症狀體徵
本病多見於老年人,大多數患者有 膽囊結石病史,有反覆發作的膽絞痛及 黃疸,並發 膽管炎的患者可有典型的 腹痛、 黃疸、 高熱寒戰三聯征;多數患者有輕度黃疸或黃疸史,也可無黃疸。England等報導了25例病人,其中19例有梗阻性 黃疸病史,4例病人有 膽管炎病史。Myrian等人報導了17例病人中,反覆發作膽絞痛者占12例,梗阻性 黃疸病人10例, 膽管炎病人6例。在 Mirizzi綜合徵患者 膽囊可以增大、萎縮,也可以沒有變化,多數報導以膽囊萎縮的居多;肝總管可以正常、增寬或狹窄,如果並發 膽總管結石/十二指腸 乳頭炎/狹窄可以有膽總管增寬。總之 膽囊、 膽管沒有特異性的改變。
輔助檢查
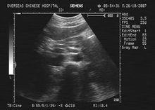
B超BUS檢查
B超BUS檢查具有無創、安全、快速、廉價及重複性好的特點,常作為首檢查方法,並具有篩選價值,B超是診斷的首選方法。主要圖像特徵有以下幾點: (1)多數患者有膽囊結石,結石位於膽囊或膽囊頸部,膽囊壁增厚,膽囊可見擴張、萎縮或膽囊大小正常。
(2)膽囊管開口上方的肝總管、肝內膽管擴張或不擴張。
(3)膽總管直徑大小正常。
Joseph描述膽總管直徑正常,可見到擴張的膽囊管、肝總管及門靜脈,即所謂的“三管征”(triplechannelsign)。 見到“三管征”應考慮為硬化性膽管炎,但是臨床上很少見到“三管征”。何效東等報導32例中23例行B超檢查,僅有2例出現“三管征”。肝總管狹窄及膽囊膽管瘺患者,由於患者的膽囊萎縮,顯像不佳,再加之膽總管顯示不清,較難判斷。Ⅰ型嵌頓結石均容易顯示。文獻認為凡是臨床有反覆發作的膽管炎、梗阻性黃疸而超聲顯示膽囊頸或膽囊管結石,膽囊壁增厚的患者,特別是BUS診斷同時發現肝總管及肝內膽管擴張而膽總管不擴張者應高度懷疑本病的可能。
內鏡逆行胰膽管造影
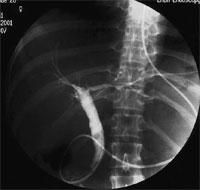
內鏡逆行胰膽管造影(endoscopicretrogradecholangiopancreatography,ERCP)患者口服膽囊造影劑多不顯影,ERCP作為直接膽道造影的方法之一,是頗具診斷價值的檢查方法。文獻認為ERCP表現為:
(1)肝總管處可見邊緣光滑的圓形充盈缺損影,有人稱之為“反C征”,此充盈缺損以上的肝總管及肝內膽管顯著擴張,缺損以下的膽總管輕度擴張或正常,偶見肝總管被牽拉移位與膽總管形成“<”狀,是因為膽囊向心性萎縮所致。
(2)本徵Ⅰ型肝內外膽管輕到中度擴張,Ⅱ、Ⅲ型中到重度擴張,以肝總管及肝內膽管擴張為著,完全梗阻者上段不顯影。
(3)膽囊萎縮,有部分患者膽囊不顯影,膽囊管明顯擴張伴結石影,膽囊膽管之間出現交通陰影時,表示有內瘺存在。
(4)部分患者合併膽總管結石。
(5)部分患者膽總管下端炎性狹窄或結石梗阻致排空不暢,膽管不顯影或顯影不良。
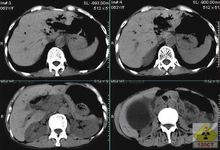
CT檢查
