病種概念
泥沙樣膽囊結石是膽囊結石病中的一種類型,其成分主要是膽紅素,大小一般呈的泥沙症,廣泛分布在整個膽囊和膽道系統。膽囊充滿型結石通常伴隨著膽囊萎縮或膨脹,膽囊萎縮較嚴重的。而且極易發生膽管結石梗阻,所以一般在醫學治療上,非常麻煩。
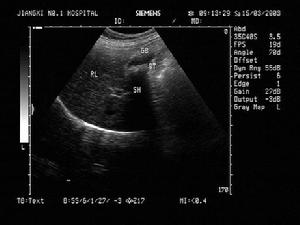
常在CT檢查中表現為膽囊內透聲差,充滿密集點狀強回聲團,膽囊腫大,壁增厚。

疾病症狀
泥沙樣膽囊結石一般長表現為發熱與寒戰,腹痛後常有噁心、嘔吐等胃腸道反應,飯後上腹飽脹或隱痛,平時有上腹不適及噯氣等消化不良症狀,上腹及肝區隱痛,多為持續性。
1.平時有上腹不適及噯氣等消化不良症狀。
2.有時患者會感到上腹及肝區隱痛,多為持續性。
3.在腹痛後,常有噁心、嘔吐等胃腸道反應。
4.飯後,患者常有上腹飽脹或隱痛感。
泥沙樣膽囊結石會膽囊充滿型結石通常伴隨著膽囊萎縮或膨脹,膽囊萎縮較嚴重的,將可能不再出現症狀,此時膽囊已經喪失功能,應積早尋求合適的治療方式。
治療方法
保守治療以中藥利膽排石,平時適當多喝些檸檬水,夜間食用些炒核桃仁(5-6個)為益。改善飲食,改善體質,中醫調理進行合理的保守治療,其治療效果不大。而且利用保守治療還有一定的急性胰腺炎發生的可能。
膽囊切除一般患有泥沙樣膽囊結石時,膽囊功能一般會受到一定的傷害,如果出現了嚴重的膽囊傷害後,後最佳的治療方法就是利用腹腔鏡膽囊切除術切除膽囊,將病變的膽囊和泥沙樣膽囊結石一同切除。
保膽取石這種技術是一項新的消化道結石的新技術,利用一些內鏡引流來治療泥沙樣膽囊結石,這類治療方法是在膽囊功能損傷不大的情況下,選擇的最佳治療方法。利用ERCP引流來治療泥沙樣膽囊結石。
術後飲食
1、禁酒及含酒精類飲料;
2、飲食要規律,早餐要吃好;
3、低膽固醇飲食。膽固醇攝入過多,可加重肝膽的代謝,清理負擔,並引起多餘的膽固醇在膽囊壁結晶,積聚和沉澱,從而形成結石,所以,應降低膽固醇攝入量,尤其是晚上,應避免進食高膽固醇類食品如:雞蛋(尤其是蛋黃),肥肉,海鮮,無鱗魚類,動物內臟等食品。
4、宜多食各種新鮮水果,蔬菜,進低脂肪,低膽固醇食品如:香菇,木耳,芹菜,豆芽,海帶,藕,魚肉,兔肉,雞肉,鮮豆類等。
5、宜多食乾豆類及其製品。
6、宜選用植物油,不用動物油。
7、少吃辣椒,生蒜等刺激性食物或辛辣食品。
