概述
膽汁性肝硬化系由於長期肝內膽汁滯留,或肝外膽道更阻所引起。前者稱為原發性膽汁性肝硬化,後者稱為繼發性膽汁性硬化。該病90%發生於女性,特別多見於40~60歲的婦女,男:女為1:8。早期症狀僅有輕度疲乏和間歇發生的瘙癢,1/2有肝腫大,1/4有脾腫大,血清鹼性磷酸酶及γ-GT升高常是唯一的陽性發現。終末期表現為肝功能衰竭,曲張靜脈破裂、肝性腦病、腹水、水腫伴深度黃疸。早期的患者可使用藥物治療,終末期即應進行肝移植。
簡介
任何原因引起的肝內,外膽管疾病,導致膽道阻塞,膽汁淤積,皆可發展為膽汁性肝硬化。分原發性膽汁性肝硬化和繼發性膽汁性肝硬化。在臨床上較為少見,共發生與肝內膽汁淤積和肝外膽管長期梗阻有關。—服分為肝內膽汁淤積性和肝外膽管梗阻性肝硬化兩種。組合多由肝內細小膽管疾病引起膽汁淤積所致,其中與自身免疫有關者、稱為原發性膽汁性肝硬化,後者多繼發於肝外膽管阻塞,故稱為繼發性膽汁性肝硬化。膽汁性肝硬化的主要臨床表現為慢性梗阻性黃疸和肝脾腫大,晚期亦可出現門靜脈高壓和肝功能衰竭。
病因
病因 類風濕性關節炎常見的原因為膽管系統的阻塞,如膽石、腫瘤(胰頭癌、Vater壺腹癌)等對肝外膽道的壓迫,引起狹窄及閉鎖。在兒童患者多因肝外膽道先天閉鎖,其次是總膽管的囊腫、膽汁性肝硬化(biliarycirrhosis)等。膽道系統完全閉塞6個月以上即可引起此型肝硬化。
膽汁性肝硬化分原發性膽汁性肝硬化(PrimaryBiliaryCirrhosis,PBC)和繼發性膽汁性肝硬化(SecondaryBiliaryCirrhosis)。後者由肝外膽管長期梗阻引起。一般認為PBC是一種自身免疫性疾病,淋巴細胞被激活後,攻擊中、小膽管,導致炎症反應。組織學上,頗似宿主對移植物的排斥反應。與肝臟同種移植的排斥反應有許多相似之處。臨床上,病情緩解與惡化交替出現,常伴有其他自身免疫性疾病,如乾燥綜合徵,系統性紅斑狼瘡,類風濕性關節炎及慢性淋巴細胞性甲狀腺炎等。體液免疫顯著異常,抗線粒抗體陽性率達90%~100%,80%患者其滴度大於1:80,有人在研究PBC時,甚至把抗線粒體抗體陽性作為病例納入標準。部分患者尚有抗核抗體、類風濕因子、甲狀腺抗體等,這些抗體與相應抗原可形成大的免疫複合物,通過補體系統引起免疫損傷。
病理
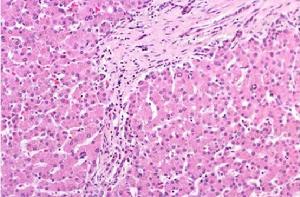
膽汁性肝硬化第一期,膽小管炎期,其特徵為肝小葉間膽管或中隔膽管的慢性非膿性炎症,膽小管管腔、管壁及其周圍有炎性細胞浸潤。主要為淋巴細胞、漿細胞。匯管區因炎性細胞浸潤而擴大,並有肉芽腫變,但肝細胞及界板正常。
第二期,膽小管增生期,膽小管由於慢性炎症的進行性破壞,代之以纖維組織,多數匯管區難以發現小葉間膽管,但有不典型小膽管增生,此期仍可見肉芽腫。肝小葉周圍毛細膽管極度擴張,含濃縮膽栓,毛細膽管破裂,形成膽糊,其周圍肝細胞腫脹,胞漿疏鬆呈透亮網狀,即羽毛樣變性。
第三期,瘢痕形成期,匯管區膠原含量增多而炎細胞及膽管減少,偶見淋巴濾泡伴生髮中心,中等大小匯管區纖維化最著,肉芽腫不常見,纖維分隔自匯管區向另一匯管區伸展,或向肝小葉延伸,由於碎屑樣壞死的並存以及淤膽,鐵、銅的沉積,引起肝細胞損傷,以致界板模糊不清。
