體徵
肝性卟啉病2.遲發性皮膚型發病多在中年以後,男性多見,皮膚可有濕疹樣、蕁麻疹樣、夏令痒疹樣和多型性紅斑,多在曝光後一段時間出現。陽光充足時,身體暴露部位的皮膚往往因輕微創傷或受壓後而出現帶有水皰的紅斑,以後皰內滲血、糜爛、結痂並形成瘢痕。慢性皮膚損害可有多毛、色素沉著、粟粒疹以及類似硬皮病、皮膚炎的表現。有不同程度肝損害,系卟啉在肝內沉積所致。部分病人伴有酒精性肝硬化,還有一些則伴有肝腺瘤。喝酒,使用雌激素或鐵劑,以及與六六六接觸等,常為發病的誘因。發作時,尿排出尿卟啉Ⅰ增加,-氨基酮戊酸和卟膽原正常。緩解時,尿排出尿卟啉Ⅰ減少,而糞排出卟啉增加。
3.混合型或變異性發病年齡多在10~30歲,臨床表現兼有上述兩型的特點。本型是南非中年白人中的一種顯性遺傳肝性卟啉病,可以追溯到一個從荷蘭移民去的白人家族。成年期發病除腹部症狀、神經症狀外,還有皮膚對光敏感病變。皮膚對光敏感輕微,偶爾出現皰疹。皮膚病變為間歇性,有時為本病的惟一臨床症狀。部分病人急性發作有腹痛和癱瘓無力。輕微機械性皮膚創傷,有時誘發皮膚病變。婦女妊娠期皮膚病變較顯著。在間歇期巴比妥類藥物、氯化奎寧、酒精和麻醉藥可誘發急性發作,應該視為用藥禁忌。嚴重病例腹部症狀、神經症狀和肝功能損害症狀和急性間歇型相似。卟啉代謝紊亂的特點是在間歇期或潛伏期,尿中卟啉及卟啉前體-氨基乙醯丙酸和卟膽原陰性,而糞中排出大量糞卟啉和原卟啉。在急性發作期,糞中大量排出糞卟啉和原卟啉,尿中-氨基乙醯丙酸和卟膽原也明顯增多,是診斷要點。
4.遺傳性糞卟啉型可見於任何年齡,男女相等,有明顯家族病史。病情潛隱而無症狀,僅糞便排出糞卟啉增多。但在巴比妥、甲丙氨酯(眠爾通)、苯妥英鈉等藥物誘發下可出現急性間歇型的臨床表現。皮膚病變少見,個別病人可出現光感性皮膚損害。它的生化診斷特點是糞中大量糞卟啉Ⅲ型排出,但沒有原卟啉。尿中糞卟啉Ⅲ型可能不增加。但當急性發作時,尿中糞卟啉Ⅲ及其前體卟膽原與-氨基乙醯丙酸含量都增多,糞中糞卟啉Ⅲ當然更多。
病因
肝性卟啉病2.遲發性皮膚型遲發性皮膚型血卟啉病為最常見的血卟啉病,系由肝內尿卟啉原脫羧酶缺乏所致。是常染色體顯性遺傳。病例呈散發性分布,男性患者比女性多,多數患者沒有家族史。有些人雖有尿卟啉原脫羧酶的酶活性減低的生化缺陷,但尿中尿卟啉的排泄不一定增多,臨床上也不一定有明顯症狀。遺傳缺陷與酒精中毒、肝內鐵負荷過重、肝損壞、女性激素等後天因素的協同作用使尿卟啉脫羧酶的活性進一步減低或ALA的形成受到刺激,結果使尿卟啉的形成明顯增加,從而導致遲發性皮膚型卟啉病的發病。
3.混合型或變異型混合性卟啉病是原卟啉原氧化酶和血紅素合成酶減少所致的疾病,由常染色體顯性遺傳,兩性均可得病。
4.遺傳性糞卟啉型遺傳性糞卟啉病是一種很少見的卟啉病。屬常染色體顯性遺傳疾病,由糞卟啉原氧化酶缺乏所致。部分患者有光感性皮膚損害,其臨床表現與急性間歇型卟啉病相似。本病患者糞中雖亦有大量糞卟啉排出,但原卟啉的含量一般都較低。急性發作時,尿中也可有大量尿卟啉、糞卟啉、ALA和PBG。恢復期可變為正常。
生理
肝性卟啉病(1)遺傳因素:卟啉為動物體內血紅蛋白,肌紅蛋白、過氧化氫酶、過氧化物酶、細胞色素等合成過程的中間產物。人體常見的有糞卟啉Ⅰ、Ⅲ,尿卟啉Ⅰ、Ⅲ,和原卟啉Ⅸ幾種。另外有卟膽原,為一卟啉前體,它在某種卟啉病人尿中大量排出。尿色正常,但尿在日光下放置幾小時後,尿色加深,變成紅棕色,是卟膽原變成尿卟啉的結果。各種卟啉都是有色物質,在經過特製濾光板的紫外線下,均顯紅色螢光,因此可以螢光比色定量。糞卟啉溶於乙醚而尿卟啉不溶,便於分離。各種卟啉在分光鏡光譜中有不同的吸光帶。下述情況可使卟啉和卟啉前體(-氨基酮戊酸、卟膽原)增多而導致血卟啉病。
①血紅素合成障礙。
②本體阻遏物或操作基因突變。
③酶的缺陷:如尿卟啉原Ⅰ合成酶缺乏,卟啉原不能進一步環化成尿卟啉原,使卟啉原累積;或尿卟啉原Ⅲ輔合成酶不足,卟膽原不能轉變為尿卟啉原Ⅲ而只能轉變為尿卟啉原Ⅰ型。
(2)其他因素:某些藥物,如磺胺、巴比妥類、氯化奎寧、麻醉藥等,以及化學、中毒,以及感染、飲酒、勞累、精神刺激、月經和妊娠,其他疾病如肝腫瘤時都可誘使本病發作。
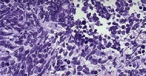
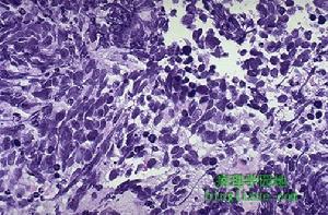
2.病理病理改變主要在肝臟,可見有大量卟膽原沉積:當出現有皮膚病變時,除卟膽原外,並可見有卟啉。腎臟亦有卟膽原,骨髓則很少。神經系統可以有神經纖維脫髓鞘改變,細胞腫脹和退行病變。皮膚病變有紅斑、水皰、瘢痕形成和色素沉著。
診斷
肝性卟啉病2.遲發性皮膚型最主要的發現是尿中有較多尿卟啉和糞卟啉,尿呈紅色。
3.混合型或變異型主要表現為皮膚輕微損傷後出現真皮擦傷、淺表糜爛和水皰。
4.遺傳性糞卟啉型部分患者有光感性皮膚損害,其臨床表現與急性間歇型卟啉病相似。
實驗室檢查:
1.急性間歇型剛解出的尿顏色大多正常,但若將尿置於直接日光中,尿逐漸變成暗紅色,甚至變成黑色。這是PBG在光的作用之下轉變成紅色的尿卟啉和卟膽素的結果。產生的尿卟啉有特殊的光譜,在紫外線照射下發出紅色螢光。如將尿液變成強酸性,煮沸30min,尿色迅速變成暗紅色或棕紅色。二甲氨基苯甲醛試驗(Watson-Schwartz試驗)是檢查PBG的一種簡單可靠的方法。PBG與二甲氨基苯甲醛(Ehrlich氏醛試劑)發生反應而變成深紅色。尿膽原或吲哚與此試劑也產生紅色,但這兩種物質加氯仿或丁醇振搖後,紅色被這種溶劑提去,而PBG的紅色仍在水層中。本病急性發作時,此試驗經常呈強陽性反應;在緩解期通常也是陽性的,但有時也可陰性;隱性病例此試驗的結果為弱陽性或陰性。
最可靠的診斷依據是用層析法測定尿中ALA及PBG的含量,特別是對發作間歇期和隱性病例。在急性發作期,PBG排泄量約50~200mg/d(正常範圍為0~4mg/d),ALA排泄量約為20~100mg/d(正常範圍為0~7mg/d)。AIA和PBG測定值常隨臨床症狀改善而下降。對發作期病例,在臨床工作中如能得到二甲氨基苯甲醛試驗的陽性結果,就能確立診斷。
