納博特囊腫疾病概述
納博特囊腫示意圖在治療上,應該以藥物和物理治療相結合的原則。選擇高效藥物抗炎的同時,運用婦科物理治療如:微波、宮頸光譜、LEEP刀(是專門針對宮頸病變病人而推出的一種高效的物理療法,可對病變組織進行全面的清除,保留完整的、連續性的標本進行病理組織檢查,無痛、無組織拉扯、炭化現象,不留疤痕,區別與傳統雷射手術後疤痕形成給患者帶來的生育隱患,特別適合未婚、未育的女性。對周圍組織損傷小,保全完整子宮,保留患者的生育能力。一般只需要一次手術就可以了。)、BBT技術等,可在宮頸處直接治療、使炎症消除、達到治標、治本的功效。
治療子宮頸腺體囊腫並不難,一般先要檢查清楚哪一種病菌感染引起了宮頸炎,檢查清楚後針對感染病菌進行相應的治療。對於不易消退的囊腫,可以先將其刺破,之後再用雷射、冷凍等方法將其燒掉。可在醫生指導下,選用適合你的方法治療,但不管哪種方法治療,術後都會出現陰道流黃水,應注意保持外陰部清潔乾燥,在術後4~8周內不可盆浴、性交及陰道沖洗,這樣才有可能完全痊癒。只要慢性宮頸炎治癒且不再復發,則囊腫也不會再生長
納博特囊腫多發生在30-40歲的婦女。發生納博特囊腫後可有痛經、經血量改變、性交痛和不孕等症狀,部分患者可出現月經紊亂。這種痛經服止痛片無效,並呈進行性加重。經血量的改變,既可表現為點滴狀出血,也可經量增多。由於輸卵管粘連,因此會造成不孕。
納博特囊腫囊性腫塊,邊界清晰或不清。如囊腫周圍粘連重,則邊界不清;如囊腫與子宮或周圍組織粘連少,則邊界清晰。囊腫多為中等大小,囊腫內可見顆粒狀細小回聲,是囊液粘稠表現。有時因陳舊性血塊濃縮機化而出現較密集的粗光點圖象,呈混合性腫塊狀。腫塊常位於子宮後側,可見囊腫子宮伴隨症。囊腫自發破裂時,聲象圖示後凹陷,囊腫較前縮小。
子宮頸腺體囊腫是慢性宮頸炎的症狀之一,主要是因為子宮頸腺的腺管口阻塞,於是腺體的分泌物不能很好地排出,而是瀦留在腺體內,形成囊腫。“納囊”全稱為納博特囊腫,即子宮頸腺體囊腫或子宮頸囊腫,醫生檢查時可看到宮頸表面有突出的小囊泡。納博特囊腫可以在沒有誘因情況下自發破裂;粗暴或劇烈的性生活,尤其是經前期性生活,是常見的導致囊腫破裂的重要誘因。
疾病病理
納博特囊腫治療子宮頸腺體囊腫並不難,一般先要檢查清楚哪一種病菌感染引起了宮頸炎,檢查清楚後針對感染病菌進行相應的治療。對於不易消退的囊腫,可以先將其刺破,之後再用雷射、冷凍等方法將其燒掉。可在醫生指導下,選用適合你的方法治療,但不管哪種方法治療,術後都會出現陰道流黃水,應注意保持外陰部清潔乾燥,在術後4~8周內不可盆浴、性交及陰道沖洗,這樣才有可能完全痊癒。只要慢性宮頸炎治癒且不再復發,則囊腫也不會再生長。
腹壁疤痕及臍部的子宮內膜異位症則出現周期性局部腫塊及疼痛。內在型子宮內膜異位症患者往往子宮脹大,但很少超過3個月妊娠。如為後位子宮,往往粘連固定。在子宮直腸窩、子宮骶韌帶或宮頸後壁常可觸及1-2個或更多硬性小結節,如綠豆或黃豆大小,多有明顯的觸痛,肛診更為明顯,這點很重要。卵巢囊腫可長至拳大,由於常有囊腫內容物外溢和異位內膜出血,盆腔臟器粘連加重成冰凍盆腔狀,即是所謂廣泛內異症。病變程度輕重不同時體徵差別很大。
疾病病因
