流行病學
卵巢成熟畸胎瘤約占所有卵巢腫瘤的11%是最常見的一種卵巢生殖細胞腫瘤。可發生在任何年齡,但絕大多數為生育年齡婦女。
病因
表1成熟畸胎瘤由分化好的外中、內胚層來源的組織(以外胚層成分最多)構成。細胞遺傳學研究發現絕大部分成熟畸胎瘤表現為正常46,XX核型,極少數病例畸胎瘤的核型可為三體型或三倍體。
發病機制
卵巢成熟畸胎瘤細胞及分子遺傳學研究表明雖然畸胎瘤組織的核型為46,XX,但其與宿主的核型卻存在遺傳學差異。染色體著絲粒的核異質性研究發現,女性宿主多表現為雜合子核型,而畸胎瘤組織則多為純合子核型。有作者對染色體末端同工酶位點進行研究卻發現,雖然畸胎瘤組織核型著絲粒的異質性表現為純合子,而其染色體末端同工酶位點卻與宿主一樣表現為雜合子,從而認為良性畸胎瘤起源於第二次減數分裂失敗或第二極體與卵細胞融合的單一生殖細胞,即所謂單性生殖過程。隨後有作者發現,有些成熟畸胎瘤其染色體著絲粒的異質性標記與宿主細胞的核型完全一致而提出第一次減數分裂失敗也是畸胎瘤的發生機制之一。
有學者曾對21例成熟畸胎瘤的核型進行分析發現,13例為純合性著絲粒異質性標記8例表現為雜合性標記,而宿主核型均表現為雜合子,同時在13例染色體標記為純合子的畸胎瘤中所有酶多態性分析亦表現為純合性,從而提出畸胎瘤另一可能的發生機制,即成熟卵細胞核內自行複製而成。1987年Ohama等對128例卵巢畸胎瘤進行了染色體異質性及HLA多態性研究進一步提出了畸胎瘤形成的多起源機制。
歸納起來關於卵巢成熟畸胎瘤的發生機制有以下五種可能:
1.卵細胞第一次減數分裂失敗或第一極體與卵子的融合(Ⅰ型) 表現為腫瘤組織與宿主細胞染色體著絲粒標記均為雜合性;而染色體末端同工酶位點表現為雜合性或純合性,則取決於染色體著絲粒與末端標記在減數分裂時是否發生互換及互換的頻率如不發生互換則表現為末端標記雜合性,發生一次互換則50%表現為雜合性,如發生兩次互換則75%表現為雜合性。
2.第二次減數分裂失敗或第二極體與卵子的融合(Ⅱ型) 表現為畸胎瘤染色體著絲粒標記均為純合性,而染色體末端標記依減數分裂時互換與否可表現為純合性或雜合性
3.成熟卵細胞基因核內自行複製(Ⅲ型) 該類型的畸胎瘤其著絲粒標記及染色體末端際記均表現為純合性。
4.原始生殖細胞第一次及第二次減數分裂均失敗(Ⅳ型) 該類型不發生減數分裂,經有絲分裂之後形成的畸胎瘤其染色體著絲粒及末端標記均與宿主一致,表現為雜合性。
5.兩個卵子融合所致(V型) 該類型畸胎瘤染色體著絲粒及末端標記既可為雜合性也可為純合性。
成熟畸胎瘤的核型分析90%以上均為46,XX,少部分可出現數目或結構異常,其中以三體型多見,染色體異常在成熟畸胎瘤中的發生率約為7%;而在未成熟畸胎瘤中,染色體異常的發生率則高達60%以上其中最多見的也是三體型,染色體結構異常也常可遇到,常發生結構異常的染色體有3,5,7,8及9號染色體。研究表明未成熟畸胎瘤具有向成熟畸胎瘤轉化的生物學特性,但當未成熟畸胎瘤逆轉為成熟畸胎瘤後,其異常的染色體核型是否也同時轉變為正常二倍體核型?有研究表明,未成熟畸胎瘤經化療誘導轉為成熟之後其異常的染色體核型並不發生逆轉。
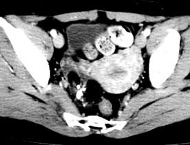
