疾病簡介
定義:涉及骨膜,骨密質,骨松質與骨髓組織的化膿性細菌感染。
感染途徑:
1、血源性:化膿性細菌通過循環在局部骨質發生病變,即為血源性骨髓炎。感染病灶常為扁桃腺炎、中耳炎、癤、癰等。
2、外傷性:系直接感染,由火器傷或其它外傷引起的開放性骨折,傷口污染,未經及時徹底清創而發生感染,即為外傷性骨髓炎。骨與關節手主時,無菌操作不嚴,也可引起化膿性感染。
3、骨骼附近軟組織感染擴散:如膿性指頭炎,若不及時治療,可以引起指骨骨髓炎。
疾病分類
化膿性骨髓炎是指因各種感染因素造成的骨髓炎症。以病程長短分為急性和慢性兩種。急性骨髓炎以骨質吸收、破壞為主。慢性骨髓炎以死骨形成和新生骨形成為主。
發病病因
化膿性骨髓炎1、溶血性金黃色葡萄球菌是最常見的致病菌,乙型鏈球菌占第二位。
2、一般致病菌由位於皮膚或黏膜處的感染灶,在原發灶處理不當或機體抵抗力下降時進入血循環。而菌拴受阻於長骨幹骺端的毛細血管,在此沉積,引起感染。
3、局部外傷可能是誘因。
病理
病理:骨質破壞,死骨形成,後期有新生骨,成為包殼。
臨床表現
急性骨髓炎
年齡及部位:兒童多見,以脛骨上段和股骨下段最多見。
發病前往往有外傷病史,但很少發現原發感染灶。
起病急驟。
全身中毒症狀嚴重:寒戰,高熱至39ºC以上,有明顯的毒血症症狀。
局部症狀:
1.早期:患區劇痛,局部皮溫增高,有局限性壓痛,腫脹並不明顯。
2.後期:局部水腫,壓痛更為明顯說明此處已形成骨膜下膿腫。往後疼痛減輕,為膿腫穿破後成為軟組織深部膿腫,但局部紅、
腫、熱、壓痛則更加明顯。各關節
可有反應性積液。如向髓腔播散,
則症狀更嚴重,整個骨幹都有骨破
壞後,可發生病理性骨折。
3.急性骨髓炎的自然病程可維持3~4周。膿腫後形成竇道,疼痛緩解,體溫逐漸下降,病變轉入慢性階段。
4.部分低毒感染,表現不典型,體徵較輕,診斷較困難。
臨床檢查可見:
1、白細胞計數增高,在10×10/L以上,中性粒細胞可占90%以上。
2、血培養結果及藥敏實驗。
3、局部膿腫分層穿刺。
4、X-ray檢查 難以顯示1cm的骨膿腫
5、CT檢查 可以提前發現骨膜下膿腫
6、核素骨顯像發病後48小時有陽性結果
慢性骨髓炎
1.全身表現:病變不活動階段可以無症狀,急性感染髮作時體溫可升 1~2°C。急性發作約數月、數年一次,由於體質不好或身體抵抗力低下可誘發。
2.局部表現:骨失去原有的形態,骨骼扭曲畸形,增粗,皮膚色素沉著,有多處瘢痕,稍有破損即可引起經久不愈的潰瘍。因肌攣縮出現鄰近關節畸形,局部可有竇道口,長期不癒合,急性感染髮作時局部紅、臨床表現腫、熱、痛,原已閉塞的竇道口可開放,排出多量膿液,掉出死骨後閉合。竇道口皮膚可能會癌變。兒童可因骨骺破壞而影響骨發育,偶有病理骨折者。
臨床表現
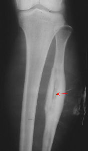
3.放射學變化:早期有蟲蝕狀骨破壞與骨質稀疏,並出現硬化區。有層狀骨膜反應,新生骨逐漸變厚和緻密,壞死脫落成為死骨。X線片上死骨表現為完全孤立的骨片,沒有骨小梁結構,濃白緻密,邊緣不規則,周圍有空隙。CT片可以顯示出膿腔與小型死骨。部分病例可經竇道插管造影顯示膿腔。
診斷鑑別
急性化膿性骨髓炎的診斷
1.急驟的高熱與毒血症表現;
2.長骨幹骺端疼痛劇烈而不願活動肢體;
3.該區有一個明顯的壓痛區;
4.白細胞計數和中性粒細胞增
高;
5.局部分層穿刺
6.病因診斷:獲得致病菌,即血培
養和分層穿刺培養陽性。
應該在起病後早期作出明確診斷和合適治療,才能避免發展成慢性骨髓炎。
鑑別診斷
1.蜂窩組織炎:(1)全身症狀不一樣
(2)部位不一樣
(3)體徵不一樣,部分鑑別困難,可小切口引流,骨髓炎可發現骨膜下膿腫.
