疾病概述
前葡萄膜炎虹膜治療以迅速消除炎症、防止虹膜後粘連為治療原則。對於嚴重前葡萄膜炎患者,特別是出現前房積膿和大量纖維素滲出的患者,應立即給予睫狀肌麻痹劑和糖皮質激素滴眼劑點眼。前者多選用2%後馬托品眼膏,一日2次,也可先用1%硫酸阿托品眼膏,待1~2d後改為2%後馬托品眼膏。糖皮質激素開始時可每15 min/次,連續4次後改為每60min/次,再連續用2~3d,往往可看到明顯的效果,根據炎症消退情況逐漸減少點眼次數。在治療過程中,特別是在炎症嚴重時,可輔以0.5%消炎痛點眼劑治療。
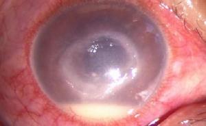
前葡萄膜炎又名虹膜睫狀體炎,虹膜發生炎症後常影響睫狀體,故臨床上單獨的虹膜炎或睫狀體為是很少見的。常同時發病。臨床表現:患者常無睫狀充血或有輕微睫狀充血,KP可為塵狀、中等大小或羊脂狀,可出現Koeppe結節或Busacca結節、虹膜水腫、脫色素、萎縮和後粘連等改變,易發生並發性白內障、繼發性青光眼等。
合併的全身性疾病,特別是發生於16歲以下者應詳細詢問關節炎、皮疹等病史,並進行抗核體檢查,以確定是否合併幼年型慢性關節炎。主要是局部治療。糖皮質激素、非甾體消炎藥和結狀肌麻痹劑是常用的藥物(詳見急性前葡萄膜炎的治療),但點要頻度應視炎症嚴重性而定。對於合併有全身性疾病,如幼年型關節炎、炎症性腸道疾病、Vogt-小柳原田病等的患者,除了局部用藥外,尚需全身使用其他免疫抑制劑。
症狀體徵
前葡萄膜炎1、症狀
患者可出現眼痛、畏光、流淚、視物模糊,在前房出現大量纖維蛋白滲出或出現反應性黃斑和視乳頭水腫時,可引起視力明顯下降,發生並發性白內障和繼發性青光眼時,可導致視力嚴重下降。
2、體徵
(1)睫狀充血或混合性充血
睫狀充血是指位於角膜緣周圍的表層鞏膜血管的充血,是急性前葡萄膜炎的一個常見體徵,但角膜炎、急性閉角型青光眼也可引起此種充血,應注意鑑別。
(2)角膜後沉著物
炎症細胞或色素沉積於角膜後表面,被稱為KP。其形成需要角膜內皮損傷和炎症細胞或色素的同時存在。根據KP的形狀,可將其分為三種類型,即塵狀、中等大小和羊脂狀。前兩種主要由中性粒稀薄、淋巴細胞和漿細胞沉積而成,後者則主要由單核巨噬細胞核類上皮構成。塵狀KP主要見於非肉芽腫性葡萄膜炎;中等大小KP主要見於Fuchs綜合徵和單皰病毒性角膜炎伴發的片葡萄膜炎;羊脂狀KP主要見於肉芽腫性前葡萄膜炎。
KP有三種分布類型,即:
①下方的三角形分布:是最常見的一種分布形式,見於多種類型的前葡萄膜炎;
②角膜瞳孔區分布:主要見於Fuchs綜合徵、青睫綜合徵和單皰病毒性角膜炎伴發的前葡萄膜炎;
③角膜後瀰漫性分布:主要見於Fuchs綜合徵和單皰疹病毒性角膜炎伴發的前葡萄膜炎。
(3)前房閃輝
