、橢圓形,有時為分頁狀,有的有蒂如息肉狀,有的無蒂基底寬廣。血管型和肉芽腫型者質地柔軟、色紅;纖維型者質地較韌且硬,顏色粉紅。腫塊一般生長緩慢,但在女性妊娠期可迅速增大。腫塊長大可以遮蓋部分牙面及牙槽突,表面可見牙壓痕,易被咬傷而發生潰瘍、出血或伴發感染。一般無痛,腫物表面發生潰瘍時可感覺疼痛。長期存在的較大腫塊可以壓迫並破壞牙槽骨壁X線示局部牙周膜增寬,致使牙鬆動、移位。
鑑別診斷
(1)牙齦瘤應該特別注意與牙齦鱗癌相鑑別。這兩種病損臨床上有時不易區別,尤其當牙齦癌呈結節狀生長,或牙齦瘤表面有潰瘍時,常易混淆。鱗癌大多表現為菜花狀、結節狀或潰瘍狀。潰瘍表面凹凸不平,邊緣外翻似肉芽,可有惡臭。牙鬆動或者脫落,或已拔除。X線片表現可見牙槽骨破壞。局部淋巴結腫大。文獻報告,牙齦鱗癌的發病年齡明顯高於牙齦瘤,男性多於女性,而齦瘤則女性高於男性。牙齦鱗癌好發於後牙區,齦瘤好發於前牙及雙尖牙區。前者病期短,一般幾個月,腫瘤生長迅速,後者病期長,一般數年。
(2)妊娠瘤易在婦女懷孕期(第4~9月)發生,分娩結束後可以退縮。
疾病治療
去除菌斑、牙石和不良修復體等刺激因素,手術切除牙齦瘤,切除應達骨面,包括骨膜,鑿去瘤體相應處的少量牙槽骨,並刮除該處的牙周膜,以免復發。術後預後一般較好。