2.風濕病與化膿性關節炎:都是關節疾病,疼痛部位在關節,淺表關節可以迅速出現腫脹和積液。
3.骨肉瘤和尤文肉瘤:起病緩,以骨幹居多,特別是尤文氏瘤,早期不妨礙臨近關節活動,表面有曲張的血管並可摸到腫塊,難鑑別的可行活檢。
慢性骨髓炎的診斷
根據病史和臨床表現,特別是有經竇道及經竇道排出過死骨的,很容易診斷。X線片可以證實有無死骨,了解形狀、數量、大小和部位。以及附近包殼生長情況。一般不需要作CT檢查。
疾病的治療
急性骨髓炎的治療
目的:中斷骨髓炎由急性期趨向於慢性階段,早期診斷與治療是主要的關鍵。
1.抗生素治療:早期,足量,敏感,聯合套用。發病5天內使用往往可以控制 炎症。5天后使用或細菌對所用抗生素不敏感時,都會影響療效。套用時選用一廣譜抗生 素和一針對革蘭氏陽性球菌的抗生素聯合套用,待檢出致病菌後再調整。治療後有以下四種結果:
(1)在x線片改變出現前全身及局部症狀均消失,骨膿腫未形成。
(2)在出現x線片改變後全身及局部症狀治療消失,說明骨膿腫已被控制,有被吸收的可能。這兩種情況不需要手術治療,但仍須連續用抗生素至少3周。
(3)全身症狀消退,但局部症狀加劇,說明抗生素不能消滅骨膿腫,需要手術引流。
(4)全身及局部症狀均不消退。說明A.致病菌對所用抗生素有耐藥性。B.有骨膿
治療腫形成;C.產生遷徙性膿腫。為保全生命需切開引流。
2.手術治療
目的:(1 )引流膿液,減少毒血症症狀。
(2 )阻止急性骨髓炎轉變為慢性骨髓炎。手術治療宜早,最好在抗生素治療後48 ~72 小時仍不能控制局部症狀時進行手術。治療延遲的手術只能達到引流目的,不能阻止急性骨髓炎向慢性骨髓炎的演變。
1.手術的方法;(1)鑽孔引流
(2)開窗減壓
2.傷口的處理:(1)閉式灌洗引流
(2)單純閉式引流
慢性化膿性骨髓炎的治療
以手術治療為主,原則是清除死骨、炎性肉芽組織和消滅死腔,即病灶清除術。
1.手術指征:有死骨形成,有死腔及竇道流膿者均應手術治療。
2.手術禁忌證:(1)慢性骨髓炎急性發作時不宜作病灶清除術,應以抗生素治療為主,積膿時宜切開引流。
(2)大塊死骨形成而包殼尚未充分生成,過早取掉大塊死骨 會造成長段骨缺損,須待包殼生成後再手術。但近來有感染下植骨成功的,為相對禁忌證。
3.手術方法:術前作細菌培養和藥敏試驗,最好在術前2日開始套用抗生 素。同時必須解決:a.病灶的清除;b.消滅死腔;c.傷口的閉合這三個問題。
(1)清除病灶:
(2)消滅死腔:a.碟形手術治療;b.肌瓣填塞;c.閉式灌流:灌洗持續時間一般為2~4周,待吸引液轉為清晰時即可停止灌洗並拔管;d.慶大黴素-骨水泥鏈珠填塞和二期植骨:2周后可拔珠。
(3)傷口的閉合:最好一期縫合,並留置負壓引流管。傷口不能閉合,竇道不能消滅的主要原因是病灶清除不徹底與不能消滅死腔。
辯證分型
1.熱毒內蘊:惡寒發熱,頭痛汗出,煩渴引飲,食欲不振;小溲黃赤,大便乾燥,局部漫腫,舨紅灼痛,皮膚灼熱,膿液稠粘量多色黃。舌質紅,苔黃膩,脈洪數或弦數。此證多見於骨髓炎急性發作期,有部分病人久病反覆發作,在急性發作時,可同時兼有正虛、表現,呈正虛邪實之證,此時仍以邪熱毒盛為主。
