基本概述
中耳乳突間有黏膜相連續,中耳化膿感染後乳突黏膜亦相應有
急性化膿性乳突炎診斷依據
急性化膿性中耳炎鼓膜穿孔流膿後、臨床表現無改善或反而加重者,多應考慮本病。患者如有耳痛、耳周腫脹或
急性化膿性乳突炎病因
金黃色葡萄球菌臨床表現:1.急性化膿性中耳炎的各項症狀在恢復期中未持續消減,反而加重。2.乳突部腫脹、壓痛。3.骨性外耳道後上壁紅腫、塌陷。4.鼓膜充血、腫脹、膨隆,穿孔小或膿粘稠引流不暢。
病狀體徵
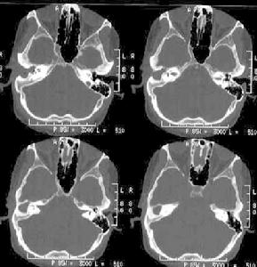
中耳炎鼓膜穿孔流膿後症狀體徵反而加重者多為突感染所致乳突X線攝片或CT掃描可見乳突區混濁或有骨質破壞乳突氣化程度不同發炎後表現亦有不同
(一)氣化乳突小房骨片很薄易於壞死融合形成大空腔稱為融合性乳突炎如為毒性較強之溶血性鏈球菌和溶血性流行性感冒桿菌感染常致黏膜血管栓塞出血壞死小房充滿血性分泌物而骨壁未遭破壞稱為出血性乳突炎
(二)間質型(板障型)乳突骨小房少皮層較厚且有骨髓結構感染後形成骨髓炎炎症經久不消因引流不暢易並發顱內感染
(三)硬化型(堅質型)乳突小房很小呈象牙樣結構感染後既不易引流亦不易形成骨質破壞常引起黏膜組織增生鼓膜鬆弛部充血壞死形成膽膽瘤
【臨床表現】
中耳炎後流膿增多耳後溝紅腫壓痛耳廓聳向前方壓外耳道口後方麥三角區劇痛鼓膜鬆弛部充血水腫耳鳴耳聾不見好轉
診斷檢查
乳突骨小房模式圖乳突氣化程度不同發炎後表現亦有不同
(一)氣化乳突小房骨片很薄,易於壞死,融合形成大空腔,稱為融合性乳突炎。如為毒性較強之溶血性鏈球菌和溶血性流行性感冒桿菌感染,常致黏膜血管栓塞出血壞死,小房充滿血性分泌物,而骨壁未遭破壞稱為出血性乳突炎。
(二)間質型(板障型)乳突骨小房少皮層較厚,且有骨髓結構,感染後形成骨髓炎,炎症經久不消,因引流不暢易並發顱內感染。
(三)硬化型(堅質型)乳突小房很,小呈象牙樣結構,感染後既不易引流,亦不易形成骨質破壞,常引起黏膜組織增生,鼓膜鬆弛部充血壞死,形成膽膽瘤。
乳突一般可檢查血象、乳突相或加膿液細菌培養加藥敏,需行乳突鑿開術者可選擇檢查框限“A”及“B”,疑顱內併發症可選擇“C”。中耳炎鼓膜穿孔流膿後症狀體徵反而加重者,多為突感染所致。乳突X線攝片或CT掃描,可見乳突區混濁或有骨質破壞.聽力學檢查及X線檢查雖有助於診斷,但並不具有特異性,而CT檢查無論是對診斷或對手術治療均有指導意義。本病多由急性化膿性中耳炎發展而來,及早使用足量有效抗生素是治療及預防本病關鍵,若保守治療2-3天炎症未能控制,乳突骨質有破壞,可能發生其他併發症時應立即行單純乳突鑿開術。
臨床表現
中耳炎後流膿增多,耳後溝紅腫壓痛,耳廓聳向前方,壓外耳道口後方麥三角區劇痛,鼓膜鬆弛部充血水腫。耳
乳突中耳炎鼓膜穿孔流膿後症狀體徵反而加重者多為突感染所致。乳突X線攝片或CT掃描,可見乳突區混濁或有骨質破壞