2.遲發性皮膚型尿中ALA及PBG的排泄並不增多。糞中糞卟啉常明顯增多,原卟啉正常或中等度增多。大多數病人沒有貧血,少數病人可有輕度紅細胞增多。因患者常有肝病,尿膽原可能陽性,血清轉氨酶可增高,磺溴酞鈉的排泄常低於正常。
3.混合型或變異型最主要的實驗室發現是在發作和緩解期即整個病程中膽汁及糞中含有大量糞卟啉和原卟啉,即使症狀很輕微或在兒童期,也有同樣發現。在急性發作時,尿中ALA、PBG均明顯增多,有時尿卟啉和糞卟啉也明顯增多。
4.遺傳性糞卟啉型本病患者糞中雖亦有大量糞卟啉排出,但原卟啉的含量一般都較低。急性發作時,尿中也可有大量尿卟啉、糞卟啉、ALA和PBG。恢復期可變為正常。
其他輔助檢查:目前尚無相關資料。
治療
肝性卟啉病(1)氯丙嗪對減輕腹痛及緩解神經精神症狀有效,一般每次12.5~100mg,3~4次/d。丙氯拉嗪(甲哌氯丙嗪)較氯丙嗪更有效,每次5~10mg,3~4次/d;也可肌內注射,必要時每3~4小時重複1次。還可採用冬眠療法。嚴重腹痛以及四肢腰背疼痛的病例可用阿司匹林。一磷酸腺苷每12小時肌注125mg,0.1%普魯卡因400ml靜脈滴注(過敏試驗陰性後)對疼痛有效。哌替啶(度冷丁)50~100mg,肌內注射,能迅速地暫時止痛,但由於容易成癮,應儘量少用或不用。
(2)依地酸有抑制ALA合成酶的作用,且加速尿卟啉鋅複合物的排泄。口服依地酸鈣鈉每次1g,4次/d;或0.25~0.5g加入生理鹽水或葡萄糖液稀釋成0.25%~0.5%靜脈滴注,2次/d。3~5天為一個療程。停藥2~4天后進行下一療程,一般可用3~4個療程。
(3)正鐵血紅素:正鐵血紅素能以負反饋機制抑制ALA合成酶使△-ALA、PBG和卟啉減少,是搶救危重急性血卟啉病的有效手段。對急性發作的患者如用葡萄糖等其他治療方法不能使之在一天內趨於穩定則應給予正鐵血紅素。重症患者應極早使用。一般劑量為每次2~4mg/kg,用生理鹽水稀釋後以≤40mg/min的速度靜脈注射,6~10min注射完畢;也可加入500ml生理鹽水中靜脈滴注。兩次靜脈注射至少間隔12h。也可每天靜脈注射1次,24小時內總量≤6mg/kg。療程3~5天。一般24~48h症狀很快改善,出現臨床和生化的緩解;一般耐受性良好,用藥前及用藥期應監測凝血情況,避免與其他的抗凝劑同時使用。可有短暫低熱和血栓性淺表靜脈炎,大劑量靜脈注射時,可能發生短暫的腎損傷。
(4)激素:有些病例特別是伴有直立性低血壓的病人,用糖類腎上腺皮質激素如潑尼松(強的松),每天30~60mg治療效果良好。但需長期套用,不易停藥。少數急性血卟啉病發作與月經周期有明顯關係的病例,套用雄激素、雌激素或口服女性避孕藥有良效,而有些病人的發作可能與之有關,因此雌激素或避孕藥的使用必須個體化。