是由血-房水屏障功能破壞,蛋白進入房水所造成的,裂隙燈檢查時表現為白色的光束。前葡萄膜炎常引起前房閃輝,但急性閉角型青光眼、眼鈍挫傷以及在前葡萄膜炎恢復期,也可因血-房水屏障功能受到破壞或其功能未完全恢復而出現前房閃輝,因此前房閃輝並不一定代表有活動性炎症。
前葡萄膜炎嚴重患者在病理情況下,房水可出現炎症細胞、紅細胞、腫瘤細胞核色素細胞。葡萄膜炎時主要為炎症細胞,裂隙燈檢查可見到大小一致的灰白色塵狀顆粒,虹膜面向上運動,角膜面則向下運動。炎症細胞是反映眼前段炎症的可靠指標。房水中大量炎症細胞沉積於下方房角內,可見到液平面,稱為前房積膿。在炎症嚴重時尚可出現大量纖維蛋白性滲出,使房水成為相對凝固狀態。
(5)虹膜改變
可出現虹膜水腫、紋理不清等改變。虹膜與晶狀體前表面的纖維蛋白性滲出和增殖可使二者粘附在一起,稱為虹膜後粘連;如出現廣泛虹膜後粘連,房水不能由後房流向前房,導致後房壓力升高,虹膜被向前推移而呈膨隆狀,稱為虹膜膨隆;虹膜與角膜後表面的粘附則稱為虹膜前粘連;此種粘連發生於房角出,則稱為房角粘連。
虹膜因炎症可出現三種結節:
①Koeppe結節:是發生於瞳孔緣的灰白色半透明結節,主要見於非肉芽腫性炎症,也可見於肉芽腫性炎症;
②Busacca結冢菏發射於虹膜實質內的白色或灰白色半透明結節,主要見於肉芽腫性炎症;
③虹膜肉芽腫:是發射於虹膜實質中的單個粉紅色不透明的結節,主要見於結節病所引起的前葡萄膜炎。
(6)瞳孔改變
炎症時因睫狀肌痙攣和瞳孔括約肌的持續性收縮,可引起瞳孔縮小;虹膜部分後粘連不能拉開,散瞳後常出現多形狀的瞳孔外觀,如梅花狀、梨狀、不規則狀,如虹膜發生360度的粘連,則稱為瞳孔閉鎖;如纖維膜覆蓋整個瞳孔區,則被稱為瞳孔膜閉。
前葡萄膜炎眼球前葡萄膜炎時色素可沉積於晶狀體前表面,在新鮮的虹膜後粘連被拉開時晶狀體片表面可遺留下環形色素。
(8)玻璃體及眼後段改變
在虹膜睫狀體炎和前部睫狀體炎時,前玻璃體內可出現炎症細胞,單純虹膜炎患者的鉛玻璃體內一般無炎症細胞,前葡萄膜炎通常無玻璃體混濁,但偶爾可出現反應性黃斑囊樣水腫和視乳頭水腫。
(二)前葡萄膜炎的併發症
1.並發性白內障
炎症反覆發作或慢性化,造成房水改變,影響晶狀體代謝從而可引起白內障,此種白內障主要晶狀體後囊下混濁。此外,在前葡萄膜炎時,由於長期滴用糖皮質激素點眼劑,也可引起晶狀體後囊下混濁。
2.繼發性青光眼
前葡萄膜炎時,可因炎症細胞、纖維蛋白性滲出以及組織碎片阻塞小梁網,虹膜周邊前粘連或小梁網的炎症,使房水引流受阻,瞳孔閉鎖、瞳孔膜閉阻斷了房水由後房進入前房等多種機制,引起繼發性青光眼。
3.低眼壓及眼紅萎縮
炎症反覆發作或炎症的慢性化個可導致睫狀體脫離或萎縮房水分泌減少,引起眼壓下降,嚴重者可致眼球萎縮。
疾病病因
本病可發生於各個年齡組,病因極為複雜。大致有內源性、外源性及繼發性之分。如細菌、病毒等病原微生物感染引起及自家抗原、免疫複合物引起的免疫反應如風濕、結核病、梅毒等,或因外傷、手術引起以及鄰近器官組織感染波及所造成。病程有急性、亞急性、慢性、陳舊性劃分。發生虹膜睫狀體炎時,其血供血管擴張,並有含有蛋白的多細胞成份淋巴液滲入房水及玻璃體中。