乳突氣化程度不同發炎後表現亦有不同。
(一)氣化乳突小房骨片很薄易於壞死融合形成大空腔,稱為融合性乳突炎。如為毒性較強之溶血性鏈球菌和溶血性流行性感冒桿菌感染常致黏膜血管栓塞,出血壞死,小房充滿血性分泌物而骨壁未遭破壞,稱為出血性乳突炎。
(二)間質型(板障型)乳突骨小房少皮層較厚且有骨髓結構,感染後形成骨髓炎,炎症經久不消因引流不暢易並發顱內感染。
(三)硬化型(堅質型)乳突小房很小呈象牙樣結構,感染後既不易引流亦不易形成骨質破壞,常引起黏膜組織增生鼓膜鬆弛部充血、壞死,形成膽膽瘤
治療措施
急性期治療同急性化膿性中耳炎,如經合理治療一個月不見好轉,或高熱體溫不下,耳後紅腫,外耳道後壁塌
急性化膿性乳突炎手術方法:小兒全麻,成人可局麻。用1%普魯卡因或利多卡因,加少許1‰腎上腺素。用球後注射針頭沿耳道口內骨軟骨交界處作環狀浸潤麻醉,再改用7號針頭作耳後乳突區皮下浸潤麻醉,沿耳後上起耳廓上緣後0.5cm,下距耳溝後1.5cm左右,到乳突尖部,作弧形切口,小兒乳突發育差,切口不應過前、過低,以免傷及面神經。切開骨膜,分離出乳突,用鑿或電鑽沿外耳道後上棘後方篩狀區鑿開,此區為馬克西溫三角,尖朝後上,上界為顴弓後根,向後水平連線,前下為外耳道後上棘,後為外耳道口後緣。由此與外耳道後壁平行向前內鑿開,成人深約1cm,小兒2~4mm,即入鼓竇空腔內。由此將病變小房、黏膜、肉芽及死骨片等一併除淨,尤其是鼓竇入口內肉芽,一定要清除,建立引流。但勿擾動聽骨及鼓室結構,勿剝離外耳道皮膚,以免影響聽力和形成耳道瘺管或狹窄,向前下勿損傷半規管和乳突段面神經。手術完成後的乳突腔應為 健康 的光滑的骨腔,前界為鼓竇入口和外耳道後壁,上界為腦膜板,後界為乙狀竇板,如疑有顱內併發症,應將腦膜板及乙狀竇鑿開少許,探查有無肉芽及膿腫。術後沖洗止血,填塞碘仿紗條,逐層縫合切口,紗條尾端留置腔外以便於抽出。術後5~7天抽出紗條,術後2~3天更換敷料,並繼續全身套用廣譜抗生素治療,1~2個月後乳突腔即由血塊和肉芽充填,中耳感染可望治癒。
病理改變
乳突氣化程度不同,發炎後表現亦有不同。
急性化膿性乳突炎(二)間質型(板障型)乳突骨小房少,皮層較厚且有骨髓結構,感染後形成骨髓炎,炎症經久不消,因引流不暢易並發顱內感染。
(三)硬化型(堅質型)乳突小房很小,呈象牙樣結構,感染後既不易引流亦不易形成骨質破壞,常引起黏膜組織增生,鼓膜鬆弛部充血、壞死,形成膽膽瘤。
預防
富含營養的食物1.應提高病人身體健康素質,加強營養,提供充足的蛋白質與維生素飲食。加強抵抗力淵撇緊急山料,保持敷料整潔直至傷口癒合。
2.急性乳突炎發生後,在一定時間內將自行潰破,向外擴展,應及時去醫院施行單純乳突鑿開術,將其中耳、乳突處的化膿物質引流物清除乾淨,以防向外擴展,形成耳後膿腫,向內擴展形成腦膜炎等顱內併發症。
3.預防急性乳突炎的發生,在於積極、及時地治療急性中耳炎。