2.血虛寒凝:面色蒼白,形寒肢冷,體倦力乏,腰酸膝軟,小便清長,患處色白漫腫無頭;或堅硬不消,酸楚疼痛,成膿難潰;或潰後難愈,膿稀色白,內芽淡白不長,或有竇道,經久不愈。舌質淡,苔薄白,脈沉細而遲。
3.氣血兩虛:面色無華,神疲無力,自汗納減,心悸氣短,竇道流膿清稀,肉芽浮生,其色灰白,癒合不良,舌質淡紅,舌苔薄白,脈細或虛大。本證多見於晚期,x線攝片多見死骨存在,竇道經久不愈,氣血日益消耗,正虛無力托毒外出。
4.肝腎虧虛:形體消瘦,頭暈耳鳴,腰酸膝軟,肢倦氣短,心悸盜汗,膚乾色悴,骨蒸潮熱,局部肉削形羸,創口久潰不愈,竇道流膿清稀量少,或可見死骨。舌色紅或紅絳,苔少,脈細無力或細數。此證多見於晚期,可有肢體畸形,關節強直或病理性骨折並發。
相關檢查
X線檢查:急性血源性骨髓炎早期無明顯變化,發病後3周左右可有骨質脫鈣、破壞,少量骨膜增生,以及軟組織腫脹陰影等。
化驗檢查:在急性血源性骨髓炎,早期血培養陽性率較高,局部膿液培養有化膿性細菌,應作細菌培養及藥物敏感試驗,以便及時選用有效藥物。血化驗中白血球及中性多核白血球均增高,一般有貧血。
應儘早診斷血源性骨髓炎,以便及時治療。早期診斷主要根據臨床表現和血培養。必要時,局部穿刺抽取膿液作細菌培養。外傷所引起骨髓炎,根據外傷病史及局部症狀即可診斷。
疾病的預後
按照I臨床標準分為4級:A級:創面有豐富的肉芽組織,逐漸癒合。可行創面縫合或者皮瓣覆蓋創面;B級:創面已有肉芽組織生長,創面清潔,但肉芽組織較少,尚不能進行縫合;C級:無新生的肉芽組織,沒有膿性分泌物,創面無法縫合;D級:有大量膿性分泌物。
疾病的預防
火器傷使軟組織和骨質受到損傷和污染,感染可能性很大。因此,外傷後,要及時進行清創預防感染,增強機體的抵抗力,使開放性骨折變為閉合性骨折。傷口換藥,保持引流,增強機體抵抗力和使用抗菌藥預防感染。對炸傷引起的開放性骨折,必須徹底清創,不縫合傷口,以利引流。
對非火器傷骨折,如能及時進行清創,應縫合傷口,放置引流條48小時,爭取傷口一期癒合,使骨折轉為閉合性。若感染已發生,應儘早擴大傷口,以利引流,並加強全身支持療法及抗感染治療。
還有主要是重視個人衛生勤洗澡防止皮膚瘡癤的發生。
飲食注意
1、骨髓炎患者在施治的早期強調並提倡清淡可口的素食。因素食能提供最天然最易消化,最能直接吸收之營養素。如素食配製合理,人體所需要的糖、脂肪、蛋白質這三大營養要素都非常豐富,足夠人類機體的合理需要。因骨與軟組織的修復又離不開維生素、微量元素與宏量元素和具有保護作用的植物荷爾蒙、纖維質等。素食中所含鹼性物質最豐富,如在體內最活躍的鈣、鉀等離子,水果之中含量很高。
2、忌大量吃肉,少食蔬菜水果。
疾病護理
一般護理 :詳細詢問病史 ,了解起病原因和發病過程 ,並詳細記錄。囑其臥床休息 ,限制活動,,多飲水避風寒,防外感。定時測量體溫、脈搏 、體溫較高時及時給予物理或藥物降溫、維持水電解質平衡等。