第四期,肝硬化期,匯管區纖維隔互相擴展和連線,分割肝小葉形成假小葉,可見再生結節,一般為小結節性肝硬化,也可呈不完全分隔性,假小葉中央有壞死。
分類
繼發性膽汁性肝硬化
常見的原因為膽管系統的阻塞,如膽石、腫瘤(胰頭癌、Vater壺腹癌)等對肝外膽道的壓迫,引起狹窄及閉鎖。在兒童患者多因肝外膽道先天閉鎖,其次是總膽管的囊腫等。膽道系統完全閉塞6個月以上即可引起此型肝硬化。
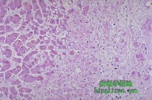
病理變化:早期肝體積常增大,表面平滑或呈細顆粒狀,硬度中等,相當於不全分隔型。肝外觀常被膽汁染成深綠或綠褐色。鏡下,肝細胞胞漿內膽色素沉積,肝細胞因而變性壞死,表現為肝細胞體積增大,胞漿疏鬆呈網狀、核消失,稱為網狀或羽毛狀壞死。毛細膽管淤膽、膽栓形成。壞死區膽管破裂,膽汁外溢,形成“膽汁湖”。門管區膽管擴張及小膽管增生,纖維組織增生及小葉的改建遠較門脈性及壞死後性肝硬化為輕。伴有膽管感染時則見門管區及增生的結締組織內有多量嗜中性粒細胞浸潤甚至微膿腫形成。
原發性膽汁性肝硬化
本病又稱慢性非化膿性破壞性膽管炎,在中國很少見,病因不明,可能與自身免疫反應有關。多發生於中年以上婦女。臨床表現為長期梗阻性黃疸、肝大和因膽汁刺激引起的皮膚瘙癢等。還常伴有高脂血症和皮膚黃色瘤。肝內外的大膽管均無明顯病變,門管區小葉間膽管上皮可發生空泡變性及壞死並有淋巴細胞浸潤,繼而小膽管破壞並出現淤膽現象,纖維組織增生並侵入、分隔肝小葉,最終發展成肝硬化。
臨床表現
臨床表現 蜘蛛痣90%發生於女性,特別多見於40~60歲的婦女,男:女為1:8 。有報導妊娠時發病者約占10%,該病起病隱襲,發病緩慢。
1、早期 症狀僅有輕度疲乏和間歇發生的瘙癢,1/2有肝腫大,1/4有脾腫大,血清鹼性磷酸酶及γ-GT升高常是唯一的陽性發現,日輕夜重的瘙癢作為首發症狀達47%。1/4患者先有疲乏感,且可引起憂鬱症,之後出現瘙癢。黃疸作為首發表現者占13%,此類患者常有肝脾腫大,可有黃疣,角膜色膜環,肝掌,蜘蛛痣,抓痕部位有蝶形皮膚色素斑,皮膚變粗、變厚,可能與抓傷和維生素A缺乏有關。2、無黃疸期 少數患者血清膽固醇可高達8g/L,掌、跖、胸背皮膚有結節狀黃疣,也有沿膝、肘、臀肌腱、神經鞘分布者,杵狀指,長骨骨膜炎可伴有疼痛與壓痛。
3、黃疸期 臨床黃疸的出現標誌著黃疸期的開始,黃時常伴有骨質疏鬆、骨軟化、椎體壓縮,甚至發生肋骨及長骨骨折,這些與維生素D代謝障礙有關。
4、終末期 血清膽紅素直線上升,肝脾明顯腫大,瘙癢,疲乏感加重。慢性肝病徵象日趨加重,伴食管胃底靜脈曲張破裂出血及腹水的患者增多。由於銅的沉積,少數可見角膜色素環。由於腸腔內缺乏膽鹽,脂肪的乳化和吸收不良,可發生脂肪瀉,此時維生素A、D、K吸收不良,可產生夜盲、皮膚角化、骨骼變化及凝血機制障礙。膽管造影示大膽管正常,小膽管扭曲。最後為肝功能衰竭,曲張靜脈破裂、 肝性腦病 、腹水、水腫伴深度黃疸,往往是終末期表現。
