概述
所謂隱睪症是指嬰兒出生2個月以後,
雙側或單側睪丸沒有下降到陰囊內的一種畸形狀態。隱睪症分真性隱睪和假性隱睪兩種。假性隱睪是指在陰囊內膜不到睪丸,但陰囊上方或腹股溝部可膜到睪丸;真性隱睪不但在陰囊內膜不到睪丸,就是在陰囊上部或腹股溝處也摸不到睪丸,其位置過高,常位於腹腔內。不論是真性、假性隱睪,還是雙側、單側隱睪,統稱為隱睪症。
睪丸離開陰囊後,就處在相對高溫的環境中。睪丸溫度的升高,首要的是破壞了睪丸生精作用。如為雙側隱睪,可使該男孩成年後發生無精子症,而造成男性不育;即使是單側隱睪,也會因該隱睪的破壞,產生多種抗精子抗體,而影響生育能力。另有報導,隱睪發生腫瘤的幾率比正常人高20-50倍,並有8%的隱睪患者發生癌變。所以,隱睪症對男性生殖健康是十分有害的。
隱睪(cryptorchidism),隱睪為先天性陰囊內沒有睪丸,它包括睪丸下降不全、睪丸異位和睪丸缺如。睪丸下降不全系指出生後睪丸未降至陰囊底部而停留在下降途中的某一部位,包括停留在腹腔內者,或者男嬰出生後單側或雙側睪丸未降至陰囊而停留在其正常下降過程中的任何一處,也就是說陰囊內沒有睪丸或僅有一側有睪丸。
臨床上常將睪丸下降不全稱為隱睪。睪丸異位是睪丸離開正常下降途徑、到達會陰部、股部、恥骨上、甚至對側陰囊內。
正常情況下,隨著胎兒的生長發育,在子官內發育的後期,睪丸自腹膜後腰部開始下降,於胎兒後期降入陰囊,如果在下降過程中受到阻礙,就會形成隱睪。研究結果顯示,隱睪的發病率是0.7%~0.8%(Cour Palais Scorer)。發病率與胎兒的發育有直接的關係,約有3%新生兒有“隱睪”症狀,早產兒高達30%。大多數患兒在出生數月內或一年左右內,在內分泌因素的作用下降入陰囊,到1歲時隱睪發病率為0.8%。一般可給予內科治療,套用人絨毛膜促性激素使睪丸下降。藥物治療效果不佳,在患兒2歲以內施行外科手術治療。
在成人約為0.4%。單側隱睪較雙側多,約為5:1。其中單側隱睪患者多於雙側隱睪患者,尤以右側隱睪多見,隱睪有25%位於腹腔內,70%停留在腹股溝,約5%停留於陰囊上方或其它部位。
隱睪通常是單獨存在的,但也可伴發尿道異常(占隱睪病人的13%)及其它先天性異常,如男性特納氏綜合徵(maleTurner氏綜合徵),Prader-Willi氏綜合徵(低肌張力——低智慧型——性發育低下——肥胖綜合徵)或Reifenstein氏綜合徵。隱睪患兒到了五歲時,可觀察到睪丸的組織學變化。大多數學者認為,幼年睪丸未降未必持久不降,可能延遲到青春期才能下降,需耐心等待。如果到青春期雙側睪丸仍未下降,則以後下降的機會極少;即使睪丸酮產生正常或輕度不足,也會造成不育症。對單側隱睪者說來,其生育能力仍可能是正常的。
介紹
隱睪是指男嬰出生後單側或雙側睪丸未降至陰囊而停留在其正常下降過程中的任何一處。也就是說陰囊內沒有睪丸或僅有一側有睪丸。
一般情況下,隨著胎兒的生長發育,睪丸自腹膜後腰部開始下降,於胎兒後期降入陰囊,如果在下降過程中受到阻礙,就會形成隱睪。研究結果顯示,發生隱睪的機會是1—7%,其中單側隱睪患者多於雙側隱睪患者,尤以右側隱睪多見,隱睪有25%位於腹腔內,70%停留在腹股溝,約5%停留於陰囊上方或其它部位。隱睪是怎樣形成的呢?隱睪是由睪丸下降異常造成的,引起睪丸下降異常的因素很多,常見的有:
1、將睪丸引入陰囊的睪丸引帶異常或缺如,至使睪丸不能由原來的位置降至陰囊。
2、先天性睪丸發育不全使睪丸對促性腺激素不敏感,失去了下降的動力。
3、下丘腦產生的黃體生成素釋放激素使腦下垂體分泌的LH和卵泡刺激素FSH缺乏,亦可影響睪丸下降的動力作用。事實證明,由內分泌因素所致者多為雙側隱睪,
由於其他因素引起者多為單側隱睪,有時隱睪可合併有腹股溝斜疝。患了隱睪對身體健康有什麼危害?隱睪對身體健康的影響表現在兩個方面:其一,隱睪會影響睪丸的生長發育從而導致生精功能障礙,引起不育。
其二,隱睪可以大大增加睪丸惡性腫瘤也就是睪丸癌的發病機會,資料顯示隱睪患者其睪丸癌發病機會為正常人的40倍,因此不管從生育角度還是從健康角度考慮隱睪患者都需要及時治療。
隱睪為什麼會影響生育呢?專家說睪丸是人體精子生成的場所,而睪丸對溫度比較敏感,睪丸產生精子的適宜溫度為32—36度C,比正常人體溫低2—4度,而陰囊位於軀體最下端,其皮膚皺摺較多,散熱能力較強,正是最適宜睪丸精子生長發育的場所,若睪丸因
種種原因不能到達陰囊內而停留在其它部位,這些部位的溫度及生化環境都不利於睪丸的生長發育,就會使睪丸發育不全或根本就不發育,也就不能發揮生精功能而引起不育。
臨床表現
大多數患者沒有症狀。小兒或成年後發現一側或雙側陰囊空虛,體檢未發現睪丸,有時在在腹股溝區可觸及包塊,壓迫有酸痛感。B超可在腹股溝或盆腔內發現類似睪丸樣包塊,少數患者B超可發現不了睪丸。
病因
在胚胎發育過程中睪丸的正常下降過程受到內分泌激素和物理機械因素的影響。睪丸下降分為二個階段:
第一階段包括胚胎期分化、睪丸形成及從泌尿生殖嵴移到腹股溝。
第二階段即睪丸從腹股溝移至陰囊中。
第二階段主要是由激素控制。
影響睪丸下降的物理機械因素有:
①睪丸系帶有提睪肌的牽引作用。
②腹內壓力推壓睪丸理降至陰囊中。
內分泌因素主要是指影響睪丸下降的分泌軸即下丘腦——垂體——睪丸軸異常而產生隱睪,此外睪丸支持細胞所分泌的苗勒氏管抑制物(MIS)及男性激素睪丸酮、雙氫睪丸酮也影響睪丸下降,在Kallmann綜合徵的病人缺乏下丘腦促性腺激素釋放激素GnRH(Gonadotropin Releasing Hormone)常發生隱睪。Gendel發出隱睪病人的LH(Luteinizing Hormone)血清水平低於正常人。Walsh等症實有5d-脫氫酶缺乏的病人睪丸酮不能有效地轉化為雙氫睪丸酮,也足以影響睪丸下降而產生隱睪。總之睪丸下降是一個非常複雜的胚胎髮育過程,受到內分泌、遺傳及物理機械因素的影響,這些綜合因素的異常均可以引起隱睪的發生。
病理
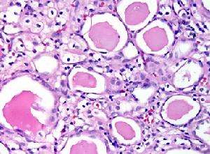
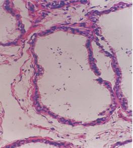
隱睪的異常位置停留時間較長,所居位置越高,睪丸的損害越大,在1.5~2歲以後睪丸的組織學改變主要有曲細精管變小,生精少,小管周圍組織增強(Cooper,Mengel)。間質細胞增加或減少而支持細胞增加。Hadyiselimovic等在對隱睪作了電子顯微鏡研究之後發現隱睪病人的睪丸變化包括:
①細胞內線粒體破壞;
②細胞漿和內質網中缺乏核糖體;
③精細胞和支持細胞中膠原纖維增加。而且如果是單側隱睪,對側正常下降至陰囊的睪丸可能也有病理性改變。
分類
生殖細胞King根據隱睪發生的原因作如下分類:
(1)末端器官發育不良,睪丸小於正常並有少量生殖細胞,常伴有異常管道結構。
(2)異位睪丸,睪丸下降通過腹股溝管但是降入陰囊以外的位置。
(3)異常促性腺激素刺激,包括內分泌異常綜合徵可產生隱睪。
(4)機械因素(如腹股溝管閉鎖)。
(5)腹內壓力異常(如Prune Belly綜合徵),睪丸不下降。
一般認為,如下的分類方法在臨床上更為實用:
隱睪(1)可回縮的睪丸。
(2)真性隱睪:
①腹內高位隱睪;
②腹股溝隱睪;
③陰囊高位隱睪;
④滑動性隱睪。
(3)異位睪丸。
(4)無睪畸形(單側、雙側無睪畸形)。
可回縮的睪丸是指睪丸提睪肌過於活動,睪丸可回縮至陰囊以上位置,但夜間休息及檢查中用手可將睪丸置於陰囊中,這種病人在青春期以後睪丸位置、大小正常,生育力同正常人。異位睪丸指睪丸位於陰囊以外恥骨上方、大腿股部、會陰部、陰莖概根部及橫位異位,應作手術糾正。無睪畸形多由妊娠期間子宮內精索扭轉產生。
臨床表現
腹股溝管內及腹內高位或者睪丸缺如,臨床檢查常常摸不到睪丸。睪丸長期停留在不正常的位置可引起不良後果:
1,睪丸萎縮:睪丸未下降至陰囊內,生後2年內還只有輕度的組織改變,在2~5歲以後就會引起睪丸發育不全或萎縮。兩側隱睪可使90%的病人不育。
2,惡性變:隱睪患者惡性變的危險較正常陰囊內睪丸大20~48倍;而腹腔內睪丸惡性變的危險較腹股溝睪丸大5倍。睪丸先天性缺陷以及睪丸處於不正常的位置、周圍溫度較高是隱睪發生惡性變的原因。
3,易外傷:睪丸位於陰囊內,活動度較大,外傷的機會較小。位於腹股溝的睪丸,當腹肌收縮時腹股溝管也收縮,其中的睪丸即受到擠壓。腹腔內睪丸也經常受腹壓改變的擠壓。
4,睪丸扭轉:隱睪之睪丸可能有睪丸引帶、提睪肌附著異常或睪丸鞘膜的附著異常,易於發生睪丸扭轉。
5,其他:隱睪患者大約65%有疝氣。
6,空虛的陰囊可引起自卑感、精神苦悶、性情孤僻。
檢查
隱睪患者常因陰囊空虛、內無睪丸來就診。也有以“疝”為主訴而就診者,或因雙側隱睪、婚後不育而來作檢查的。診斷一般不困難。但對於摸不到睪丸的隱睪與睪丸缺如的鑑別應予重視,因為後者不需要手術。如果病人染色體為XY型,血清卵泡刺激素(FSH)升高,血清睪丸酮(T)降低,而且睪丸酮的水平對絨毛膜促性腺激素(HCG)的刺激無反應,則為雙側睪丸缺如,不需要手術探查。
對於單側睪丸缺如術前難以確診,激素試驗是正常的。生殖腺靜脈造影、腹腔鏡檢查、B超、CT掃描對診斷可能有幫助,必要時仍需手術探查。
診斷