(5)其他對症處理:小劑量利舍平對神經精神症狀者有一定效果。伴有煩躁不安、抽搐者可用副醛(聚乙醛)或水合氯醛。心動過速可用普萘洛爾(心得安)治療。高血壓者使用降壓藥(但不宜使用甲基多巴,因其加重症狀)。嚴重便秘者可用新斯的明治療。注意維持水電解質平衡。如能早期診斷、注意防治,預後不一定很差。長期反覆發作者,預後欠佳。有神經症狀者預後不良,病人常在一次急性發作中死於上升性癱瘓或呼吸麻痹,病死率約為15%~20%。死亡病例大多是小於30歲的青年。早期發現病人,注意避免各種誘發因素,發作期間注意支持療法和護理,特別對呼吸麻痹病人進行呼吸監護,合理套用血紅素搶救治療,病死率可大為降低。隨著年齡的增長,本病傾向於減輕,預後較好。
2.遲發性皮膚型
(1)靜脈放血:靜脈放血對遲發性皮膚型血卟啉病患者有肯定的治療價值。放血療法的理論基礎還不完全清楚。一般認為肝臟中卟啉的積聚和尿中卟啉的排泄增多是肝內卟啉合成過多所致。放血後體內血紅蛋白的產生增加,這樣使原來產生過多的卟啉和卟啉原納入合成血紅蛋白的正常渠道中去。另外也與放血減輕肝內的鐵負荷有關。每次放血約400ml,年老體弱、心臟病、肺氣腫患者每次放血量可以減半。當尿卟啉排出顯著減少至尿總卟啉含量降至0.5mg/L或血紅蛋白降至110g/L時停止放血。一般放血2.4~3L(每周或隔周放血0.47L)顯效。皮膚損害可在幾個月內消失,但個體差異較大。
(2)氯喹或羥氯喹(羥基氯奎):該藥在肝細胞內與卟啉和鐵質結合後從尿中排出。氯奎125mg/d,每周2次,羥氯喹100mg/d,每周2次,療程可達數月至數年。遲發性皮膚型病人可獲得完全的臨床和生化的緩解,且耐受良好。但在治療過程中應密切觀察肝功能。當尿中尿卟啉低於每天100μg時,停止服用。緩解期至少持續20個月。復發後重複用藥仍然有效。先靜脈放血可減少氯喹的用量。不能使用常規劑量的氯奎或羥氯喹(羥基氯奎),因為它們可致短暫但有時是嚴重的肝損害而使光感性皮膚損害加重。
(3)忌酒可使皮膚症狀減輕,並使肝功能得到改善。遲發性皮膚型預後一般較好。
3.混合型和遺傳性糞卟啉型參見急性間歇型和遲發性皮膚型。1.急性間歇型
(1)氯丙嗪對減輕腹痛及緩解神經精神症狀有效,一般每次12.5~100mg,3~4次/d。丙氯拉嗪(甲哌氯丙嗪)較氯丙嗪更有效,每次5~10mg,3~4次/d;也可肌內注射,必要時每3~4小時重複1次。還可採用冬眠療法。嚴重腹痛以及四肢腰背疼痛的病例可用阿司匹林。一磷酸腺苷每12小時肌注125mg,0.1%普魯卡因400ml靜脈滴注(過敏試驗陰性後)對疼痛有效。哌替啶(度冷丁)50~100mg,肌內注射,能迅速地暫時止痛,但由於容易成癮,應儘量少用或不用。
(2)依地酸有抑制ALA合成酶的作用,且加速尿卟啉鋅複合物的排泄。口服依地酸鈣鈉每次1g,4次/d;或0.25~0.5g加入生理鹽水或葡萄糖液稀釋成0.25%~0.5%靜脈滴注,2次/d。3~5天為一個療程。停藥2~4天后進行下一療程,一般可用3~4個療程。