從病因和病程上大致可將前葡萄膜炎分為3類:
①第一類僅出現急性前葡萄膜炎,此類患者多呈HLA-B27抗原陽性,並且多合併有強直性脊椎炎、牛皮癬性關節炎、Reiter綜合徵和炎症性腸道疾病;
②第二類為慢性前葡萄膜炎,如Fuchs綜合徵、兒童白色葡萄膜炎;
③第三類是既可出現急性驗證又可出現慢性炎症,幼年型慢性關節炎、結核、梅毒等均可引起此類炎症。
診斷檢查
前葡萄膜炎晶狀體根據患者臨床表現可做出診斷,由於多種全身性疾病都可引起或伴發此種葡萄膜炎症,確定病因和伴隨對指導治療、判斷預後有重要的價值。因此對急性前葡萄膜炎應詳細詢問病史,特別是要詢問骶髂有關節疼痛、關節紅腫、尿道炎、消化道異常、呼吸系統異常、牛皮癬、皮膚病變等,以確定是否伴有強直性脊椎炎、Reiter綜合症、炎症性腸道疾病、癬性關節炎、結合、梅毒等疾病。實驗室檢查包括血常規、血沉、HLA-B27抗原分型等,對懷疑病原體感染所致者,進行相應的病原學檢查,類風濕引資檢查對葡萄膜炎診斷一般無臨床價值。
(二)鑑別診斷
1.急性結膜炎
呈現急性發病,有異物感、燒灼感,分泌無多,檢查見眼瞼腫脹,結膜充血,這些表現與急性前葡萄炎的畏光、流淚、視力模糊、睫狀充血及前房反應有明顯不同。
2.急性閉角型青光眼
呈急性發病,視力突然下降,頭痛、噁心、嘔吐、角膜上皮水腫、前房淺、前房閃輝等,但無前房炎症細胞,瞳孔呈橢圓形散布大,眼壓增高,與急性前葡萄膜炎症的角膜透明、大量KP、前房深度正常、房水大量炎症細胞、瞳孔縮小,眼壓力征正常或偏低等易於鑑別。
3.與眼內腫瘤等相鑑別
一些原發性眼內腫瘤或腫瘤的眼內轉移可引起房積膿等改變,但從病史、全身病變的臨床檢查、X線、超音波、CT等核磁共振檢查等方面可以將二者區別開來。
4.與能引起前葡萄膜炎症的全葡萄膜炎症相鑑別
一些類型的葡萄膜炎,如Behcet病性葡萄膜炎症、Vogt-小柳原田病等均可表現為全葡萄膜炎,因此在診斷時要注意鑑別。
治療方案
前葡萄膜炎併發症患者1、睫狀肌麻痹劑
是治療急性前葡萄膜炎的必需藥物,一旦發病應立即給藥,其目的在於:
①預防和拉開虹膜後粘連,避免併發症;
②解除睫狀肌、瞳孔括約肌的痙攣,以減輕充血、水腫及疼痛,促進炎症恢復和減輕患者痛苦。最常用的睫狀肌麻痹劑為後馬托品眼膏(1%、2%、4%)而不是阿托品,這是因為後者的睫狀肌麻痹作用和紅瞳孔擴大作用持續時間長(10-14d),使瞳孔處於固定的開大狀態,易發生瞳孔開大狀況下的虹膜後粘連,給患者帶來更為嚴重的後果。後馬托品的作用時間約18-36h,可使瞳孔處於不斷運動狀態,因此可有效預防虹膜後粘連的發生。但後馬托品的擴瞳及睫狀肌麻痹作用不及阿托品,因此,對急性嚴重的前葡萄膜炎,可給予1%-2%阿托品眼膏一日1-2次,治療1-3d後,改用2%後馬托品眼膏點眼,一日1-2次;新鮮的虹膜後粘連不易拉開時,可結膜下注射散瞳合劑(1%阿托品、1%古柯鹼、0.1%腎上腺素等量混合)0.1-0.2ml,對炎症恢復期可給予0.5%-1%的托品醯胺滴眼液點眼,一日一次。
