概述
卵巢畸胎瘤卵巢畸胎瘤是卵巢生殖細胞腫瘤中常見的一種,屬於一種生長在卵巢組織中由生殖細胞異常增生、集聚形成的腫瘤。因為生殖細胞中含有人體外胚葉、中胚葉和內胚葉三種組織成分,所以腫瘤內會有毛髮、油脂、皮膚、牙齒、骨片等外胚葉組織,也可能含有中胚葉或內胚葉組織如肌肉、胃腸、甲狀腺組織等。
分類
卵巢畸胎瘤包括成熟畸胎瘤和未成熟畸胎瘤等。
成熟畸胎瘤
其中97%是囊性成熟畸胎瘤,又叫皮樣囊腫。皮樣囊腫是最常見的種類之一,占所有卵巢腫瘤的10%-20%,占生殖細胞腫瘤的85%-97%。因它與妊娠無關,所以卵巢畸胎瘤可發生在任何年齡,新生兒、青少年、中年或老年人均可患此病,但80%-90%為20-40歲的生育期女性,在卵巢腫瘤患者中約占1/4-1/3。
未成熟畸胎瘤
極少數的未成熟性畸胎瘤,屬於惡性腫瘤,它們為惡性生殖細胞腫瘤,具有復發和轉移的潛能。腫瘤多為實性,其中可能有囊性區域。瘤內組織不像正常組織,細胞分化不好,有轉移、侵蝕、種植的特性。此病好發於青少年及兒童。
病因
卵巢畸胎瘤無明確病因,患者染色體正常,性激素測定血FSH(卵泡刺激素)、LH(黃體生成素)升高,E2(雌激素)低下,PRL(泌乳素)正常。
患者不僅雌激素缺乏,還有潛在的卵巢雄激素分泌不足,或腎上腺產生甾體激素能力輕度缺陷。腹腔鏡檢查多見小卵巢或卵巢畸胎瘤。
免疫因素
約占20%。在血中可以檢出卵巢抗體。這類患者常常合併其他自身免疫性疾病,如紅斑狼瘡、類風濕關節炎,先天性體中缺乏一種酶。
細胞遺傳學因素
先天性生殖細胞數少,卵泡閉鎖加速,X染色體異常,10%患者有家族史。
物理因素
如手術,化療,感染等導致促性腺激素分泌缺陷,或促性腺激素受體或受體後缺陷。
病機
人體胚胎髮育過程中,有一種具有多能發展潛力的多能細胞,正常胚胎發育情況下,發展和分化成各胚層的成熟細胞。如果在胚胎不同時期,某些多能細胞從整體上分離或脫落下來,使細胞基因發生突變,分化異常,則可發生胚胎異常。
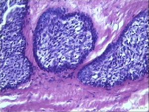
病理
三胚層特徵
卵巢畸胎瘤細胞卵巢畸胎瘤通常由2-3個胚層構成。以外胚葉多見,主要為鱗狀上皮及皮膚附屬檔案、神經組織等,因此含有脫屑上皮、毛髮、皮脂和分泌腺等組織。其良惡性程度取決於瘤組織的成熟程度。卵巢畸胎瘤占所有卵巢腫瘤的10%~20%。
一般認為,這種分離或脫落髮生於胚胎早期,則形成畸胎;而如發生於胚胎後期,則形成了具有內胚層、中胚層和外胚層三個胚層的異常分化組織,即形成了畸胎瘤。
病理改變
成熟性囊性畸胎瘤表面光滑、包膜完整,直徑10cm左右。囊內含有皮脂和毛髮,有時可見牙齒、骨骼和頭皮構成的頭節,頭節突向腔內為其特徵。
未成熟畸胎瘤的分化程度不一,顯示了各胚層從未成熟向成熟階段衍化的過程,組織學形態從癌到肉瘤,各種成分混雜。含神經成分的畸胎瘤歸為未成熟畸胎瘤。
臨床表現
卵巢畸胎瘤卵巢畸胎瘤由於部位各不相同、常有多種併發症和明顯的惡變趨勢,所以在臨床上可有各種症狀和表現:
腫瘤惡變的症狀
