概述
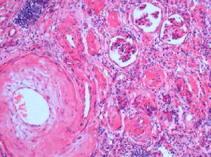
腎萎縮通常對慢性腎衰患者進行腎臟B型超聲檢查,就可以了解腎臟是否患有腎萎縮,而且這種檢查方法對患者沒有損害。腎臟B超的正常值為:左腎長徑8.1~11厘米,橫徑5.5~7厘米,厚度4~5厘米;右腎長徑7.9~10.5厘米,橫徑5.5~7厘米,厚度4~5厘米。
按中國人群的調查,成人腎臟長徑大致為10~12cm,寬5~6cm;老年人的腎臟體積隨年齡的遞增而縮小,調查認為老人腎臟長徑為9.2-11.8cm,小於9.2cm為腎萎縮,大於11.8cm為腎臟增大。
成年人腎實質厚度約1.5~2cm,老年人亦無明顯差異,2.0cm為增厚。一般來說以腎臟長徑加腎實質厚度測量來鑑別急性和慢性腎功能衰竭,符合率達92.6%。患了慢性腎臟病,定期測量腎大小,可助監測病變進展。
倘若測值明顯小,說明已經患腎萎縮,處於終末期,預後不佳,治療效果也差。倘若測值略小或正常,說明是中期或早期,治療效果好,預後良。因而作為從事腎臟病的臨床醫生,了解患者腎臟大小,對分析病情、判斷預後、估計療效均有十分重要的意義。
疾病原因
一般原因

腎萎縮
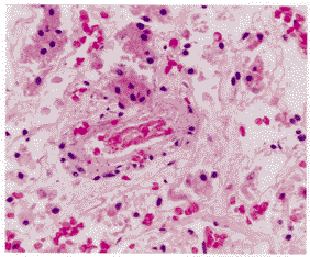
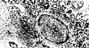
首先得知腎萎縮後需考慮為先天性腎發育不全,其次考慮為末期腎臟疾病,即腎衰竭、尿毒症或某些急性病症。如:急性腎小球性疾病、糖尿病性腎硬變、腎移植排異、慢性腎小球腎炎、腎皮質壞死、Alport綜合徵、急性腎小管壞死、高血壓性腎硬化。
雙側腎臟或一側腎臟縮小多是慢性腎盂腎炎的病因,這也是腎萎縮的一個常見原因。
雙腎縮小一般來說慢性腎病發展到腎功能不全,尤其是腎衰竭、尿毒症時,血肌酐、尿素氮升高,腎臟損傷嚴重,腎臟實質受到傷害,腎臟會縮小。所以提醒腎萎縮病人一定要對此引起高度重視,腎臟疾病隱匿性很強,如果腎小球濾過率低於50%,即腎臟損傷嚴重時臨床症狀才相應產生。腎萎縮確診後一定要積極的查找原因,以便排查病情。
其他原因
此外,腎萎縮原因還有兩點:腎結核(單側腎臟縮小,伴對側腎臟積水或代償性增大)、腎動脈狹窄及先天性發育不全。
結語
一般來說,腎萎縮與長時間腎臟疾病息息相關,由於腎臟類疾病導致腎單位,尤其腎小球受損,使整個腎臟出現體積縮小。腎萎縮和腎功能改變是相輔相成的,當患者出現腎萎縮時已經或者必然會出現腎功能不全及至腎功能衰竭--尿毒症。以此希望腎萎縮患者對該病引起重視,及早及時的做個全身性檢查以排除腎功能衰竭的可能性,以免耽誤病情。腎萎縮症狀
腎萎縮患者會出現噁心嘔吐,乏力,貧血等。繼續惡化將發生尿毒症。腎萎縮病人還會臉腿浮腫,出現了皮膚瘙癢的症狀,並且還可能伴有腳部浮腫,有的患者還會腰疼得厲害,不能長期久坐。腎萎縮是由於長期腎臟出現問題,勞累過度引起,患了腎萎縮,腿腳有腫的現象,血壓也會隨病情加重而升高高。身體也會漸漸消瘦下去。腎萎縮患者還可能會有血尿,血尿是指尿中紅細胞排泄異常增多,是泌尿系統可能有嚴重疾病的訊號。離心沉澱尿中每高倍鏡視野≥3個紅細胞,或非離心尿液超過1個或1小時尿紅細胞計數超過10萬,或12小時尿沉渣計數超過50萬,均示尿液中紅細胞異常增多,則稱為血尿。輕者僅鏡下發現紅細胞增多,稱為鏡下血尿;重者外觀呈洗肉水樣或含有血凝塊,稱為肉眼血尿。通常每升尿液中有1mL血液時即肉眼可見,尿呈紅色或呈洗肉水樣。