2、糖皮質激素滴眼液
常用的製劑有醋酸氫化可的松(0.2%、0.25%)、醋酸氟美松龍(0.1%)、醋酸潑尼松龍(0.12%、0.125%、0.5%、1%)和地塞米松磷酸鹽(0.1%)懸液或溶液。對嚴重的急性前葡萄膜炎,可給予0.1%地塞米松磷酸鹽溶液每15min點眼一次,連續4次後改為每小時一次,連續套用數天后,根據炎症小腿情況逐漸減少點眼次數。一般不宜或不宜反覆給予糖皮質激素結膜下注射,因為滴眼液點眼可在房水中達到足球的濃度,達到與結膜注射相同的效果,並能避免結膜下注射給患者帶來痛苦和併發症。
3、非甾體消炎藥
非甾體消炎藥主要通過阻斷前列腺素、白三烯等花生四烯酸代謝產物而發揮其抗炎作用。已經證明,急性前葡萄膜炎,特別是手術後或外傷後所致者有花生四烯酸代謝產物的參與,因此可給予吲哆美辛、雙氯芬酸鈉等滴眼液點眼治療,每日3-8次。一般不需用口服治療。
4、糖皮質激素眼周和全身治療
對於出現反應性視乳頭水腫或黃斑囊樣稅種的患者,可給予地塞米松2.5mg後Tenon囊下注射。方法是,選用25號針頭,從顳上或顳下方穹隆部結膜和球結膜移行處進針,在進針過程中要注意擺動,以避免針頭誤刺入眼球內。對於不宜後Tenon囊下注射、或雙側急性前葡萄膜炎出現反應性黃斑水腫、視乳頭水腫,可給予潑尼鬆口服,開始劑量為30-40mg,早晨頓服,使用一周后減量,一般治療時間為2-4周。
5、病因治療
由感染因素所引起的,應機給予相應的抗感染治療。
6、併發症治療
①繼發性青光眼:可給予降眼壓藥物點眼治療,必要時聯合口服或靜脈滴注降眼壓藥物(參見青光眼章),對有瞳孔阻滯者應在積極抗炎治療下,儘早行雷射虹膜切開術或行虹膜周邊切除術,如房角粘連廣泛者可行濾過性手術。
②並發性白內障:應在炎症得到很好控制的情況下,行白內障摘除及人工晶體植入術,術前、術後應局部或全身使用糖皮質激素,必要時給予其他免疫抑制劑治療,以預防術後葡萄膜炎的復發。
安全提示
1、減少光線刺激,可戴有色眼鏡。
2、本病的治療最重要的一點就是散瞳治療,但是在點阿托品散瞳時,尤其對於兒童,一定要注意壓迫淚囊區,以免因藥物吸收而引起中毒。
3、有些病人會出現反覆發作,要注意避免一些誘因如“感冒,扁桃體炎,風濕病”等。
4、平時起居要有規律,避免過度勞累及精神緊張,一旦出現眼紅痛要及時就診和治療。
常見疾病
| 疾病的存在,是從痛苦和不適等自覺症狀開始的。疾病,有如健康一樣,從不同角度考查可以給出不同的定義。最常套用的定義是"對人體正常形態與功能的偏離。現代醫學對人體的各種生物參數(包括智慧型)都進行了測量,其數值大體上服從統計學中的常態分布規律,即可以計算出一個均值和95%健康個體的所在範圍。 |