大體:腫瘤多數為單側性,左右側發生率相近,雙側性占8%~15%大小差別較大可以從很小(0.5cm)到巨大(40cm),但多數為5~15cm。腫物為圓形卵圓形或分葉狀,表面光滑,包膜完整切面多為一個大囊,亦可多房;內含毛和皮脂樣物囊內壁常可見一個或多個大小不等的實性或囊實性突起稱作頭結節。頭結節表面有毛髮和牙齒,切面可見骨軟骨和脂肪組織
鏡下:囊外壁為卵巢間質,內壁襯以皮膚、毛髮和皮膚附屬檔案。頭結節處常可見3個胚層的多種組織常伴有異物巨細胞反應
臨床表現
臨床分析成熟畸胎瘤可發生於任何年齡最早可見於新生嬰兒,也可發生於80~90歲的老人但絕大部分均發生於30歲左右的育齡期婦女。北京協和醫院曾報導647例成熟畸胎瘤最小7歲最大77歲平均34歲。腫瘤多數為單側性左、右側發生幾率相近雙側同時發生者占8%~24%。由於腫瘤為良性,如無扭轉或感染等併發症發生,則常無特殊症狀如腫瘤體積較大可有腹脹感、輕度腹痛及壓迫症狀如尿頻等雖然少數患者有月經失調等內分泌症狀,但多與腫瘤無關。中國范嫏娣曾分析了549例該病患者,僅有8例月經過多及14例子宮不規則出血極個別患者因發生腫瘤的卵巢間質有黃素化變化,而有毛髮多的體徵。
成熟畸胎瘤合併妊娠:因成熟畸胎瘤多半發生於育齡婦女且不影響卵巢功能,故合併妊娠率較高,文獻報導合併妊娠者占10%~22%。該腫瘤亦是妊娠合併卵巢腫瘤中最為多見的一種。有學者對39例妊娠合併卵巢腫瘤的分析表明,成熟畸胎瘤占46.2%,其次為子宮內膜異位囊腫(12.8%)及卵巢漿液性囊腺瘤(10.3%)等。
在妊娠早期發現卵巢腫瘤時,因不能完全排除妊娠期黃體囊腫,且早期妊娠進行手術易誘發流產,故可等待至妊娠4個月左右再進行手術。如在妊娠晚期發現腫瘤,且腫瘤已被推至盆腔外,無阻塞產道的可能,則可在產後行腫瘤手術切除。如腫瘤阻塞產道,則可在足月妊娠期或臨產後行剖宮產術,並同時切除腫瘤
兒童和青少年卵巢畸胎瘤:在幼年和學齡前期,畸胎瘤常發生在骶尾區。卵巢畸胎瘤儘管罕見(占這一年齡組所有畸胎瘤的17%),但是第2個最常見的部位該年齡段卵巢畸胎瘤最常發生在5歲以後且64%的病例集中在6~11歲年齡組。兒童或青春期診斷的卵巢畸胎瘤的手術方式與成年人的相同目前,對青春期前兒童行腹腔鏡手術的經驗僅限於成功的個案報導。套用腹腔鏡檢查術評估腫瘤隨後行小切口剖腹手術切除畸胎瘤的聯合方法,已經在青春期患者中獲得成功。如在手術時發生囊內容物溢出,也應該對溢出的內容物進行大量沖洗治療。
除應該向可疑患畸胎瘤兒童的父母交代有可能是未確認的惡性腫瘤外還應該交代剖腹手術和腹腔鏡手術的危險及其好處。既然報導生殖細胞腫瘤在15歲以下患者中有25%是惡性的所以在決定手術方法上重要的是套用超聲和腫瘤標記物進行仔細的術前評估,並應該與婦科腫瘤醫生一起為可能的卵巢惡性腫瘤制訂一份可能的應急治療計畫
症狀
常見症狀為腹部包塊、腹痛等。因腹腔種植髮生率高,60%有腹水。且因腹水而使體質消耗、體重減輕。大多數患者的月經及生育功能正常。
卵巢未成熟畸胎瘤轉移的發生率高,為32%~58%。轉移方式多沿腹膜擴散。因此最常見的轉移部位是盆腔及腹腔腹膜、大網膜、肝表面、橫膈、腸漿膜及腸系膜等。轉移灶大多數為表面種植。淋巴結轉移也不少見。北京協和醫院曾對卵巢未成熟畸胎瘤進行盆腔淋巴結及腹主動脈淋巴結切除17例,5例有淋巴結轉移,占29.4%。此5例均為有腹腔內廣泛種植轉移的臨床Ⅲ期病例。臨床Ⅰ期曾作淋巴結清掃手術者僅有3例,未發現有淋巴結轉移。Norris(1976)組9例屍檢材料中,4例有淋巴結轉移。