病因
先天性肛門閉鎖先天性肛門閉鎖症是常見的肛門畸形疾病。
若直腸與尿生殖竇沒有分開,則會形成先天性直腸尿道瘺或直腸陰道瘺。而鎖肛症常合併直腸尿道瘺、直腸陰道瘺。
目前來說,致病原因不詳。發生機率為1/4000。
臨床表現
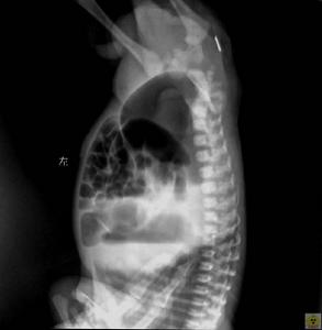
先天性肛門閉鎖對本病的診斷,主要根據患兒哭時隨著腹壓的增高或降低,會陰部也隨著凸起或凹陷。用一手輕壓迫下腹部,一手觸摸會陰部,則有波動感。若將患兒臀部抬高,肛門部扣診呈鼓音。X線可幫助進一步確診。
先天性肛門閉鎖新生兒出生後無胎糞排出,餵奶後腹部膨脹,出現嘔吐,繼爾皮膚乾癟、消瘦,若出現這種症狀,即應考慮鎖肛症,若發現和治療不及時,則易導致腸梗阻,腸壞死,致新生兒死亡。
若患兒並發有直腸尿道瘺、直腸陰道瘺,大便則會從尿道或陰道排出,此類新生兒不會導致死亡。但若糞便的異常排泄沒有被注意,尿道或陰道存留糞便過多,可引起膀胱炎、腎盂腎炎、陰道炎等。
若患兒是先天性肛門直腸狹窄,則可表現為頑固性便秘,排便疼痛,啼哭,便極細,量少,腹部脹痛,消化不良,消瘦。
新生兒的鎖肛症,常常被忽視,因此,在新生兒出生後,要予以全面的體檢,並注意觀察排便情況,以防止發生新生兒死亡。
治療
先天性肛門閉鎖由於肛門閉鎖是先天直腸肛門發育不良造成的,出生後通過手術人造肛門,其局部的肛門括約肌不會象正常人那樣健全,或是括約肌薄弱無力,或是括約肌缺失。所以,術後大多數孩子在有肛門狹窄的同時,又伴大便失禁,尤其是稀便控制不住,經常有糞便污染內褲。另外,由於手術時將直腸黏膜直接與肛門皮膚縫合,而沒有一段“肛管”,所以還常伴有腸黏膜外翻,外翻的腸黏膜受到摩擦和糞便污染後會出現炎症反應,可有粘液血便,肛周皮膚出現濕疹等現象。因此,這類孩子在生活護理上一定要勤洗勤換,積極治療其並發症。對先天性肛門閉鎖的治療,均以為主。
①低位鎖肛:常規消毒,不用局麻也可,只要將會陰部皮膚切開,稍加分離,然後進行擴張,就可以治癒。
②高位鎖肛:一是切開骶尾部和腹部,把直腸盲端拖至會陰做成肛門。
二是先在腹部作一個人工肛門,等小兒長到1~2歲,再作切開腹部或骶尾部的直腸肛門吻合術。
三是用自動間歇電磁吸引治療鎖肛。即作乙狀結腸造瘺(即人工肛門)後,把適當的圓柱狀鐵塊(直徑在約0.5cm)送入直腸盲段,然後用間歇性磁力吸引裝置在體外肛門部位進行吸引,使直腸由高位逐漸下降到低位時,再作低位切開肛門成形術。該方法創傷小,併發症少,肛門失禁等後遺症較少。
![]() | ![]() |
種類
先天性肛門閉鎖①先天性肛門直腸狹窄:嬰兒出生後不易排便,仔細檢查可發現肛門存在,但由於肛管和直腸之間狹窄,不易排出糞便。
②肛門膜閉鎖:肛門處可見凹陷,但無肛管,肛門與皮膚之間有一層膜而無貫通。在臨床上把這種叫低位鎖肛,容易治療。
③肛門直腸閉鎖:肛門處可見凹陷,但與直腸尾端之間相隔的距離大,直腸尾端在肛門直腸肌環以上,又叫高位鎖肛,該種鎖肛症較多見。
