正常時,它不斷分化成胃型上皮細胞,以補充衰老脫落的表面上皮;病理情況下,它可分化為腸型上皮細胞,形成腸化生。近來有人進一步研究腸化灶的組織學始發部位主要在胃小溝,微小的腸化灶以胃小溝為中心,可以不同程度地向周圍胃小區發展為小灶及大片狀腸化灶。通過病理學的研究,目前對腸上皮化生作了一系列的分類,按化生上皮功能來分腸上皮化生,可分為完全性或不完全性腸上皮化生。前者與小腸黏膜吸收細胞相似,有刷狀緣,不分泌粘液,具有潘氏細胞、杯狀細胞和吸收細胞,含蔗糖酶、海藻糖酶及亮氨酸基肽酶和鹼性磷酸酶;而不完全性腸上皮化生刷狀緣不明顯,微絨毛髮育不全,胞漿內有粘液分泌顆粒,含蔗糖酶,但氨基肽酶和鹼性磷酸酶活性低,無海藻糖酶。通過粘液組化染色把腸上皮化生分為小腸型化生(即完全性腸上皮化生)和結腸型化生(即不完全性腸上皮化生)。小腸型化生,其上皮分化好,是一種常見的黏膜病變,廣泛見於各種良性胃病(57.8%),尤其多見於慢性胃炎,隨著炎症的發展化生亦加重,故認為小腸型化生可能屬於炎症反應的性質;而結腸型化生,其上皮分化差,在良性胃病中檢出率很低(11.3%),但在腸型胃癌旁黏膜中檢出率很高(88.2%),說明結腸型化生與胃癌的發生有密切關係。一般結腸型化生發生的年齡較小腸型化生為晚,而且均位於較重的小腸化生灶中。兩型化生可混合存在,因此結腸型化生可能是在小腸型化生逐漸加重的基礎上發生的。
相關詞條
-
腸腺化生
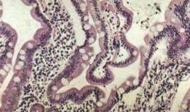
慢性萎縮性胃炎時胃黏膜上皮被腸型腺上皮替代,出現分泌酸性粘液的杯狀細胞、有紋狀緣的吸收上皮細胞和潘氏細胞等,稱為腸上皮化生。
概述 具體分類 -
腸上皮化生
慢性胃炎時,胃黏膜上皮轉變為含有帕內特細胞或杯狀細胞的小腸或大腸黏膜上皮組織,稱為腸上皮化生(簡稱腸化生),是一種比較常見的現象,特別是在高齡人更為多見...
簡介 疾病分類 病因 病理 症狀 -
化生
是中國本土文化一個節日習俗。化生(metaplasia) 是指一種已分化組織轉變為另一種分化組織的過程。並非由已分化的細胞直接轉變為另一種細胞,而是由具...
病理學中的“化生” 節俗 佛教理解 -
腸炭疽
腸炭疽:主要是由於進食帶菌肉類所致,以急性腸道感染為特徵。其主要症狀為噁心、厭食、嘔吐和發熱,重者腹痛、吐血並有嚴重的水樣便。腸炭疽導致的死亡病例占患者...
疾病簡介 病原 臨床表現 全面認識 分布情況 -
組織化生
鱗狀上皮;胃黏膜細胞化生成為腸上皮等。化生是組織為適應外界環境的改變... 化生,是指一些已經分化成熟的組織,由於適應環境而轉變為另一種形態的組織的過程。化生常見於上皮組織和結締組織。如慢性支氣管炎病人,其支氣管...
-
腸子宮內膜異位
腸子宮內膜異位是指有活動功能的子宮內膜侵及腸管,並在卵巢激素的周期性影響下,產生的一種非癌性病化的臨床症狀。由於病變通常侵犯結腸和直腸,又稱大腸子宮內膜...
體徵 病因 診斷 治療 併發症 -
《化生》
《化生》之語出自《金剛經》:“所有一切眾生之類,若卵生、若胎生、若濕生、若化生,若有色、若無色、若有想、若無想、若非有想非無想,我皆令入無餘涅槃而滅度之。”
-
蘭索拉唑腸溶片
蘭索拉唑腸溶片是一種藥物,主要功效用於胃潰瘍、十二指腸潰瘍、反流性食管炎、佐-艾(Zollinger-Ellison)綜合徵(胃泌素瘤)。
成份: 所屬類別: 性狀: 適應症: 規格:

