急性化膿性中耳炎病因
(一)咽鼓管感染 止呼吸道感染後,鼻咽部分泌物可因擤鼻、吞咽及嘔吐等進入鼓室,也是造成中耳炎最多見的途徑。小兒發病率高的原因:
病因 猩紅熱2、小兒咽鼓管較成人相對短而直,比較水平,分泌物易於經此管道進入鼓室;
3、小兒多仰臥吮乳,特別是人工餵乳時,嘔吐物和多餘的乳汁甚易流入鼓室;
4、小兒多患增殖體肥大和管周淋巴結炎,易阻塞咽鼓管口,妨礙引流而致發炎;
5、小兒處於萌牙期,經常食欲不振,局部腫脹,局部腫脹,抵抗力減弱,易於感染其他疾病;
6、先天性唇裂、齶裂致齶咽功能不良,易引起咽鼓管感染,而鼓室內黏膜下胚性組織多,抗感染力弱。增殖體、鼻息肉等手術,由於出血和填塞物過久,亦易引起鼓室感染。
(二)外耳道感染 比較少見,如戰時火器震傷,挖耳損傷,拳擊和跳水引起鼓膜破裂後感染。嚴重的外耳道炎,久之鼓膜糜爛潰破亦可引起鼓室感染。
(三)血行感染 最少見,急性重度傳染病和膿毒血症,細菌經動脈直接進入鼓室,亦可由靜脈血栓感染而進入鼓室。
急性中耳炎早期病毒抗體滴定往往升高,可能為腺病毒和流感病毒感染,繼而細菌侵入,小兒多是肺炎球菌、溶血性流行感冒桿菌和β溶血性鏈球菌,成人多為溶血性鏈球菌、金黃色葡萄球菌和變形桿菌等。稍晚,鼓膜穿孔,即成混合感染。
發病機制
主要的致病菌侵襲途徑包括以下幾種:1.咽鼓管途徑最常見。
(1)急性上呼吸道感染時:如急性鼻炎、急性鼻咽炎、急性扁桃體炎等,炎症向咽鼓管蔓延,咽鼓管黏膜充血、腫脹、纖毛運動障礙,局部免疫力下降,致病菌侵入中耳。
(2)急性傳染病期間:如猩紅熱、麻疹、百日咳、流行性感冒、肺炎、傷寒等,致病微生物可以經咽鼓管侵入中耳;亦可經咽鼓管發生其他致病菌的繼發感染。
(3)在不潔的水中跳水、游泳,不適當的擤鼻、咽鼓管吹張、鼻腔沖洗及鼻咽部填塞等,致病菌可循咽鼓管侵犯中耳。
(4)嬰兒哺乳位置不當,如平臥吮奶,乳汁可經短而寬的咽鼓管流入中耳。
2.外耳道-鼓膜途徑因鼓膜外傷、鼓膜穿刺或置管時污染,致病菌可從外耳道侵入中耳。
3.血行感染極少見。
臨床表現
開始咽鼓管黏膜發炎,咽口阻塞,鼓室內氧被吸收變成負壓,鼓室大量滲液,成為細菌培養基,細菌進入大量繁殖。早期鼓膜內陷,暗灰色,繼而充血外凸,動脈被壓血流阻斷,鼓膜中央壞死穿破流膿。從感染到鼓膜穿孔流膿,一般需5~7天,個別細菌毒性較強,2~3日即破潰流膿。
(一)咽鼓管阻塞期 鼓膜內陷,出現低調耳鳴,輕度傳音性耳聾,小兒不能述說,但感耳內不適,影響正常玩耍。錘骨柄充血、突出,而位置較水平,短突翹起明顯似骨刺,早期鼓室內有滲液,通過鼓膜偶可見到氣泡或液平面。此期常被病人認為是感冒。
急性化膿性中耳炎(二)化膿前期 鼓膜呈輻射狀向心性充血,錘骨柄變成紅色棒狀,繼之鬆弛部紅腫外凸,很快整個鼓膜變紅凸起。此期小兒出現高熱、驚厥,搖頭抓耳,哭鬧不安,常有腹瀉、嘔吐,常被誤診為胃腸疾病。成人有明顯耳鳴、耳聾和劇烈耳痛,發熱達38~40℃。此期如積極進行有效的抗生素治療,還可逐漸平復,否則即進入化膿階段。
