簡介
所謂隱睪症是指嬰兒出生2個月以後,雙側或單側睪丸沒有下降到陰囊內的一種畸外形態。隱睪症分真性隱睪和假性隱睪兩種。假性隱睪是指在陰囊內膜不到睪丸,但陰囊上方或多種抗精子抗體,而影響生育能力。另有報導,隱睪發生腫瘤的幾率比正常人高20-50倍,並有8%的隱睪患者發生癌變。所以,隱睪症對男性生殖健康是十分有害的。
隱睪又稱睪丸未降。胎兒在發育過程中,睪丸逐漸處自腰部腹膜後下降,並於出生前降至陰囊內。一部分小兒於1年後睪丸方逐漸下降至陰囊內,約有10%的新生兒,一側或兩側睪丸沒有完全下降到陰囊內,而停留在腹股溝管內或腹腔內,稱之為隱睪。
發病率
隱睪的發生率很高,據統計新生兒約3%~14%,1歲時約2%,青春期約1%,青春期後下降者為數不多,隱睪單側多於雙側,左右發生率相似,雙側發生率在10%~25%之間。未降睪丸約70%居於腹股溝區域,約25%位於腹腔內或腹膜後,5%位於其它部位。
發病機制
在胚胎的發育過程中睪丸的正常下降受到內分泌激素和物理機械因素的影響,影響睪丸下降的物理因素有睪丸系帶由提睪肌的牽引作用腹內推壓睪丸降至陰囊內,正常的附睪發育也是睪丸下降的因素。隱睪的異常位置停留的時間越長,所居位置越高,睪丸的損害越大,其主要不良後果包括:如果睪丸沒有下降到陰囊內,出生二年內還只有輕度的組織改變,包括生精小管變細,生精少,小管周圍組織增強,間質細胞增加或減少而支持細胞增加,隨後的一年更明顯,表現為膠原纖維增寬丶變密,加重小管的病理損害,進而致生殖母細胞轉化發生障礙。故出生後第二年時有38%患兒的睪丸沒有生殖細胞。病因
睪丸未下降,停留在腹腔,鏡下見生精細胞萎縮、消失。導致隱睪的原因,目前認為與解剖學因素和內分泌因素有關。可以是單一的,也可以是兩種因素均有。內分泌因素可能是:睪丸分泌雄性激素延遲,或數量不足,靶器官對雄性激素不敏感等。解剖學因素可能是:睪丸系帶過短,睪丸四周組織粘連,精索血管或輸精管過短,腹股溝狹小,陰囊發育不良等,但總的來說,其病因仍不是十分清楚。有人統計,雙側睪丸不育者為90%以上,單側隱睪不育者約60%一85%。
主要表現為少精症及睪丸組織的病理性改變。由於隱睪病人睪丸四周的溫度比在陰囊溫度高1.5—2℃左右,而溫度的升高可使睪丸上皮萎縮,阻礙精子的發生,造成不育。這種睪丸的病理損害與睪丸的環境有關,位置越高睪丸上皮改變越嚴重。1979年Job報告單側隱睪從生後第二年起,對側正常位置的睪丸有損害作用,即所謂“交感性睪丸病”,並認為可能是單側隱睪患者,其對側降至陰囊的睪丸,同樣有受損情況。睪丸活檢可見生精小管萎縮,生精細胞減少,嚴重者可有生精細胞消失,生精小管發生透明樣變和閉鎖。
睪丸的組織學顯示,隱睪時Leydig細胞數目減少且萎縮,導致精原細胞A停止轉為B,影響了生殖細胞的繁殖。青春期前睪丸的生殖細胞數目和青春期後的精子細胞數目密切相關。青春期前如睪丸內無生殖細胞,行睪丸固定術對生殖功能無益。所以根據對睪丸的病理組織學研究顯示的規律,目前人們對隱睪的治療已有了較完整的方案。其目的是儘早恢復睪丸的生殖細胞數量及功能,提高生育力。
十二種病因
隱睪症的發病原因還不很清楚,有關推測較高,一是從解剖因素來考慮,認為有以下12種原因:
(1)睪丸系膜大短,不允許睪丸充分下降。
(2)睪丸系膜與腹膜發生粘連。
(3)睪丸血管的發育異常或存在皺褶,從上方牽拉而限制睪丸下降。
(4)精索血管或輸精管太短。
(5)睪丸和附睪的直徑太子腹股溝管的直徑,以致於無法通過。
