慢性血源性骨髓炎病因
慢性血源性骨髓炎大多數慢性骨髓炎(chronic osteomyelitis)是因急性骨髓炎治療不當或不及時,病情發展的結果,如急性骨髓炎的致病菌毒力較低,或病人抵抗力較強,也可能起病伊始即為亞急性或慢性,並無明顯急性期症狀。在20世紀60~70年代由急性血源性骨髓炎演變成慢性者,約占慢性骨髓炎的1/3。近年來急性血源性骨髓炎在早期多能得到及時有效的治療,使慢性骨髓炎的發病率明顯降低。另一方面,骨的貫通性火器傷和開放性骨折後發生的骨髓炎,金屬物植入骨內如人工關節置換術等引起的骨內感染,則較多見。其他誘因有糖尿病、服用激素、免疫缺陷及營養不良等。
發病機制
慢性血源性骨髓炎急性血源性骨髓炎急性期如果修復不徹底便會演變成慢性骨髓炎,並有周圍組織的充血和骨骼脫鈣。肉芽組織的形成帶來了破骨細胞和成骨細胞,壞死的骨松質逐漸被吸收掉,並為新骨所替代。壞死的骨密質交界是部分先行吸收 最終脫落成為死骨,壞死的骨脫落成為死骨需數月之久。死骨脫落是破骨細胞和蛋白溶解酶協同作用的結果,因而表面變得不規則。由於缺乏血供,死骨不會脫鈣,相反,還比鄰近的骨組織更為緻密。在罕見的情況下,感染完全控制住,壞死骨骼不再脫落,而逐漸由爬行替代過程所吸收掉,這種過程亦需數月之久,一旦死骨脫落,便處於四周完全游離的空隙內。死骨浸泡在膿液中,吸收非常緩慢,甚至停止吸收。為了使感染局限化,周圍的骨骼逐漸緻密、硬化,外周骨膜亦不斷形成新骨而成為骨殼。少數病例整段骨幹脫落成為死骨,由新生的骨殼包圍著,骨殼逐漸變厚、變緻密。骨殼通常有多個孔道,經孔道排除出膿液及死骨碎屑至體表面,軟組織損毀嚴重而形成瘢痕,表麵皮膚菲薄極易損,竇道經久不愈,表皮會內陷生長深入竇道內。竇道長期排液會刺激竇道口皮膚惡變成鱗狀上皮癌。
死骨排淨後,竇道口閉合。兒童病例的小的腔隙可由新骨或瘢痕組織所充填;在成人病例,腔隙內難免會有致病菌殘留,任何時候都可以繼發感染。
症狀
慢性血源性骨髓炎臨床表現:
在病變不活動階段可以無症狀,骨失去原有的形態,肢體增粗及變形。患處皮膚菲薄,色澤暗,有多處瘢痕,稍有破損即引起經久不愈的潰瘍;或有竇道口,長期不癒合,竇道口肉芽組織突起,流出臭味膿液,肌肉的纖維化可以導致關節攣縮。急性感染髮作表現為疼痛,表麵皮膚轉為紅,腫、熱及有壓痛;體溫可升高1~2℃;原已閉塞的竇道口可開放,排出多量膿液,有時掉出死骨。在死骨排出後竇道口自動封閉,炎症逐漸消退,急性發作約數月、數年一次。體質不好或身體抵抗力低下情況下可以誘發急性發作。
長期多次發作使骨骼扭曲畸形,增粗,患處皮膚色素沉著,並因肌肉攣縮而出現鄰近關節畸形,竇道口皮膚反覆受到膿液的刺激會癌變。兒童往往因骨骺破壞而影響骨骼的生長發育,使肢體出現縮短畸形。
併發症:
慢性骨髓炎竇道附近的皮膚和軟組織因持續引流和炎性分泌物的刺激,周圍皮膚可發生濕疹樣改變,皮膚變薄,表皮脫落,易受損傷。Resnick報導約有O.5%的病人可並發表皮樣癌,少數病人可並發其他腫瘤如纖維肉瘤,血管肉瘤、橫紋肌肉瘤、腺癌、基底細胞癌和漿細胞瘤(plasmacytoma)等。因慢性骨髓炎為長期消耗性疾病,患者肝、脾、腎等臟器可發生澱粉樣變。偶有發生病理性骨折的。
診斷:
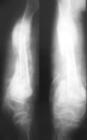
根據病史和臨床表現,診斷不難。特別是有竇道及經竇道排出過死骨時,診斷更易。攝X線片可以證實有無死骨,並了解其形狀、數量、大小和部位,以及附近包殼的生長情況。一般病例不需要做CT檢查,因骨質濃白難以顯示死骨者可做CT檢查。
檢查
慢性血源性骨髓炎早期階段有蟲蛀狀骨破壞與骨質稀疏,並逐漸出現硬化區。骨膜掀起並有新生骨形成,骨膜反應為層狀,部分呈三角狀,狀如骨腫瘤。新生骨逐漸變厚和緻密,壞死脫落成為死骨。由於周圍骨質緻密,死骨在常規正、側位X線片上可能不能被顯示,需要改變體位檢查,在X線片上,死骨表現為完全孤立的骨片,沒有骨小梁結構,濃白緻密,邊緣不規則,周圍有空隙,CT片可以顯示出膿腔與小型死骨,在部分病例可經竇道插管注入碘水造影劑以顯示膿腔。
竇道造影:經久不愈的竇道,須清除病骨死腔或死骨後才能癒合,因此,臨床上必須先了解竇道的深度、經路、分布範圍及其與死腔的關係。一般採用竇道造影,即將造影劑(12.5%碘化鈉溶液,碘油或硫酸鋇膠漿)注入竇道內,進行透視和攝片觀察,可充分顯示竇道,以便做到徹底清除死腔和竇道,促使其早日痊癒。
治療
慢性血源性骨髓炎慢性骨髓炎的治療原則是儘可能徹底清除病灶,摘除死骨,清除增生的瘢痕和肉芽組織,消滅死腔,改善局部血液循環 為癒合創造條件。為達此目的,單用藥物常不能奏效,必須採用手術和藥物綜合療法。
1.抗生素治療 應在傷口或竇道附近多次取標本,作細菌包括厭氧菌的培養,以便選擇有效的抗生素治療。由於藥物在骨內的濃度遠低於血液中的濃度,因此必須套用較大劑量的抗生素進行為期6~12周的治療,Mader(1995)在動物實驗證實,致病菌為金黃色葡萄球菌者,套用克林黴素(氯林可黴素)可獲得高比例的骨/血漿藥物濃度,建議在克林黴素(氯林可黴素)之後,再選用萬古黴素、萘夫西林(乙氧萘青黴素)、妥布黴素、頭孢唑啉和頭孢菌素等可獲得良好的療效。若未知致病菌或病情嚴重或有廣泛軟組織感染等情況下,Walenkamp(1997)主張採用阿莫西林(amoxycillin)聯合用慶大黴素,可有效的對抗革蘭陽性菌、陰性菌及多數厭氧菌,待數天后獲得細菌培養結果後,再更換抗生素。
2.手術治療 凡有死骨、死腔、竇道流膿,有充分新骨形成包殼,能支持肢體者,均應手術治療。術前、術中和術後均應給予足量有效抗生素。手術前注意改善全身情況(如給予高蛋白飲食、輸血等),增強抵抗力。手術治療方法,包括病灶清除術,帶蒂肌瓣填充術及骨移植術等。
(1)病灶清除術:切除竇道,摘除死骨,清除肉芽組織、壞死組織及瘢痕組織,然後用骨鑿鑿除骨腔邊緣部分骨質,使死腔變為碟形,稱碟形手術。碟形化手術應注意不可去除過多骨質,防止發生骨折。如病變淺而小,周圍有豐富的軟組織,可將皮下組織和皮膚作全層間斷縫合,使軟組織向碟形內凹陷,消滅死腔,用滴注引流法,約2周癒合。傳統的奧爾(Orr)法,是在上述手術後,用凡士林紗布填平傷口,外用管形石膏;4~6周更換1次敷料和石膏,使肉芽組織逐漸填平傷口而達到二期癒合。其缺點為:傷口長期不愈,臭味難以忍受,鄰近關節因固定過久而僵硬,患肢肌肉萎縮,很少套用如行病灶清除後骨腔較大,可選用下述方法處理:
①帶蒂肌瓣填充術:清除病灶後 將切口鄰近的健康肌肉從遠端游離一段,形成有寬大蒂部循環良好的肌瓣,充填於骨髓腔內,松松縫合傷口,滴注引流。操作時,應保留肌瓣的血管和神經,肌瓣不宜過長,避免張力與扭轉。
對於長期感染多次手術後有廣泛瘢痕形成,消滅死腔及創面困難者,可套用顯微外科技術,游離帶血管的皮瓣或肌瓣充填死腔及覆蓋創面,由於有豐富的血液供應,有一定的抗感染能力,可一次完成手術。
②滴注引流法:是慢性骨髓炎清除病灶後的基本方法。1956年以來作者所在科套用此法治癒大量病人,現為國內外較普遍套用的方法。清除病灶後,去除部分硬化骨壁,消除或淺化骨腔,使呈碟形;用大量生理鹽水沖洗傷口後,松松縫合皮膚,不逐層縫合。利用骨面滲血,凝血塊可自行充填機化。傷口放2根直徑3~5mm的塑膠管或細導尿管,將其一端剪成斜面 開3~5個側孔,平行放置於腔內,一根作為入水滴入管,置於高位;另一根用負壓吸引,置於低位,以利引流。注意防止管腔堵塞。兩管的另一端從傷口旁2~5cm處健康皮膚上戳口引出,用絲線縫合固定於皮膚上。入水管滴入含有敏感抗生素的生理鹽水,常用青黴素80萬U,氯黴素,卡那黴素O.5g或慶大黴素8萬U,選其中1種溶於1000ml生理鹽水,每天用量2000~3000ml。