(三)化膿期 鼓室大量蓄膿,鼓膜極度外凸膨隆,錘骨形消失。有跳動性耳鳴,嚴重耳聾,劇烈耳痛,可放射到上頜牙齒和顳頂部,外耳道口後壁麥氏三角即乳突竇區明顯壓痛,小兒高熱,拒食躁動,出現面色灰白等中毒現象。
(四)消散期 感染4~5天后,鼓膜中心黃變壞死,最後穿破流膿。初為漿液,後為粘膿和純膿。穿孔由中央小孔變成腎形大穿孔。一旦穿破流膿,除耳鳴、耳聾外,一切症狀頓然消失,體溫恢復正常,小兒可以吃乳入睡,成人可得正常工作。
【主要症狀】為耳痛、耳漏和聽力減退,全身症狀輕重不一,嬰幼兒不能陳述病情,常表現為發熱、哭鬧不安、抓耳搖頭,甚至出現嘔吐、腹瀉等胃腸道症狀。因此,要詳細檢查鼓膜,以明確診斷。臨床症狀及檢查所見隨病理改變而不同,一般分為以下四期:
1.急性化膿性中耳炎1.早期(卡他期):鼓室黏膜充血水腫、血管擴張,腺體分泌增加,鼓室內有漿液性炎性滲出物。自覺耳堵塞感、輕度聽力減退和輕微耳痛,一般無明顯全身症狀,或有低熱。檢查:鼓膜鬆弛部充血、緊張部周邊及錘骨柄可見放射狀擴張的血管,此期為時不久,常被忽視,特別是小兒更不易覺察。
2.中期(化膿期):炎症繼續發展,鼓室黏膜充血腫脹加重,漿液性炎性滲出物轉為粘膿性及膿性。症狀隨之加重,耳痛劇烈,呈捕動性跳痛或刺痛,可向同側頭部或牙齒放射。聽力減退顯著。全身症狀亦明顯,可有畏寒流、發熱、怠倦、食慾減退。小兒哭鬧不安,體溫可高達40°C。驚劂,伴嘔吐、腹瀉等消化道症狀。
檢查:鼓膜瀰漫性充血,伴腫脹,向外膨出,初見於後上部。後漸全部外凸。正常標誌難以辯認。血象:白細胞總數增多,中性白細胞比例增加。
3.晚期(穿孔期):鼓室積膿增加,鼓膜毛細血管受壓,出現小靜脈血栓性靜脈炎,局部壞死潰破。致鼓膜穿孔,膿液由此外泄。由於膿液得以引流,局部症狀和全身症狀亦隨著改善,耳痛減輕,體溫下降。耳漏初為血水樣,後為粘膿性或膿性。
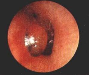
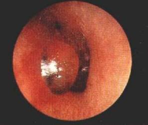
檢查:鼓膜穿孔前,局部先出現小黃點。穿孔開始一般甚小,不易看清,徹底清潔外耳道後,方可見到鼓膜穿孔處有閃爍搏動的亮點,有膿液自該處湧出。聽力檢查呈傳導性聾。
急性傳染病並發的急性化膿性中耳炎,病變可深達骨質,稱急性壞死性中耳炎,表現膿臭、鼓膜大穿孔。
4.恢復期:鼓膜穿孔引流通暢後,炎症逐漸消退,鼓室黏膜恢復正常,耳流膿逐漸消失,小的穿孔可自行修復。
檢查:可見鼓膜緊張部小穿孔,外耳道內有膿性分泌物或乾燥。
症狀體徵
主要症狀如下:
1、耳痛多數病人鼓膜穿孔前疼痛劇烈、也不成眠;如為搏動性跳痛或刺痛,可向同側頭部或牙齒放射,鼓膜穿孔流膿後耳痛減輕。少數病人可無明顯耳痛症狀 。
2、聽力減退及耳鳴病程初期病人常有明顯耳悶、低調耳鳴和聽力減退。後期鼓膜無穿孔後耳聾反而可能減輕。耳痛劇烈者,聽覺障礙彰被忽略。有的病人可伴眩暈。
3、流膿鼓膜穿孔後耳內有液體流出,初為血水膿樣,以後變為膿性分泌物。
4、全身症狀輕重不一。可有畏寒、發熱、倦怠、納差。小兒選深症狀較重,常伴嘔吐、腹瀉等類似消化道症狀。一旦鼓膜穿孔,體溫即逐漸下降,全身症狀明顯減輕。
5、患兒表現煩躁不安、哭鬧,雙手抓耳撓腮。伴有耳鳴和聽力下降,但常被耳痛掩蓋。至化膿期間,一旦鼓膜穿孔,則兒童頓減。可見耳溢膿,初為血水,後為粘性膿液,體溫逐漸恢復正常。若耳流膿後症狀不緩解或緩解後發熱及耳痛復又加重,則應警惕併發症的發生。
診斷
根據病史和體徵,成人診斷較易,小兒則較困難,一是缺乏耳症狀史,表現為嚴重的胃腸道反應,二是小兒外耳道狹窄,鼓膜不易查見。如遇小兒高熱,適在上呼吸道感染之後發生,常有搖頭抓耳動作,應想及此病。首先應檢查有無咽部感染和萌牙現象,耳區有無壓痛和腫大淋巴結。小兒鼓膜肥厚,其光錐和充血很難查見,即使輕度充血也可能是哭鬧過久和萌牙期的反應,必要時應進行鼓室穿刺鑑別。
鑑別診斷
急性鼓膜炎(二)急性鼓膜炎 常並發於流行性感冒和耳帶狀皰疹,鼓膜充血形成大炮,有劇烈耳痛,但無穿孔及流膿現象,聽力損失不重,血象白細胞不增多。
治療
早期咽鼓管阻塞時,套用氯黴素、麻黃素液滴鼻收斂咽口,並令患者作吞咽和打呵欠動作,以使咽口張開通氣,忌行捏鼻吹張和咽鼓管導管通氣。耳痛者可給止痛藥,可給複方新諾明口服預防細菌感染。細菌感染後進入化膿前期,出現耳痛、發熱,應及時套用青黴素80萬u肌注,一日兩次,或400萬~800萬u靜脈滴注。治療一周,80%病人可以治癒。紅黴素及交沙黴素口服亦有效。治療無效多因染耐藥性球菌或桿菌所致,應及時更換藥類。如鼓室蓄膿過多,鼓膜外凸很甚,高熱劇痛,膿液即難以由咽鼓管排向咽部。小兒咽鼓管短粗,早期偶有可能排除,可滴1%~2%石炭酸甘油,以消炎止痛。除繼續採用大量廣譜抗生素治療外,應考慮排膿措施:
鼓室穿刺抽膿(二)鼓膜切開 小兒採用全麻,成人可用包寧液表面麻醉,亦可用1%~2%利多卡因外耳道周圍神經阻滯麻醉。病人取側臥或仰臥側頭位,消毒外耳道和鼓膜表面,插入粗耳鏡,於明視下或顯微鏡下將鼓膜切開刀插入耳道內,由鼓膜後下切向前下2~3mm,不可插入過深,以免傷及鼓岬黏膜及聽骨。然後用吸引器抽吸膿液,並可用上述藥液沖洗。鼓膜切開刀有時不夠銳利,難以一次順利切開,有時易損傷聽骨鏈,甚至有報告損傷面神經者,特別是1~2歲小兒很難操作,現多用穿刺法代替之。
鼓膜穿孔後治療:鼓膜穿孔後除繼續大量廣譜抗生素治療外,局部用藥非常重要。如治療不當和引流不暢,繼續流膿不止達一月以上,便成為慢性中耳炎。
