病因
肝腎綜合徵1、腎交感神經張力增高在嚴重肝硬化或肝癌晚期肝細胞廣泛受損,致肝功能嚴重損害時,腹水、脫水、上消化道出血及放腹水等均可導致有效循環血容量減少,反射性引起交感——腎上腺髓質系統興奮性增高,使人球小動脈收縮,腎素的合成和分泌增多,血中山茶酚胺濃度升高,致腎小球濾過率下降,誘發功能性腎功能衰竭。
2、假性神經遞質增多肝功能衰竭,血中代謝產物不能被清除,假性神經遞質替代了正常末梢交感神經遞質,使末梢血管張力減低,引起小動脈擴張,血壓下降,腎血流灌注減少,腎小球濾過率下降,導致肝腎綜合徵。
臨床表現
肝腎綜合徵根據HRS的臨床特點可將其兩種類型:Ⅰ型HRS的患者預後很差,80%患者在2周內死亡,只有10%的患者生存至3月以上。腎功能自愈者少見,常伴隨肝功能的改善。死亡由肝腎聯合衰竭或引起該綜合徵誘發因素引起。Ⅱ型HRS常發生於肝功能相對較好的肝硬化患者中,些患者的主要問題是對利尿劑無反應的腹水。在Ⅱ型HRS中,腎功能衰竭並不快速進展。但這些患者的生存率明顯低於肝硬化腹水患者。該型HRS的主要臨床後果是利尿劑抵抗性腹水。
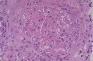
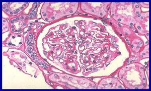
肝癌合併肝腎綜合徵的臨床表現主要有肝脾大、肝區痛、黃疸、肝功能障礙及漸出現的氮質血症、少尿、低血鈉、低血鉀。臨床可分為三期:
1、氮質血症前期肝失代償,血BUN、Cr正常或稍高,Na+下降,進行性少尿,對利尿劑不敏感。
2、氮質血症期血BUN顯著升高,Cr中度升高,Na+進一步下降。
3、終末期無尿,血壓下降,甚至處於深昏迷狀態。
診斷
肝腎綜合徵肝腎綜合徵的病死率極高,故早期預防是積極和重要的。一旦出現了肝腎綜合徵可採取針對可能的誘因進行治療。
(一)早起處理
1、逆轉腎灌注壓下降引起的血流動力學變化、興奮的交感神經系統、體液和腎的血管收縮因子合成增加。肝硬化病人中,腎功能不全常繼發於低血容量(利尿或胃腸道出血)、套用非甾體抗炎藥或感染後,應識別並處理這些促發因素,停用腎毒性藥物。給所有病人套用1.5L的人清蛋白液或生理鹽水來評價腎功能的反應,許多亞臨床症狀的低血容量病人將對這一簡單的措施產生效應。
2、改善腎臟血流動力學
(1)改善血壓 若平均動脈壓低於70mmHg,要用血管升壓藥提高血壓至85~90mmHg或使尿量增加。可用血管加壓藥、Ornipressin或terlipressin。
(2)擴容治療 對早期肝腎綜合徵的病人採用低分子右鏇糖酐、血漿及代用品或腹水回輸等擴容措施治療,可暫時收效,但不能改善預後。八肽加壓素(Octapressin)有舒張腎血管,降低腎血管阻力,增加腎皮質血流量,提高腎小球濾過率的作用。始用量為0.001U/min,酌情加量。本藥對低血壓病人效果較好。
(3)腹水穿刺放液術 放腹水能通過減低腎靜脈壓力暫時改善腎血流動力學和改善腎功能。但放腹水後血壓會輕度下降,腎灌注壓也會因血壓下降而下降,抵消其治療作用。
肝腎綜合徵(1)多巴胺 多巴胺小劑量套用有擴血管作用。該藥常用於病人有腎損害時,但該藥的療效不明顯。偶爾(<5%=患者可有尿排出增加,試用12小時後,如果尿液排出無改善則停藥。
