併發症
可出現心律失常、心包填塞等併發症。
鑑別診斷
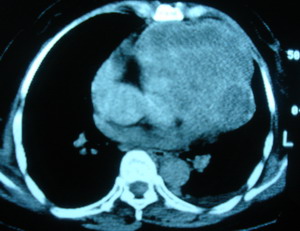
心包內惡性畸胎瘤X光圖早期病人無明顯臨床症狀,不易診斷。如出現胸部不適或心前區刺痛,心電圖僅提示心率異常無特異性。普通胸片檢查常因腫瘤與心臟影像重疊可造成漏診或誤診。近年來影像學發展迅速,現代化的高科技影像設備和技術已經成為心包內畸胎瘤診斷的主要檢查手段超聲心動描記或攝影心血管螢光電影照像術以及放射性核素掃描等綜合檢查,可以發現心包內腫塊的密實影像或回聲以及大量的心包腔積液。計算機中軸體層攝影(CT)對不同密度的組織如脂肪、水軟組織、骨骼的高解析度使心包內畸胎瘤的術前診斷成為可能磁共振成像(MRI),利用心血管中血液的流空效應也對本病的診斷很有意義。
1、前縱隔畸胎瘤起病緩和,病程一般較長往往腫瘤生長較大引起鄰近器官壓迫症狀時方來就診,青少年多見無或很少有心包積液和心臟壓迫症狀,普通胸片定位診斷即可以明確。個別病例區分有困難時,可行胸部CT掃描一般不難鑑別。
2、惡性胸腺瘤一般起病較急也有胸部刺痛及心前區不適感。胸片和CT顯示腫塊位於前上縱隔心臟陰影之前結合臨床診斷易於確立。
分類介紹
心包內惡性畸胎瘤細胞分析手術同意書上,如果有可能中轉開腹或惡性畸胎瘤需要切除卵巢的字樣,千萬不要簽字這代表著該醫院腹腔鏡技術不嫻熟,而且對惡性畸胎瘤的認識不太充分。一旦卵巢被切除,患者很快進入更年期,而且,沒有挽回佘地。應屬於過度治療範疇。畸胎瘤起源於潛在多功能的原始胚細胞,多為良性,但惡性傾向隨年齡增長而呈上升趨勢。發生部位與胚生學體腔的中線前軸或中線旁區相關,多見於骶尾部,縱隔、腹膜後、性腺部位。好發於新生兒和嬰兒,女性為多。
病因病理
心包內惡性畸胎瘤畸胎瘤的病理特徵為腫瘤組織由外、中、內三個胚層組織構成,常含有成熟或未成熟的皮膚、牙齒、骨、軟骨、神經、肌肉、脂肪、上皮等組織,少數亦可含有胃黏膜、胰、肝、腎、肺、甲狀腺及胸腺等組織成分。惡性畸胎瘤常表現為未成熟的不易定型和分辨的組織,畸胎瘤的惡變多表現為神經組織或上皮組織的異常增殖而形成惡性畸胎瘤。
畸胎瘤的病理分類為:①成熟型畸胎瘤:即良性畸胎瘤,由已分化成熟的組織構成;②未成熟型畸胎瘤:即惡性畸胎瘤,由胚胎髮生期的未成熟組織結構構成,多為神經膠質或神經管樣結構,常有未分化、有絲分裂增多的惡性病理表現。過去有將精原細胞瘤、無性細胞瘤、胚胎癌、內胚竇瘤等生殖細胞惡性腫瘤統稱為惡性畸胎瘤,事實上它們是胚胎學上生殖細胞瘤、自卵黃囊向生殖腺移行的各個區域中發生異常分化的結果,在病理上常無三胚層結構,不應歸為畸胎瘤。
臨床表現
心包內惡性畸胎瘤無痛性腫塊:這是畸胎瘤最常見的症狀,多為圓形囊性、邊界清楚、質地軟硬不勻,甚至可捫及骨性結節。其中外生性腫瘤以骶尾部、枕、額、鼻等中線部位常見,骶尾部畸胎瘤常可根據其所在位置分為顯型、隱型和混合型三種臨床類型
壓迫和腔道梗阻症狀:縱隔畸胎瘤常可壓迫呼吸道而引起嗆咳、呼吸困難及頸靜脈怒張;後腹膜畸胎瘤多有腹痛,並可引起腸梗阻。盆腔和骶尾部隱型畸胎瘤多因便秘、排便困難、尿瀦留而就診。
腫瘤異常變化的急性症狀:卵巢、睪丸畸胎瘤可發生卵巢或睪丸扭轉、壞死,表現為劇烈疼痛和相應的局部症狀;畸胎瘤當發生繼發感染和囊內出血時,常可腫塊迅速增大,局部明顯壓痛,並同時伴有發熱、貧血、休克等全身感染或失血症狀;腹膜後、卵巢、盆腔、骶尾部等部位腫瘤也可突然破裂而發生大出血、血腹、休克等兇險表現。
腫瘤惡變的症狀:惡性畸胎瘤和良性畸胎瘤惡變時,常表現為腫瘤迅速生長,失去原有彈性、外生性腫瘤可見淺表靜脈怒張、充血、局部皮膚被浸潤並伴有皮膚溫度增高。可經淋巴和血行轉移而有淋巴節腫大和肺、骨轉移症狀,同時出現消瘦、貧血、瘤性發熱等全身症狀。
診斷治療
心包內惡性畸胎瘤考慮惡性畸胎瘤可能者,均應檢測患兒血清的甲胎蛋白(AFP)和絨
心包內惡性畸胎瘤毛膜促性腺激素(HCG)水平,對診斷和預後判斷有指導作用。惡性畸胎瘤92%有甲胎蛋白增高,而良性畸胎瘤也有4%有AFP異常,並發現良性畸胎瘤AFP增高者術後復發率明顯增高。