惡性畸胎瘤和良性畸胎瘤惡變時,常表現為腫瘤迅速生長,失去原有彈性、外生性腫瘤可見淺表靜脈怒張、充血、局部皮膚被浸潤並伴有皮膚溫度增高。可經淋巴和血行轉移而有淋巴節腫大和肺、骨轉移症狀,同時每天出現消瘦、貧血、瘤性發熱等全身症狀。
腫瘤異常變化的急性症狀
卵巢、睪丸畸胎瘤可發生卵巢或睪丸扭轉、壞死、表現為先後劇烈疼痛和相應的局部症狀;
畸胎瘤當發生繼發感染和囊內出血時,常可腫塊迅速增大,局部明顯壓痛,並同時臨床伴有發熱、貧血、休克等全身感染或失血症狀;
腹膜後、卵巢、盆腔、骶尾部等部位腫瘤也可突然破裂而發生大出血、血腹、休克等兇險表現。
壓迫和腔道梗阻症狀
縱隔畸胎瘤常可壓迫呼吸道而引起嗆咳、呼吸困難及頸靜脈怒張;後腹膜畸胎瘤多有腹痛,並可引起腸梗阻。盆腔和骶尾部隱型畸胎瘤多因便秘、排便困難、尿瀦留而就診。
無痛性腫塊
這是畸胎瘤最常見的症狀,多為圓形囊性、邊界清楚、質地軟硬不勻,甚至可捫及骨性結節。其中外生性腫瘤以骶尾部、枕、額、鼻等中線部位常見,骶尾部畸胎瘤常可根據其所在位置分為顯型、隱型和混合型三種醫學臨床類型。
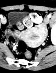
影像學表現
MR表現
1、腫瘤內液性脂肪部分的信號強度呈短T1、長T2信號,是診斷畸胎瘤的主要依據。
2、腫瘤內部主要有碎屑和壁突兩種結構,壁突的成分為脂類組織、頭髮、牙齒、骨骼。碎屑常位於囊性部分的下層,液性脂肪位於上層而產生分層信號。碎屑和壁突的信號強度大致為中等信號。脂質在T2加權像上信號非常高,頭髮的信號低於肌組織,骨骼與牙齒無信號。
3、由於脂肪造成的化學位移偽影,既可出現在腫瘤內,也可出現在腫瘤周圍,此特徵可與出血性病變相鑑別。
CT表現
1、典型的CT徵象為密度不均的囊性腫塊,單側或雙側性。
2、囊壁厚薄不均,邊緣光整。
3、內含脂肪密度影和發育不全的骨骼及牙齒,也可見自囊壁突起的實體性結節影。如囊內同時含有脂肪和液體,則可見到上脂肪下液體的液-脂界面,並可隨體位變動而改變位置。
4、如為皮樣囊腫時,CT僅表現為含液體的囊性占位,但囊壁可有蛋殼樣鈣化。
5、惡性畸胎瘤侵及鄰近組織,表現為腫瘤與周圍器官的脂肪層消失;腫瘤侵及膀胱、盆腔肌肉或腸管,則表現為與他們之間的分界不清。
超聲表現
1、成熟型畸胞瘤多數邊界清晰,包膜、輪廓完整、光滑。
2、瘤內油脂祥物質呈現均質、密集細小光點,部分或完全布滿囊腔。
3、油脂與粘、漿液同在一個囊腔時,則可見一回聲增強的水平,稱液脂面。
4、有毛髮時可見球形或半球形光團,伴聲影或聲衰減。液內的毛髮光團有浮動感。
5、骨、牙齒和軟骨呈條片狀強回聲,伴聲影或聲衰減。
6、實質性部分呈現不均質性實性腫塊,有瀰漫分布的中等回聲或強回聲。
平片表現
1、多發現有特異的骨化和鈣化,或牙齒。
2、腫瘤壁上可出現包殼樣鈣化。
3、腫瘤內部可出現低密度的透光陰影。
輔助檢查
血清學檢查
卵巢畸胎瘤考慮惡性畸胎瘤可能者,均應檢測患兒血清的甲胎蛋白(AFP)和絨毛膜促性腺激素(HCG)水平,對診斷和預後判斷有指導作用。惡性畸胎瘤92%有甲胎蛋白增高,而良性畸胎瘤也有4%有AFP異常,並發現良性畸胎瘤AFP增高者術後復發率明顯增高。