伴隨疾病及其相關表現,2/3有結締組織病,自身免疫性甲狀腺炎也常見,還可伴硬皮病,鈣質沉著,雷諾氏現象,75%有乾性角膜結膜炎 ,35%有無症狀性菌尿、肥大性骨關節病,1/3有色素性膽結石,另外還可有膜型腎小球腎炎及腎小管性酸中毒 。
輔助檢查
膽汁性肝硬化 抗線粒體抗體(1)血膽紅素增高 以直接膽紅素為主,尿膽紅素陽性,由於膽紅素從膽汁中排出減少,糞膽原及尿膽原均減少。
(2)血清鹼性磷酸酶增高 鹼性磷酸酶的來源是膽小管上皮,PBC可在臨床症狀出現之前即有鹼性磷酸酶的明顯增高。
(3)血脂增高 特別是磷脂和膽固醇增高最明顯,甘油三酯可正常或中度增高。
(4)肝功能檢查 血清膽酸濃度增加,凝血酶原時間延長,早期注入維生素K後可恢復正常,晚期肝功能衰竭時則不能矯正。血清白蛋白在疾病早、中期正常,晚期則減少;球蛋白增加,主要為α2、β及γ球蛋白增高。
(5)免疫學檢查 抗線粒體抗體的陽性率可達90%~100%,可作為診斷的重要參考。此抗體在慢性活動性 肝炎 的陽性率為10%~25%,少數隱匿性肝硬化、系統性紅斑狼瘡及類風濕性關節炎也可陽性。1/3患者有抗膽管細胞抗體,少數有抗平滑肌抗體和抗核抗體,1/2類風濕因子陽性。血清IgM可增高。
抗線粒體抗體、鹼性磷酸酶、IgM三者並存對PBC有確診意義。
2、膽道造影 可用靜脈法、經皮經肝膽管造影或內鏡逆行膽管造影法,以除外肝外膽道梗阻。
3、肝穿刺活檢 活體病理檢查,有確診價值,但如膽汁淤積嚴重,或有出血傾向應慎重考慮,必要時行剖腹探查並活檢。
對症治療
(1)瘙癢 可用抗組織胺藥物,如非那根、撲爾敏、苯海拉明等。消膽胺每日5~10g,劑量從小量開始,以能控制瘙癢為度。氫氧化鋁,每日4~20g,能與膽汁酸結合,對肝性瘙癢有效。(2)骨質疏鬆及骨化可採用維生素D每日1~2萬U肌肉注射。葡萄糖酸鈣每日15mg/kg,稀釋到葡萄糖液靜脈滴注,每日1次,10日1療程,需要時間隔2~3月重複1療程。
(3)夜盲症維生素A,每日2。5~5萬U。血清鋅低於正常可口服硫酸鋅,每日220mg,連服4周,至暗適應恢復正常。
(4)凝血機制障礙者維生素K1,每日10mg。
(5)肝移植PBC終末期患者為肝移植對象。
(6)飲食低脂肪(每日50g以下)、高糖、高蛋白飲食,多食蔬菜。
(7)食道胃底靜脈曲張破裂出血、肝昏迷治療同肝硬化。
併發症
鑑別診斷 肝癌2、上消化道大出血:其中因門脈高壓引起的胃底或食道靜脈曲張破裂為多見,其他如出血性糜爛性胃炎、胃
十二指腸潰瘍、賁門黏膜撕裂綜合徵等也是出血原因之一;3、感染:肝硬化患者易發生氣管炎肺炎、腸道感染自發性腹膜炎及革蘭氏陰性桿菌敗血症等;
4、原發性肝癌:肝硬化和肝癌關係令人矚目,推測其機理可能是B肝病毒引起肝細胞損害,而繼發的增生或不典型增生,以及B肝病毒和肝細胞的整合和肝硬病人免疫功能改變等因素有關;
5、肝腎綜合徵:肝硬化合併頑固性腹水持續時間長或合併感染,原有肝病加重等因素,出現少尿、無尿、氮質血症、低血鈉、低尿鈉,初始腎臟往往無器質性病變,故而稱為功能性腎功能衰竭,此併發症預後極差。