了解了腎萎縮的症狀,在出現某些異常時我們就應該到醫院進行腎臟B型超聲檢查了解腎臟是否患有腎萎縮,這對腎臟的治療有著十分重要的意義。
臨床特點
腎萎縮(1) 對側腎臟代償性增大不常見,但腎血流量多數增強。
(2) 單側腎萎縮本身不引起高血壓,如先天性腎發育不良、腎自截、腎結核、慢性腎盂腎炎不伴高血壓,但腎動脈狹窄因激活腎素-血管緊張素-醇固酮系統而使血漿腎素水平升高,引起高血壓常見。
(3) 腎動脈狹窄伴患肢足背動脈搏動減弱或消失並不常見。
(4) 腎動脈狹窄經DSA擴張術後,萎縮腎臟血流明顯增加,腎臟較前明顯增大,可見部分萎縮腎臟具有可逆性。
(5) 腎動脈嚴重狹窄,探及不到血流,但通過側枝循環使腎臟保持良好血供,不致病腎嚴重萎縮。
(6) 在同位素腎圖上,病腎顯影延遲,排泄減慢,以排泄功能異常為先出現。腎血流明顯減少或消失。
臨床分析
判斷腎萎縮的標準

正常腎
成年人腎實質厚度約1.5~2cm,老年人亦無明顯差異,2.0cm為增厚。據調查以腎臟長徑加腎實質厚度測量鑑別急性和慢性腎功能衰竭,符合率達92.6%。患了慢性腎臟病,定期檢查腎大小,可助監測病變進展。
單側腎萎縮臨床特點
(1)對側腎臟代償性增大不常見,但腎血流量多數增強。(2)單側腎萎縮本身不引起高血壓,如先天性腎發育不良、腎自截、腎結核、慢性腎盂腎炎不伴高血壓,但腎動脈狹窄因激活腎素-血管緊張素-醇固酮系統而使血漿腎素水平升高[4],引起高血壓常見。
(3)腎動脈狹窄伴患肢足背動脈搏動減弱或消失並不常見。
(4)腎動脈狹窄經DSA擴張術後,萎縮腎臟血流明顯增加,腎臟較前明顯增大,可見部分萎縮腎臟具有可逆性。
(5)腎動脈嚴重狹窄,探及不到血流,但通過側枝循環使腎臟保持良好血供,不致病腎嚴重萎縮。
(6)在同位素腎圖上,病腎顯影延遲,排泄減慢,以排泄功能異常為先出現。腎血流明顯減少或消失。
單側腎萎縮臨床意義
臨床上單側腎萎縮並不罕見,患者常以高血壓、腰酸等症狀就診,行B超或KUB、IVP等檢查時可發現。除原發病症狀外,無明顯血尿、蛋白尿、腎功能正常,但若在勞累、感染,特別是尿路感染、尿路梗阻、損害腎功能藥物套用等誘發下,腎功能可能迅速惡化,若干年後雙腎萎縮,應引起臨床醫師重視。治療措施
1、菸酒必須戒除,也要注意休息。
2、如果單側腎萎縮,可以考慮手術切除。
3、肌酐的增高,可以透過透析來解決,控制蛋白質食物的攝入等。
4、腎萎縮的原因很多,包括各種制病因素如各種腎病、腎血管病、腎外傷等得不到有效的治療都會引起腎萎縮,簡單的說各種腎病的發展都是腎臟不斷的纖維化的過程,最後腎臟表現為萎縮、縮小,建議抗纖維化治療。
治療步驟
腎萎縮--切片腎萎縮治療進展
