概述
真菌性腸炎淺部真菌(癬菌)僅侵犯皮膚、毛髮和指(趾)甲,而深部真菌能侵犯人體皮膚、黏膜、深部組織和內臟,甚至引起全身播散性感染。深部真菌感染腸道即表現為真菌性腸炎,可獨立存在如嬰兒念珠菌腸炎,或為全身性真菌感染的表現之一,如愛滋病並發播散性組織胞漿菌病。
真菌性食物中毒或稱真菌中毒症,包括真菌毒素中毒和毒蕈中毒。因進食受真菌污染的食物或誤食毒蘑菇所致。臨床表現各不相同,部分病例伴有腹瀉,尤其是胃腸炎型毒蕈中毒,表現為劇烈腹瀉、腹痛和嘔吐,但腹瀉是單純由真菌毒素引起,與細菌性食物中毒不同,不伴有病原菌的感染,故不屬於感染性腹瀉的範疇。侵犯腸道的真菌包括病原性真菌,如組織胞漿菌、副球孢子菌,以及條件致病性真菌,如念珠菌、曲菌、毛黴菌、地絲菌等。病原性真菌主要引起外源性感染,既可侵犯免疫功能低下者,亦常侵犯免疫功能正常者。條件致病性真菌則多見於內源性感染,發病與人體免疫力降低和腸道菌群失調有關。由於抗生素的廣泛套用和愛滋病的流行,真菌性腸炎的發病率有逐年增加趨勢。惡性腫瘤患者由於接受放療或化療,亦容易並發腸道真菌感染,但往往由於症狀不典型而得不到及時診斷。據Prescott等報導,對890例惡性腫瘤病例屍檢,腸道真菌感染的發生率為1.6%,病原包括念珠菌和曲菌。組織胞漿菌腸炎則已成為愛滋病患者的主要致死原因之一。因此,迫切需要提高對真菌性腸炎的認識,以便及時診斷和及早治療,尤其需要特效的抗真菌藥物加以防治。
發病原因
真菌性腸炎,主要由白色念珠菌寄生於腸黏膜引起炎症而致病。但在下列情況時易繼發本病:①當機體患嚴重肝腎疾病、粒細胞缺乏症、或惡性腫瘤時引起惡質體,均可導致機體免疫功能降低。如長期使用抗生素、醫`學教育網蒐集整理腎上腺皮質激素、化學抗癌藥物、免疫抑制劑和放療等皆可使機體和組織的抗病能力減弱,或腸道菌群失調,真菌乘虛而入,大量繁殖,侵襲組織而易引起腸道真菌病。
②真菌性腸火炎還是繼發於消化道某些疾病,如痢疾、腸梗阻、食道膿中等。由於這些疾病破壞了腸道黏膜的完整性,給真菌的侵入創造了條件。
真菌性腸炎,可發生於任何年齡,但以體質差、營養不良,或患有鵝口瘡的嬰幼兒及抵抗力低下的兒童多見。
體徵
真菌性腸炎2.曲菌腸炎好發於有基礎疾病的體力勞動者,多為煙曲菌所致。由於煙曲菌並非腸道正常菌群,故感染是外源性的,往往繼發於肺曲菌病。曲菌有侵犯血管之傾向,菌絲可穿入血管壁導致血栓形成。曲菌腸炎的臨床表現以腹痛和血便為主,可引起消化道大出血,而腹瀉常不典型,也缺乏念珠菌腸炎的遷延性經過,侵犯血管後易發展為播散性曲菌病。
3.毛黴菌腸炎因攝入被真菌孢子污染的食物所致,好發於營養不良的兒童或有胃腸道慢性疾病的患者。臨床表現由於受累部位和感染程度的不同而差異較大。其特點是血管栓塞後引起黏膜潰瘍甚至穿孔的表現,多伴有胃的感染和胃潰瘍。可出現腹痛、腹瀉、嘔血和黑便,或腸穿孔導致腹膜炎,或侵入胃腸血管導致血行播散,病情發展快,病死率高。
4.組織胞漿菌腸炎具有地方流行性,多見於愛滋病患者或兒童,因吸入或攝入來自污染土壤中的孢子所致。臨床經過酷似局限性腸炎或潰瘍性結腸炎。起病緩慢,有發熱、消化不良、腹瀉、黑便、腹痛,有時嘔吐。常伴有肺部感染灶,但以腸炎為主要表現。
5.副球孢子菌腸炎繼發於肺部感染灶或經血行播散而感染。本病亦具有地方流行性。主要見於巴西中部高原,經常接觸土壤的人群較易患此病。病變多在回盲部,引起有膿腫形成的潰瘍性肉芽腫。病原菌可通過淋巴播散至局部淋巴結、肝、脾。主要症狀是腹痛,右下腹可觸及腫塊,伴腹瀉、嘔吐,往往由於出現腹水和腹腔淋巴結腫大而易誤診為結核或腫瘤。
6.地絲菌腸炎地絲菌和念珠菌相似,是一種內源性條件致病菌。地絲菌腸炎多見於有免疫缺陷的慢性病患者和套用免疫抑制藥、抗生素或糖皮質激素者。症狀有腹痛、腹瀉、膿血便或黏液便,與痢疾相似,但膿血便中可查到大量地絲菌和長方形關節孢子。患者多伴有口腔地絲菌病,類似鵝口瘡。
病理
真菌性腸炎組織胞漿菌有莢膜組織胞漿菌和非洲組織胞漿菌之分,屬不全菌亞門,為雙相型真菌。在組織內和37℃培養基中呈酵母型。直徑2~4μm;在室溫下生長緩慢,為白色菌絲集落,有典型的齒輪狀大分生孢子。菌絲分隔,傳染性很強。副球孢子菌亦為雙相型,在自然環境中或在25℃沙保培養基上呈菌絲相生長,菌落小,鏡下可見寬1~2μm有分隔的分支菌絲,在菌絲兩側有圓形或卵圓形、約3~6μm大小的側生小分生孢子。在組織內或在37℃血瓊脂上呈酵母相生長,形成大的卵圓形或球形酵母體,直徑10~60μm,周圍環繞多個芽生孢子,小者1~2μm,大者10~30μm。地絲菌為酵母樣真菌,屬於不全菌亞門,叢梗孢科,地霉屬。糞等標本直接塗片經10%氫氧化鉀溶液處理後,鏡下可見細的分隔菌絲,以及長方形關節孢子,約4μm×8μm大小,革蘭染色陽性,兩個關節孢子之間無間隙,有時關節孢子一角有芽管生出。偶見圓形孢子,胞壁增厚。
生理
真菌性腸炎1.機體方面免疫功能低下,尤其是細胞免疫功能受損,吞噬細胞的數量減少,趨化性喪失,殺菌力下降等,是真菌性腸炎發病的主要因素。條件致病性真菌感染的一個特點,就是常發生在有基礎疾病的患者,這些患者的共同之處就是免疫功能低下。
2.菌體方面如白念珠菌細胞壁含甘露糖,能加強其黏附力,且白念珠菌在組織內常呈菌絲體,與酵母體相比,不易被巨噬細胞吞噬。又如莢膜組織胞漿菌被巨噬細胞吞噬後,不易被殺死,可在巨噬細胞內繁殖,導致感染播散。而曲菌內毒素和溶蛋白酶(類胰蛋白酶)則可導致感染灶周圍組織壞死。此外,一次攝入的真菌數量亦可成為感染髮生的決定因素。如Krause曾給健康人口服1012CFU(菌落形成單位)的白念珠菌,數小時後發生腸道感染,隨後出現念珠菌菌血症。
3.醫源性因素如套用廣譜抗生素導致腸道菌群失調,條件致病性真菌過度生長,或腸道手術增加了感染機會。
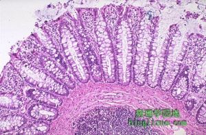
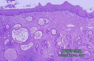