診斷
診斷依據:
1、中年以上婦女,皮膚明顯瘙癢、肝大、黃瘤;
2、血清總膽固醇明顯增高,血清膽紅素輕、中度升高,鹼性磷酸酶增高,膽酸濃度增加;
3、IgM升高,抗線粒體抗體陽性且滴度高。如能穿刺取得組織學證據,則更有助於確診。
鑑別診斷
鑑別診斷 藥物性肝炎膽汁性肝硬化的鑑別診斷包括梗阻性黃疸,如總膽管結石、總膽管瘤、胰頭及膽管狹窄等,主要鑑別方法為膽道造影。應與下列疾病鑑別:
1、慢性活動性肝炎 凡抗線粒體抗體陽性,伴有膽淤及組織學上有膽管異常者,應首先除外慢活肝,中國慢活肝膽淤型較PBC多見,短期皮質激素治療的效果觀察有助於區別這兩種病。
2、硬化性膽管炎 此病少見,主要累及大膽管,上述免疫標誌物陰性,且多有細菌感染性發熱,膽管系統造影可幫助鑑別。
3、藥物引起的黃疸 如氯丙嗪、甲基睪丸酮、磺胺、砷製劑等。多由個體過敏引起,有服藥史,在服藥後數周之內發病,黃疸可持續數年,常伴血嗜酸細胞增高,肝活檢沒有典型的PBC組織學表現。
治療
熊去氧膽酸治療膽汁性肝硬化機理2、D-青黴胺能降低肝內銅水平,抑制炎性反應,減輕纖維化,延長患者生存期,開始量為每日0.125g,每2周增加0.125g,直至維持量每日0.5g,應長期治療。嚴重不良反應有皮疹、蛋白尿、血小板或粒細胞減少,應每周查尿蛋白,4周后每月查1次,觀察白細胞計數變化,必要時需中止治療。
3、免疫抑制藥
(1)環胞素A,對Ts有明顯作用,但因有肝腎毒性不宜久用,每日10mg/kg,治療8周后血清鹼性磷酸酶明顯下降。
(2)氨甲喋呤,早期小劑量(每日15mg,分3次口服,每周1次)套用可改善組織學變化。
(3)硫唑嘌呤,可改善膽管的排泄,似對皮膚瘙癢有效,但副作用較大,且不能阻止肝細胞功能衰竭。用量為2mg/kg,需長期用藥。
(1)瘙癢可用抗組織胺藥物,如非那根、撲爾敏、苯海拉明等。消膽胺每日5~10g,劑量從小量開始,以能控制瘙癢為度。氫氧化鋁,每日4~20g,能與膽汁酸結合,對肝性瘙癢有效。
(2)骨質疏鬆及骨化可採用維生素D每日1~2萬U肌肉注射。葡萄糖酸鈣每日15mg/kg,稀釋到葡萄糖液靜脈滴注,每日1次,10日1療程,需要時間隔2~3月重複1療程。
(3)夜盲症維生素A,每日2.5~5萬U。血清鋅低於正常可口服硫酸鋅,每日220mg,連服4周,至暗適應恢復正常。
(4)凝血機制障礙者維生素K1,每日10mg。
(5)肝移植PBC終末期患者為肝移植對象。
(6)飲食低脂肪(每日50g以下)、高糖、高蛋白飲食,多食蔬菜。
(7)食道胃底靜脈曲張破裂出血、肝昏迷治療同肝硬化。
預後
與血清總膽紅素、白蛋白、年齡、凝血酶原時間和水腫程度有關,1989年,Dickson等根據這5項指標,制定了Mayo評分。
R=X1β1+X2β2+…XKβK
X1=In血清總膽紅素(mg/dL),X2=In血清白蛋白(mg/dL),X3=年齡(歲),X4=In凝血酶原時間(秒),X5=水腫程度
Mayo常數:β1=0.871,β2=-2.533,β3=0.039,β4=2.38,β5=0.859
