疾病概述
在各種類型的卵巢腫瘤里,有一種腫瘤中包含有毛髮、牙齒、骨骼和油脂,我們稱之為卵巢畸胎瘤。卵巢畸胎瘤是卵巢生殖細胞腫瘤中常見的一種,它並非是婦女懷了怪胎以後演變而來,而是來源於生殖細胞異常增生所至,屬於一種生長在卵巢組織中由生殖細胞異常增生、集聚形成的腫瘤。
因為生殖細胞中含有人體外胚葉、中胚葉和內胚葉三種組織成分,所以瘤子裡會有毛髮、油脂、皮膚、牙齒、骨片等外胚葉組織,也可能含有中胚葉或內胚葉組織如肌肉、胃腸、甲狀腺組織等。
疾病病理
卵巢畸胎瘤細胞一般認為,這種分離或脫落髮生於胚胎早期,則形成畸胎;而如發生於胚胎後期,則形成了具有內胚層、中胚層和外胚層三個胚層的異常分化組織,即形成了畸胎瘤。
人體胚胎髮育過程中,有一種具有多能發展潛力的多能細胞,正常胚胎髮育情況下,發展和分化成各胚層的成熟細胞。如果在胚胎不同時期,某些多能細胞從整體上分離或脫落下來,使細胞基因發生突變,分化異常,則可發生胚胎異常。
疾病種類
卵巢畸胎瘤 畸胎瘤的分類名稱較多,過去習慣用的名稱有的不能反映腫瘤的本質。例如常用囊性畸胎瘤和實性畸胎瘤的名稱,在多數情況下囊性畸瘤為良性,實性畸胎瘤為惡性,但少數情況,囊性畸胎瘤可為惡性,實性畸胎瘤亦可為良性或比較良性,所以用此名稱作診斷對臨床治療指導意義不夠精確。
一般認為卵巢畸胎瘤表現為惡性或潛在惡性者可有3種不同組織學表現:畸胎瘤混合有其他生殖細胞腫瘤成分;良性畸胎瘤局部惡變,常見為皮樣囊腫惡變,局部為鱗癌或腺癌;畸胎瘤組織中含有胚胎組織,包括組織發生不同階段的未成熟胚胎組織,特別是原始神經組織,可有不同程度的惡性表現。根據這個原則提出的卵巢畸胎瘤的分類和命名。
①成熟型畸胎瘤(包括皮樣囊腫等):在成熟型畸胎中,見有神經膠質細胞和纖維,有轉移之可能,有的認為是潛在惡性。我們見一例卵巢成熟型畸胎瘤,3年後發生腹腔轉移之神經膠質瘤病,最後導致死亡。因此在術中冰凍切片要仔細辨認成熟的神經膠質組織,在病理診斷中要予以報告。
②未成熟型畸胎瘤:由於原始神經組織成分有較強的生長潛能,因此對判斷腫瘤的惡性程度有意義。以原始神經組織存在的數量作為一個具體指標,將其分為3級,是比較實用的標準,以此估價腫瘤的惡性程度。原始神經組織一般以神經營結構為形態指征(圖5-27)。
有的作者以計算神經管的多少分為4級,在實際工作中,以3級為標準比較好掌握。具體分級標準如下: I級:原始神經組織較少,屬低度惡性;II級:原始神經組織較易見,屬中度惡性;III級:原始神經組織易見,即在腫瘤不同部位取材,如每張切片中均能見到,屬高度惡性。由於冰凍切片取材有限,有時估價級別不很精確,但可診斷為未成熟型畸胎瘤。未成熟型崎胎瘤容易發生腹膜種植或在其它臟器形成巨大繼發性畸胎瘤。有時轉移腫瘤更趨向於成熟。
臨床表現
卵巢畸胎瘤由於部位各不相同、常有多種併發症和明顯的惡變趨勢,所以在臨床上可有各種症狀和表現:
腫瘤惡變的症狀惡性畸胎瘤和良性畸胎瘤惡變時,常表現為腫瘤迅速生長,失去原有彈性、外生性腫瘤可見淺表靜脈怒張、充血、局部皮膚被浸潤並伴有皮膚溫度增高。可經淋巴和血行轉移而有淋巴節腫大和肺、骨轉移症狀,同時每天出現消瘦、貧血、瘤性發熱等全身症狀。
腫瘤異常變化的急性症狀卵巢、睪丸畸胎瘤可發生卵巢或睪丸扭轉、壞死、表現為先後劇烈疼痛和相應的局部症貧血、休克等全身感染或失血症狀;腹膜後、卵巢、盆腔、骶尾部等部位腫瘤也可突然破裂而發生大出血、血腹、休克等兇險表現。
壓迫和腔道梗阻症狀縱隔畸胎瘤常可壓迫呼吸道而引起嗆咳、呼吸困難及頸靜脈怒張;後腹膜畸胎瘤多有腹痛,並可引起腸梗阻。盆腔和骶尾部隱型畸胎瘤多因便秘、排便困難、尿瀦留而就診。
無痛性腫塊這是畸胎瘤最常見的症狀,多為圓形囊性、邊界清楚、質地軟硬不勻,甚至可捫及骨性結節。其中外生性腫瘤以骶尾部、枕、額、鼻等中線部位常見,骶尾部畸胎瘤常可根據其所在位置分為顯型、隱型和混合型三種醫學臨床類型。
生理症狀
卵巢畸胎瘤還有潛在的卵巢雄激素分泌不足,或腎上腺產生甾體激素能力輕度缺陷。腹腔鏡檢查多見小卵巢或卵巢畸胎瘤。
免疫因素約占20%。在血中可以檢出卵巢抗體。這類患者常常合併其他自身免疫性疾病,如紅斑狼瘡類風濕關節炎,先天性體中缺乏一種酶。
細胞遺傳學因素先天性生殖細胞數少,卵泡閉鎖加速,X染色體異常,10%患者有家族史。
物理因素如手術,化療,感染等導致促性腺激素分泌缺陷,或促性腺激素受體或受體後缺陷。
影像學表現
卵巢畸胎瘤影像(1)腫瘤內液性脂肪部分的信號強度呈短T1、長T2信號,是診斷畸胎瘤的主要依據。
(2)腫瘤內部主要有碎屑和壁突兩種結構,壁突的成分為脂類組織、頭髮、牙齒、骨骼。碎屑常位於囊性部分的下層,液性脂肪位於上層而產生分層信號。碎屑和壁突的信號強度大致為中等信號。脂質在T2加權像上信號非常高,頭髮的信號低於肌組織,骨骼與牙齒無信號。
(3)由於脂肪造成的化學位移偽影,既可出現在腫瘤內,也可出現在腫瘤周圍,此特徵可與出血性病變相鑑別。
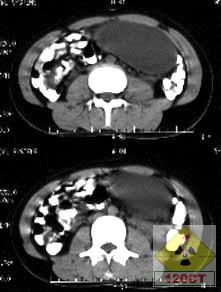
(1)典型的CT徵象為密度不均的囊性腫塊,單側或雙側性。
(2)囊壁厚薄不均,邊緣光整。
(3)內含脂肪密度影和發育不全的骨骼及牙齒,也可見自囊壁突起的實體性結節影。如囊內同時含有脂肪和液體,則可見到上脂肪下液體的液-脂界面,並可隨體位變動而改變位置。
(4)如為皮樣囊腫時,CT僅表現為含液體的囊性占位,但囊壁可有蛋殼樣鈣化。
(5)惡性畸胎瘤侵及鄰近組織,表現為腫瘤與周圍器官的脂肪層消失;腫瘤侵及膀胱、盆腔肌肉或腸管,則表現為與他們之間的分界不清。
(1)成熟型畸胞瘤多數邊界清晰,包膜、輪廓完整、光滑。
(2)瘤內油脂祥物質呈現均質、密集細小光點,部分或完全布滿囊腔。