硬化性膽管炎CT(computerizedtomography)CT能較好地顯示含鈣結石及肝門區的解剖關係,可提示此綜合徵與其他疾病鑑別診斷的徵象。CT主要表現為:膽囊頸增寬;膽囊外的含鈣結石;靠近膽囊有一個不規則的囊腔;胰腺段以上膽管梗阻徵象。肝門區多囊多管征和肝門區擴張的膽管壁增厚以及肝門區各結構之間的脂肪間隙顯示模糊和消失徵象,後者是由於膽囊頸或膽囊管嵌頓結石引起膽囊管擴張、扭曲和膽囊周圍炎的表現。如CT未顯示含鈣結石,但有胰上段的膽管擴張、增厚、肝門區脂肪間隙顯示不清及消失,也應考慮此綜合徵的可能。但應與腫瘤及其他疾病引起的類似徵象鑑別。由於CT橫斷面的限制,常不能顯示膽囊頸/管結石嵌頓壓迫肝總管的直接徵象,與超聲相比並無更多優勢,但隨著螺鏇CT三維重建技術的開發及在膽
系疾病中的套用,在此綜合徵的診斷中具有一定的潛力。
磁共振胰膽管造影
磁共振胰膽管造影(MRcholangiopancreatography,MRCP)MRCP作為MR水成像技術的臨床套用新進展之一,已被廣泛套用於各種膽胰管病變的臨床診斷,具有無創傷性,安全簡便,不需要造影劑和X線照射,三維重建圖像類似於直接膽胰管造影片,並可多方位鏇轉、多角度觀察等優點。影像表現與ERCP表現相似,表現為肝內膽管擴張,肝總管狹窄,結石嵌頓,梗阻水平一般在膽囊管。由於它可觀察膽系周圍組織結構和解剖形態,可與其他疾病相鑑別,且非侵襲性,將取代ERCF及PTC。
實驗室檢查
實驗室檢查肝功能異常,如血清膽紅素、AST、AKP升高,B超表現萎縮性膽囊、“三管征”或ERCP、MRCP上見到膽囊管過長或膽囊管與肝總管並行,“反C征”要高度懷疑硬化性膽管炎。
硬化性膽管炎Redaelli等報導1759例膽囊切除術,診斷Mirizzi綜合徵有18例,其中發現並發膽囊癌5例,占27.8%,而在單純膽結石手術中,並發膽囊癌的不足2%,二者之間有顯著差異,同時在18例中
腫瘤相關抗原CAl99高於正常有12例,而5例並發膽囊癌的病例更是明顯增高。由此表明,硬化性膽管炎與腫瘤惡變有某種關聯,其原因是膽囊結石長期慢性刺激導致黏膜增生、變性而發生癌變。因此,術前診斷或術中膽囊冰凍切片是重要的。1982年Mcsherry等依據ERCP表現為2型:Ⅰ型為結石嵌頓在膽囊管/頸部外壓肝總管而引起黃疸;Ⅱ型為結石部分或全部破潰入肝總管形成膽囊肝總管瘺。其中Ⅰ型又進一步分為2個亞型:ⅠA型為膽囊管與肝總管平行,膽囊管長度>3cm;ⅠB型為膽囊管被完全阻塞。Ⅱ型分為ⅡA和ⅡB型:ⅡA型為膽管瘺呈開放性;ⅡB型因結石嵌頓在瘺口處形成假膽瘺,術中取石後才發現瘺口。1989年Csendes等根據有否膽囊膽管瘺及內瘺造成膽管壁損傷的程度分4型:Ⅰ型為膽囊管或頸結石嵌頓壓迫肝總管;Ⅱ型為膽囊膽管瘺形成,瘺管口徑<膽總管周徑的1/3;Ⅲ型為膽囊膽管瘺形成,瘺管口徑>膽總管周徑的2/3;Ⅳ型為膽囊膽管瘺完全破壞了膽總管壁。但England等認為術前通過膽道造影不可能測定瘺的大小,提出Csendes分型的實際意義不大。1997年Nagakawa等從診斷和治療角度出發,分為以下4型:Ⅰ型,膽囊頸、膽囊管嵌頓結石引起肝總管狹窄;Ⅱ型,膽囊管、膽囊頸嵌頓結石,形成膽囊肝總管瘺;Ⅲ型,由於三管合流處結石引起肝總管狹窄;Ⅳ型,膽囊管、膽囊頸無結石嵌頓,而由膽囊炎引起肝總管狹窄。
鑑別診斷
