疾病概述
精原細胞瘤精原細胞瘤分3個亞型:①典型精原細胞瘤,約占80%,生長較慢,預後好;②未分化精原細胞瘤,約占10%,惡生程度較高,預後比典型精原細胞瘤差;③精母細胞精原細胞瘤,約占10%,多見於40歲以上患者。
精原細胞瘤多發生於中年以後,常為單側性,右側略多於左側。發生於隱睪的機率較正常位睪丸高几十倍。本瘤為低度惡性。85%的患者睪丸明顯腫大,腫瘤局部侵犯力較低,腫瘤一般有明顯界限。精原細胞瘤發展較慢,一般先轉移至腹膜後淋巴結,後期也可發生廣泛血道播散,確診時,臨床期病例占60%~80%。
精原細胞瘤病理上生殖細胞腫瘤占90-95%,非生殖細胞腫瘤占5-10%。生殖細胞腫瘤根據細胞的分化情況可分為精原細胞瘤、非精原細胞瘤如胚胎癌、畸胎瘤、畸胎癌、絨毛膜上皮細胞癌、卵黃囊腫瘤等。多數睪丸腫瘤可早期發生淋巴轉移,最早到達鄰近腎蒂的淋巴結,絨毛膜上皮癌早期有血行轉移。
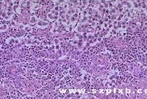
典型的精原細胞瘤有瘤細胞形態結構單一和間質內有淋巴細胞浸潤兩個特徵。瘤細胞瀰漫分布或呈索狀結構,細胞的形態一致,與正常精小管內精原細胞相似,瘤細胞大,圓形或多角形、境界清楚、胞漿透明,核大、位於中央,核膜及染色質較粗,有1~2個嗜酸性核仁,核分裂像不多見。
病理分析
精原細胞瘤肉眼觀,睪丸腫大,有時可達正常體積的10倍,少數病例睪丸大小正常。腫瘤體積大小不一,小者僅數毫米,大者可達十餘厘米,通常直徑為3~5cm。由於睪丸白膜比較韌厚,未被腫瘤破壞,故通常睪丸的原來輪廓尚保存。瘤細胞瀰漫分布或呈索狀結構,細胞的形態一致,與正常精小管內精原細胞相似,瘤細胞大,圓形或多角形、境界清楚、胞漿透明,核大、位於中央,核膜及染色質較粗,有1~2個嗜酸性核仁,核分裂像不多見。。
精原細胞瘤分3個亞型:典型精原細胞瘤,約占80%,生長較慢,預後好;未分化精原細胞瘤,約占10%,惡生程度較高,預後比典型精原細胞瘤差;精母細胞精原細胞瘤,約占10%,多見於40歲以上患者。
切面瘤組織呈淡黃或灰黃色,實體性,均勻一致如魚肉,其中往往可見到不規則壞死區。鏡下,典型的精原細胞瘤。其中有多少不等的淋巴細胞浸潤,有時可有淋巴濾泡形成。該瘤對放射治療高度敏感。淋巴道轉移較常見,血道轉移較少發生。
疾病病因
精原細胞瘤精原細胞下降不全:此為本病發生的主要原因。睪丸局部溫度升高,血運障礙,內分泌功能失調,致睪丸萎縮,生精障礙,易發生惡變。另外,先天性睪丸功能障礙,下降不全,亦易產生惡變。
遺傳:近年有人統計精原細胞瘤患者中,其近親中有16%左右有腫瘤病家族史。
睪丸女性綜合症:據世界衛生組織(WHO)1977年對精原細胞瘤分類比較分析,睪丸女性綜合病症也易發生精原細胞瘤。
外傷:認為外傷不是腫瘤發生的直接原因,但睪丸外傷後,局部有小血腫形成或血循環障礙,組織變性萎縮等,在此基礎上發生腫瘤。
感染:多種病毒性疾病,如麻疹、天花、病毒性腮腺炎及細菌性炎症,均可並發睪丸炎,致睪丸細胞變形而發生精原細胞瘤。
激素:臨床及動物實驗等事實提示,內分泌與睪丸腫瘤的成因有關。如睪丸腫瘤多發於性腺旺盛的青壯年,或在內分泌作用活躍時期;動物實驗如給鼠類長期服用雌激素,可誘發精原細胞瘤。中醫認為:情志不暢,或惱怒傷肝,肝鬱氣滯,橫逆犯脾,脾虛濕聚,留滯肝經,日久形成堅硬腫塊。"正虛邪實"為其病理機制。
辯證分析
精原細胞瘤睪丸精原細胞瘤經過癌基因、癌前病變、亞臨床期、原位癌、轉移癌等,五個漫長的階段,大約需要2—20年,其膠元纖維的包圍圈越來越薄弱,其毛細血管的數量,是從無到有,從少到多,最後成為一個毛細血管團。也就是說,癌症是毛細血管急劇增多症,是缺乏硬蛋白,是慢性病。
中醫知道睪丸精原細胞瘤,稱作腎囊瘤,和乳岩一樣,屬於血熱妄行證候群;因此治療方法是一樣的。從20世紀50年代開始,開始手術切除,但是睪丸精原細胞瘤病人的生存率依然很低。
睪丸精原細胞瘤瘤體小於三厘米,沒有轉移,可以手術切除,但是由於破壞了癌的包圍圈,而容易激惹轉移;切除之後,不做放療化療。
睪丸精原細胞瘤患者無論婚否,無論單側或雙側睪丸患病,醫生都應告知可能存在的生育隱患,並提醒患者應在術前或放療前考慮冷藏精子。手術可能引起免疫性不育,放療可能對生殖腺、附屬性腺及輸精管道造成損傷,嚴重影響睪丸生精過程,殺傷精子,嚴重患者可能引起無精子症。通過冷藏精子可以解決生育問題的後顧之憂。
擴散方式
精原細胞瘤1、在睪丸組織內,癌細胞在本側睪丸播散。
2、睪丸的癌細胞進入淋巴系統生長,叫淋巴轉移,胸內是支氣管旁,肺門、縱膈淋巴結;胸外是鎖骨上、腋下和上腹部淋巴結。
3、睪丸的癌細胞進入血液系統生長,叫血行轉移,肺轉移最多見,其次是在肝、骨等處生長。
4、醫源性轉移,是西醫手術時,癌細胞被種植在腹腔內或者在切口上,比較多見。
不孕不育
精原細胞瘤成年男子兩個睪丸總重量約30g左右,每克睪丸組織每日能生產1000萬個精子,每日總共約產生2~3億個精子。精子形如蝌蚪,長約60μm,分頭、頸、體、尾四個部分,頭部較大,頸與體合起來與頭部等長,尾部是頭部長度的10倍。精子頭部有頂體及細胞核,頂體覆蓋在細胞核前2/3,裡邊有許多酶類物質,統稱頂體酶,是受精時突破卵子“外殼”放射冠與透明帶的物質。頭部細胞核里有染色體,是攜帶父體遺傳基因的物質。頸部與體部主要是細胞質成分,是維持精子生命和為精子活動提供能量的部位。尾部很長,由一些蛋白質構成,這些蛋白質纖維收縮時可使精子尾部向各個方向擺動,隨即出現精子運動。一般精子向前運動速度大約每秒50~60μm。生育力較強的精子還能爬高,可達5cm左右高度。
精子生成需要了適宜的溫度,陰囊內溫度較腹腔內溫度低2℃左右,適於精子的生成。在胚發育期間,由於某種原因睪丸不降入陰囊而停留在腹腔內或腹股溝內,稱隱睪症,則曲細精管不能正常發育,也無精子產生。如果對發育成熟的動物睪丸進入加溫處理,或施行實驗性隱睪術,則可觀察到生精細胞退化萎縮。
新生的精子釋入曲線精管管腔內,本身並沒有運動能力,而是靠小管外周肌樣細胞的收縮和管腔液的移動運送至附睪內。在附睪內精子進一步成熟,並獲得運動能力。附睪內可貯存小量的精子,大量的精子則貯存於輸畏精管及其壺腹部。而性活動中,通過輸精管的蠕動把精子運送至尿道。精子與附睪、精囊腺、前列腺和尿道球腺的分泌物混合形成精液,在性高潮時射出體外。正常男子每次射出精液約3-6ml,每毫升精液約含二千萬到四億個精子,少於二千萬精子,不易使卵子受精。
臨床症狀
精原細胞瘤臨床分期
精原細胞瘤的病理類型與預後有關,腫瘤擴散的程度和轉移的範圍也影響著預後。故臨床醫生不僅要了解腫瘤的病理類型,而且要根據病變範圍的不同來制定相應的治療方案。因此確定每個患者病變分期是有實際意義的。當今最常採用的分期方法為:
Ⅰ期:腫瘤只局限於睪丸及附睪內,而尚未突破包膜或侵入精索,無淋巴結轉移。
Ⅱ期:由體格檢查、X線檢查證實已有轉移,可擴散到精索、陰囊、髂腹股溝淋巴結,但未超出腹膜後淋巴區域。轉移淋巴結臨床未能捫及者為Ⅱa期,臨床檢查捫及腹腔淋巴結者為Ⅱb期。
Ⅲ期:已有橫膈以上淋巴結轉移或遠處轉移。也有研究者把遠處轉移者歸入Ⅳ期。
臨床特徵
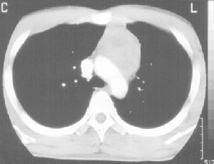
精原細胞瘤 後前位 側位20%-30%的病人無症狀,有症狀的病人症狀為胸痛、咳嗽、呼吸困難、咯血等,可以有嗜睡、體重減輕。10%~20%病人出現上腔靜脈梗阻綜合徵。這些臨床症狀常與腫瘤對縱隔結構的壓迫、侵犯有關。一部分精原細胞瘤生長在氣管內,並局部擴展至鄰近的縱隔和肺。一般縱隔精原細胞瘤經淋巴途徑轉移播散,亦可發生血行轉移,骨骼和肺臟是最常轉移的部位。
胸片多見巨大前縱隔腫瘤,有時可以發現腫瘤沿氣管內生長。CT多為密度均勻的大包塊,50%可見胸內轉移或擴展超出前縱隔而不能手術。CT和MRI有助於確定腫瘤的範圍、對縱隔結構的侵犯情況。首次就診切除率低於25%。
應對所有患前縱隔腫瘤的年輕男性測定血α-FP、β-hCG水平。單純的精原細胞瘤幾乎均無AFP、hCG的升高,7%-10%有hCG升高,但常不超過100ng/ml,AFP不升高。
CA125也可能為生物學標記。腫瘤組織的染色體分析可發現12號染色體上特徵性等臂染色體,這對鑑別生殖細胞腫瘤和其他類型的腫瘤有助。
診斷鑑別
精原細胞瘤特別是在梭形細胞型、圓形、卵圓形細胞型腫瘤的鑑別診斷上更為重要,具體超微結構特徵,詳見後述各種腫瘤。大量和免疫組化研究結果,顯示各種標記物在確定診斷上是有用的,但不是完全特異的。如一組肌肉標記物,最初被認為對骨骼肌、平滑肌類型的腫瘤是特異的,但結蛋白和肌動蛋白均可與肌成纖維細胞性和纖維組織細胞性腫瘤發生反應。
現發現HMB45也可在非黑色素細胞性腫瘤。故一個正確的診斷,不能只根據免疫組化抗體陽性表達的結果來判定,必須是把患者的情況、腫瘤部位、腫瘤細胞的形態及生長類型等,與標記物染色結果整合到一起,進行綜合分析、判斷,最後確定診斷。
異常的免疫反應:在正常組織和細胞不出現的免疫反應在相應的腫瘤組織中表達,均為異常免疫反應。如CK出現在多種間葉性腫瘤中,結蛋白可在血管內皮瘤和癌中表達。