如果隱睪位於腹股溝管內及腹內高位或者睪丸缺如,臨床檢查常常摸不到睪丸。Levitt統計臨床體檢摸不到的隱睪約占全部隱睪的20%。對於這些病人常常先作HCG刺激試驗,即注射HCG1500IU,隔日1次,共3次,注射前後檢查血清中睪丸酮水平,如果注射後血清睪丸酮水平升高,表示有功能性睪丸組織存在,如果注射後血清睪丸酮水平不變,常表示沒有功能性睪丸組織存在。對於臨床摸不到的隱睪,常常需要採用特殊的診斷方法來做隱睪的定位檢查。B型超音波檢查是目前最常用的方法,這種檢查無損傷且可以同時檢查病人有無腎積水、畸形、結石等泌尿系統病變,對於腹股溝管內的隱睪有相當高的診斷率,但對於腹內隱睪的診斷率還不夠高。選擇性精索內靜脈造影是一個曾經廣泛採用的方法,可從造影劑注入後的精索內靜脈末端形態來診斷隱睪的位置或者睪丸缺如,但常常由於靜脈瓣影響了精索內靜脈顯影,而且對2歲以下的兒童操作很困難。
電子計算機斷層掃描(CTScan)和核磁共振(MRI)近年來也用於腹內隱睪的定位診斷,均有相當高的準確性,Wolverson報告20例病人作CT檢查,準確率達96%;Fritzche報告12例病人共15個隱睪經MRI證實14個隱睪,1例高位誤診。這二種檢查的缺點是在年幼的兒童檢查比較困難而且費用很高。
腹腔鏡近年來已廣泛的用於腹內隱睪的診斷和治療。腹腔鏡套用範圍廣泛,可用於各種年齡的病人及1歲以下兒童,操作方法簡單而且時間短,診斷率可達88%至100%,可以確定隱睪的位置或者睪丸缺如。在腹腔鏡檢查中常可先在腹膜後沿睪丸血管解剖位置找睪丸血管,沿精索血管可找到位於腹內或者腹股溝內環處睪丸,如果沿血管見到血管盲端可以確定是睪丸缺如,如果盲端有結節應切除並送病理檢查。Diamond總結在腹腔鏡檢查臨床摸不到的隱睪有三種結果:①在腹股溝內環以上看到精索血管和輸精管盲端,缺乏睪丸;②正常精索進入腹股溝管內環;③腹內睪丸。後者均需作手術探查。如果檢查中只看到輸精管進入腹股溝管而沒有看到精索血管也應作剖腹探查。檢查中如果觀察到高位腹內隱睪及很長的輸精管,可作分期睪丸固定術第一期手術,即分離、鉗夾並切斷精索血管,留待以後作第二期睪丸固定術。如果術中發現睪丸發育不正常宜於作分期睪丸固定術,應經腹腔鏡作睪丸切除術。
併發症
精曲小管橫切面隱睪與不孕症。隱睪由於組織病理學的改變,沒有正常的生精功能,隱睪的位置越高,在陰囊以上的位置時間越長,睪丸曲細精管的損害越大。Mengel經用普通顯微鏡和電子顯微鏡觀察,隱睪病人睪丸在2歲以前就有曲細精管和間質細胞的病理學改變及明顯的生精損害。Hecker檢查正常成人及單側隱睪病人經睪丸固定術以後的精子濃度,前者明顯高於後者,表明單側隱睪病人有雙側隱睪損害。雙側隱睪病人未經治療,不孕症可達100%,如早期治療生育力可達40%。而單側隱睪早期治療後生育力可達60%。
病人在2歲以前進行治療有助於改進精原細胞的發育,增加精原細胞數量及以後的生精。單側和雙側隱睪病人儘管早期治療,成年以後生精能力仍低於正常。
曲精細管隱睪與睪丸扭轉,由於隱睪病人睪丸與系帶之間常有發育異常,故易發生睪丸扭轉。進入青春期後由於睪丸體積增大發生機會更多。Rigter報告64%的成人隱睪扭轉是由於睪丸發生惡性變,以至睪丸重量及睪丸重力軸改變而發生。
治療原則是睪丸固定術或者需要時做睪丸切除術。