術後應注意保持兩管通暢,這對於保證治療成功有重要作用,術後24h內可有較多滲血,每隔2~3h宜加快滴注半分鐘,以免滲血凝固堵塞。滴注持續1~2周。拔管指征為:體溫正常,傷口局部無炎症,流出的液體清澈透亮。先拔除滴入管,繼續吸引1~2天后,傷口內無滲出物時拔除引流管。本療法如施行得當,效果好。其優點為傷口完全閉合,可防繼發感染,抗生素液可充分沖洗引流,癒合快,大多可獲一期癒合。
(2)骨移植術:用於治療慢性骨髓炎的骨移植術常用的有以下2種。
①開放性網狀骨移植術(open cancellous bone grafting):Rhinelander於1975年首先套用此法治療慢性骨髓炎。適用於<4cm的骨缺損 >4cm的骨缺損,尤其是骨幹處缺損不適用於本法。在施行清創術徹底清除失去活力的壞死骨及軟組織後3周,傷口潔淨,肉芽組織生長良好,可行網狀骨移植術。通常取自體骨髂骨充填骨缺損,若骨移植處穩定性差 可用外固定架固定,以利移植骨長入。
②帶血管的游離骨移植術(vascularized free bone grafting):適用於伴有軟組織損失,大於6cm的大塊骨缺損。其優點為植入後即可提供充分的血供,有利於增加局部抗生素的濃度。最常用的取骨部位是腓骨和髂骨嵴,移植腓骨的長度可至6~35cm,而取髂骨移植者則其長度不宜超過8cm,腓骨的血供來自腓骨血管(peroneal vessels),位於腓骨中1/3處,髂骨的血供來自鏇髂深血管(deep circumflex iliac vessels)的分支以及經內層骨質進入骨的血管,一般在徹底清創後1~2周即可行帶血管的游離骨移植術。
③局部抗生素治療:植入浸潤慶大黴素的聚甲丙烯酸甲酯(polymethyl me-thacrylate PMMA)進行局部抗生素治療,是處理慢性骨髓炎的一種新方法,在徹底清創清除死骨異物後,將浸潤慶大黴素之PMMA串珠植入感染部位,一期縫合傷口。藥效學研究表明,局部慶大黴素濃度為全身用藥時的200倍,藥效可維持較長時間,對敏感試驗中檢出之耐藥菌株也可殺滅。同時,血清與尿中之濃度則低於全身用藥時,對腎功能不全患者也無禁忌。當骨髓炎病灶周圍軟組織有急性炎症時,可在手術前後合併全身給藥,但不超過3~5天。與抗生素全身給藥相比,慶大黴素-PMMA可在感染部位釋放高濃度的抗生素而不受局部血供影響,避免了長期全身使用抗生素之毒副作用,還可一期縫合傷口,不必嚴格臥床。但除骨髓炎殘腔過大無法用局部肌瓣或植骨填充時可行永久性植入外,所植入之慶大黴素-PMMA串珠均須二次手術取出。
Garvin等(1994)報導使用聚交酯與聚乙交酯共聚物作為抗生素載體代替PMMA治療骨髓炎,在動物實驗取得成功。此共聚物在體內水解為乳酸和乙醇酸,是對人體無害的天然代謝產物,可避免再次手術取出植入物。選擇不同單體組成、不同結晶度和分子量的共聚物,或改變植入物的幾何形狀,可以設計出以不同速度釋放藥物的載體。此外,聚交酯與聚乙交酯可用作多種抗生素的載體,而PMMA只能用於熱穩定的抗生素。
(3)特殊類型的慢性骨髓炎處理:
①局限性骨膿腫:須鑿開膿腫腔,清除膿液,徹底刮除腔壁肉芽組織,縫合傷口,滴注引流。
②硬化性骨髓炎:常有骨髓腔閉合,腔內壓力較高。鑿開骨皮質,顯露及貫通骨髓腔,可解除髓腔內張力並引流,疼痛即可解除。如骨硬化區內X線顯示有小透光區,須手術鑿除,並清除肉芽組織或膿液,疼痛即漸解除,骨增生亦可停止。
(4)病灶切除術:病骨部分切除,不影響功能者,可局部切除。如腓骨中上段,髂骨、肋骨,股骨大粗隆、橈骨頭、尺骨下端和肩胛骨等部位的骨髓炎,可將病骨局部切除,恢復較快.
(5)截肢術:套用極少。其指征為:病程較長的慢性骨髓炎受累骨質廣泛,肢體嚴重畸形,患肢廢用或周圍皮膚有惡變者,如足部多數小骨破壞廣泛,不能徹底清除病灶,肢體已喪失功能。