(3)油脂與粘、漿液同在一個囊腔時,則可見一回聲增強的水平,稱液脂面。(4)有毛髮時可見球形或半球形光團,伴聲影或聲衰減。液內的毛發光團有浮動感。
(5)骨、牙齒和軟骨呈條片狀強回聲,伴聲影或聲衰減。
(6)實質性部分呈現不均質性實性腫塊,有瀰漫分布的中等回聲或強回聲。
(1)多發現有特異的骨化和鈣化,或牙齒。
(2)腫瘤壁上可出現包殼樣鈣化。
(3)腫瘤內部可出現低密度的透光陰影。
不孕不育
卵巢畸胎瘤是女性不孕症中的一種常見多發病,來發病率非常高,在女性不孕症中已占到50%左右。而且這種病不受年齡限制,育齡婦女都有發生卵巢畸胎瘤的可能。輸卵管疾病的高發與三方面因素有關。第一,要從輸卵管的解剖結構來講。輸卵管是兩端均有開口的一條肌性管道,一端開口於盆腔,另一端與子宮體相連,通過開口與宮腔相通。這樣的話,盆腔的感染或生殖道感染都會引起輸卵管內膜炎症,導致輸卵管不通。第二,與現代人的生活方式也有關係。夜生活增多,性生活不節制,多個性伴侶等都會使人體抵抗力下降,引起生殖道感染,進而引起輸卵管炎症。第三,不潔性交,經期性交,不當流產,使用宮內節育環,流產後沒有按要求忌房等都會引發輸卵管炎症。
不當流產已經是引發卵巢畸胎瘤的主要誘因,50%-70%左右的病人,以前都有過流產史。另外,宮外孕術後,輸卵管結紮復通術後,也常由於輸卵管組織受損,使輸卵管不能保持通暢而引起不孕。卵巢畸胎瘤的直接病因就是病原體感染導致的炎症。有過盆腔炎病史,流產、清宮的病史,放置宮內節育環,闌尾炎等盆腔手術史,結核病史以及患過性病的病人都屬於輸卵管阻塞的高發人群。
輸卵管是連線子宮與卵巢的一個通道,末端也就是傘端象爪子的形狀一樣,覆蓋在卵巢表面。左右各一,就象是兩根腳踏車汽鳴芯那樣較細的直徑約6-15mm左右長的管子,卵子發育成熟後,自卵巢中排出,被輸卵管傘端撿拾進入輸卵管腔。在輸卵管的蠕動及管內纖毛的擺動作用下,向宮腔移動。精子進入宮腔後,遊動到輸卵管內,在輸卵管壺腹部與卵子相遇完成授精,而後受精卵在分化的同時移動到宮腔內著床發育成胎兒。當發生輸卵管阻塞的情況下,精子與卵子授精的通道被阻斷,無法完成授精,或是受精卵無法及時到達宮腔,就導致了不孕或是宮外孕的發生。
疾病診斷
考慮惡性畸胎瘤可能者,均應檢測患兒血清的甲胎蛋白(AFP)和絨毛膜促性腺激素(HCG)水平,對診斷中華和預後判斷有指導論文作用。惡性畸胎瘤92%有甲胎蛋白增高,而良性畸胎瘤也有4%有AFP異常,並專業發現良性畸胎瘤AFP增高者術後復發率明顯增高。
畸胎瘤大多數為外生性或有明顯腫塊可捫及,根據臨床表現常能早期診斷。仔細的腹部體檢和直腸指檢,對腹部、盆腔、隱型骶尾部畸胎瘤的檢查非常必要;腫瘤部位的X線平片可綜合發現腫瘤內有骨、牙齒等異常鈣化影而明確畸胎瘤,並多為成熟型畸胎瘤;胃腸道鋇餐、鋇劑灌腸和靜脈腎盂造影可了解相應部位的胃腸道或腎臟、輸尿管、膀胱等臟器的受壓推移情況。對生長迅速、浸潤範圍較廣的畸胎瘤病例應提出進行CT、核磁共振檢查,以明確腫瘤浸潤範圍及與重要血管,脊髓神經的相鄰關係。
染色體組型為46,xx。血雌激素水平低(常低於20pg/ml),血FSH與LH增高,FSH比LH上升更早更高。血催乳素正常。雌激素撤血試驗常為陽性。卵巢活組織檢查如發現尚有卵泡存在,則可能是卵巢缺乏FSH受體,對促性腺激素缺乏反應,這種情況稱為卵巢不敏感綜合徵。由於卵巢不敏感綜合徵較少見,而且妊娠的機會很少,故一般不主張進行卵巢活檢。如有條件,可檢測卵巢組織抗體及抗腎上腺皮質抗體,以發現有關的自身免疫疾病。
治療方法
卵巢畸胎瘤一旦確診,必須爭取早期發現手術切除,以避免良性畸胎瘤因耽擱科研手術而導致腫瘤惡變,發現同時可預防腫瘤感染、破裂、出血及併發症的發生。畸胎瘤的手術要點是完整地切除腫瘤,卵巢和睪丸腫瘤均作一側卵巢或睪丸切除,骶尾部畸胎瘤強調務必將尾骨一併切除,以免殘留多能細胞而導致腫瘤復發。
惡性卵巢畸胎瘤的治療原則為聯合輔助治療,手術切除後常規化學專業治療1.5~2年常用順鉑、長春花鹼或長春新鹼、博萊黴素。2006年以來,推薦套用順鉑、阿黴素、異環磷醯胺等化療藥物進行聯合化療。放射治療僅用於明確有鏡下或肉眼殘留的惡性畸胎瘤病例,放療劑量鏡下殘留以25Gy為宜,肉眼殘留者可套用到35Gy對手術切除完整者,近年主張以化療為主,放療慎用,以避免放療時生殖器官、骨骼發育的延遲損害。
惡性畸胎瘤巨大或廣泛浸潤、臨床判斷不能切除者,可套用術前化療或放療,使腫瘤縮小後再予延期根治手術,對提高手術切除率、保留重要臟器有積極意義。對晚期病例,套用術前化療或放療也可達到解除腫瘤壓迫、控制轉移灶和爭取再次手術等機會的治療成績目的。
卵巢畸胎瘤臨床一般無症狀,長大後可有腹脹,輕度腹痛及壓迫症狀。畸胎瘤的內容物由2~3個胚層的多種成熟組織構成,絕大多數為外胚層組織。因此,囊內可見到鱗狀上皮、皮脂腺、汗腺、毛髮及成熟的神經組織,以及中胚層的脂肪軟骨及骨組織,大約一半的卵巢皮樣囊腫里有牙齒。
一般說來未成熟性畸胎瘤的預後效果較差,手術無法保證徹底、乾淨地消滅它,有復發的危險。而良性畸胎瘤的預後較好,良性發生惡變的可能性僅為2%-3%,不影響卵巢功能,手術後月經正常,受孕率正常,不存在復發的問題。
疾病預後
完整切除腫瘤、減少術後復發和惡變是畸胎瘤的另一主要預後因素,即使是惡性畸胎瘤,完成手術切除仍是長期生存的基本保證。中國惡性畸胎瘤完整切除后綜合治療的三年生存率可達50%,五年生存率35%,而術中殘留或復發者的生存率僅3%。
其中睪丸、卵巢等容易完整切除部位的惡性畸胎瘤生存率明顯高於腹膜後和骶尾部惡性畸胎瘤,其中尤以隱型骶尾部惡性畸胎瘤的預後最差,生存率僅8%。畸胎瘤的預後與初診年齡、腫瘤部位、惡變發生率、治療結果等因素密切相關。初診年齡越小惡性發生率越低,其中隱型畸胎瘤惡性率最高,達71.4%;混合型為46.7%顯型僅為9.4%。