局部用藥原則:
1、耳用滴劑 通常有水、酒精和甘油製劑,內溶有廣譜抗生素,如青黴素、氯黴素、紅黴素及多粘菌素等,忌用新黴素、慶大黴素、鏈黴素等耳毒性藥物。可溶有硼酸、硼砂、石炭酸和磺胺等,亦可溶有中草藥如黃連素、地黃等。用藥時患耳朝上側臥,先用3%雙氧水清洗,拭淨後再滴用製劑,一定要堅持一日2~3次清洗滴藥。滴藥後可按壓耳屏向耳道口內,或以手掌按壓耳門,促使藥液進入鼓室內。同時可作多次吞咽動作,以利藥物進入鼓室。早期膿液較多,應選甘油或水溶液製劑,晚期宜選用酒精或水溶液滴劑,以促進消炎乾燥。忌用有色藥液如
局部用藥 紅黴素2、耳用粉劑 膿液很少,為促進早日乾燥,可噴撒粉劑,如氯黴素、硼酸粉、碘胺和強的松等,忌大量使用,以免與膿粘結成塊,阻塞引流,誘發顱內併發症。
3、全身治療應根據膿培養及藥敏試驗,採用有效的抗生素治療,應大劑量,以保持血內高濃度,最少套用一周以上。亦可服用中藥,切忌用藥量小,時間短,更換頻繁,以免細菌產生耐藥性,使病程延長,或形成隱蔽性中耳炎,一時好轉,短期內又再度惡化。如治療恰當,85%~90%病人在兩周內中望痊癒,小穿孔可能癒合,聽力恢復正常。大穿孔中以進行手術修補。
治療方案
控制感染,通暢引流,去除病因為其治療原則。1、全身治療及早套用足量抗生素或其他抗菌藥物控制感染,務求徹底治癒。一般可用青黴素類、頭孢軍素類等藥物。如早期治療及時得當,可防止鼓膜穿孔。規模穿孔後取膿液作細菌培養及藥敏試驗。參照其結果改用敏感的抗生素。抗生素需使用10天左右,注意休息,疏通大便。全身症狀重者給以補液等支持療法。
2、局部治療
(1)鼓膜穿孔前:可用2%酚甘油滴耳,消炎止痛。如全身及局部症狀較重,鼓膜明顯膨出,經一般治療後無明顯減輕;或穿孔太小引流不暢;或有併發症可疑,但無需立即行乳突手術時,應在無菌操作下行鼓膜切開術,以利通暢引流。
(2)鼓膜穿孔後:1)先以3%雙氧水儘量徹底清洗並拭淨外耳道膿液或用吸引器將膿液吸淨(注意吸引器負壓不可過大)。2)局部用抗生素水溶液滴耳,如0.25%-1%氯黴素液,0.3%氧氟沙星(泰利必妥)滴耳液,複方利福平液等,不主張採用粉劑,以免與膿液結塊,影響引流。3)膿液減少、炎症逐漸消退時,可用甘油或酒精製劑滴耳;如3%硼酸甘油,3%硼酸酒精,5%氯黴素甘油。4)感染完全控制、炎症完全消退後,穿孔多可自行癒合。穿孔長期不愈者,可作鼓膜修補術。
3.病因治療積極治療鼻部及咽部慢性疾病,如腺樣體肥大、慢性鼻竇炎、慢性扁桃體炎等。
相關詞條
參考文獻
1、http://www.fx120.net/JBZT/JB-WGXT/EBH-1/ZEDU/zeydgs/200502020853572015.htm
2、http://www.haodf.com/jibing/jixinghuanongxingzhongeryan.htm
