症狀體徵
男女發病之比為4~8∶1,以30~50 歲發病者為多,平均發病年齡為39 歲。臨床症狀為遷延和間歇性,少數病人可於數月內死亡。絕大多數都有體重下降、疲勞和發熱等。臨床表現的輕重程度取決於受累的器官及病程的長短。
1.消化系統 腹痛占82%,腹瀉占76%,隱性出血占64%,腹水占15%,腹部包塊占13%。腹瀉為病人的主訴,每天排便5~10 次,糞便呈水樣,具有惡臭,為含有大量泡沫的脂肪瀉。肉眼血便較少,可能與繼發吸收不良而引起的低凝血酶原血症有關。腹痛為其最常見症狀,疼痛性質為痙攣性,疼痛部位不定。厭食較特發性脂肪瀉常見,並且可伴有急劇消瘦,繼之可導致嚴重惡液質。嚴重厭食。有腹瀉的病人,若不及時糾正,可出現維生素缺乏。個別病人可出現腹水,這可能與低蛋白血症、非特異性腹膜炎有關,因而常被誤診為結核性腹膜炎或肝硬化腹水。腸系膜淋巴結腫大時,可在腹部觸及包塊,易誤診為腹腔惡性腫瘤或淋巴瘤。
惠普爾病關節2.關節 2/3 以上病人有關節炎。關節炎的特徵為間歇性、遊走性,有時持續僅1~4 周,大、小關節均可累及。受累關節表現疼痛、紅腫及局部發熱。關節炎發作以多關節炎為常見,偶有單關節發作。最常受累的關節是腕關節、膝關節,其次為掌指關節、掌跖關節、踝關節、脊柱關節、髖關節、肩關節、肘關節。少數病人可發生強直性脊柱炎,表現為下背部疼痛或脊柱運動受限。
3.眼和神經系統 可有結膜炎、角膜炎、色素膜炎、玻璃體炎、核上性眼肌麻痹與進行性腦病等。還可發生定向力障礙、記憶力消失和各種腦神經麻痹體徵。這些體徵包括眼肌麻痹、眼球震顫、面癱。也可出現精神障礙與行為異常。在病程後期可發生Wernick 腦病,也有的病人可出現Alzheimer 老年前痴呆。周圍神經炎表現為肢端感覺異常或過敏。
4.循環系統 部分病人可發生心瓣膜病變,可聽到二尖瓣或主動脈瓣區有收縮期雜音。三尖瓣和肺動脈瓣也可受累。當同時出現發熱時,應考慮合併細菌性心內膜炎的可能。尤其當聽到舒張期雜音或收縮期雜音性質改變時,則發生繼發性急性或亞急性細菌性心內膜炎的可能性更大。有的病人可出現心包炎或心包積液。
5.其他 半數以上病人可有不同程度的發熱、畏寒,多為間歇性低熱,少數病人可為高熱,在急性期可表現為持續性高熱。也有關於發生肌炎和肺炎的報告。因吸收不良造成的低血鈣可引起手足搐搦,重者可出現低血鈣抽風,還可出現凝血機制障礙所造成的紫癜。嚴重腹瀉伴有腸道蛋白丟失者,可出現低蛋白血症性周圍水腫。約半數病人有淋巴結腫大。腫大的淋巴結質地堅硬,無觸痛,可移動。淺表和深部淋巴結均可腫大。當出現繼發性腎上腺皮質功能減退時,可發生不同程度的色素沉著、低血壓、低鈉血症、高鉀血症和低血糖等。有時也可發生胸膜炎,伴有胸腔積液。皮膚改變除紫癜外,偶爾可見舌炎、唇炎和紅色脫屑性皮疹。不少病人可有杵狀指,這可能與營養不良或心臟病變有關。個別病人可有肝、脾、淋巴結腫大。
病理生理
致病菌在靜止期潛伏於體內,當機體抵抗力下降時,細菌即增殖,因而可致病。目前認為,這些微生物可使機體
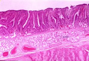
惠普爾病病理:所有病例均有小腸受累,有時也可累及結腸。肉眼觀察可見腸壁增厚和水腫,顯微鏡下黏膜表面扁平或捲曲,無絨毛或絨毛增粗。黏膜固有層有廣泛性巨噬細胞浸潤,伴有絨毛結構變形。浸潤的巨噬細胞PAS 染色,往往可發現細胞漿內含有大量的糖蛋白顆粒。PAS 染色陽性的巨噬細胞取代了固有層正常的細胞成分,是本病的特徵性病理改變。黏膜及黏膜下淋巴管擴張,在未經溶脂劑處理的切片上可見有大量脂肪,在固有層細胞間隙中可見有脂肪小滴。在電子顯微鏡下,可見固有層中有許多桿菌,這些桿菌多位於吸收上皮血管周圍,具有典型的細菌細胞壁和中心蒼白的核仁結構。中心核仁結構呈雙裂體。在PAS 染色陽性的巨噬細胞內,可見有被吞噬的桿菌,且呈變性和解體狀態。在心臟、肺臟、肝脾、內分泌腺等處,均可見有PAS 染色陽性的巨噬細胞。心內膜巨噬細胞浸潤可導致瓣膜疣狀心內膜炎。
診斷檢查
診斷:血清陰性的關節炎及復發性風濕症病人,如發生淋巴結腫大、中樞神經系統症狀、玻璃體炎或腹瀉時,應考慮到本病。根據病人出現的吸收不良綜合徵及其他器官系統受累的表現,淋巴結、小腸黏膜活檢,以及典型的PAS 染色陽性的巨噬細胞與小腸黏膜的病理特點,可以確診本病。
實驗室檢查:
惠普爾病1.血常規及血沉 幾乎所有病人都有貧血,可為低血色素或正色素性貧血,也可為巨幼紅細胞性貧血。約35%的病人血紅蛋白低於70g/L,平均為79g/L。1/3 的病人有白細胞增多,多數病人血沉增快。
2.大便檢查 部分病人隱血試驗陽性。由於脂肪瀉,大便蘇丹Ⅲ染色呈陽性。
3.生化學檢查 多數病人有低血鈣、膽固醇降低、胡蘿蔔素下降。當有繼發性腎上腺皮質功能不全時,24h 尿中17-羥皮質酮、17-酮皮質醇下降,血鉀上升,血鈉下降。多數病人可有低白蛋白血症。
4.免疫學檢查 可有IgG、IgM、IgA 下降,E-玫瑰花結形成數降低,淋巴母細胞轉化率下降,類風濕因子陰性,LE 細胞陰性,抗核抗體陰性。其他輔助檢查:X 線表現:胃腸道鋇餐顯示整個小腸黏膜皺襞均呈瀰漫性增厚,尤以十二指腸遠端和近段空腸為最顯著。黏膜皺襞增厚、紊亂,有時呈輕度結節狀或有小的充盈缺損。皺襞增厚程度隨疾病的嚴重程度而有所不同。胸部X 線檢查可見肺部浸潤、胸腔積液和胸膜增厚。骨骼X 線檢查有時可見骶髂關節炎、骨質軟化和骨質疏鬆徵象。
鑑別診斷
1.盲襻綜合徵 從吸收不良綜合徵的角度看,本病易與盲襻綜合徵混淆。但後者常有腹部手術史或其他腸病,無關節症狀及發熱。若胃腸鋇餐檢查發現腸瘺、粘連、小腸短路等。則有助於本病的鑑別。
惠普爾病2.原發性吸收不良綜合徵 本病與原發性吸收不良綜合徵相比,二者雖在頑固性消化道症狀、吸收不良所致的營養缺乏、維生素不足等方面相似,但原發性吸收不良綜合徵無淋巴結腫大、關節炎、發熱及心肺改變。小腸黏膜活檢標本無惠普爾病PAS 染色陽性的巨噬細胞。胃腸鋇餐檢查也有明顯的區別。
3.淋巴瘤 當淋巴瘤表現為發熱、淋巴結腫大、腹瀉和關節症狀時,容易與惠普爾病相混淆。但前者小腸黏膜活檢標本無PAS 染色陽性巨噬細胞。胃腸鋇餐檢查也無惠普爾的X 線表現,故很容易將二者區別開來。
4.系統性硬化症 有時以吸收不良、腹瀉、腹痛為主要臨床表現,酷似惠普爾病,但無色素沉著,對抗生素治療也無反應,皮膚病理改變為硬皮病的典型特徵。小腸黏膜及淋巴結活檢標本也無PAS 染色陽性的巨噬細胞。
5.阿狄森病 惠普爾病出現繼發性腎上腺皮質功能不全時,應注意與原發性阿狄森病相鑑別。二者雖都有色素沉著、低血壓、電解質失調,但後者無消化道症狀,無前者特徵性病理改變和小腸X 線異常,也無關節炎、淋巴結腫大和心肺表現。
治療方案
1.抗生素 惠普爾綜合徵經適當抗生素治療,臨床症狀可很快緩解,發熱和關節炎可在數天內得到控制。首選青黴素80 萬單位肌內注射,每6 小時1 次;或紅黴素1.0g 靜脈點滴,1 次/d。也可用四環素2g/d,靜脈滴注;鏈黴素1g,分2 次肌注。其他抗生素如氯黴素、氨苄西林(氨苄青黴素)、多西環素(強力黴素)及磺胺甲惡唑等,均可選用。共用7~14 天。之後改為四環素2.0g/d,分4次口服。上述藥物可單獨使用,也可聯合使用。當合併細菌性心內膜炎時,應給予大劑量有效抗生素靜脈滴注,直到感染得到控制為止。
惠普爾病2.糖皮質激素 如出現繼發性腎上腺功能不全,應給予替代療法。
3.其他 若脫水嚴重,應給予適當糾正,同時加強營養,糾正低蛋白血症,可輸全血或血漿。長期吸收不良的病人,可造成維生素K、維生素B12、維生素D等多種維生素缺乏,同時還可出現低血鈣、低血鎂及低血鉀等,都應給予適當補充。對合併細菌性心內膜炎的病人,在治療過程中一旦出現心力衰竭,即應靜脈注射適量洋地黃(毛地黃)製劑加以控制。關節疼痛可用吲哚美辛等治療。
預防預後
預後:較好。多數病人在接受充分抗生素治療後,臨床症狀可在數周到數月內消失。停藥後可復發。一旦復發,可重新給予抗生素治療。有的臨床症狀為遷延和間歇性,少數病人可於數月內死亡。
預防:
1.消除和減少或避免發病因素,改善生活環境空間,養成良好的生活習慣,防止感染,注意飲食衛生,合理善食調配。
2.注意鍛鍊身體,增加機體抗病能力,不要過度疲勞、過度消耗,戒菸戒酒。
3.早發現早診斷早治療,樹立戰勝疾病的信心,堅持治療。
併發症狀
眼和神經系統可並發結膜炎、角膜炎、色素膜炎、玻璃體炎、核上性眼肌麻痹與進行性腦病等。循環系統可合併細菌性心內膜炎。當出現繼發性腎上腺皮質功能減退時,可伴發低血壓、低鈉血症、高鉀血症和低血糖等。有時也可發生胸膜炎,伴有胸腔積液。個別病人可出現非特異性腹膜炎,低蛋白血症性腹水,肝、脾、淋巴結腫大。