④直腸內閉鎖:肛門外觀正常,肛管存在,但肛門與直腸之間不貫通,且有一定的距離間隔。這種畸形經常被忽視。
病例
李海浪:東南大學附屬中大醫院兒科主任醫師,擅長小兒哮喘、兒童性早熟、新生兒疾病、小兒腎臟病、小兒白血病、兒科疑難雜症的診治及使用呼吸機搶救治療危重新生兒。
先天性肛門閉鎖據介紹,接診的3名先天性肛門閉鎖患兒,是分別從南京市兒童社會福利院、鎮江市兒童社會福利院送來的,患兒出生後發現無肛門,幾天后就被父母遺棄,由於無法正常排便,造成腹脹、腹腔內感染、腸道梗阻,可憐的小生命被人發現送到醫院時,肚子脹得像大鼓。男孩明明是出生後第四天被遺棄的,兒童福利院緊急將他送到中大醫院,來院時患兒臉色發青,不斷嘔吐,情況危急,但是由於檢查發現為高位肛門閉鎖,直腸與肛門之間距離較遠,普外科專家緊急為患兒在腹部造瘺,臨時解決“出口”問題,等孩子康復後再擇期進行肛門成形手術。
南京東南大學附屬中大醫院兒科主任醫師李海浪教授:先天性肛門閉鎖是一種常見的消化道先天畸形,每5000個孩子中就有一個,與兔唇的發病率差不多。目前人們對兔唇患兒普遍能夠接受,但由於長期的偏見和愚昧,絕大部分家庭對“無肛門”的孩子卻難以接受,甚至因怕別人笑話或譏諷而偷偷將孩子遺棄。
先天性肛門閉鎖的發生可能與遺傳、環境因素等有關,所以應該採取科學的態度積極預防,儘可能避免不良環境因素,主動進行婚檢,按時接受孕期保健檢查,發現問題應及早進行干預,以減少先天性畸形兒的出生。對於先天性畸形兒的出生要正確對待,在醫生指導下進行科學治療,千萬不能一“丟”了之。
消化系統疾病
| 消化系統疾病一直是影響人類生存質量的主要疾病,特別是消化系統腫瘤更是嚴重威脅人類健康。醫學統計數據表明,屬於消化系統腫瘤的肝癌和胃癌長年來一直位於我國腫瘤發病率的第二位和第三位。 | |||
| 胃炎 急性胃炎 急性胃腸炎 胃潰瘍 慢性萎縮性胃炎 慢性胃炎 慢性淺表性胃炎 消化性潰瘍 胃腸道脹氣 腸上皮化生 胃癌 胃痛 急性胃擴張 胃柿石症 胃黏膜脫垂症 胃下垂 胃泌素瘤 傾倒綜合徵 胃扭轉 小腸腫瘤 阿狄森氏病 | 大腸癌 直腸癌 肛門直腸損傷 結腸直腸腺瘤 克隆氏病 腸中風 急性腸炎 慢性腸炎 急性腸梗阻 急性腸胃炎 偽膜性腸炎 放射性腸炎 直腸陰道瘺 腸結核 缺血性腸病 闌尾炎 急性闌尾炎 蛔蟲病 蟯蟲病 鉤蟲病 | 先天性肛門閉鎖 肛門瘺管 肛裂 肛門梳硬結 肛門濕疹 肛門直腸先天畸形 直腸脫垂 肛門瘙癢 大便失禁 肛管直腸癌 便秘 器質性便秘 功能性便秘 結腸性便秘 妊娠便秘 產褥期便秘 小兒便秘 急性細菌性痢疾 小兒便血 胃原性腹瀉 | 感染性腹瀉 食物中毒 腺病毒胃腸炎 慢性肝炎 小兒肝炎 藥物性肝炎 酒精性肝炎 肝昏迷 肝功能衰竭 肝細胞凋亡 肝腫大 黃疸 老年肝硬化 肝纖維化 門靜脈高壓症 肝腎綜合徵 肝吸蟲病 肝功能檢查 肝穿刺 肝移植術 |