畸胎瘤一旦確診,必須爭取早期手術切除,以避免良性畸胎瘤因耽擱手術而導致腫瘤惡變,同時可預防腫瘤感染、破裂、出血及併發症的發生。畸胎瘤的手術要點是完整地切除腫瘤,卵巢和睪丸腫瘤均作一側卵巢或睪丸切除,骶尾部畸胎瘤強調務必將尾骨一併切除,以免殘留多能細胞而導致腫瘤復發。惡性畸胎瘤的治療原則為聯合輔助治療,手術切除後常規化學治療1.5~2年,常用順鉑、長春花鹼或長春新鹼、博萊黴素。近年推薦套用順鉑、阿黴素、異環磷醯胺等化療藥物進行聯合化療。放射治療僅用於明確有鏡下或肉眼殘留的惡性畸胎瘤病例,放療劑量鏡下殘留以25Gy為宜,肉眼殘留者可套用到35Gy,對手術切除完整者,近年主張以化療為主,放療慎用,以避免放療時生殖器官、骨骼發育的延遲損害。
惡性畸胎瘤巨大或廣泛浸潤、臨床判斷不能切除者,可套用術前化療或放療,使腫瘤縮小後再予延期根治手術,對提高手術切除率、保留重要臟器有積極意義。對晚期病例,套用術前化療或放療也可達到解除腫瘤壓迫、控制轉移灶和爭取再次手術機會的治療目的。
預後預防
畸胎瘤的預後與初診年齡、腫瘤部位、惡變發生率、治療結果等因素密切相關。初診年齡越小,惡性發生率越低,其中隱型畸胎瘤惡性率最高,達71.4%;混合型為46.7%,顯型僅為9.4%。完整切除腫瘤、減少術後復發和惡變是畸胎瘤的另一主要預後因素,即使是惡性畸胎瘤,完成手術切除仍是長期生存的基本保證。目前惡性畸胎瘤完整切除后綜合治療的三年生存率可達50%,五年生存率35%,而術中殘留或復發者的生存率僅3%。其中睪丸、卵巢等容易完整切除部位的惡性畸胎瘤生存率明顯高於腹膜後和骶尾部惡性畸胎瘤,其中尤以隱型骶尾部惡性畸胎瘤的預後最差,生存率僅8%。
預防措施
⒈腫瘤的預防不同於一般傳染病的預防、由於它的病因及發病機制複雜,故其涵義遠非單純消除致病因素所能包括。所以腫瘤預防的概念,突出祛除病因,亦即在腫瘤流行病學病因學基礎上,減少或祛除致病因素,治療癌前疾患,充分運用綜合治療的手段提高腫瘤的治療水平,降低病死率,最大限度地取得腫瘤的有效控制。
2.早期發現、早期診斷和早期治療的“三早”綜合措施是預防心包內惡性畸胎瘤惡化發展的有效方法,該病首選手術切除,手術之後,聯合CLS生物免疫療法治療,預後情況良好。
術後護理
1、定期檢查
惡性腫瘤患者術後康復期間,應長期定期對腫瘤標誌物指數作動態觀察:遵醫囑作定期的腫瘤標誌物檢測和影像學檢查,可作為治療效果和疾病變化的評估依據,也可作為是否有惡性腫瘤復發和轉移的追蹤依據,還可為術後惡性腫瘤變化提供早期發現、早期採取對策的參考。
2、調適情緒,保持良好的心態。
患者康復期間,要學習調適情緒,修身養性,改變不良的作息習慣。可以將注意力集中在自己感興趣的事情上,比如看書、聽音樂、寫字、畫畫、種花、養魚等,以此來轉移因疾病帶來的不愉快和恐懼,使自己的身心調節到較佳狀態。
患者家屬則要營造一個好的生活環境,以利於患者術後康復。康復時期要靜心修養,而不是過度操勞。散步、打太極拳等適度活動,能提升人體的“正氣”,提高抵禦“邪氣”的能力,但適度活動也要量力而行,以不感疲勞為度,切忌活動過度造成體力下降。
調適情緒時,力爭心平氣和,不操之過急,克服沮喪心境。面對疾病現實,患者要鼓足勇氣,樹立信心,培養耐心,做好長期與疾病鬥爭的心理準備,爭取最佳的療效和最好的康復結果。
2、科學飲食,均衡營養。
惡性腫瘤患者在飲食上要注意飲食均衡,調整飲食習慣,攝取多元營養要素:碳水化合物、脂肪、蛋白質的攝入要合理配比;葷素搭配,多素少葷,勿過量攝食脂肪和高蛋白食品;不要吃醃製食品、煎炸燒烤食品,控制鹽的攝入,戒菸戒酒,避免一些致癌物質和促癌物質從口而入;在烹調上,患者應以清蒸、燉煮為主。
此外,飲食要定時定量,饑飽適度,細嚼慢咽,多吃新鮮蔬菜水果,不能過分挑食偏食。最好給自己定一個7天或10天為周期的食譜,從食物中均衡地攝取營養,才能有效預防惡性腫瘤的復發和轉移。