納博特囊腫宮頸納囊形成原因:宮頸納囊形成原因與臉上的“青春痘”相似,是在宮頸糜爛癒合過程中,新生的鱗狀上皮覆蓋宮頸腺管口或伸入腺管,將腺管口阻塞;腺管周圍的結締組織增生或瘢痕形成壓迫腺管,使腺管變窄甚至阻塞,腺體分泌物引流受阻,滯留形成的囊腫叫宮頸納氏囊腫。
慢性宮頸炎除了有宮頸糜爛、宮頸息肉等疾病之外還有一種是宮頸納氏囊腫,又叫做宮頸腺體囊腫,簡稱為“宮頸納囊”。
臨床表現
檢查時可以看到宮頸表面突出多個大小不一的青白色囊泡(並非紫色),內含黏液,小的有米粒大,大的有玉米粒大,有的可以長得很大,突出於宮頸表面,甚至到達陰道口,根部與宮頸之間有蒂相連,常合併有宮頸肥大。在慢性宮頸炎時,子宮頸腺體及周圍組織都增生。由於慢性炎症的長期刺激,宮頸組織反覆發生充血、水腫,炎性細胞浸潤及結締組織增生,致使子宮頸肥大(cervical-hypertrophy),嚴重者可較正常子宮頸增大1倍以上。炎症痊癒後,充血、水腫減輕或消退,而由於纖維化,宮頸雖已全部被覆鱗狀上皮,表面光滑,但仍維持其已肥大的體積;宮頸腺囊腫亦仍保持其突出的囊狀外形。
當腺管被周圍組織所擠壓,腺口阻塞,使腺體內的分泌物不能外流而瀦留於內,致腺腔擴張,形成大小不等的囊形腫物,稱為“子宮頸腺瀦留囊腫”(retentioncystsofthecervicalglands),又稱納博特囊腫(Nabothiancyst)。
其包含的粘液常清澈透明,但可能由於合併感染而呈混濁膿性。囊腫一般小而分散,可突出於子宮頸表面。小的僅有小米粒大,大的可達玉米粒大,呈青白色,可能伴有糜爛,但亦常見於表面光滑的子宮頸。
宮頸表面有大小不等的清白色囊泡突起,小的如米粒,大的直徑可以超過1厘米。囊腫可以單發,也可以多發,表面光滑。
納囊一般不需要治療,患者也沒有不適的症狀。如果囊腫腺體過大,可消毒後用針挑破,有黃白色液體流出!
引發疾病
納博特囊腫病變周期性直腸刺激症狀:進行性加劇的周期性直腸刺激症狀罕見於其他婦科疾病,是診斷本症最有價值的症侯。直腸、肛門、外陰部墜脹、墜痛、里急後重感和大便次數增多。當病變逐漸加重時,症狀日趨明顯,而經後症狀消失。
不孕:約有50%左右內異症患者伴有不孕,在不明原因不孕患者中,約30-40%患內異症。內異症患有不孕,常因病變造成盆腔腫塊、粘連、輸卵管堵塞卵泡發育不好或排卵障礙等因素引起;而一旦懷孕則異位內膜受到抑制而萎縮,對內異症起到很好的治療,習慣性流產病例中有部分為子宮內膜異位症所致。
月經不調:內異症患者常有月經周期縮短、經量增多或經期延長等現象,說明患者有卵巢功能障礙表現。月經不調可作診斷參考,但在鑑別診斷中並無價值。
性交痛:當存在於陰道穹窿部異位子宮內膜結節、直腸凹陷結節或粘連,或卵巢粘連在盆底時,均可產生性交痛。闊韌帶後葉病灶纖維化增生及收縮明顯時,可以外源性壓迫輸尿管,使其狹窄阻塞,亦可能出現泌尿系統症狀,嚴重的可發生輸尿管積水或腎盂積水。
周期性膀胱刺激症狀:當內異症病變累及膀胱腹膜反褶或侵犯膀胱肌層時,會同時出現經期尿急、尿頻等症狀。若病變侵犯膀胱黏膜(膀胱子宮內膜異位症)則有周期性血尿和疼痛。
經期或行經前後的急腹症:一般為卵巢子宮內膜囊腫,有穿破的特點,多數患者因卵巢囊腫扭轉或宮外孕而急診手術。若不手術而好轉時,盆腔粘連加重,今後還會反覆破裂發生急腹症。