(3)正鐵血紅素:正鐵血紅素能以負反饋機制抑制ALA合成酶使△-ALA、PBG和卟啉減少,是搶救危重急性血卟啉病的有效手段。對急性發作的患者如用葡萄糖等其他治療方法不能使之在一天內趨於穩定則應給予正鐵血紅素。重症患者應極早使用。一般劑量為每次2~4mg/kg,用生理鹽水稀釋後以≤40mg/min的速度靜脈注射,6~10min注射完畢;也可加入500ml生理鹽水中靜脈滴注。兩次靜脈注射至少間隔12h。也可每天靜脈注射1次,24小時內總量≤6mg/kg。療程3~5天。一般24~48h症狀很快改善,出現臨床和生化的緩解;一般耐受性良好,用藥前及用藥期應監測凝血情況,避免與其他的抗凝劑同時使用。可有短暫低熱和血栓性淺表靜脈炎,大劑量靜脈注射時,可能發生短暫的腎損傷。
(4)激素:有些病例特別是伴有直立性低血壓的病人,用糖類腎上腺皮質激素如潑尼松(強的松),每天30~60mg治療效果良好。但需長期套用,不易停藥。少數急性血卟啉病發作與月經周期有明顯關係的病例,套用雄激素、雌激素或口服女性避孕藥有良效,而有些病人的發作可能與之有關,因此雌激素或避孕藥的使用必須個體化。
(5)其他對症處理:小劑量利舍平對神經精神症狀者有一定效果。伴有煩躁不安、抽搐者可用副醛(聚乙醛)或水合氯醛。心動過速可用普萘洛爾(心得安)治療。高血壓者使用降壓藥(但不宜使用甲基多巴,因其加重症狀)。嚴重便秘者可用新斯的明治療。注意維持水電解質平衡。如能早期診斷、注意防治,預後不一定很差。長期反覆發作者,預後欠佳。有神經症狀者預後不良,病人常在一次急性發作中死於上升性癱瘓或呼吸麻痹,病死率約為15%~20%。死亡病例大多是小於30歲的青年。早期發現病人,注意避免各種誘發因素,發作期間注意支持療法和護理,特別對呼吸麻痹病人進行呼吸監護,合理套用血紅素搶救治療,病死率可大為降低。隨著年齡的增長,本病傾向於減輕,預後較好。
2.遲發性皮膚型
(1)靜脈放血:靜脈放血對遲發性皮膚型血卟啉病患者有肯定的治療價值。放血療法的理論基礎還不完全清楚。一般認為肝臟中卟啉的積聚和尿中卟啉的排泄增多是肝內卟啉合成過多所致。放血後體內血紅蛋白的產生增加,這樣使原來產生過多的卟啉和卟啉原納入合成血紅蛋白的正常渠道中去。另外也與放血減輕肝內的鐵負荷有關。每次放血約400ml,年老體弱、心臟病、肺氣腫患者每次放血量可以減半。當尿卟啉排出顯著減少至尿總卟啉含量降至0.5mg/L或血紅蛋白降至110g/L時停止放血。一般放血2.4~3L(每周或隔周放血0.47L)顯效。皮膚損害可在幾個月內消失,但個體差異較大。
(2)氯喹或羥氯喹(羥基氯奎):該藥在肝細胞內與卟啉和鐵質結合後從尿中排出。氯奎125mg/d,每周2次,羥氯喹100mg/d,每周2次,療程可達數月至數年。遲發性皮膚型病人可獲得完全的臨床和生化的緩解,且耐受良好。但在治療過程中應密切觀察肝功能。當尿中尿卟啉低於每天100μg時,停止服用。緩解期至少持續20個月。復發後重複用藥仍然有效。先靜脈放血可減少氯喹的用量。不能使用常規劑量的氯奎或羥氯喹(羥基氯奎),因為它們可致短暫但有時是嚴重的肝損害而使光感性皮膚損害加重。
(3)忌酒可使皮膚症狀減輕,並使肝功能得到改善。遲發性皮膚型預後一般較好。
3.混合型和遺傳性糞卟啉型參見急性間歇型和遲發性皮膚型。