隱睪與惡性變,隱睪病人在青春期後有很高的惡變發生率。隱睪發生惡性變的發生率是正常人的25至48倍(Whiter及Welvar)大約10%的睪丸腫瘤發生於隱睪。由於隱睪的組織學異常,所以早期手術並不能防止隱睪發生惡性變。
單側隱睪的病人,對側已降至陰囊正常位置的睪丸組織學亦有異常,所以亦有較高的惡性變發生率。Johnson在單側隱睪惡性變的病人中發現有五分之一的惡性變發生在非隱睪一側睪丸中,而雙側隱睪的病人,如果一側發生惡
性變,另側睪丸有15%的機會也發生惡性變。隱睪的位置與惡性變有明顯的關係,腹內隱睪惡性變發生率四倍於腹股溝隱睪,而雙側腹內隱睪,如一側發生惡性變,另一側睪丸有30%的機會亦發生惡性變。
Skakkebaek在隱睪病人活檢中發現原位癌引起了對隱睪惡性變的新認識,其發生率在30%。應早期施行睪丸固定術,特別是腹內隱睪應早期移入陰囊,如不能移入陰囊中應做睪丸切除術。隱睪發生惡性變後,多為精原細胞瘤,應及時做睪丸根治性切除術及後腹膜區放射治療。
伴發疾病
腎萎縮隱睪可以是一個單發的疾病,也可以伴有其他的泌尿生殖系統異常及伴有其他的內分泌疾病和遺傳疾病。
Felton報告658例隱睪病人,2.5%伴有較大的泌尿系統異常,主要有單側重複腎,腎異位,腎萎縮,腎積水,馬蹄腎,輸尿管重複畸形及腎盂、輸尿管連線處狹窄。隱睪病人也可伴有尿道下裂和先天性後尿道瓣膜。
隱睪常伴有輸精管和附睪畸形(Marshall)。Windholtz描敘了四種睪丸和附睪的異常:
①先天性睪畸形伴有附睪和輸精管下降;②隱睪伴有下降的附睪和輸精管;睪丸和附睪分離;③輸精管、睪丸及附睪均在陰囊中,呈分離狀;④睪丸與附睪相連,但管道分離。Scorer指出附睪可能變長,部分或者完全閉鎖,
也可能完全與睪丸分離。在妊娠期間使用乙烯雌酚(DES)的婦女在妊娠時可以產生隱睪和附睪缺如。隱睪和輸精管缺如還常發生於囊性纖維化的病人。常染色體和性染色體的異常均可引起隱睪的發生。常見的伴有隱睪發生的遺傳內分泌綜合徵有:
(1)Kallmann綜合徵:是X一鏈隱性遺傳疾病,促性腺激素分泌激素低下,性功能低下,常伴有隱睪。
(2)Klinefelter綜合徵(小睪丸綜合徵):病人表現無睪症體型,男性乳腺發育,隱睪且睪丸小而質地硬,睪丸曲精管透明樣變和纖維化,不能生精。
(3)Noonan綜合徵(男性Turner氏綜合徵):病人常有面部異常,心血管異常,泌尿系統異常和隱睪(70%)。
(4)其他還有Prader-Willi綜合徵、Down綜合徵、Aarkog綜合徵等其他遺傳、內分泌綜合徵常常伴有隱睪的發生。
真性和假性二性畸形的病人往往有複雜的遺傳和內分泌異常,如病人伴有隱睪,須先做詳細的遺傳和內分泌學檢查,再作進一步治療。
疾病轉歸
1歲以後睪丸自行下降機會不多,多需藥物或手術治療。隱睪如未及時治療,成年後將影響生育功能。隱睪的惡變幾率明顯高於正常睪丸。隱睪易受外傷、發生睪丸扭轉,導致患者自卑情緒。
治療原則
在胚胎髮育過程中睪丸的正常下降過程受到內分泌激素和物理機械因素的影響睪丸下降分為二個階段第一階段包括胚胎期分化睪丸形成及從泌尿生殖嵴移到腹股溝第二階段即睪丸從腹股溝移至陰囊中第二階段主要是由激素控制睪丸下降是一個非常複雜的胚胎髮育過程受到內分泌遺傳及物理機械因素的影響這些綜合因素的異常均可以引起隱睪的發生。