周期性下腹不適:本症狀的出現率高於痛經,無痛經的內異症患者常存在於本症狀。出現於輕症患者,或某些病變雖較重但由於痛閾的個性差異或其他原因,不產生痛經症狀而僅有經期腰酸、下腹墜脹不適感。
慢性納博特囊腫
納博特囊腫掃描電鏡圖慢性宮頸炎是婦女最常見的一種疾病。多由急性宮頸炎轉變而來,在已婚、體虛的婦女更為多見。其病因是由於性生活或分娩時損傷宮頸,使細菌侵入而得病。白帶增多是其主要症狀,通常呈粘稠或膿性粘液,有時帶血或有性交出血,其次是外陰瘙癢、下腹部或腰骶部疼痛,每於性交、經期和排便時加重。
慢性宮頸炎也是宮頸納囊的一種,多於分娩、流產或手術損傷宮頸後,病原體(主要是葡萄球菌、鏈球菌、大腸桿菌及厭氧菌)入侵而引起感染,主要表現為白帶增多。隨著年齡的增大,宮頸逐步萎縮,有些宮頸炎有自愈的傾向。如果沿著子宮骶骨韌帶擴散到盆腔時,可有腰骶部疼痛、性交痛;如有宮頸息肉時,可能出現性交出血。
診斷鑑別
納博特囊腫納博特囊腫是育齡期婦女常見病,多由於宮頸因分娩、流產及手術損傷或局部經長期刺激感染細菌所致,也可由急性宮頸炎轉變而來。納博特囊腫與宮頸癌的發病有一定關係,宮頸腺體囊腫是宮頸慢性炎症時,使腺管及其周圍組織增生並擠壓、堵塞腺口,使腺體分泌物瀦留於內導致腺腔擴張,形成大小不等的囊性腫物而成。
治療子宮頸腺體囊腫並不難,一般先要檢查清楚哪一種病菌感染引起了宮頸炎,檢查清楚後針對感染病菌進行相應的治療。對於不易消退的囊腫,可以先將其刺破,之後再用雷射、冷凍等方法將其燒掉。“納囊”全稱為納博特囊腫,即子宮頸腺體囊腫或子宮頸囊腫,子宮頸腺體囊腫是慢性宮頸炎的症狀之一,主要是因為子宮頸腺的腺管口阻塞,於是腺體的分泌物不能很好地排出,而是瀦留在腺體內,形成囊腫。醫生檢查時可看到宮頸表面有突出的小囊泡。
超聲分析
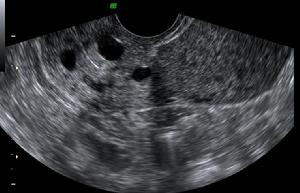
納博特囊腫超聲圖像示:
(1)本組彩色都卜勒顯示宮區宮旁血流豐富。
(2)本組液性暗區最大直徑18mm,最小直徑5mm,伴有子宮肌瘤7例(占14%),卵巢囊腫5例(占10%),盆腔積液10例(占20%),輸卵管積水2例(占4%),子宮次切術後1例(2%)。
(3)子宮頸肥大18例(占37%)。宮頸厚度在30mm以上,個別達到36mm。部分宮頸回聲可增強。
(4)頸部可見單或多個圓形或橢圓形液性暗區。單發19例(占39%),多發30例(占61%),邊界清晰,後方均伴有增強效應,其中5例還伴有囊壁鈣化。
分析:陰道超聲能彌補婦檢的不足,而且其對檢查者又具有操作簡便、診斷準確、針對性強、無創傷等優點。本組聲像圖具有一般囊腫聲像圖特徵,但其也應與子宮頸肌瘤等相鑑別。在聲像圖上子宮頸肌瘤為低回聲,CDFI示可有包膜血流,無囊腫特有的後壁增強效應。總之,陰道彩超能及時準確地查出已婚婦女的宮頸腺體囊腫,為臨床診斷及治療慢性宮頸炎提供了可靠依據宮頸腺體囊腫為宮頸慢性炎症所致,而臨床醫師僅能觀察到宮頸外口表面的小囊腫,但陰道彩超能查出宮頸深部腺體內所發生的瀦留性囊腫。納氏囊腫本身不引起患者自覺症狀,故未引起患者及臨床醫師的重視。隨著人們生活水平的提高,保健意識的增強;自從超聲診斷儀出現,體檢的婦女逐漸增多。上述49例均為體檢者,其中有宮頸炎的31例,有宮頸肥大18例,大致符合納氏囊腫的病因及病理。