手術事項
卵巢畸胎瘤3D示意圖2、術後只要恢復正常的卵巢功能後即可妊娠。畸胎瘤確診後以儘早手術為宜。
3、畸胎瘤確有良性和惡性之分,但惡性畸胎瘤有別於其他的卵巢惡性腫瘤,畸胎瘤是胎胚發育中的另一個胚胎形成的,並不屬於患者本身的組織,良惡性都不代表患者自身卵巢組織的性質,只要手術精細,技術嫻熟,就一定能夠完全分離畸胎瘤,保留患者自身的卵巢組織,所以,不論畸胎瘤的良性或惡性都不必切除卵巢。開腹手術受切口的限制視野小,操作困難,往往不容易將畸胎瘤組織剝離乾淨,腹腔鏡手術視野廣闊具有放大作用,將畸胎瘤所在的卵巢放入塑膠袋內,可以完整的剝除畸胎瘤組織,而不污染腹腔,同時方便探查對側卵巢(畸胎瘤50%以上是雙側的先後發病)所以,畸胎瘤手術不用開腹。手術同意書上,如果有可能中轉開腹或惡性畸胎瘤需要切除卵巢的字樣,千萬不要簽字這代表著該醫院腹腔鏡技術不嫻熟,而且對惡性畸胎瘤的認識不太充分。一旦卵巢被切除,患者很快進入更年期,而且,沒有挽回佘地。應屬於過度治療範疇。
術後護理
1、手術後一個月內不可以做劇烈運動,防止傷口破裂,出血。
2、宜多吃具有抗腫瘤作用的食物:鱟、海馬、鱉、龍珠茶、山楂,出血宜吃羊血、螺獅、淡菜、烏賊、薺菜、藕、蘑菇、馬蘭頭、石耳、榧子、柿餅。感染宜吃鰻魚、文蛤、水蛇、針魚、鯉魚、麒麟菜、芹菜、芝麻、蕎麥、油菜、香椿、赤豆、綠豆。腹痛、腹脹宜吃豬腰、楊梅、山楂、橘餅、核桃、栗子。
3、忌煙、酒。忌蔥、蒜、椒、桂皮等刺激性食物。忌肥膩食物。忌羊肉、狗肉等溫熱動血食物。
卵巢保養
整個卵巢保養過程大致如下:
首先,深層清潔,滋潤腹部肌膚,為營養吸收打下基礎。
其次,在腹部塗上玫瑰精油並進行局部按摩,以加速局部血液循環,刺激卵巢功能。
再次,包上塑膜,幫助收緊皮膚,使精油成分更易被吸收。
最後,擦拭乾淨,塗緊膚彈性精油並進行按摩,以促進局部血液循環。
卵巢保養護理一周一次,一個療程為10~12次。幾乎所有美容院聲稱,通過上述方法可以使精油滲入卵巢,幫助治療月經失調、痛經和延緩卵巢早衰等婦科疾病。
其理由是“卵巢保養就是把藥放在肚皮上再輕輕按摩,讓藥物由皮下毛細血管滲透到卵巢。用這種方法保養卵巢,可以延緩卵巢功能早衰,調整月經周期,增強‘性趣’,提高睡眠質量,還能祛除女性面部色斑、暗瘡,使人皮膚細嫩,顯得更年輕。”
1、從解剖結構來看,卵巢位於盆腔內,前面有膀胱,後面是直腸,在平臥位時是摸不到的,所以按摩根本觸不到卵巢。精油至多是滲入皮膚,不可能滲入卵巢。
還有很多女性在接近絕經時,希望醫生通過藥物來延緩更年期到來。這也是不現實的。因為女性月經周期是受下丘腦-垂體-卵巢內分泌軸制約的,月經是否規律反映了這個內分泌軸的功能是否正常。其中哪一個器官的分泌功能出現問題都會影響其他器官的分泌功能。從這個角度來說,只對卵巢進行按摩是無法改善其他內分泌器官的功能的,也達不到所謂激活卵巢分泌功能和延緩卵巢早衰的作用。