家長一旦發現你的孩子陰囊內沒有睪丸或僅有一側有睪丸就要立即到醫院就診。一歲以內的小兒通過一些藥物的套用有可能使睪丸降入陰囊,到了二歲仍然不能下降入陰囊,則要考慮手術治療,資料顯示,在二歲以前手術對睪丸的生精功能無太大影響,超過四歲則會明顯影響,超過八歲則會嚴重影響,如果超過十二歲即使做
了手術,睪丸的生精功能亦不能恢復。因此,隱睪下降固定術應在二歲以前進行。
症狀
睪丸長期停留在不正常的位置可引起不良後果:1、睪丸萎縮:睪丸未下降至陰囊內,生後2年內還只有輕度的組織改變,在2~5歲以後就會引起睪丸發育不全或萎縮。兩側隱睪可使90%的病人不育。
2、惡性變:隱睪患者惡性變的危險較正常陰囊內睪丸大20~48倍;而腹腔內睪丸惡性變的危險較腹股溝睪丸大5倍。睪丸先天性缺陷以及睪丸處於不正常的位置、周圍溫度較高是隱睪發生惡性變的原因。
3、易外傷:睪丸位於陰囊內,活動度較大,外傷的機會較小。位於腹股溝的睪丸,當腹肌收縮時腹股溝管也收縮,其中的睪丸即受到擠壓。腹腔內睪丸也經常受腹壓改變的擠壓。
4、睪丸扭轉:隱睪之睪丸可能有睪丸引帶、提睪肌附著異常或睪丸鞘膜的附著異常,易於發生睪丸扭轉。
5、其他:隱睪患者大約65%有疝氣。
6、空虛的陰囊可引起自卑感、精神苦悶、性情孤僻。
隱睪的危害
危害1、影響生育能力
因為陰囊內溫度要比37℃體攝低1。5-2℃,這個"低溫"條件是睪丸產生精子所必需的。隱睪就不具備這種"低溫"條件,生精功能受累,又怎么能生育呢?由於一側睪丸仍能分泌性激素,所以並不影響夫妻性生活、當然要是兩側睪丸都沒下降到陰囊里,睪丸發育受阻,性激素分泌不足,則可影響以後的性功能。
隱睪為什麼會影響生育呢,睪丸是人體精子生成的場所,而睪丸對溫度比較敏感,睪丸產生精子的適宜溫度為32—36度C,比正常人體溫低2—4度,而陰囊位於軀體最下端,其皮膚皺摺較多,散熱能力較強,正是最適宜睪丸精子生長發育的場所,若睪丸因種種原因不能到達陰囊內而停留在其它部位,這些部位的溫度及生化環境都不利於睪丸的生長發育,就會使睪丸發育不全或根本就不發育,也就不能發揮生精功能而引起不育。
危害2、極易發生惡變
隱睪由於生長環境改變以及發育上的障礙,使睪丸細胞發生惡變,而形成惡性腫瘤,其發生癌變的可能是正常睪丸的35倍。
危害3、容易發生損傷
由於睪丸隱在上方,位置淺表,稍有撞擊或外傷,便容易發生損傷,產生疼痛。
危害4、產生心理障礙
陰囊里沒有睪丸,外生殖器形態的變化,會使患者自卑,不願去公共浴室洗澡,出現心理異常。
家長朋友對於男孩時候患有隱睪症應該給與足夠的重視。在孩子還小的時候就應檢查陰囊里睪丸是否正常,如果出現隱睪就需及早治療。經過檢查,證明確實是所謂"隱睪症"的表現,可用手術療法或套用藥物的非手術療法。
有人通過電子顯微鏡觀察,發現隱睪在2歲以前手術,成年後有87.7%的人有正常生育能力,在3到4歲時手術則僅有57.1%的人有正常生育能力。年齡越大,手術後生育力越低,故最好的手術時間應選在2歲左右,否則會影響睪九的功能,造成不可逆的損害,而影響婚後的生育。
治療