主要是不易與 原發性硬化性膽管炎相鑑別,兩者均表現為梗阻性 黃疸。但在後者大多伴有腸道炎性疾病,膽道成像可見部分或全部肝外 膽管環形狹窄,肝內膽管常受累,其程度比肝外者嚴重,輕度擴張的膽管呈串珠樣。再者就是與膽系腫瘤的鑑別, 膽管癌患者全身情況差, 黃疸呈進行性加重,不可逆,CT掃描對鑑別有幫助;通過 影像學檢查可以排除 膽總管結石,通過病史可以排除外傷或醫源性引起的 膽管狹窄。
混淆的疾病
PSC需與慢性活動性肝炎、繼發性硬化性 膽管炎、原發性 膽管癌、 原發性膽汁性肝硬化及自身免疫重疊綜合徵等相鑑別。 1.慢性活動性肝炎 早先曾有將PSC診斷為慢性活動性肝炎的報導。主要原因是在這些患者的組織學檢查中發現 碎片狀壞死,這一現象現被認為是PSC的一個特徵。依靠 膽道造影可以解決兩者鑑別診斷的困難。此外,慢性活動性肝炎患者多有急性肝炎病程,常有肝炎接觸史,或輸血、注射污染等,發病年齡較輕,一般在發病2~3周后 黃疸逐漸消退,血清ALT明顯升高而GGT與ALP不增高或僅輕度增高等特點,可資鑑別。
2.繼發性硬化性 膽管炎 該病多有膽管疾病反覆發作史或膽管手術史,膽管的炎性狹窄多為環狀,狹窄部位短,膽管黏膜上皮損傷明顯,可有糜爛、潰瘍和肉芽腫形成,常伴有 結石。而PSC的 膽管狹窄部較長,且病變主要在 黏膜下層,呈纖維化改變,膽管黏膜完好無損,是兩者主要區別點。
3.原發性 膽管炎 少數PSC病例發病前僅為肝內的或肝外的膽管,當僅有肝內膽管病變時,則應注意與原發性膽管炎相鑑別。原發性 膽管炎是一種多發於年輕女性的疾病,組織學上表現為非化膿性膽管炎,血清中含有高滴度的抗體,在肝外膽管不發生病變。而PSC大多發生於男性,許多患者伴有潰瘍性結腸炎,無血清標記出現或抗體滴度較低可資鑑別。
4.原發性 膽管癌 該病發病年齡通常在40~50歲,常有體重減輕或消瘦,手術探查及組織學檢查可以確診。對於節段性或瀰漫性 膽管狹窄的PSC病例,由於 膽道的廣泛狹窄及膽管樹的廣泛纖維化,將其與 膽管癌區別開來較為困難,尤其是當肝內膽管未被侵及時,肝內膽管廣泛性擴張更常見於膽管癌而不常見於PSC。但有肝外 膽管狹窄者,一定要考慮 膽管癌的可能,必要時可行 細胞學或活檢以排除膽管癌。值得注意的是因PSC具有惡變傾向性,無論在初診或隨訪時,都應考慮到惡變的可能性。 黃疸突然加重, 膽道造影顯示膽道或膽道節段性明顯擴張,出現 息肉樣包塊,且直徑≥1.0cm,進行性狹窄或擴張等,則應考慮已發生 膽管癌。此時採用血清腫瘤標記物(CEA、C19-9)和膽道 細胞學檢查,磁共振膽道造影和ECT等方法,對確定診斷可取令人振奮的結果。
5. 原發性膽汁性肝硬化 該病發病年齡以20~40歲多見,病程徐緩, 黃疸有波動,伴肝脾大,血清抗線粒體抗體陽性,免疫球蛋白明顯增高,診斷、鑑別診斷上較少困難。
6.自身免疫重疊綜合徵(AIH/PSC) 該綜合徵具有自身免疫性肝炎(AIH)和PSC症狀,同時符合二者的診斷標準,即高球蛋白血症,抗核或抗 平滑肌抗體陽性,肝活檢證明有膽道改變,並具有 肝門區域壞死-炎症活動的自身免疫性肝炎患者,應考慮並發PSC(AIH/PSC重疊綜合徵)的可能。這時需行膽道造影以確診或排除自身免疫重疊綜合徵。
應當注意,在患有潰瘍性結腸炎並有持續肝功不良的患者中,確有自身免疫性活動性肝炎存在,但不如PSC常見。