FIG0分期以Ⅰ期及Ⅲ期較多。而在Ⅲ期病例中,因轉移灶的組織類型不同,其臨床病理過程亦有區別。如若轉移灶全部為神經膠質,即神經膠質腹膜瘤(peritonealgliomatosis),則手術將卵巢原發瘤切除以後留下的廣泛散在小灶常可自行消失。或雖未消失而患者可帶瘤存活,預後很好。故有人提出腹腔內僅僅有神經膠質者不應列為Ⅲ期。若腹腔內種植轉移灶為病理Ⅰ級以上腫瘤,手術未切淨或未進行有效的化療,則病情將繼續發展惡化,甚至死亡。因此FIG0Ⅲ期患者,其預後與腹腔內轉移灶的組織類型及病理分級有密切聯繫。
併發症:
1.扭轉 由於腫瘤常有蒂且密度大,有一定重量且同一腫瘤密度不勻所以易發生扭轉。其誘因常為妊娠腸蠕動、膀胱充盈或排空、咳嗽、嘔吐或意外暴力等引起腹壓驟變的因素扭轉發生率為9%~17%扭轉發生後,常有急腹痛、噁心及嘔吐等典型症狀。扭轉早期腫瘤蒂部有壓痛稍晚期則整個腫瘤均有壓痛。如有這些典型的症狀及體徵則診斷並不困難。扭轉180°時即可壓迫腫瘤的動、靜脈,嚴重者可扭轉360°或720°以上致使動脈供血中斷,靜脈回流受阻,導致囊內出血、囊壁卒中壞疽,如延誤過久,手術時亦無法保留患側卵巢。
2.破裂 畸胎瘤破裂較少見。北京協和醫院647例中僅有4例發生破裂。有資料表明,妊娠期腫瘤破裂的發生率高達15.8%,而非妊娠期僅1.3%。破裂的發生多因腫瘤創傷、扭轉、感染或壞疽所致。囊內溢出皮脂物質(含中性脂肪、脂肪酸等成分)、鱗狀細胞碎屑等,均可刺激腹膜增厚形成慢性肉芽腫或伴發散在鈣鹽沉著。另外亦有腫瘤破人空腔臟器如膀胱、腸道等個案報導而發生尿頻、尿痛、尿血,甚至尿內排出皮脂物質毛髮、骨片等,或肛門排出上述物質,因此可獲得確診。
3.感染 多經血源或淋巴源引起可由盆腔炎腸粘連、產後及闌尾膿腫等引起,或由於腫瘤穿刺、扭轉破裂等誘發。感染的致病菌多為鏈球菌、葡萄球菌大腸埃希桿菌結核桿菌或產氣桿菌。
4.溶血性貧血 成熟畸胎瘤可合併溶血性貧血的發生,但十分罕見其中多數病人脾大,Comb試驗陽性,此類病人服用腎上腺皮質激素或作脾切除均無效,或僅有短暫效果但切除卵巢腫瘤後即可痊癒。有關這種自身溶血性貧血發生的原因有如下假說:①因腫瘤抗原刺激產生的抗體與紅細胞作用而溶血;②由於腫瘤產生的一種物質包被在紅細胞上,使其抗原性或對溶血的抗力被改變。
5.可以合併其他生殖細胞腫瘤。
診斷
卵巢成熟畸胎瘤的診斷應根據臨床表現、症狀及實驗室檢查即可以做出診斷。
鑑別診斷:
卵巢未成熟畸胎瘤應與未成熟畸胎瘤、卵巢單胚層高度特異的腫瘤如卵巢甲狀腺腫、卵巢類癌、神經外胚層腫瘤相鑑別
檢查
檢查實驗室檢查:
腫瘤標誌物檢查、腹腔鏡檢查
其它輔助檢查:
1.X線診斷 Josephsen於1915年首先經放射線檢查確診該腫瘤後目前已將該方法作為常規術前檢查成熟畸胎瘤內因常有油脂樣物、牙及骨片等,故在腹部或盆腔X線攝片時可顯示一些特點,如骨片及牙陰影囊內容鈣化影等。如囊內容物僅僅為皮脂物質及毛髮則表現為透光度減弱或呈現輪廓清晰的圓形或卵圓形陰影研究表明,成熟畸胎瘤X線檢查時,41%~62%可顯示出以上協助診斷的特點為避免與腸襻內氣體混淆,在攝片前應進行通便或洗腸。另外,還應與盆腔內X線密度增加的病變進行鑑別,如子宮肌瘤、卵巢纖維瘤、輸尿管結石及鈣化淋巴結等。
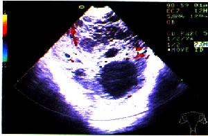
2.超聲診斷 良性囊性畸胎瘤的超聲所見常可分為以下幾種類型:
(1)類囊型:多為圓形或橢圓形囊壁較厚,多為單房,內為密集而反光強的光點,有時在內壁處可見一薄層液性區。
(2)囊內麵團征:囊內出現一個或數個反光強的光團,多為圓形,也有不規則光塊,可黏貼於內壁,光團後方無回聲。
(3)囊內發團征:囊內可見一圓形光團,其上方呈月牙形反光強的回聲,其後方衰減並伴明顯聲影(為脂類物團塊包裹一團毛髮構成)。
(4)囊內脂液分層征:上層為反光強密集光點回聲,此為一層脂類物;下層常為清亮液,有時亦可見液內漂浮少量光點兩層之間為脂液分層平面,較大的囊腫其液平面可隨體位變動而變化。
(5)複雜型:囊內結構複雜,可有光點脂液分層、強光團、發團征及麵團征等。
治療
手術治療卵巢成熟畸胎瘤雖為良性腫瘤,但可發生扭轉及感染等併發症,且極少數病例有惡變可能,故在治療方面應採取手術切除手術方式宜採取腫瘤剝除術,以保留患側卵巢的正常組織。剝除腫瘤時應注意勿將腫瘤弄破而使腫瘤內容物污染腹腔手術時可選擇卵巢包膜最薄處以下作一淺切口,因在薄層包膜下即為腫瘤,在該處比較容易找到腫瘤與卵巢包膜的分界層次。如進入包膜下的層次正確,再繼續剝離腫瘤時一般都比較容易,可順利剝下腫瘤剝除後,常常可剩餘不少正常卵巢組織將其重疊縫合後外表很像一個正常卵巢。採用這種方法剝除腫瘤,術後很少復發北京協和醫院260例成熟畸胎瘤剝除術中,有5例術後復發占1.9%,此5例原均為雙側性腫瘤,復發腫瘤中僅有2例為成熟畸胎瘤,1例甲狀腺瘤,1例黏液性囊腺瘤另1例不詳復發時間為手術後10~19年。由於復發率並不高,且復發時間間隔均超過10年,因此對年輕患者,為保留卵巢生理功能,仍應首選腫瘤剝除術而不作卵巢切除術。由於成熟畸胎瘤雙側發生的可能性為8%~24%且小的腫瘤僅數毫米直徑,故手術時必須仔細檢查對側卵巢。有時卵巢外觀正常,經剖開探查卻發現小的成熟畸胎瘤。故對單側成熟畸胎瘤患者手術時均應作對側卵巢剖開探查,剖探時應注意在卵巢門部位勿太深,以免因該處出血多而結紮過多,影響卵巢血運。有文獻報導手術時如果發現對側卵巢外觀正常,則隱藏性卵巢成熟畸胎瘤的可能性僅為1.1%。因為將卵巢切開兩瓣可能導致出血、感染和粘連形成,並且超聲能很好地測成熟畸胎瘤的存在,所以手術時仔細檢查對側卵巢,可能是一種安全的替代對側卵巢切開探查的方案。北京協和醫院對1990~2000年695例卵巢成熟畸胎瘤的分析認為,手術時進行對側卵巢剖開探查,雖然總的陽性率為15.1%,但是進一步分類發現,如果肉眼見對側卵巢無異常表現,剖探的陽性率僅為0.22%。此外不管是否行剖探術後復發率(未剖探組為0%,剖探組為2.1%,P=0.93)和妊娠率(未剖探組為33.3%剖探組為25%,P=0.76)均相當由於在腹腔鏡手術中採用的是電刀切開、分離和止血,區別於開腹手術中可以採用結紮、縫合等方法而電刀的熱效應難免會對卵巢的結構和功能產生短期或長期影響,而患者往往為育齡期婦女,保留卵巢功能很重要,因此在術中應儘可能減少對卵巢的切除和破壞。基於這一點的考慮,提出在對側卵巢肉眼未見異常的情況下是否可以考慮不常規行剖探術。當然,同時仍需強調,如果對側卵巢肉眼見有異常時,仍需要行常規剖探術,因為此時剖探的陽性率可達63.4%。