(2)Ornipressin 是血管升壓素類似物,選擇性作用於內臟血管,提高腎血流和灌注壓,從而提高腎排泄率和鈉的排出。HRS病人接受Ornipressin和清蛋白2周后,腎功能出現明顯改善;或聯合使用Ornipressin和小劑量多巴胺[2~3μg/(kg·min)]治療27天后,腎功能衰竭可完全逆轉至正常。但Ornipressin的副作用是導致動脈缺血,臨床上已有相關文獻報導。然而,該藥可有嚴重並發症,如缺血性結腸炎、舌梗死、無症狀室性早搏、尿路感染引起菌血症等。
(3)Terlipressin 是合成的血管升壓素類似物,比血管升壓素半衰期長。套用Terlipressin可以升高血壓,提高GFR和尿量,沒有明顯副作用。有人對HRS病人(Ⅰ型)接受Terlipressin治療,根據病人體重和機體耐受程度,劑量由1mg,每天2次靜脈注射,至2mg,每天3次靜脈注射,可使病人血清肌酐水平恢復至正常範圍。如果病人用藥後出現腹痛,減少使用劑量後腹痛消失。
(4)Midodrine和奧曲肽 奧曲肽是一種生長抑素類似物,作用時間長,對內臟血流動力學的作用變異不一。Midodrine是一種擬交感藥物。長期套用Midodrine和奧曲肽能提高腎功能,增加腎血流量、GFR和尿鈉排出,同時血漿腎素活性、血管升壓素和胰高血糖素含量下降。沒有明顯副作用。
肝腎綜合徵(6)內皮素拮抗劑 內皮素是強效內源性血管收縮劑,在HRS病人中升高。ETA的拮抗劑BQ123能增加菊粉和對氨基馬尿酸的排泄率。
(7)N-乙醯基半胱氨酸 該藥能增加肌酐清除率,提高尿量和尿鈉。有學者研究認為,N-乙醯基半胱氨酸治療HRS病人(Ⅰ型)5天后,血清肌酐水平下降,內源性肌酐清除率增加,尿量和尿鈉明顯增多,1個月和3個月生存率分別達到67%和58%。
4、腎支持療法 支持療法通常採用持續血液過濾,間歇血液透析可使部分病人發生血流動力學紊亂。分子吸收再循環系統(MARS)是一種改進的透析方法,含清蛋白的透析液通過碳和陰離子交換柱再循環和灌注,能選擇性的去除清蛋白結合物質。研究證實MARS能提高生存率。
5、外科療法、TIPS、透析和肝移植改善HRS病人的腎功能。目前臨床上少用。
治療
肝腎綜合徵(二)支持療法:停用任何誘發氮質血症及損害肝臟的藥物,給予低蛋白、高糖飲食,減輕氮質血症及肝性腦病的發展,同時使用保肝降酶藥物。
(三)去除誘因:上消化道出血、肝癌破裂出血、大量排放腹水、大劑量套用利尿劑、合併嚴重感染、手術等是肝腎綜合徵的常見誘因,應予以及時防治。
(四)糾正水電解質及酸鹼平衡:在補充有效血容量的基礎上增加尿量及尿鈉排泄,積極糾正K+、Na+、Cl+、Mg+及酸鹼失衡。
(五)擴容治療:使用血漿、全血、白蛋白或右鏇糖配等血漿製劑擴容,同時給予速尿等,減輕血管阻力,改善腎血流量。如肺毛細血管楔壓不,則不宜擴容。
(六)血管活性藥物的套用:套用多巴胺。酚妥拉明可擴張腎臟血管,改善腎血流量,降低腎血管阻力。
(七)前列腺素PI與6542-2:這兩個藥對腎臟均有保護作用。
(九)中醫治療:中藥製劑丹參注射液靜滴,可治療功能性腎衰,降低BUN水平。
中醫如何辨證論治
根據肝腎綜合徵本虛標實的病機,中醫辨證治療應以調肝、健脾、益腎、祛邪為法,或扶正為主,或祛邪為先,或虛實並治。常分以下5型論治:
肝腎綜合徵(2)脾腎陽虛,水濕泛濫:證見面色晦滯或慘白,畏寒肢冷,神倦便溏,腹脹如鼓,或伴肢體水腫,脘悶納呆,噁心嘔吐,小便短少,舌苔白而潤,脈沉細或濡細。治宜健脾溫腎,化氣行水。方選附子理中湯合五苓散加減:附子、黨參、白朮、乾薑、肉桂、澤瀉、茯苓、車前子、大腹皮。若嘔吐甚者,加半夏、吳萸以溫胃止嘔。
(3)肝腎陰虛,濕熱互結:證見腹大脹滿,甚則青筋暴露,煩熱口苦,渴而不欲飲,小便短少赤澀,大便稀薄而熱臭,舌紅,苔黃膩,脈弦數。治宜滋養肝腎,清熱祛濕。方選一貫煎合茵陳蒿湯加減:北沙參、麥冬、生地、枸杞、澤瀉、豬苓、茯苓、茵陳、生大黃、梔子、滑石。若舌絳、少津,加玄參、石斛以清熱生津;齒鼻衄血,加仙鶴草、鮮茅根以涼血止血。
(4)濁毒壅滯,胃氣上逆:證見納呆腹滿,噁心嘔吐,大便秘結或溏,小便短澀,舌苔黃膩而垢濁或白厚膩,脈虛數。治宜扶正降濁,和胃止嘔。方選黃連溫膽湯合溫脾湯加減:人參、附子、生大黃、黃連、姜半夏、生薑、茯苓、竹茹。若濁毒壅滯,便溏,苔白厚膩,嘔吐清水,上方生大黃改為制大黃,去黃連,加肉桂、吳萸以增溫中止嘔之功。
(5)邪陷心肝,血熱風動:證見頭痛目眩,或神昏譫語,循衣摸床,唇舌手指震顫,甚則四肢抽搐痙攣,牙宣鼻衄,舌質紅,苔薄,脈弦細而數。治宜涼血清熱,熄風止痙。方選犀角地黃湯合羚羊鉤藤湯加減:水牛角、生地、丹皮、鉤藤、菊花、赤白芍、竹茹、茯神、甘草、羚羊角、地龍。若見大量吐血便血,須配合輸血、輸液及其他止血方法搶救;氣隨血脫汗出肢冷,脈微細欲絕者,急用獨參湯以扶元救脫;病至肝腎陰竭,肝風內動,見口臭神昏、抽搐者,合用紫雪丹或安宮牛黃丸以鎮痙熄風,平肝開竅。
消化系統疾病(三)
| 消化系統疾病一直是影響人類生存質量的主要疾病,特別是消化系統腫瘤更是嚴重威脅人類健康。醫學統計數據表明,屬於消化系統腫瘤的肝癌和胃癌長年來一直位於我國腫瘤發病率的第二位和第三位。 |
消化系統疾病
| 消化系統疾病一直是影響人類生存質量的主要疾病,特別是消化系統腫瘤更是嚴重威脅人類健康。醫學統計數據表明,屬於消化系統腫瘤的肝癌和胃癌長年來一直位於我國腫瘤發病率的第二位和第三位。 | |||
| 胃炎 急性胃炎 急性胃腸炎 胃潰瘍 慢性萎縮性胃炎 慢性胃炎 慢性淺表性胃炎 消化性潰瘍 胃腸道脹氣 腸上皮化生 胃癌 胃痛 急性胃擴張 胃柿石症 胃黏膜脫垂症 胃下垂 胃泌素瘤 傾倒綜合徵 胃扭轉 小腸腫瘤 阿狄森氏病 | 大腸癌 直腸癌 肛門直腸損傷 結腸直腸腺瘤 克隆氏病 腸中風 急性腸炎 慢性腸炎 急性腸梗阻 急性腸胃炎 偽膜性腸炎 放射性腸炎 直腸陰道瘺 腸結核 缺血性腸病 闌尾炎 急性闌尾炎 蛔蟲病 蟯蟲病 鉤蟲病 | 先天性肛門閉鎖 肛門瘺管 肛裂 肛門梳硬結 肛門濕疹 肛門直腸先天畸形 直腸脫垂 肛門瘙癢 大便失禁 肛管直腸癌 便秘 器質性便秘 功能性便秘 結腸性便秘 妊娠便秘 產褥期便秘 小兒便秘 急性細菌性痢疾 小兒便血 胃原性腹瀉 | 感染性腹瀉 食物中毒 腺病毒胃腸炎 慢性肝炎 小兒肝炎 藥物性肝炎 酒精性肝炎 肝昏迷 肝功能衰竭 肝細胞凋亡 肝腫大 黃疸 老年肝硬化 肝纖維化 門靜脈高壓症 肝腎綜合徵 肝吸蟲病 肝功能檢查 肝穿刺 肝移植術 |