(6)睪丸融合而變得太大,無法下降。
(7)睪丸引帶缺如、太短或固定。
(8)提睪肌活動過於劇烈妨礙睪丸下降
(9)腹股溝管的發育不良,不能讓睪丸通過。
(10)陰囊發育不良,缺少容納睪丸的腔隙。二是從內分泌因素來考慮,認為睪丸下降需要充足量的性激素刺激,尤其是來自母體的促性腺激素。妊娠最後二周時,母體促性腺激素大量釋放,促使胎兒的睪丸下降至陰囊。如果分泌不足,便有可能導致隱睪,但這個觀點難以解釋單側隱睪的原因;另一種觀念認為是睪丸本身發育不良,一方面造成對促性腺激素刺激的不敏感,另一方面睪丸本身的睪酮生產也發生障礙或紊亂,從而形成隱睪。
(11)副中腎管抑制物質(MIS)不足:胚胎初期,胎兒同時具有副中腎管和中腎管。隨著男性胎兒原始性腺發育為睪丸,睪丸內間質細胞分泌睪酮,支持細胞分泌副中腎管抑制物(MIS),抑制副中腎管發育。如果MIS不足,副中腎管可殘留或完全沒有退化,對睪丸的下降造成障礙。
(12)解剖障礙:隱睪者鞘狀突多終止於恥骨結節或陰囊上方,而異常的引帶殘餘、筋膜覆蓋陰囊入口,這些都可阻止睪丸下降。
病理
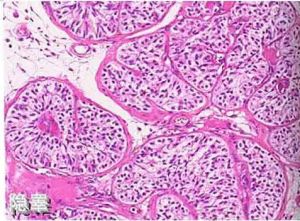
隱睪體積明顯縮小,高位腹腔型更為嚴重,比正常睪丸一半還小。睪丸體輕質軟,下附睪銜接鬆弛、分離,在光鏡與電鏡對照下發現隱睪的病兒在2歲~4歲時有曲細精管周圍纖維化,間質比例增加及曲細精管退化形成的沙樣瘤。從2歲~3歲開始隱睪的曲細精管中精原細胞數量減少,退行性變突出。病變累及間質、精原細胞、支持細胞和間質細胞。5歲時更明顯,並隨年齡增長而加重。因此,對隱睪病兒於2歲後就應該進行手術治療,最佳年齡應是2歲~4歲,若為單側隱睪,則對側正常睪丸生精功能可代償性增強,一般仍具備生育能力,但雙側隱睪或對側睪丸曲細精管異常,則喪失生育能力,性功能與第二性徵一般不受影響。
臨床表現
陰囊明顯發育不良
單側隱睪,陰囊明顯不對稱,雙側隱睪陰囊呈扁平。檢查患側陰囊空虛。
陰囊對冷刺激敏感
較大兒童,天氣嚴寒時檢查隱睪應注重排除此因素。
單側隱睪
其中右側的稍多於左側面的。雙側隱睪約有10-25%。假如睪丸間質細胞破壞嚴重時,病兒可有過分肥胖、生殖器發育不良的生殖腺功能遲鈍現象。
無明顯臨床症狀
症狀一般,部分患者可伴有不同程度的腎精不足症狀,如發育遲緩,身材矮小,智力低下,動作遲鈍,發脫齒搖,耳鳴耳聾,健忘恍惚等症。
難觸及
體徵一側或雙側陰囊發育不良,站立時陰囊內空虛無睪丸,在腹股溝處或可見局部隆起,觸及較小的活動睪丸,有時可推入陰囊。睪丸若停留在腹膜後則很難觸及
分類
(1)異位睪丸,睪丸下降通過腹股溝管但是降入陰囊以外的位置。
(2)腹內壓力異常(如PruneBelly綜合徵),睪丸不下降。
(3)異常促性腺激素刺激,包括內分泌異常綜合徵可產生隱睪。
(4)末端器官發育不良,睪丸小於正常並有少量生殖細胞,常伴有異常管道結構。
(5)機械因素(如腹股溝管閉鎖)。
診斷
疾病診斷
