診斷依據
胚胎癌年齡分布從4一28歲,平均年齡14歲。盆腔內發現腫塊為最常見症狀,腫瘤生長往往較迅速。常有腹痛;較輕者為隱痛。青春期以前的兒童常表現為性早熟。青春期後的患者,常表現為閉經,不孕,毛髮增生等。
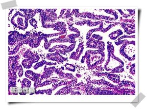
(二)病理檢查
1.巨檢為單側,腫瘤直徑為lO一25厘米,呈結節狀,有包膜,但有時不完整。切面呈灰白色或茶褐色,實質性,但有無數囊性間隙,其內含有粘性物質。腫瘤出血壞死常很明顯。
2.鏡下檢查腫瘤細胞較大,呈圓形或多邊形,細胞漿多,細胞核圓,大而居中,類似無性細胞瘤。腫瘤細胞常排列呈片狀,巢狀、腺泡狀、小管狀、索條狀或乳頭狀。腺管上皮呈柱型,粘液染色陽性。此外,腫瘤內可出現類似合體滋養層多核瘤巨細胞,孤立或成群的散在於腫瘤內。
(三)血和尿妊娠試驗
由於腫瘤產生hCG,故試驗可呈陽性反應。
鑑別診斷
(一)無性細胞瘤
實體性的胚胎性癌和無性細胞瘤極易混淆。兩者區別在於無性細胞瘤的細胞較小,分裂相不活躍,僅含一個圓而明顯的嗜伊紅色核仁,腫瘤纖維間質組織內有淋巴細胞浸潤。
(二)卵巢絨毛膜癌
來自生殖細胞的卵巢絨毛膜癌是極罕見的。顯微鏡下可見滋養層細胞,混有合體滋養層細胞和細胞滋養層細胞,並常出現特徵性叢狀結構,伴有嚴重出血、壞死。而胚胎性癌內缺乏這些特點。
(三)多胚瘤
其與胚胎性癌的主要區別是多胚瘤有完整或不完整的胚胎樣小體,而胚胎性癌中無胚胎樣小體。
(四)不成熟畸胎瘤
本瘤有三胚層衍化而來的成分組成,特別是神經上皮和神經膠質,但胚胎性癌中不出現三胚層成分,而由原始生殖細胞組成。