各類腎病發展到腎衰竭、尿毒症後,腎臟也隨之萎縮,在腎病臨床領域對於腎萎縮治療一直持有悲觀情緒,認為腎萎縮治療無任何好的方法,只能慢慢拖延直至腎臟功能全部喪失以腎移植來維持生命。但隨著中國腎病醫療事業的發展,腎病學術界對於腎萎縮治療前景也逐漸樂觀。腎萎縮治療治病要尋根
要找到有效治療腎萎縮的方法,需要探究腎萎縮產生的根本性原因。腎臟受到外界的侵襲,炎症反應發生、細胞表型轉化導致腎臟纖維化的逐漸發生與進展,從而腎臟實質受到損害,腎臟也隨之縮小。而對腎萎縮治療也應該把治療重點放在如何阻止腎臟纖維化上,這一觀點的確立與腎病年會的精神不謀而合。隨著腎臟纖維化理論被普遍接受,石家莊腎病醫院治療腎萎縮的方法也被更多的專家所支持並推崇。腎臟纖維

腎臟纖維
減少ECM的合成增加其降解作用,腎臟受損組織就還有可能得以部分修復,腎功能也可以逐漸的恢復,肌成纖維細胞和免疫複合物的凋亡,阻斷其繼續合成和分泌增ECM,增加腎臟內降解酶的生成,增強其對ECM的降解活性,減少ECM對腎臟組織的破壞,逐漸逆轉受損的腎臟功能。
腎萎縮產生的原因大多數為腎臟類疾病未得到有效治療而導致,腎萎縮與腎臟疾病的密切關係指出腎萎縮和腎功能改變是相輔相成的,當患者出現腎萎縮時已經或者必然會出現腎功能不全及至腎功能衰竭--尿毒症。
治療
腎萎縮--治療在腎萎縮治療上的總則是微化中藥治療為主,西醫對症治療為輔。
首先激活系膜細胞,阻止其繼續增生;抑制膠原細胞活性再生,修復斷裂的基底膜,增加機械屏障的濾過面積,恢復正常通透性。
其次,修復基底膜的電荷屏障功能,微化活性物質的分子鏈,與基底膜有極強的融合性,其斷裂的分子鏈帶有正電荷與病損細胞分別結合後,再次穩定下來,其效能就是促進基底膜上的硫酸類肝素和唾液酸蛋白的合成,抑制其分解,從而保持了基底膜陰電荷屏障功能,減少蛋白漏出,增加毒素排除。
再次,重組與重建機制參與腎小球的修復。微化活性化後其它斷裂的分子鏈之間相互重組,產生新功能,組成新分子,修復受損細胞的DNA,促進血液加速,增強新陳代謝;促進受損腎臟組織細胞修復與再生,受損腎臟結構改變後,受損的腎功能逐漸恢復。
1、中醫排毒療法
中醫排毒療法為純中藥系列方劑,是鄭州華仁醫院腎病中心專家,經過長時間的探索,勤求古訓,博採眾方,以純天然中藥研製而成。對各種腎病的治療,採用“中醫排毒療法”的方法,對症用藥,隨症加減,通過活血化瘀,益腎排濁、祛風除濕,清熱解毒的方法,改善腎血流量,增強腎小管排泄,促進纖維蛋白溶解,減少血小板凝聚,有利於增生性病變的轉化和吸收。可促進廢用腎單位逆轉,修復已損組織,抑制腎小球萎縮,增加腎小球濾過濾,減少球內纖維蛋白滲出,延長受損腎小球存活率,改善腎小球毛細血管通透性,抗滲出,抗新月體形成,抑制結締組織增生,降低血肌酐和尿素氮,糾正貧血和酸中毒,糾正貧血和酸中毒,抑制腎小球萎縮,祛除蛋白尿,糾正潛血等,適用於各種腎病,如慢性腎小球腎炎、隱匿型腎炎,紅斑狼瘡腎,過敏性子癜腎,腎病綜合徵,腎功能不全,尿毒症等,以及先天性多囊腎、腎結石等,通過辨證施治,可取的理想的療效。
腎萎縮的症狀以上腹部為主,表現為上腹部疼痛,因為胃黏膜萎縮後,胃消化功能會減退,胃排空功能障礙後會出現上腹部脹滿感,進食後脹滿感會加重,引起食慾減退,嚴重的還會導致體重減輕。