上皮樣肉瘤Keratin、Vimentin、CEA、NSE、S-100及α1-AT均可陽性;Ewing肉瘤Keratin、Vimentin陽性久,S-100、NSE、神經微絲(neurofilament,NF)及Leu-7均可陽性;惡性纖維組織細胞瘤除α1-AT及α-ACT陽性外,Vimentin、Desmin及NF都可陽性。這都表明上述腫瘤均具有多向分化的特點。
中醫治療
精原細胞瘤方②:人參、白朮、茯苓、生地黃、白芍、當歸、女貞子、枸杞子各l0g,甘草5g,黃芪15g。
制用法:屬陰虛火旺證者,
用方①:屬氣血兩虛證者,
用方②。亦可隨症加減。每日1劑,水煎服。與對照組30例,均用直線加速器(或60Co)放射治療。
療效:用上藥治療腹部惡性腫瘤(病種包括精原細胞瘤、惡性淋巴瘤及胃癌、胰腺癌、腹腔轉移癌),兩組分別優11,5例;良14,10例;差5,15例。3年生存率分別68%,32%(P<0.01)。生活及心理質量、身體狀況積分治療組均優於對照組方①:生地黃、山茱萸、澤瀉、女貞子、墨旱蓮、枸杞子、菟絲子各l0g,甘草58,山藥、丹皮、茯苓各12g;
方②:人參、白朮、茯苓、生地黃、白芍、當歸、女貞子、枸杞子各l0g,甘草5g,黃芪15g。
用法:屬陰虛火旺證者。
西醫治療
精原細胞瘤臨床Ⅰ期睪丸精原細胞瘤的治療
任何睪丸腫瘤應先行高位睪丸摘除術,然後根據病理類型和臨床分期選擇治療方案。精原細胞高度放射敏感,較低劑量就能消滅轉移病灶而不產生明顯的放射損傷,臨床Ⅰ期睪丸精原細胞瘤,睪丸高位摘除後,應對同側髂淋巴結和腹膜後淋巴結進行預防性照射,直線加速器高能射線、60Co和千伏X線均可作為外照射源。但不必進行高劑量預防照射。
臨床Ⅱ期睪丸精原細胞瘤的治療
臨床Ⅱa期,腹膜後轉移淋巴結較小,照射野同臨床Ⅰ期;臨床Ⅱb期轉移淋巴結較大,應根據轉移灶大小設計照射野至充分包括淋巴結,腹腔廣泛轉移者,應進行全腹照射。臨床Ⅱ期放射治療劑量分割同臨床Ⅰ期,照射中平面劑量25Gy後,Ⅱa期縮野增強照射轉移淋巴結10Gy,中平面總劑量應達到35Gy/4~5周以上;Ⅱb期增強照射15Gy,總劑量達到40Gy。臨床Ⅱ期睪丸精原細胞瘤,是否需要進行縱隔和左鎖骨上區預防放射,仍有爭議。
臨床Ⅲ期和Ⅳ期睪丸精原細胞瘤的治療
臨床Ⅱ期、Ⅲ期和Ⅳ期睪丸精原細胞瘤均需進行放射與化療的綜合治療,Ⅲ期病例治療方法同Ⅱ期,但縱隔及左鎖骨上區轉移淋巴結的照射劑量應達到35~40Gy/5~6周。臨床Ⅳ期病例治療前已有遠處轉移,應以化療為主,輔以放療控制局部病灶,不作預防性放射。治療以套用化療放療-化療,即“三明治”技術為合理,即先作3個療程化療,爾後照射35~40Gy/5~6周,再進行3~4個療程化療。
睪丸精原細胞瘤對多種抗腫瘤藥物敏感,我國首創的N-甲醯溶肉瘤素治療睪丸精原細胞瘤,每晚睡前服用150~200mg,6~8g為一療程,總有效率達91.3%,其中2/3完全緩解。近來來,主要採用以PVB或VAB-6、PVP16聯合化療,Ⅲ期病例治癒率達90%。
放射性治療
精原細胞瘤家庭治療