體格檢查
畸胎瘤大多數為外生性或有明顯腫塊可捫及,根據臨床表現常能早期診斷。
仔細的腹部體檢和直腸指檢,對腹部、盆腔、隱型骶尾部畸胎瘤的檢查非常必要。
激素檢測
染色體組型為46,xx。血雌激素水平低(常低於20pg/ml),血FSH與LH增高,FSH比LH上升更早更高。血催乳素正常。雌激素撤血試驗常為陽性。卵巢活組織檢查如發現尚有卵泡存在,則可能是卵巢缺乏FSH受體,對促性腺激素缺乏反應,這種情況稱為卵巢不敏感綜合徵。
組織活檢
由於卵巢不敏感綜合徵較少見,而且妊娠的機會很少,故一般不主張進行卵巢活檢。如有條件,可檢測卵巢組織抗體及抗腎上腺皮質抗體,以發現有關的自身免疫疾病。
診斷
診斷標準
發現下腹部腫塊後,初步診斷主要依靠超聲等影像學檢查,經B超、X線平片、CT即可明確診斷。同時配合雙合診可捫及腫塊即進一步明確診斷。手術病理檢查為診斷的金標準。
鑑別診斷
臨床上應與盆腔炎性腫物、子宮內膜異位症、子宮漿膜下肌瘤、黃體破裂、闌尾炎等疾病相鑑別。
治療方法
卵巢畸胎瘤一旦確診,必須爭取早期發現手術切除,以避免良性畸胎瘤因耽擱科研手術而導致腫瘤惡變,發現同時可預防腫瘤感染、破裂、出血及併發症的發生。畸胎瘤的手術要點是完整地切除腫瘤,卵巢和睪丸腫瘤均作一側卵巢或睪丸切除,骶尾部畸胎瘤強調務必將尾骨一併切除,以免殘留多能細胞而導致腫瘤復發。
惡性卵巢畸胎瘤的治療原則為聯合輔助治療,手術切除後常規化學專業治療1.5~2年常用順鉑、長春花鹼或長春新鹼、博萊黴素。2006年以來,推薦套用順鉑、阿黴素、異環磷醯胺等化療藥物進行聯合化療。放射治療僅用於明確有鏡下或肉眼殘留的惡性畸胎瘤病例,放療劑量鏡下殘留以25Gy為宜,肉眼殘留者可套用到35Gy對手術切除完整者,主張以化療為主,放療慎用,以避免放療時生殖器官、骨骼發育的延遲損害。
惡性畸胎瘤巨大或廣泛浸潤、臨床判斷不能切除者,可套用術前化療或放療,使腫瘤縮小後再予延期根治手術,對提高手術切除率、保留重要臟器有積極意義。對晚期病例,套用術前化療或放療也可達到解除腫瘤壓迫、控制轉移灶和爭取再次手術等機會的治療成績目的。
預後
手術效果
卵巢畸胎瘤3D示意圖一般說來未成熟性畸胎瘤的預後效果較差,手術無法保證徹底、乾淨地消滅它,有復發的危險。而良性畸胎瘤的預後較好,良性發生惡變的可能性僅為2%-3%,不影響卵巢功能,手術後月經正常,受孕率正常,不存在復發的問題。
生存率
完整切除腫瘤、減少術後復發和惡變是畸胎瘤的另一主要預後因素,即使是惡性畸胎瘤,完成手術切除仍是長期生存的基本保證。中國惡性畸胎瘤完整切除后綜合治療的三年生存率可達50%,五年生存率35%,而術中殘留或復發者的生存率僅3%。
其中睪丸、卵巢等容易完整切除部位的惡性畸胎瘤生存率明顯高於腹膜後和骶尾部惡性畸胎瘤,其中尤以隱型骶尾部惡性畸胎瘤的預後最差,生存率僅8%。
畸胎瘤的預後與初診年齡、腫瘤部位、惡變發生率、治療結果等因素密切相關。初診年齡越小惡性發生率越低,其中隱型畸胎瘤惡性率最高,達71.4%;混合型為46.7%顯型僅為9.4%。

