症狀體徵
臨床主要表現為長期消化道隱性出血,大便潛血試驗持續陽性,失血量多者每天可達100~200ml,可伴有黑便和 嘔血,病程可長達數年至數十年。由於長期消化道失血,患者均有嚴重的缺鐵性貧血,血紅蛋白低於70g/L者相當多見。多數患者需反覆輸血以改善嚴重貧血狀態。除嚴重貧血外,體檢多無異常發現。病史、家族史、體檢及實驗室檢查亦無提示先天性血管疾病,如遺傳性毛細血管擴張症的證據和表現。部分患者伴有肝硬化、慢性萎縮性胃炎、系統性硬化症等。
疾病病因
胃竇血管擴張症本病病因迄今未明,發病機制亦不甚清楚,究竟是一獨立疾病還是某種疾病的伴隨病尚待進一步研究。以下為目前較集中的觀點。
1.與門靜脈高壓有關部分患者同時伴有肝硬化,因而有人提出本病是否屬於門靜脈高壓性胃病的特殊類型。有人提出胃竇紅斑病變是胃黏膜上類似血管蜘蛛痣的表現。6例男性骨髓移植病人患有WS,所有病人均在移植術後3個月內發生胃腸出血,並且在出血時出現靜脈阻塞性肝病和血小板低於30×109/L。另外5例骨髓移植術後診斷為GAVE的病人也出現靜脈阻塞性肝病,提示肝病與本病有關。但通常肝硬化患者的胃鏡檢查中並未發現類似病變,且血管造影及病理檢查未能提供肯定的證據。
2.與胃黏膜脫垂的關係有些學者認為當胃蠕動引起胃竇黏膜脫垂時,鬆弛的黏膜被牽拉伸長並受幽門擠壓,形成多個縱行皺襞,黏膜內血管亦隨之增長、捲曲和擴張,伴有黏膜反應性增生和固有層纖維化,形成本病特有的胃鏡所見和病理學表現。由於胃竇部和幽門區肌肉的強力收縮,可導致黏膜內血管慢性間歇性不全阻塞及擴張。由於多數GAVE並不伴有胃黏膜脫垂,因而持異議者多。
胃竇血管擴張症3.腸系膜血管阻塞有人推測本病可能是腸系膜血管阻塞的繼發性病變。對老年人結腸血管擴張症的形態學與病理學研究表明,該病由腸黏膜血管長期間歇性不全阻塞引起,是一種隨年齡增長而發生的退行性變。有人認為該機理同樣可用於解釋本病。
4.與其他伴隨病的關係不少患者伴有萎縮性胃炎、幽門螺桿菌感染、高血壓、動脈硬化、缺血性心臟病、惡性貧血、糖尿病、結締組織疾病、腸道憩室、食管裂孔疝、慢性阻塞性肺病和肺纖維化等疾病,這些疾病對本病的發病是否有一定的聯繫尚待研究。
病理生理
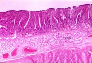
顯微鏡下病變區可見黏膜增生、水腫,黏膜和黏膜下大量毛細血管和小靜脈明顯擴張、扭曲和淤血,並呈瀰漫性或灶性網狀分布,為本病特徵性病理學表現。血管內可見纖維蛋白柱和小血栓,有時伴有小動脈和淋巴管擴張,但無血管畸形或發育不良的證據。固有層內可見明顯的纖維肌性增生,伴隨結締組織增生和纖維化,並見有神經內分泌細胞的增生。病變集中在胃竇部,但黏膜多無明顯炎症,或僅呈輕度非特異性慢性炎症。將胃的切除標本排盡血液後,即可見胃竇部紅色條紋褪色或消失。
診斷檢查
診斷:胃鏡下可清晰辨認胃竇部紅色條紋或瀰漫性紅斑這種特徵性的表現,加上病理檢查固有層小血管明顯擴
胃竇血管擴張症實驗室檢查:主要為缺鐵性貧血表現,部分患者可有血小板減少。
其他輔助檢查:
1.胃鏡所見GAVE內鏡表現按Minak描述的胃竇血管擴張特點分為點狀和條狀兩型:點狀胃竇血管擴張表現為擴張的血管呈紅色均勻小點瀰漫性分布於胃竇部;條狀血管擴張表現為多個類似黏膜皺襞的長條形淺黃隆起,沿胃長軸自幽門向胃竇部呈輻射狀排列。條狀隆起部表面布滿連續排列的鮮紅色或深紅色圓形或卵圓形紅斑,構成獨特的西瓜皮樣的條紋狀外觀,其邊界清晰,條紋間黏膜正常、完整,無糜爛。不管哪種類型,肉眼可見的紅斑由大量扭曲、盤鏇呈球形或囊狀擴張的血管組成,大小由針尖至5mm不等。以活檢鉗壓迫紅斑,可見其迅速褪色。紅斑部取活檢後出血較多,亦可見自發性出血或隨胃竇部的收縮而間歇出血。個別患者的病變延伸至十二指腸壺腹部或胃底部。
2.超聲內鏡胃竇黏膜增厚,黏膜及黏膜下呈海綿狀改變。
鑑別診斷
胃竇血管擴張症主要與各種類型的胃病和胃血管疾病相鑑別。
1.門靜脈高壓性胃病(PHG)PHG的病變多發於胃底,胃鏡下黏膜有特異的馬賽克征、猩紅熱樣疹及櫻桃紅斑點,在組織學上差異更大。治療上,PHG的治療是以藥物及其他降門靜脈壓的措施為主。而GAVE套用內鏡下雷射凝固治療效果好。
2.其他必須排除諸如幽門螺桿菌(Hp)相關性胃炎、酒精性胃炎、胃黏膜糜爛、藥物相關性胃炎、膽汁性胃炎、胃血管發育不良等,上述情況既無GAVE所特有西瓜皮樣內鏡特點又無其特有的組織病理學診斷依據,容易鑑別。
治療方案
1.藥物治療貧血者需要補充鐵劑,嚴重者需輸血。胃黏膜保護劑、H2受體拮抗藥及質子泵抑制劑均對由GAVE引起的出血無效。也有用類固醇治療取得療效者。其他雌激素——孕激素、降鈣素和鹽酸賽庚啶等藥物治療療效不肯定。1例合併因C型肝炎肝硬化的GAVE病人,初次用α-干擾素治療後獲得明顯改善。作者認為干擾素直接對C型肝炎病毒起作用,從而改善了肝功能或對與GAVE有關的周圍血管纖維透明樣變有抗纖維化作用。
2.內鏡治療值得推薦的方法有熱探頭、雷射、氬血漿凝固治療,經胃鏡治療技術為GAVE的非手術治療開闢了新的途徑,可作為GAVE的首選治療措施,對於伴有多種疾病的高齡患者特別可取。
(1)熱探頭凝固法:此法於1978年首先由美國Robert等研製成功並試用於臨床。操作方法:內鏡檢查發現病灶後,調試熱探頭凝固裝置,體外試驗溫度及注水系統均正常後,將探頭經內鏡活檢孔道送入與病變區黏膜接觸,在直視下沿紅色條紋走行向其遠端移動,逐一對紅色條紋進行熱凝處理。對有出血者熱探頭對準血灶,注水沖洗病變表面的血凝塊。然後將熱探頭輕壓於出血灶,並行熱凝固。病變組織顏色變蒼白後,注水使探頭冷卻並與凝固組織分離。如仍有出血,可反覆幾次,直到出血停止。有報告熱探頭治療2~7次後病變全部消除,隨訪8~30個月
胃竇血管擴張症(2)雷射治療:通常套用Nd:YAG雷射,選擇功率45~90W,脈衝0.5~1.0s,使光能密度達100J/cm2在直視下沿紅色條紋走行向其遠端移動,逐一對紅色條紋進行照射。至病灶變為灰白色或黃白色為止。有報告13例GAVE,用雷射治療1~6次後病變消除或顯著減輕。
(3)氬血漿凝固治療:氬血漿凝固(argonplasmacoagulation,APC)是一種無接觸電凝的新方法,能量通過電離的氬氣傳導到組織,對於血管畸形病變有較好療效,因而適宜本病的治療(圖4),療效同雷射治療。1組6例GAVE用APC治療,5例1~3次見效,1例用APC治療5次仍持續出血改其他治療方法。宣武醫院個例經驗,止血療效好,但由於病變範圍廣,往往需多次治療,且容易復發出血。
3.手術治療外科胃竇切除是最有效的手段。初始階段大部分患者行手術治療。長期隨訪無1例症狀復發,無需補鐵治療或輸血。胃鏡複查亦未見殘胃異常或病變再現。