精原細胞瘤①睪丸精原細胞瘤病人,最早症狀是男性乳房發育。這個現像往往被認為是缺少雄激素,而被醫生忽視。醫生給病人一些睪丸酮,而不去檢查病人的睪丸。如果透光照射雙側陰囊,就會發現兩個睪丸的大小有明顯差別,其韌性也完全不同。
②睪丸腫大,或者腹部腫塊是病人就診的原因。這時應當喝加味[開胃湯];喝肉湯,尤其是牛筋湯吃骨膠原。
③由於睪丸腫大,患側有沉重感,而且腹股溝處有牽拉不適。如果內部出血,就要劇烈疼痛。要吃雲南白藥。喝加味[開胃湯]。
④睪丸精原細胞瘤病人,應當避免性交,防止睪丸充血而惡化。
⑤中國大陸從20世紀50年代,開始流行手術切除。有些病人術後,出現傷口不癒合。要喝牛筋湯,一般在7天內癒合。
⑥有些病人放療化療之後,發生了癌塊破潰。這種破潰極難癒合。其它癌症也是如此。只能大劑量喝牛筋湯吃骨膠原,促進潰瘍面癒合。
⑦睪丸精原細胞瘤很少出現腹腔積液。如果出現腹腔積液,不要抽水,更不要腔內化療。我用各種各樣的藥物腔內注射,治死了很多人。要吃雲南白藥。
⑧轉移的腫塊會壓迫附近器官。腹膜後淋巴結轉移,會引起腰疼和坐骨神經痛;縱膈淋巴結轉移,會引起上腔靜脈壓綜合症,出現面部和上肢腫脹;盆腔淋巴結轉移,會引起下腔靜脈和乳糜池壓迫綜合症,出現下肢象皮腫;肺轉移,會引起呼吸困難,心動過速;直腸轉移,會引起便秘;均應當早飯後,喝50—100毫升20%甘露醇注射液。如果擠壓膀胱,會有排尿困難,甚至會引起腎盂積水,造成腎功能損害,病人會出現全身水腫;應當在加味“開胃湯”里加入桂支5克,白芍10克。
飲食療法
精原細胞瘤附睪結核的飲食療法:煨麻雀:麻雀3隻,去毛除髒勿洗,加小茴香10克、胡椒3克、縮砂仁6克、肉桂6克人肚內,濕紙裹,煨熟,空腹用酒送服。適用於陽虛痰凝型附睪結核。黃芪阿膠地黃粥:黃芪30克,阿膠30克,粳米或糯米100克,煮粥;粥成人生地黃汁150毫升,再沸片刻,服食。適用於陰虛痰結型附睪結核。
飲食和注意事項:
提高身體素質。身體虛弱,過度疲勞,睡眠不足,緊張持久的腦力勞動,都是發病因素。應當積極從事體育鍛鍊,增強體質,並且注意休息,防止過勞,避免重體力勞動。
食補:主要有狗肉、羊肉、麻雀、核桃、牛鞭、羊腎等;此外含鋅食物如牡頓、牛肉、雞肝、蛋、花生米、豬肉、雞肉等,含精氨酸食物如山藥、銀杏、凍豆腐、繕魚、海參、墨魚、章魚等,都有助於提高體質。
平時飲食:男子應多吃海參。海參營養豐富,益腎補精力強,經常食用,對男子精子稀少或缺乏,常有佳效。可取100克海參煮湯,加調料於場,將海參與湯同服食。也可用山藥燉百合。用法為取鮮山藥去皮250克,百合25克,加水燉至百合爛透,加入冰糖10克,分3次涼食。此方對男子精子稀少而屬明虛者尤為適宜。同時可經常服食羊、狗、牛等動物的外腎,包括其陰莖和睪丸,紅燒或白煮均可。
疾病預防
疾病預防菸草中含有致癌物質砷等,並且吸菸可引起性激素的改變,因此早有科學家懷疑吸菸可能是疾病的風險因素之一。研究結果表明,吸菸的確增加了患睪丸癌的風險。
①及早治療隱宰,避免睪丸外傷和房事過度,對預防精原細胞瘤有一定意義。
②治療隱睪應在4-6歲,最遲不得超過7-11歲;可以內分泌治療2周,無效時行睪丸固定術。