隱睪症患者的陰囊一側或雙側較小,右側多於左側,觸診陰囊內無睪丸,在腹股溝管內常可摸到小睪丸,部分位於腹膜後可完全觸不到,隱睪常伴有腹股溝斜疝。隱睪症的診斷並不困難,通常父母親在幫小寶寶洗澡時,可以順便摸一摸陰囊內有沒有兩顆睪丸。如果有一側或者兩側摸不到睪丸,應尋求小兒科或小兒外科醫師再做進一步檢查。另外睪丸沒下降該側之陰囊會有退化現象,陰囊外觀較另一側小。有時可以在腹股溝摸到睪丸,使診斷更加確定。近年來由於全民健保提供之兒童健檢,也發現了不少有隱睪症的小朋友。一般而言有80%以上的隱睪位於腹股溝,而不到20%的隱睪是在腹腔內。超音波檢查有時可以提供一些線索,但是因為小朋友睪丸較小,受限於本身解像力,超音波對實際診斷幫忙不大。另外,由於睪丸細胞對放射線(X光)較敏感,因此任何診斷應避免放射線照射。因此,有經驗的醫師的觸診,價值遠超過其他昂貴的檢查。超音波檢查或磁振造影應保留給觸診摸不到睪丸的小朋友。
如果隱睪位於腹股溝管內及腹內高位或者睪丸缺如,臨床檢查常常摸不到睪丸。Levitt統計臨床體檢摸不到的隱睪約占全部隱睪的20%。對於這些病人常常先作HCG刺激試驗,即注射HCG1500IU,隔日1次,共3次,注射前後檢查血清中睪丸酮水平,如果注射後血清睪丸酮水平升高,表示有功能性睪丸組織存在,如果注射後血清睪丸酮水平不變,常表示沒有功能性睪丸組織存在。濮陽市油田總醫院泌尿外科潘運高。
對於臨床摸不到的隱睪,常常需要採用特殊的診斷方法來做隱睪的定位檢查。B型超音波檢查是目前最常用的方法,這種檢查無損傷且可以同時檢查病人有無腎積水、畸形、結石等泌尿系統病變,對於腹股溝管內的隱睪有相當高的診斷率,但對於腹內隱睪的診斷率還不夠高。選擇性精索內靜脈造影是一個曾經廣泛採用的方法,可從造影劑注入後的精索內靜脈末端形態來診斷隱睪的位置或者睪丸缺如,但常常由於靜脈瓣影響了精索內靜脈顯影,而且對2歲以下的兒童操作很困難。電子計算機斷層掃描(CTScan)和核磁共振(MRI)近年來也用於腹內隱睪的定位診斷,均有相當高的準確性,Wolverson報告20例病人作CT檢查,準確率達96%;Fritzche報告12例病人共15個隱睪經MRI證實14個隱睪,1例高位誤診。這二種檢查的缺點是在年幼的兒童檢查比較困難而且費用很高。
腹腔鏡近年來已廣泛的用於腹內隱睪的診斷和治療。腹腔鏡套用範圍廣泛,可用於各種年齡的病人及1歲以下兒童,操作方法簡單而且時間短,診斷率可達88%至100%,可以確定隱睪的位置或者睪丸缺如。在腹腔鏡檢查中常可先在腹膜後沿睪丸血管解剖位置找睪丸血管,沿精索血管可找到位於腹內或者腹股溝內環處睪丸,如果沿血管見到血管盲端可以確定是睪丸缺如,如果盲端有結節應切除並送病理檢查。
Diamond總結在腹腔鏡檢查臨床摸不到的隱睪有三種結果:①在腹股溝內環以上看到精索血管和輸精管盲端,缺乏睪丸;②正常精索進入腹股溝管內環;③腹內睪丸。後者均需作手術探查。如果檢查中只看到輸精管進入腹股溝管而沒有看到精索血管也應作剖腹探查。檢查中如果觀察到高位腹內隱睪及很長的輸精管,可作分期睪丸固定術第一期手術,即分離、鉗夾並切斷精索血管,留待以後作第二期睪丸固定術。如果術中發現睪丸發育不正常宜於作分期睪丸固定術,應經腹腔鏡作睪丸切除術。
鑑別診斷
本病主要應與睪丸回縮、無睪丸、腹股溝淋巴結、男性假兩性畸形相鑑別。
1、睪丸回縮由於提睪肌反射或寒冷刺激,睪丸可回縮至腹股溝,陰囊內捫不到睪丸,但待腹部溫暖,或局部熱熨,睪丸可復出。隱睪則不受溫度變化的影響。
2、無睪丸陰囊發育不良,空虛無睪丸,無生殖能力,第二性徵差,呈宦宮型發育,如皮下脂肪豐滿,皮膚細,語調高,鬍鬚陰毛稀少,喉結不明顯。腹部B型超聲及手術探查均無睪丸。
3、腹股溝淋巴結常與位於腹股溝部的隱睪相似。但淋巴結為豆形,質地較硬,大小不一,且數目較多,不活動,陰囊內睪丸存在。