中醫認為腎萎縮是因感受外邪、飲食不當、情緒失調、脾胃虛弱引起的。脾胃主管飲食消化、營養吸收,起著維持人體氣息升降的作用,當脾胃虛弱後就會出現食慾減退、氣息瘀滯等一系列腎萎縮的症狀。
純天然中藥腎萎縮癌變的機率很小,從淺表性胃炎到腎萎縮到腸化到隱性增生到胃癌的過程很長,如果腎萎縮合併中度腸化觀察10-15年,癌變的機率為6%左右。
辨症論治是中醫的特色,就是根據病人個體化的情況,針對選擇不同的治療方法,如果病人出現上腹部隱痛、脹痛、喜溫喜按、神疲乏力、食慾減退、進食後腹張、容易腹瀉、舌質淡、舌邊有齒印、舌苔薄白、脈細等症狀時,則判斷為脾胃虛弱證,可採取益氣健脾的方法進行治療,可服用方劑:六君子湯、黃芪建中湯。如果病人出現上腹部脹痛(連及兩脅)、胸悶不暢、噯氣較多、喜嘆息、症狀的發作與加重與情志關係較為顯著、舌苔薄白、脈弦等症狀時,則判斷為肝胃不和證,可採取疏肝和胃的方法進行治療,可服用方劑:柴胡疏肝散。
如果病人出現上腹部隱痛或灼痛、病史久而經常發作、飢不欲食、口乾不欲飲、大便乾燥、舌紅少津、有裂紋、苔花剝或光紅無苔、脈細數等症狀時,則判斷為胃陰不足證,可採取養陰益胃的方法進行治療,可服用方劑:益胃湯、一貫煎。如果病人出現上腹部灼熱、脹痛、滿悶、不思飲食、口渴不欲飲水、口苦口粘、大便不爽、舌質紅、苔黃膩、脈弦滑等症狀時,則判斷為脾胃濕熱證,可採取清熱化濕的方法進行治療,可服用方劑:芩連平胃散。
中醫治療腎萎縮一般3個月為1個療程,治療約需2-3個療程,如果胃鏡復檢沒有症狀就可以不再服藥了。服藥後生活應有規律,應吃易消化的食物,不要吃有刺激性的食物,應該適當補充營養,建議少抽菸,還要注意飲食衛生,另外堅持治療,定期複查也很重要。症狀較輕則建議1-2年複查一次,如果症狀較重則建議3-6個月複查一次
2.“靈草活腎湯”系列方劑通過以下方法酌情治療
“靈草”系列方劑(2)灌腸:截流毒素不到腎臟,直接把毒素從消化道排出,讓腎小球外基質的堆積減少,恢復腎小球濾過功能,讓腎功能運轉。
(3)外敷腎區:透熱理療,溫經活血,促進腎臟組織微循環,讓壞死腎組織得到激活。
(4)泡腳:通過足底十二經絡達到活血化瘀,通經活絡,使腎血流量增加。
“靈草活腎湯”具有以下三大因子:
(1)“清毒因子”能迅速清除腎內毒素,改善腎組織的環境。
(2)“膜修復因子”則能修復受損的腎組織及復甦運轉失調的細胞膜,滌除腎小球外基質的堆積,恢復腎小球濾過功能。
(3)“活腎因子”則通過提高免役力對抗、干擾多肽生長因子的基因表達,並最終達到逆轉腎小球周圍間質纖維化,使病變部分腎組織恢復正常功能,最終達到恢復腎功能。
飲食須知
牛奶2、脂肪則應考慮食用單一不飽和脂肪酸多的食物,如植物性油。限制水分、鹽分的攝入,以免加重腎臟的負擔造成水腫。
3、避免食用含鉀太多的食物,如香蕉、乾燥的水果、牛肉、豬肉、沙丁魚、豆醬、生菜、小麥等。
4、多吃深綠色蔬菜等。
嚴格的說,腎萎縮是很難治的疾病,如果由於其他疾病引起的,在腎功能損害很很小的情況下,徹底治療原發病,是可以控制和緩解的,象你
母親的情況,已經很難治癒,只有注意生活起居,進行透析,來減緩病情的加重。最後,可以通過換腎治療。

