體徵
胃結核病因
胃結核絕大部分的胃結核是繼發性的,其原發病灶在半數以上的患者為肺結核,其餘則為腸結核、骨結核及附屬檔案結核等。感染侵入胃壁的徑路可能為:
①直接侵入黏膜;
②經血液和淋巴管傳播;
③直接從鄰近浸潤蔓延;
④在胃壁的其他病變如良性潰瘍或惡性腫瘤上有結核菌的附加感染。
生理
胃結核2.病理類型
(1)潰瘍型:該型最常見,約占80%。潰瘍可單發或多發,多數淺而小,邊緣不規則,基底部可見灰白結節。亦有潰瘍較大,深達肌層和漿膜層,形成穿透性潰瘍或瘺管者,但急性穿孔少見。少數患者潰瘍可侵犯較大血管引起大出血。潰瘍瘢痕形成可導致幽門梗阻。
(2)腫塊型:由於炎症性肥厚或增生性病變而形成腫塊或大結節,亦可由胃與周圍臟器粘連形成團塊。幽門部病變易致梗阻。
(3)粟粒結節型:為全身粟粒型結核的一部分,胃壁各層可見散在粟粒結節。
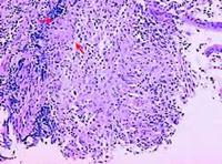
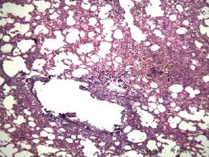
(4)炎症增殖型(瀰漫浸潤型):病變常累及胃壁各層,故胃壁增厚,黏膜呈息肉樣增生。3.組織形態病理病變附近的淋巴結常有腫大及乾酪樣壞死。病理組織學檢查可見典型的乾酪樣肉芽腫,常位於黏膜和黏膜下層,很少累及肌層。組織切片抗酸染色可發現抗酸桿菌。
診斷
胃結核①同時存在其他部位的結核病變;
②PPD試驗強陽性而無其他臟器結核;
③觸及腹部腫塊;
④X線顯示瘺管或竇道;
⑤胃和十二指腸同時受累且病變相連續。
檢查
胃結核1.血液學檢查常有輕度貧血,血沉可增快,血清中可檢查出結核抗體。
2.大便隱血檢查可呈陽性反應。
3.PPD皮膚試驗多呈陽性或強陽性反應。
4.胃液分析常減低,也有部分病人並無胃酸缺乏。
5.胃鏡活檢切片抗酸染色陽性,有乾酪樣肉芽腫。
其他輔助檢查:
1.X線鋇餐檢查胃結核無特異的X線徵象,可表現為龕影、充盈缺損、胃竇狹窄變形,常有十二指腸受累及幽門梗阻徵象。胃黏膜粗亂,胃壁尚軟,但亦有胃壁僵硬,少數甚至呈皮革胃。這些徵象與胃潰瘍、胃癌、胃惡性淋巴瘤和胃Crohn病等難以區別。國內報導一組11例胃結核行鋇餐檢查全部誤診。
2.胃鏡檢查為診斷胃結核的主要方法。胃鏡下肉眼觀察胃結核病變仍不易與胃潰瘍或胃癌等鑑別。但活組織檢查發現下列情況則有助於結核的診斷:①乾酪樣肉芽腫;②切片抗酸染色或活檢材料培養發現結核桿菌;③聚合酶鏈反應(PCR)檢測,結核桿菌DNA呈陽性。若病變位於肌層而未破壞黏膜,胃鏡檢查時易誤診為平滑肌腫瘤。對黏膜下層病變,如活檢時取材過淺亦可呈陰性。
鑑別
胃結核胃結核易侵犯幽門和幽門前區的胃壁組織,當結核性肉芽腫增生形成腫塊或大結節時,易造成幽門梗阻併發症。胃結核診斷治療及時者預後良好,預防主要是積極防治肺結核目前沒有相關內容描述。
治療
胃結核1.抗結核藥物治療抗結核藥物對大多數胃結核患者療效良好。常用的治療方案為異煙肼300mg加利福平600mg,1次/d,口服,共9個月。亦可前2個月每天服1次,後個月改為每周服2~3次。對耐藥者可加用吡嗪醯胺、鏈黴素或乙胺丁醇。對輕症患者可選用異煙肼加乙胺丁醇治療18~24個月,前2個月可加用鏈黴素。用藥過程中應注意監測藥物的副作用。抗結核治療後,潰瘍性病變能完全癒合,幽門梗阻者亦能緩解。Gupta等報導1例胃結核幽門梗阻如針孔大小,治療8~12周時嘔吐消失、18個月時胃鏡已能順利通過幽門進入十二指腸。
2.手術治療手術適應症為幽門梗阻、急性穿孔、局限性穿孔伴膿腫或瘺管以及大出血。目前主張手術方式應儘量保守、簡單。如需要胃切除者;可行BillrothⅡ式手術,因結核可侵及十二指腸,不宜作BillrothⅠ式手術。術中肉眼判斷病變性質有困難時,應行冰凍切片檢查,以免誤診為惡性腫瘤而進行廣泛切除,或認為腫瘤晚期而放棄手術。手術前後聯合套用抗結核藥物,以防病變擴散。
流行病
胃結核
