注意事項
多數強直性脊柱炎患者的預後較好,只有少數人發展為完全性關節強直。應注意了解疾病的本質,增強抗病的信心,按照醫生的要求,制定切實可行的治療方案。通常可用消炎痛、雷公藤製劑,但這類藥物常有副作用,應在醫生的指導下服用。請中醫大夫就診,同樣需要看專科醫生,而且治療時間較長。生活方面可注意幾點:睡木板床,不用枕或薄枕。堅持力所能及的勞動和體育活動,每日早晚各俯臥半小時,應注意工作姿勢,以利於防止畸形。
病因
骶髂關節炎分為原發性和繼發性兩大類:(一)原發性骶髂關節炎
原發性骶髂關節炎的關節軟骨細胞活性低下,髖部肌肉等軟組織支持力量減弱,軟骨呈退行性變。往往受年齡、體質、遺傳等因素影響。年齡越大,積累的損傷越多,老年人的關節軟骨基質中黏多糖含量減少,纖維成分增加,軟骨的韌性降低,因之易遭受損傷而產生退行性變。肥胖體形的人發病率較高。
(二)繼發性骶髂關節炎
繼發性骶髂關節炎的基礎疾病較多,常見的有以下幾種。
1.髖臼發育不良 可產生生物力學的不平衡,使承重區範圍縮小,承重區關節軟骨承受壓力增加導致關節軟骨磨損引起骨性關節炎。

3.髖關節某些疾病損害關節軟骨 如化膿性髖關節炎、髖關節結核、血友病、神經性髖關節病等。4.醫源性因素 如長期使用糖皮質激素,引起軟骨病變等。
5.股骨頭病變 股骨頭缺血性壞死。6.髖關節創傷 如脫位及股骨頸骨折處理不當。
7.髖關節內結晶病變 如焦磷酸鹽關節病與痛風性關節炎等。
8.內分泌異常和代謝障礙如糖尿病、肢端肥大症、黃褐病等。
骶髂關節
骶髂關節是由骶骨與髂骨的耳狀面相對而構成,屬微動關節。關節面凸凹不平,互相嵌合十分緊密,關節囊堅韌,並有堅強的韌帶加固。主要的韌帶是骶髂骨間韌帶,位於關節面的後上方,連結於相對的骶骨粗隆和髂骨粗隆之間。在關節的前後還分別在骶髂前韌帶和骶髂後韌帶加強。骶髂關節的這些結構特徵,增強了該關節的穩固性,在一定程度限制了關節的活動,從而有利於重力通過該關節向下肢傳遞,以及自高處著地或跳躍時起緩衝衝擊力及震盪的作用。臨床表現
1、疼痛:疼痛是該病的主要症狀,也是導致功能障礙的主要原因。特點為隱匿發作、持續鈍痛,多發生於活動以後,休息可以緩解。隨著病情進展,關節活動可因疼痛而受限,甚至休息時也可發生疼痛。睡眠時因關節周圍肌肉受損,對關節保護功能降低,不能和清醒時一樣限制引起疼痛的活動,患者可能疼醒。2、晨僵和粘著感:晨僵提示滑膜炎的存在。但和類風濕關節炎不同,時間比較短暫,一般不超過30分鐘。粘著感指關節靜止一段時間後,開始活動時感到僵硬,如粘住一般,稍活動即可緩解。上述情

3、其他症狀:隨著病情進展,可出現關節攣曲、不穩定、休息痛、負重時疼痛加重。由於關節表面吻合性差、肌肉痙攣和收縮、關節囊收縮以及骨刺等引起機械性閉鎖,可發生功能障礙。
骨關節炎是骨關節生理性退化的表現,尚無逆轉或中止該病進展的藥物。治療的目的是減輕疼痛,緩解症狀,阻止和延緩疾病的發展,保護關節功能,以防殘廢。採用綜合治療,包括病人教育,藥物治療,理療及外科手術治療。
檢查
1.Piedallu征
患者取坐位,檢查者自後方觀察其髂後上棘是不是在同一水平線上,一般情況下,患側偏低;腰前屈時,則患側位置升高程度超過健側。2.對抗性髖外展試驗
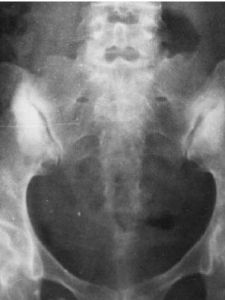
陽性。3.退變性骶髂關節炎
X線平片上顯示關節退變,視病程不同而出現退行性變的各期表現,以增生及骨刺為主。治療方法
宣傳防病知識、保護關節
首先要讓患者對該病有所認識,體育鍛鍊要循序漸進,防止關節過度運動和負重,避免關節機械性損傷。嚴重時應制動或石膏固定,以防畸形。減輕體重,使用把手、手杖以減輕受累關節負荷。與職業有關者,應調換工作。進行有關肌肉群的鍛鍊,可保持和改善關節活動,以增強關節的穩定性。藥物治療
當疼痛時可以用阿斯匹林、消炎痛、布洛芬等鎮痛,不要長期使用,以免形成依賴或降低作用。如果是局部壓痛點者,可用醋酸強的松龍或醋酸氫化可的松1ml,加1%普魯卡因5~10ml作痛點注射,5~7天1次,3~4次為一療程。還有傳統的中藥,建議不要隨便選擇手術。物理療法
熱療、水療、紅外線、超短波、電刺激等均可增強局部血液循環、緩解肌肉緊張,減輕疼痛等症狀。牽引療法對頸椎病神經根型患者效果較好,可以鬆弛肌肉,緩解疼痛,並能防止神經根相鄰的組織形成粘連,但須在專科醫生指導下進行。與強直性脊柱炎的區別
強直性脊柱炎骶髂關節疼痛特點是休息不能緩解,活動後方能緩解,這也是與腰椎間盤突出、腰椎管狹窄、腰部外傷的區別點。強直性脊柱炎輕症者,僅會感覺骶髂關節部僵硬、肌肉酸痛。原因是肌腱、韌帶與骶髂關節的骨附著點炎症,即肌腱末端炎。易誤診為腰椎間盤突出、風濕病。臀、大腿後側疼痛易誤診為坐骨神經痛,但是強直性脊柱炎引起的下肢疼痛很少放射到膝以下。