治療原則
納博特囊腫納博特囊腫也稱宮頸納氏囊腫,是由於子宮頸慢性炎症的長期刺激,致使宮頸肥大。在宮頸糜爛癒合過程中,新生的鱗狀上皮覆蓋宮頸腺管或伸入腺管,將腺管口阻塞,而腺管周圍的結締組織增生,瘢痕形成均壓迫腺管,使其變窄甚至阻塞,腺體分泌物引流受阻瀦留而最終形成囊腫,形成大小不等的類似米粒至蠶豆大小囊腫,可發生於宮頸表面也可發生於深部腺體內,內含黃白色粘液。臨床醫師用內窺器一般不能查到。
宮頸納囊本身一般不需要治療。如果囊腫較大,可消毒後用針挑破,有黃白色液體流出。要從根本上解決問題,治療的重點應該是治療慢性宮頸炎。
治療方法
如果囊腫小且無任何症狀可以先做觀察,定期到醫院複查。平時注意外陰清潔,一旦發現囊腫感染、迅速增大或有不適症狀要及時來醫院進行治療。正常情況下宮頸表面生長著鱗狀上皮,當宮頸糜爛時,在糜爛面癒合過程中,這種新生的鱗狀上皮就覆蓋在糜爛面上。囊腫小者如小米粒,大者可以長到似蠶豆大小,突出於宮頸表面。透明的囊腫摸到時張力較大、較硬,刺破後有粘液流出。這種腺囊腫也展慢性宮頸炎症,不是惡性腫瘤。但它可合併宮頸肥大、宮頸糜爛或宮頸息肉等,因此應當進行治療。
要從根本上解決問題,治療的重點應該是治療慢性宮頸炎。宮頸納囊是慢性宮頸炎的表現,石家莊燕趙醫院婦產科採用宮糜消融刀治療各時期宮糜炎、宮頸糜爛效果顯著。
宮糜消融刀技術是國際領先的宮頸疾病治療新技術,具有無創、無痛、安全、治療後恢復快、無放射性損傷等優點,利用消融刀良好的組織穿透性,由內向外進入宮頸深處治療,通過與生物組織相互作用後產生的熱效應、空化效應等生物效應,使病變組織脫水、失活、凝固,最後被機體自行吸收排除;同時促進宮頸局部微血管的形成,增加血管內皮細胞膜的通透性,改善宮頸組織生長的微環境,促進宮頸病變組織的修復與再生。另外,專家提示,患有宮頸納囊的患者,不應忽略的是定期作宮頸刮片檢查,以排除惡性病變。
處理:既然是炎症,就不嚴重,但需要強調的是慢性宮頸炎與宮頸癌關係非常密切,在長期炎症刺激下,少數慢性宮頸炎患者具有惡變傾向,故仍需高度關注。主要是每年都要做宮頸塗片檢查,除外宮頸癌及癌前期疾患。
1、對於散在的比較小的宮頸腺囊腫一般不需治療,只要每年檢查即可。
2、對於密集的較小的納氏囊腫或比較大的囊腫,可考慮光療、雷射、微波、自凝刀等物理治療。
3、對於較大的突出於宮頸表面的,可考慮電刀切除治療。
治療方法:
1、藥物腐蝕:搽洗淨宮頸表面,用乾紗塊保護陰道穹窿及陰道壁,用棉棒蘸取10%-20%硝酸銀或重鉻酸鉀溶液,塗於糜爛面上,再用生理鹽水反覆搽洗。於月經乾淨後5-7天上藥,硝酸銀每上藥1-2次,2-4次為一療程。重鉻酸鉀每個月上藥1次。這兩種藥有較強的腐蝕作用,必須在醫院使用。
2、奧平栓治療法:奧平栓又稱α-干擾素栓(因其主要成分是α-干擾素)。用法:患者月經乾淨後2-3天,臨睡前取仰臥位,將一枚奧平栓用推助器置入陰道後穹窿,隔天1次,6次為一療程,下個月月經乾淨後2-3天複查。共用藥1-3療程。用藥期間禁性活。總有率效達到95.3%。有使用方便、副反應小的特點。
3、LEEP刀、凝固刀射頻消融術:對糜爛面比較廣,久治未愈,可選擇此法,一次性治癒,術中創傷小,術後不留瘢痕,是目前最先進的一種方法。