S(t,x)={S0(t)}exp(R-R0)
R0為S0(t)的一危險計分常數,R0=5.07
相應年限存活率S0(t)值為:
時間(年) 1 2 3 4 5 6 7 S0(t) 0.970 0.941 0.883 0.883 0.774 0.721 0.651 由以上公式即可推算出預後對象的相應年限生存機率。
1994年同一實驗室又對該數學模型進行了修改,認為在對兩年內預後估計用新模型好,3~7年則用舊模型為優。
飲食禁忌
代償期和先代償期肝硬化均不宜食用有升發性的食物,如公雞,鯉魚,滷水豆腐等。忌食酒、霉變食物、生硬、麻辣強刺激食物。肝硬化病人的飲食原則是高熱量、高蛋白質、高碳水化合物、高維生素,限制高脂肪和易於消化飲食為宜。適當服用體恆健養肝片補硒能有效防治肝硬化。當肝功能顯著減退並有肝昏迷先兆時,應對蛋白質攝入適當控制。做到定時、定量、少量多餐。提倡低鹽飲食或忌鹽飲食。食鹽每日攝入量不超過1~1.5克,飲水量在2000毫升內,嚴重腹水時,食鹽攝入量應控制在500毫克以內,水攝入量在1000毫升以內。應忌辛辣刺激之品和堅硬生冷食物,不宜進食過熱食物以防並發出血。
肝硬化的危害
1、形成門靜脈高壓:肝硬變發展到肝功能失代償的後期,由於肝細胞不斷壞死、增生,結締組織及瘢痕形成,肝小葉結構異常改變,致使門靜脈壓力進一步升高。由於門靜脈血液回流發生障礙,為了另找出路,門靜脈與臍靜脈之間逐漸建立起側支循環,並且逐漸擴大、增粗,使腹壁靜脈改道,不經下腔靜脈而直接進入上腔靜脈。
2、導致靜脈曲張:食管靜脈和胃底靜脈與奇靜脈相溝通,特別是胃底和食管下段的交通支在臨床上起著重要的作用。在正常情況下,這些交通支都很韌,血流量不大,當門靜脈回流受阻,靜脈壓增高時,因門靜脈本身無靜脈瓣,門靜脈血流可逆流入以上交通支中,久而久之使交通支擴張,胃底和食管下段靜脈與門靜脈最近,由於壓力差較大,故最早發生靜脈曲張。
3、上消化道出血:日久天長,在曲張靜脈部位的食管或胃的黏膜變薄,加上食物的機械刺激損傷,膽汁胃液反流的化學腐蝕,腹水以及噁心、嘔吐、便秘、咳嗽、呃逆時腹壓的增加,均可使門靜脈的壓力突然升高,導致曲張的靜脈破裂出血,形成上消化道大出血。
膽汁性肝硬化預防
一、注意休息,提高睡眠質量。注意休息是防治肝硬化復發的好方法之一。若能再保持豁達的心態,提高睡眠的質量等就很容易讓患者的肝功能恢復,預防肝腹水的發生。
二、積極治療原發病。若你是B肝、C肝或脂肪肝患者,一定要積極的治療這些原發病。這些疾病一旦惡化就會出現肝硬化,尤其是病毒性肝硬化患者,有傳染的特點。
三、戒煙戒酒。這是防治肝硬化復發的重要方法。因為酒精代謝產生的甲醛對肝臟的傷害極其的大,而且肝硬化患者的肝功能本身就已經收到了損害,如果在喝酒吸菸就會加重病情。特別是患有過肝腹水的患者,也會再次導致肝腹水的復發。
肝硬化的養護
合理飲食,營養均衡:肝硬化患者應注意合理調配飲食,予以高熱量、高蛋白、高維生素、低脂肪飲食。早期肝硬化患者日常怎么護理?忌食尖硬、有刺激性食品,以免造成食道靜脈曲張破裂血。有水腫或腹水者,應限制鹽的攝入。肝性腦病病人嚴格限制蛋白 。

