胃黏膜介紹
胃黏膜上皮:為單層柱狀上皮,排列整齊,能分泌黏液覆蓋於胃黏膜的表面,防止胃酸和胃蛋白酶對胃黏膜的損害。
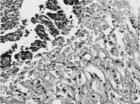
固有層:由結締組織構成,其中含有大量的胃腺,它們分別是賁門腺(cardiac and)、幽門腺(pyloric gland)、胃底腺(fundic gland)。賁門腺和幽門腺分別位於賁門部和幽門部的固有層內,主要分泌黏液。胃底腺主要位於胃底和胃體的固有層內,是產生胃液的主要腺體。胃底腺由多種腺細胞組成,主要是主細胞和壁細胞。
主細胞(chief cell)又稱為胃酶細胞,數量較多,主要分布於胃底的中、下部。胞體呈圓柱狀,胞核圓形,胞質嗜鹼性,有酶原顆粒。主要功能是分泌胃蛋白酶原。
壁細胞(parietal cell) 又稱為鹽酸細胞,主要分布於胃底腺的上半部。細胞體積較大,呈三角形或圓形,胞質嗜酸性,在HE染色中呈紅色。壁細胞主要功能是分泌鹽酸,具有激活胃蛋白酶原和殺菌作用;同時壁細胞還分泌內因子,具有促進維生素B12吸收的作用。
頸黏液細胞(mucous neck cell)細胞數量較少,分布於胃底腺的上部,夾在壁細胞之間。細胞呈柱狀,胞核扁圓形,位於細胞基部,細胞內充滿黏原顆粒,能分泌黏液。
此外,胃底腺還有未分化細胞和胃的內分泌細胞。
黏膜肌層:為薄層平滑肌,排列成內環外縱,有利於胃腺分泌物的排出。
保護胃黏膜
(一)
胃黏膜1、小米:暖胃,安神
2、南瓜:南瓜性溫,味甘。
解毒:南瓜內含有維生素和果膠,果膠有很好的吸附性,能粘結和消除體內細菌毒素和其他有害物質,如重金屬中的鉛、汞和放射性元素,起到解毒作用
保護胃黏膜,幫助消化:南瓜所含果膠還可以保護胃腸道黏膜,免受粗糙食品刺激,促進潰瘍面癒合,適宜於胃病患者。南瓜所含成分能促進膽汁分泌,加強胃腸蠕動.幫助食物消化。
消除致癌物質:南瓜能消除致癌物質亞硝胺的突變作用,有防癌功效,並能幫助肝、腎功能的恢復,增強肝、腎細胞的再生能力。
3、猴頭菇:性平味甘,補而不燥
猴頭菇性平味甘,含豐富的多糖及多種營養成分,可助消化、益脾胃、利五臟、補氣血。專治消化不良、神經衰弱、胃潰瘍。經過濃縮提取的猴頭菇精華液,不僅有效成分的含量高於乾菇,而且更便於人體的吸收。
4、菠菜、胡蘿蔔、洋蔥、大蒜
5、飲用優酪乳,即補充了營養,又避免了抗菌素對人體產生的副作用,因為優酪乳中含有大量的活性桿菌,可以使抗菌素藥物引起的腸道菌群失調現象重新獲得平衡,同時保護了胃黏膜。
注意事項
飲食要清淡,不吃油膩食物,以免刺激膽汁分泌增多,加重反流和病情。應細嚼慢咽,忌暴飲暴食。避免飲釅茶、烈酒、濃咖啡和進食辛辣、過冷、過熱和粗糙食物。
去除某些加重病情的因素包括戒菸、避免情緒緊張和不服用對胃黏膜有刺激的藥物,如阿司匹林、消炎痛、去痛片和保泰松等。