4、物理冶療:認為是目前較好的治療方法,適用於中、重度子宮頸糜爛患者。方法有電熨、冷凍、雷射等。由醫生根據糜爛程度和面積及患者全身情況選用。創面癒合需4-8周,術後注意保持外陰清治,創面未癒合前禁性交、盆浴。方法的選擇:因宮頸糜爛與宮頸癌的發生有密切關係,故患宮頸糜爛者應積極治療。
檢查:主要依婦科檢查專科檢查,亦可藉助於陰道鏡檢查,常規做宮預防癌製片檢查,必要時行宮頸活檢。
疾病預防
宮頸納囊是慢性宮頸炎常見的一種表現。故預防慢性宮頸炎是關鍵。(1)宮頸炎的急性期要加以控制,徹底治療,以防止轉變為慢性宮頸炎。
(2)平素房事有度,避免房勞過度。注意性衛生,配偶要注意清除陰莖的包皮垢。
(3)注意鍛鍊身體,適當注意營養衛生,保障身心健康。
(4)避免分娩時損傷宮頸,如發現宮頸裂傷應及時縫合,並使用抗生素。
(5)定期做婦科檢查,發現宮頸炎症予以積極治療。(6)在治療慢性宮頸炎的過程中應禁止房事。經期停止局部上藥。治療期間要忌食辛辣、油膩之品。
(7)注意經期、流產期及產褥期衛生,經期、產後應嚴禁性交、盆浴,避免致病菌乘虛而入。
(8)實行計畫生育,採取避孕措施,儘量避免多次人流對宮頸的機械性損傷。同時婦科手術操作要嚴格無菌,防止醫源性的感染、損傷。
(9)平時應注意衛生,保持外陰清潔,防止病原菌侵入。
健康保健
心理保健:對於囊腫,思想上應重視,不必憂慮、恐懼,行動上應與醫生配合,定期隨訪。生育保健:
(1)囊腫性質不明。暫緩受孕。
(2)腫瘤性者,應切除後、證實為良性者再生育。否則孕期易變惡性,或阻塞產道,且易扭轉、破裂。
(3)囊腫者,手術摘除後應儘快爭取生育。
(4)納博特囊腫者,如由葡萄胎引起,則應2年後生育。
藥物保健:
(1)利凡諾,用於中期人工流產,妊娠終止後,囊腫即縮小。
(2)天花粉,用於葡萄胎清宮;排出後,囊腫逐漸縮小,張力減低。
護理保健:
(1)密切隨訪囊腫,4-6周后縮小或未增大,繼續隨訪;若囊腫繼續增大,尤其大於5厘米者,則應手術探查。
(2)每次隨訪時,應在月經乾淨後,並排空小便
飲食療法
納博特囊腫飲食保養宜吃食品:宜多吃具有抗外陰腫瘤和白斑作用的食物,如芝麻、杏仁、小麥、大麥、土瓜、烏骨雞、烏賊、烏梢蛇、豬胰、菊花、烏梅、桃子、荔枝、馬齒莧、雞血、鰻魚、鮑魚、蟹、鱟、沙丁魚、文蛤、玳瑁。疼痛宜吃鱟、赤、龍蝦、淡菜、海參、虎魚、甜菜、綠豆、蘿蔔、雞血。瘙癢宜吃莧菜、白菜、芥菜、芋艿、海帶、紫菜、雞血、蛇肉、穿山甲。增強體質、預防轉移宜吃銀耳、黑木耳、香菇、猴頭菇、雞肫、海參、薏米、核桃、蟹、石龍子、針魚。
急性和慢性多有不同程度的尿頻、尿急、尿痛等特徵。其主要食療方法應注意:
1、枸杞20克,當歸20克,豬瘦肉100克,煮湯加其它味料食用。
2、敗醬草20克,桃仁10克,黑木耳10克,水煎服,每日1劑,連服幾天。
3、敗醬草50克,紫草根15克,水煎去渣加入紅糖25克,調勻服食。4、金銀花15克,敗醬草30克,蒲公英20克,赤芍10克,枳殼10克,木香10克,水煎服,每日一劑,連服3-5劑。
5、槐花10克,苡米仁20克,冬瓜仁20克,水煎去渣,取汁,加入大米50-100克,煮粥食用。