4、男性假兩性畸形常合併有隱睪。此外生殖器官有嚴重畸形,如尿道下裂,陰囊分裂,似女性外陰,但性染色體檢查為XY,B超及手術探查可發現睪丸。
疾病危害
1、影響生育能力。因為陰囊內溫度要比37℃體攝低1.5-2℃,這個ldquo低溫rdquo條件是睪丸產生精子所必需的。隱睪就不具備這種ldquo低溫rdquo條件,生精功能受累,又怎么能生育呢?由於一側睪丸仍能分泌性激素,所以並不影響夫妻性生活、當然要是兩側睪丸都沒下降到陰囊里,睪丸發育受阻,性激素分泌不足,則可影響以後的性功能。
2、容易發生惡變。隱睪由於生長環境改變以及發育上的障礙,使睪丸細胞發生惡變,而形成惡性腫瘤,其發生癌變的可能是正常睪丸的35內姆倍。
3、意外發生損傷。由於睪丸在上方,位置淺表,稍有撞擊或外傷,便容易發生損傷,產生疼痛。
4、產生心理障礙。陰囊里沒有睪丸,外生殖器形態的變化,會使患者自卑,不願去公共浴室洗澡,出現心理異常。
治療
治療措施
隱睪症的治療是使處於不正常位置的睪丸至正常位置。隱睪的治療主要是基於以下幾個主要理由:①由於隱睪處於不正常的位置損害了睪丸的正常生精能力,睪丸下降後可以增加生精;②由於隱睪的惡性變發生率較高,應將睪丸置入陰囊以便早期發現病變;③解除兒童及家長的心理壓力因素。隱睪的治療時間是2歲以內,治療的主要方法有激素治療和睪丸固定術。
隱睪症睪丸固定術是隱睪的主要治療療法,在手術治療的同時還可以治療合併的腹股溝疝,手術治療的原則是採用適當的下腹部切口,手術中充分游離精索,修補疝囊及固定睪丸於陰囊中,標準的睪丸固定是作腹股溝斜切口,修補疝囊並游離睪丸及精索,再將睪丸置入陰囊中並固定,術中注意固定睪丸後精索無張力,保證睪丸血運。部分腹內高位隱睪病人輸精管較長且彎曲在腹股溝管中,可作切斷精索血管、下移睪丸的手術(Fowler-Stephen手術),亦可作分期手術,即第一期切斷精索血管,第二期移下睪丸。
少數病人則因高位腹內隱睪需作睪丸自體移植手術,即切斷精索血管,將精索內動脈和靜脈與腹壁下深動脈和靜脈吻合及置睪丸於陰囊中,這種手術方法需要顯微外科技術。單側和雙側隱睪經手術治療後,特別是早期手術治療後均有助於改進精原細胞的發育,增加精原細胞的數量及青春期後的生精。Lipshulty在一組單側隱睪病人手術治療隨訪中報告,青春期前手術者在青春期後62%有生育能力,未手術者僅有46%的生育能力。
手術治療時間與青春期後生育也有密切關係。Ludwing報導一組病人,1~2歲之間手術者成年以後87.7%,有正常生育能力,3~4歲之間手術者57.1%有正常生育能力。
治療方法
西醫治療(一)西藥治療主要採用激素治療。1、HCG療法關於使用HCG的年齡、劑量問題國內外爭議較多,一般認為2歲~9歲時使用較好,2歲前治療無效。10歲後,垂體分泌促性腺激素開始增加,再用HCG是無效的。以往認為HCG對雙側隱睪最合適,但近來通過實踐證明單側隱睪也可使用,其理由是單側隱睪大部分也是由於內分泌失調所致。對於異位睪丸、遊走睪丸,或因解剖異常所造成的隱睪以及假兩性畸形合併隱睪者用HCG則是無效的。