隨著腹腔鏡手術在婦科手術中越來越多的套用,許多研究表明腹腔鏡手術可作為一種可以接受的替代手術方法。腹腔鏡手術可能的優點包括:術後疼痛和失血量減少、住院日縮短,因總住院費用下降有可能擔心這種方法會延長手術時間、增加手術室費用,及有對於卵巢惡性腫瘤患者行腹腔鏡下囊腫切除術引起治療延誤的危險。由於術中畸胎瘤內容物溢入腹腔可能會發生術後化學性腹膜炎,故術中畸胎瘤內容物溢出已經引起了多數手術醫生的擔心術後化學性腹膜炎可能是由於腹膜接觸了諸如頭髮和油脂分泌物等物質所引起,最可能發生在長期接觸未被發現的畸胎瘤滲漏或破裂時因此如手術中出現囊內容物溢出,最好用大量生理鹽水沖洗,直至沖洗液變為清亮,從而可減少術後發生化學性腹膜炎的風險。
手術治療:
一、剖腹手術
宜採取腫瘤剝除術,保留患側卵巢的正常組織。
1、方法:
選擇卵巢包膜最薄處以下作一淺切口,進入包膜下的層次正確時再繼續剝離腫瘤。
腫瘤剝除後,將剩餘正常卵巢組織疊縫合。
妊娠早期發現卵巢腫瘤:等待至妊娠4個月左右再進行手術。
妊娠晚期發現腫瘤,腫瘤已被推至盆腔外不阻塞產道:在產後行腫瘤手術切除。
妊娠晚期發現腫瘤,腫瘤阻塞產道:在足月妊娠期或臨產後行剖宮產術,並同時切除腫瘤。
2、注意事項
避免將腫瘤弄破而使腫瘤內容物污染腹腔。
對單側成熟畸胎瘤患者,手術時均應作對側卵巢剖開探查,剖探時應注意在卵巢門部位勿太深,以免因該處出血多而結紮過多,影響卵巢血運。
二、腹腔鏡手術
採用電刀切開、分離和止血。
1、優點:
術後疼痛和失血量減少。
住院日縮短,住院費用下降。
2、缺點:
電刀的熱效應會對卵巢的結構和功能產生短期或長期影響。
可能會延長手術時間、增加手術室費用。
有引起卵巢惡性腫瘤患者治療延誤的危險。
畸胎瘤內容物溢入腹腔可引起術後化學性腹膜炎
3、注意事項:
手術中出現囊內容物溢出時,用大量生理鹽水沖洗,直至沖洗液變為清亮。
預後預防
卵巢成熟畸胎瘤預後:
其中純型幾乎均為良性,僅少數發生惡變。腫瘤可直接引起局部浸潤和腹膜種植一般很少發生淋巴結轉移和血行播散。成熟畸胎瘤惡變的發生率為1%~3%。因腫瘤內有各種不同的組織成分,故可發生各種不同的惡性變化,如鱗癌、腺癌、癌樣瘤、黑色素瘤及肉瘤等。其中以鱗癌變最為常見北京協和醫院647例中11例發生惡變占1.7%,其中有10例為鱗癌多自瘤體內的呼吸道上皮、食管上皮或皮膚惡變而來。惡變多見於絕經後婦女年齡一般在40~60歲。有報導最小者9歲,為基底細胞及腺癌變,最大88歲,為鱗癌變。該院11例惡變者中,最小32歲,最大77歲,平均51歲。惡變早期多無特殊臨床症狀,如惡變已擴散浸潤周圍臟器或者淋巴結轉移,則臨床症狀加重,如腹痛腿痛下肢及外陰水腫等。發生惡變的患者主要在絕經後且伴有腹痛症狀,也可以有腹部腫塊,陰道出血較少見。也有作者指出較大的畸胎瘤(>6cm)惡變的危險較大。發生惡變患者的預後差且與疾病分期和病理有關據報導Ⅰ期鱗癌患者的5年存活率為63%。有卵巢外轉移和罕見組織病理(腺癌、肉瘤)的患者預後更差。發生鱗癌變的患者預後不佳,死亡率可達75%~86%。影響預後的因素有:①囊壁是否受侵犯;②與鄰近器官癌性粘連程度或分離粘連時囊壁有無破裂;③腫瘤有無淋巴或靜脈侵犯;④腹水中有無瘤細胞。
腫瘤如有惡變瘤體切開後,除油脂、毛髮等常見內容以外還有實質性部分,腫瘤組織多呈灰白或淺黃色質脆,常伴出血及壞死。惡性變化常發生在囊壁內“乳頭”或“頭節”附近。鏡下最多見的是來自表皮的鱗癌,其次為腺癌和類癌,少見的有支氣管癌、平滑肌肉瘤、骨肉瘤、基底細胞癌及黑色素瘤等。
預防:
定期體檢、做到早期發現、早期治療