2、從卵巢發育和發展的過程看,在人類卵巢中,卵泡的發育始於胚胎時期,新生兒出生時卵巢約有15萬~50萬個卵泡。青春期以後,卵泡逐漸減少。到了生育期,女性只有300~400個卵能發育成熟並經排出,其餘卵泡均發育到一定程度即自行退化。隨著卵巢內殘餘卵泡數目的減少,雌激素水平逐漸下降,並隨之出現更年期症狀。當卵巢內殘餘卵泡的數目少於一定數量時,就不再排卵和來月經了。中國婦女平均絕經年齡為49歲左右,40歲以前絕經為早絕經,也就是卵巢早衰。通常情況下,每個女性體內卵泡數目從出生後就是一定的。也就是說,每個婦女的卵巢功能是與生俱來的。當然,卵巢功能還和一些疾病有關。可以說,通過這種按摩手段很難延緩卵巢功能衰退。
雌激素水平過高有害無益
卵巢功能的好壞,是可以經過科學方法檢測的。對於多數三四十歲的女性而言,其體內雌激素水平已足夠高了。如果人為地刺激卵巢分泌大量雌激素,對女性身體會產生副作用,可能誘發乳腺癌、子宮內膜癌等疾病。
綜上所述,所謂卵巢保養不過是一個美麗的神話。真正有利於卵巢保養的方法應當是保持健康的生活方式,如均衡營養、適度運動、充足的睡眠、和諧的性生活以及良好的心態等。
自我檢查
女性30歲以後,性激素正常周期被打亂,則會造成月經失調。周期不準,超前,落後,無定期,經量過多、過少,色澤紫黑或淡紅,經血濃稠或稀薄等,月經不調是卵巢畸胎瘤最早的指征。
症狀:
月經不調:經常,量少或量多,經期縮短或延長;閉經
失眠:偶爾;經常,服安眠藥有效;影響工作、生活
易激動:;偶爾(1分);經常,能克制;經常,不能克制
感覺障礙:與天氣有關;平常有冷、熱、痛、麻木感;冷、熱喪失
皮膚改變:失去光澤、皮膚乾燥;色斑、皺紋;皮膚乾癟,黃褐斑
潮熱出汗:3次/年;>1次/月
性生活狀況:性慾下降;性交痛;性慾喪失
飲食注意
引起畸胎瘤多為各種類型的外陰營養不良、外陰潮熱、慢性刺激及瘙癢、某種營養缺乏、變態反應、代謝紊亂、神經精神因素,都可能是發病原因。故此病又名外陰白色病變、外陰營養不良。
宜吃食品:宜多吃具有抗外陰腫瘤和白斑作用的食物,如芝麻、杏仁、小麥、大麥、土瓜、烏骨雞、烏賊、烏梢蛇、豬胰、菊花、烏梅、桃子、荔枝、馬齒莧、雞血、鰻魚、鮑魚、蟹、鱟、沙丁魚、文蛤、玳瑁。疼痛宜吃鱟、赤、龍蝦、淡菜、海參、虎魚、甜菜、綠豆、蘿蔔、雞血。瘙癢宜吃莧菜、白菜、芥菜、芋艿、海帶、紫菜、雞血、蛇肉、穿山甲。增強體質、預防轉移宜吃銀耳、黑木耳、香菇、猴頭菇、雞肫、海參、薏米、核桃、蟹、石龍子、針魚.
忌諱食品:忌煙、酒及辛辣刺激性食物。忌肥膩、油煎、霉變、醃製食物。忌公雞、鵝等發物。瘙癢嚴重時忌海鮮及刺激、致敏食物。潰瘍、出血忌溫熱性食物:羊肉、韭菜、姜、胡椒、桂皮等。