治療劑量以總量1萬u~2萬u為宜,具體方法為1500u,肌注,隔日1次。Canlorbe採用總量為13500u的HCG治療130例2歲以上的隱睪病兒,結果療效為:腹股溝管型隱睪43%,雙側50.8%,5歲以後的病兒雙側為40%,單側為29.5%。用同樣的劑量和方法,其療效為:腹股溝管外型48%,腹股溝管內型23.7%,未觸及型無效,Robinson及Engle主張短期大劑量衝擊療法,每天注射4000u~6000u共3天,療效為20%。亦有人根據年齡和體重來計算用量,觀察時間為1個月,如有再回縮現象可在3個月後作第2個療程的重複治療。HCG副作用較小,常見為陰莖和陰囊內容物暫時增大,陰莖經常勃起,少數可致性早熟。大劑量治療時可出現早期骨骺閉合及曲細精管退化現象。
2、合成LH-RH鼻內噴霧法Illing等使用LH-RH(1mg/ml)1.2mg,每天分6次鼻內噴霧,1個療程為4周。共治療48例,結果完全下降者38%,改善28%,無效19%。LH-RH鼻內噴霧療法的優點是方法簡便易行,不產生陰莖增長等副作用,對年幼兒較適用。在使用LH-RH治療無效者可再用HCG仍可有效,故兩種療法可聯合套用。其它還有採用垂體前葉素及睪酮等治療,但效果尚不肯定。
(二)手術治療
凡經激素治療無效者,一律應採取手術治療。目前關於手術年齡和手術方法的選擇,各家主張不很一致,有人主張在青春期或10歲左右手術,但多數人主張在早期(6歲以前)手術為宜。
手術方法主要有3種:
1、睪丸固定術適用於隱睪位於陰囊上方或腹股溝區域者。游離後將睪丸連同血管、輸精管等一起拖入陰囊固定,如伴發腹股溝疝則一併修復。1978年Saha提出一種睪丸固定術的改良方法,將睪丸置人陰囊後,並不在睪丸組織上作縫合固定,以免損傷睪丸組織,而是作睪丸上方的精索固定,以防止睪丸回縮。
2、睪丸自體移植術適用於隱睪位置較高無法下拖或者位於腹腔內或腹膜後等部位,無法拖入陰囊者。手術時將隱睪連同血管一起切下,自體移植到陰囊內。這種方法Hodges1964年首次動物實驗成功,1976年Silber和Machahon分別成功地使用於人體,目前已較為廣泛地開展。
3、睪丸切除術適應於隱睪已經萎縮或明顯發育不良者。此類隱睪已喪失生精能力,無保留價值,為防止惡變,可施睪丸切除術。
除了手術外,也有人用荷爾蒙來治療隱睪症。其中較常用的是脈絡膜親生殖腺素(humanhCG)或LH-RH鼻噴劑。其作用方式不外乎刺激睪丸下降,可惜成效只有10%不到。所幸睪丸固定術在有經驗的醫師處理下成績還算理想,大部分病人只需門診手術不用住院。傷口照顧也很簡單,約一週可恢復。手術後一個月內只需避免劇烈運動以免傷口出血受傷。日常生活起居一如往常。少數腹腔內隱睪症患者,因為需將腹腔打開找睪丸,這類病人才必須住院。
中醫治療由於本病與先天稟賦不足有關,故治療應在嬰兒期開始,給予補益腎精之劑,促進睪丸及整個生殖系統與內分泌系統的生長發育,促使睪丸下降到陰囊。
(一)、辨證論治:
本病以辨病論治為主。
1、臨床表現:單側或雙側陰囊較小,陰囊內觸之無睪丸,常在腹股處觸及隱睪。或伴有不同程度的發育遲緩,智力動作遲鈍,發脫齒搖,耳鳴耳聾,健忘恍惚等腎精不足的症狀。
2、證候分析:先天稟賦不足,腎精虧虛,天癸缺乏,則陰囊和睪丸發育不良,睪丸不能及時正常下降至陰囊,形成隱睪。腎主生殖與發育,主骨生髓,其華在發,開竅乾耳,腎精不足,不能化氣生血,充肌長骨,充髓實腦,故見發育遲緩,智力低下,動作遲鈍,發脫齒搖,耳鳴耳聾,健忘恍惚等症。
3、治法補腎益精。
4、方藥補腎散。方中用熟地黃、山萸肉、枸杞子、懷牛膝滋補肝腎;紫河車為血肉有情之品,合人參當歸大補氣血;鹿茸、巴戟天、仙茅、肉蓯蓉、補骨脂溫腎壯陽,鼓舞腎氣;柴胡、蜈蚣、麝香疏肝通絡,開竅醒腦,促進大腦分泌性激素。諸藥合用,起補腎益精,促進性激素分泌的作用。