鼻腔噴霧HCG(促性腺激素,Human Chorionic Gonadotropin)治療,HCG的治療方法是指使用3000IU至40000IU注射量,在數天至數周時間內注射,目前常用的是:1至6歲使用HCG250IU,每周2次共5周;1至6歲使用500IU,每周2次共5周;6歲以後使用100IU,每周2次共5周的治療方案。隱睪的下降率對雙側隱睪在30%~50%左右,而對單側隱睪在15%~30%左右。下丘腦促性腺激素釋放激素(GnRH,Gonadotropin Releasing Hormone)或者LHRH,(Luteinizing Hormone Releasing Hormone)是近年來套用較多的治療激素,常採用鼻腔噴霧吸入法,每次每側鼻腔為200μg,每日3次共四周,成功率在10%
~60%的範圍內。Rajfer認為成功率差別很大是由於有些作者將可回縮的隱睪計算在內,這種隱睪激素治療的成功率很高。
睪丸固定術是隱睪的主要治療療法,在手術治療的同時還可以治療合併的腹股溝疝,手術治療的原則是採用適當的下腹部切口,手術中充分游離精索,修補疝囊及固定睪丸於陰囊中,標準的睪丸固定是作腹股溝斜切口,修補疝囊並游離睪丸及精索,再將睪丸置入陰囊中並固定,術中注意固定睪丸後精索無張力,保證睪丸血運。
部分腹內高位隱睪病人輸精管較長且彎曲在腹股溝管中,可作切斷精索血管、下移睪丸的手術(Fowler-Stephen手術),亦可作分期手術,即第一期切斷精索血管,第二期移下睪丸。少數病人則因高位腹內隱睪需作睪丸自體移植手術,即切斷精索血管,將精索內動脈和靜脈與腹壁下深動脈和靜脈吻合及置睪丸於陰囊中,這種手術方法需要顯微外科技術。
最佳治療時間
治療隱睪的最佳時機在3歲以前。如果錯過了治療的最佳時機,仍可進行治療。醫生會綜合考慮患者的睪丸發育情況、所處位置及惡變可能性,以確定最佳治療方案傳統手術弊端
傳統手術方式採用腹腔溝切口,行睪丸松解下降陰囊固定。如腹股溝難以找到睪丸,還需擴大切口,在腹膜後,甚至打開腹腔尋找睪丸。不但創傷大,而且破壞了腹股溝管解剖結構,損傷了提睪肌,容易造成精索血管、輸精管和神經損傷。預後
精子單側和雙側隱睪經手術治療後,特別是早期手術治療後均有助於改進精原細胞的發育,增加精原細胞的數量及青春期後的生精。
青春期前手術者在青春期後62%有生育能力,未手術者僅有46%的生育能力。手術治療時間與青春期後生育也有密切關係。
Ludwing報導一組病人,1~2歲之間手術者成年以後87.7%,有正常生育能力,3~4歲之間手術者57.1%有正常生育能力。
治療隱睪症的方法
一、手術治療目的是恢復睪丸的正常生理環境,使睪丸處於陰囊內的正常溫度下,以維持患者的生育能力,並儘可能減少惡變等併發症。目前主張手術在1~2歲進行。由於腹腔型隱睪發生惡變的風險,是正常睪丸的4倍,故腹腔型隱睪應儘早進行手術治療。二、內分泌治療可促進睪丸發育,使已退化受損的細胞功能恢復或改善;促進睪丸下降,對較大兒童未用過激素者,術後宜補充使用。內分泌治療主要套用促性腺激素。在3歲前可先試用絨毛膜促性腺激素或促性腺激素釋放激素,以促進雄激素睪酮的分泌和促進生殖細胞發育成熟,使睪丸自行下降。