(二)單驗方治療
熟地、肉蓯蓉、仙靈脾、巴戟天、沙蒺藜各6g,菟絲子12g,生牡蠣15g,肉桂1.5g(後下),蛇床子4.5g。水煎服,每日1劑。顧氏以上方為基礎方加減治療一雙側隱睪的15個月小兒,結果服藥50餘劑,左右側睪丸均先後下降至陰囊內。
除了手術外,也有人用荷爾蒙來治療隱睪症。其中較常用的是脈絡膜親生殖腺素(humanhCG)或LH-RH鼻噴劑。其作用方式不外乎刺激睪丸下降,可惜成效只有10%不到。所幸睪丸固定術在有經驗的醫師處理下成績還算理想,大部分病人只需門診手術不用住院。傷口照顧也很簡單,約一週可恢復。手術後一個月內只需避免劇烈運動以免傷口出血受傷。日常生活起居一如往常。少數腹腔內隱睪症患者,因為需將腹腔打開找睪丸,這類病人才必須住院。
預後
預後隱睪本身沒有明顯的臨床症狀,但卻有較多的併發症及後遺症,以惡性病變最為嚴重,故應及時施行手術治療。
併發症
隱睪症(二)腹股溝疝隱睪並發腹股溝疝者約占50%,其中以腹股溝處隱睪最常見,這是由於睪丸下降不全而使腹膜鞘突不能閉合所致。一部分病例因嵌頓疝就診,經檢查及手術診斷為隱睪合併嵌頓疝。因此在作隱睪手術時應仔細檢查疝的存在,以免遺漏。
(三)精索扭轉由於隱睪下端失於固定,或提睪肌收縮過強、睪丸引帶發育不良、睪丸的移動度過大等因素使得隱睪發生精索扭轉的機會比正常睪丸大得多,國外有人統計精索扭轉的病人中約50%患隱睪症。
(四)睪丸創傷腹股溝內睪丸位置淺表,後壁堅韌無彈性,活動度小,易受擠壓、撞擊等損傷。
(五)惡性變隱睪的惡變率較正常睪丸明顯增高,約30倍~50倍,其中以腹內型隱睪最高,這可能與腹腔內溫度高對睪丸的影響有關。據統計,8%~15%的睪丸腫瘤發生於隱睪,其發生的腫瘤以精原細胞癌最為多見,也有畸胎瘤。有人指出當年齡超過6歲的隱睪病人,其惡性變機會明顯增加,所以位於腹內及較大兒童的隱睪宜行睪丸切除術,但仍有發生惡變的可能。
(六)睪丸鞘膜積液個別可出現,停留於腹內。
(七)心理影響患者因隱睪、陰囊發育不全,有的可產生抑鬱和自卑感,怕暴露,對性生殖能力和婚姻問題均有顧慮。
術後護理
男科專家提醒:家長應在男孩出生後就經常注意他的陰囊內有沒有睪丸,以便能及早發現異常,作出診斷和進行治療。1、術後檢查患兒神志、瞳孔,應去枕平臥,頭偏向一側,防止誤吸。
2、給予心電監護、低流量吸氧,監測體溫、脈搏、呼吸、血壓、血氧飽和度,有異常及時處理。
3、輸液管的各連線處緊密銜接,並注意保護補液肢體,避免患兒完全清醒時躁動不安,拔脫留置針管,必要時用輸液泵控制輸液速度,確保液體入量。
4、術後6h可進流質飲食,第2天進易消化、含纖維素高的飲食,並注意多飲水,多吃蔬菜、水果,因術後臥床時間較長、腸蠕動慢,水分被腸道吸收引起大便乾燥,易發生便秘。
5、術後應平臥位10~14d,患側下肢外展位,避免增加腹壓,影響手術部位的癒合,若取半臥位,膝下應墊一軟枕,以鬆弛腹肌,減輕腹部張力,臥床時勿屈曲髖關節,以免睪丸牽引鬆弛致睪丸退縮。
6、保持會陰部傷口敷料清潔乾燥,被染濕時應及時通知醫護人員更換,防止切口感染,傷口疼痛劇烈時,可用深呼吸、呵氣等方法減輕疼痛,無效時可適量給予鎮痛藥、鎮靜藥物予以止痛,同時可增加撫摩、話語安慰等護理干預措施。
7、隱睪術後護理由於局部炎症反應、滲血和組織滲出,陰囊可出現紅腫或痛性的硬質包塊,應向家長充分解釋,減少顧慮,術後過早下地活動易造成陰囊內滲出增加,因此不宜過早下地活動.
以上就是關於隱睪手術後的護理的介紹,希望家長朋友注意孩子的情況,做好護理工作,這樣效果才會好,不會出現不良反應的,而且不會影響孩子的心理健康。專家表示,出現了隱睪症要儘早治療,不然危害越來越大。
治療護理
一、鼓勵家長提出疑問,認真解答疑問。通過對家長的心理護理和心理支持,消除患者家屬對醫療護理工作中存在的疑問,並能主動地配合護理和對患兒的治療,使患兒易於接受護士的護理,願與護士進行交流,使護理計畫得以順利進行,護理程式處於良性循環。
二、要具有真摯的同情心,理解家長由於孩子生病帶來的痛苦,只有設身處地為病人著想,才能贏得家長對護理工作的理解和支持。
三、要注意觀察和仔細分析不同的心理問題和產生的原因,只有通過細緻的觀察,才能發現家長的需要並滿足這些需要。
四、良好的護士形象是與家長交流的前提,應保持乾淨整潔的儀表、和藹可親的態度、親切美好的語言,只有這樣,患者家屬才願意與護士溝通交流。
五、主張手術在1~2歲進行。由於腹腔型隱睪發生惡變的風險,是正常睪丸的4倍,故腹腔型隱睪應儘早進行手術治療。
檢查
1.睪丸靜脈造影Glickman等采甩經股睪丸靜脈造影方法,將造影劑自股部靜脈注入,觀察造影劑顯示的靜脈沿途,何處出現睪丸靜脈叢樣的表現,該處即可能是隱睪。施行15例,其中12例得到正確診斷。2.計算機X線斷層掃描(CT)採用先進的CT技術,作睪丸下降徑路上的掃描,能發現隱睪。WoIVerson及Rajfer等學者都有成功使用的報告。
3.超音波檢查在睪丸下降的途徑上探測,隱睪部位可發現呈實質性平段和伴少許微波的隱睪回聲圖。如用灰階超聲,則可見隱睪外形光滑和均勻細微的弱光點。
此外,睪丸動脈造影、腹腔鏡檢查等方法也可用於定位。如果雙側睪丸都摸不到,在進行上述定位檢查之前,尚可作內分泌測試,hCG1500iu,im,qd,連用3日,再測定血中FSH,ICSH和睪酮水平。假如睪酮數量增高,而FSH和ICSH水平正常,表示存在有功能的睪丸組織,可行定位檢查或手術探查,發現的隱睪便有保留價值。相反,如果FSH及ICSⅡ值增加,而睪酮數量並不上升,表示缺乏有功能的睪丸組織,定位檢查或手術探查若發現隱睪,也多半已喪失功能,便無保留與復位的必要。
注意事項
1、男性出生後都要檢查有沒有隱睪,以讓小兒屈腿坐位檢查最為準確。出生後如有隱睪,父母也不必焦慮,可以密切觀察,因為在1歲以內隱睪自行下降的機會還很大。如果小兒到10月齡時隱睪還沒有下降到陰囊,就應該開始內分泌治療了。2、對於青春期後才來治療的單側隱睪病人,考慮到對側正常睪丸產生的雄性激素足以維持男性正常生活,而隱睪已喪失生精能力且有惡變可能,應行睪丸切除為妥。對於青春期後的雙側隱睪病人則應視具體情況而定,但至少應將一側睪丸固定在陰囊內以維持雄性激素來源,如另一側睪丸難以用手術固定在陰囊內,亦應予切除。
3、凡是男性新生兒都必須檢查有無隱睪。小兒屈腿坐位檢查最為準確。如果隱睪小兒的智力有低下的跡象,還要檢查是否患有相關遺傳和內分泌異常的疾病。在1歲後可採用人絨毛膜促性腺激素治療。如果內分泌治療無效,2周歲時可靠手術治療,游離送解精索,修復記憶體的疝囊,將睪丸固定於陰囊內。手術治療後應隨訪,每年一次,直至青春期。