真菌性腸炎之病理變化,主要見於真菌侵襲腸壁各層。毛黴菌、曲菌和少數由白色念珠菌所致的腸炎,而且還可侵犯漿膜下層及腸系膜的小動脈和小靜脈,破壞管壁引起真菌性脈管炎和真菌性血栓的形成。這些病變在毛黴菌感染時尤為突出。本病有時還可由兩種真菌混合感染,如白色念珠菌合併毛黴菌,或白色念珠菌合併曲菌感染。因此病理檢查時,最好同時結合真菌培養,對病原菌進行分離鑑定,有利於診斷。而真菌感染所引起的肉芽腫和纖維性病灶,在真菌性腸炎中則少見。顯微鏡下所見:腸黏膜有局灶性壞死及潰瘍形成。潰瘍有的表淺,有的深達黏膜下層,有的表面有假膜形成。假膜有大量的真菌、纖維蛋白、壞死組織及少量炎性細胞組成。腸壁各層,尤其是黏膜下層呈充血、水腫及炎性細胞浸潤。炎性細胞多少不一,以中性粒細胞為主,並有單核細胞和淋巴細胞。有時可見到膿腫。
診斷
真菌性腸炎1.臨床診斷組織胞漿菌和副球孢子菌腸炎具有地方流行性,患者多為流行區居民或曾去流行區旅行。條件致病性真菌在正常情況下不致病,只有當人體免疫功能低下時才引起發病,如念珠菌、曲菌。若臨床表現不能用細菌性或病毒性感染來解釋,抗生素治療反而使症狀加劇,腹瀉遷延不愈,同時還存在與免疫功能低下有關的基礎疾病或其他誘因如廣譜抗生素和免疫抑制藥的套用等,應考慮真菌性腸炎的可能,及時作糞標本病原學檢查或腸鏡活檢。對腹瀉伴有鵝口瘡的患者更不可忽視,必要時套用抗真菌藥做診斷性治療。
2.病原學診斷包括真菌形態學檢查和真菌培養。若糞標本直接鏡檢發現大量菌絲和孢子,並排除污染因素可確診為真菌性腸炎。僅有少量孢子則可能為正常帶菌,意義不大。真菌培養需連續3次陽性並為同一菌種,結合臨床方可確診。對於雙相型真菌,需分別在25℃和37℃條件下培養並染色鏡檢。以鑑定真菌形態,或進一步做動物接種試驗以鑑定真菌的致病性。
3.病理學診斷通過臨床診斷和病原學診斷仍不能確診的患者,腸鏡活檢是最後手段。在病理切片中找到菌絲和孢子,是真菌感染的直接證據,且曲菌、毛黴菌等真菌感染的病理變化又頗具特徵,有診斷意義。腸活檢結果還可經動物接種試驗出現類似病理改變,來加以證實。
4.免疫學診斷以檢測真菌循環抗原最具診斷意義,但往往因交叉反應而不能確定菌種。試驗陽性提示曾經感染,適用於流行病學調查,對急性感染的診斷價值不大。特異性檢測則常常由於患者伴有免疫功能低下而出現假陰性,套用範圍有限。
檢查
真菌性腸炎(1)直接鏡檢標本:以10%氫氧化鉀或生理鹽水製片,高倍鏡下發現大量菌絲和孢子有診斷意義。對於雙相型真菌,僅查到孢子可能是正常帶菌。真菌性腸炎的6種常見病原多數情況下直接鏡檢即可鑑定,但孢子、菌絲和其他背景物質有時相互混淆,不易辨認。
①菌絲和孢子:菌絲粗細一致,除毛黴菌外均有分隔,可見不同角度的分支,細胞質均勻,內含大小不等的顆粒。孢子多為圓形或卵圓形,多數大小一致,邊緣整齊,可見細胞構造。
②細胞壁:在氫氧化鉀溶液處理的標本中,細胞壁常變寬,連線成弧狀,類似菌絲,但無菌絲的構造。
③石棉體:比菌絲更細,不分節,無菌絲顆粒。
④植物纖維:未消化的食物殘渣,邊緣不整,無分支。
⑤脂細胞:圓形,構造模糊,無細胞壁。
⑥磷脂小球:大小不一,形狀不整,無細胞構造。
⑦氫氧化鉀結晶:雪花樣或珊瑚狀,邊緣呈鋸齒形,折光性強。
⑧小水皰:圓形,透亮,無細胞構造。
(2)染色鏡檢常用的染色方法:
①革蘭染色:適用於念珠菌,孢子、菌絲染成藍色,但著色不均。
②過碘酸錫夫染色(PA5):真菌孢子、菌絲均染成紅色。
③丫啶橙染色:螢光顯微鏡下真菌孢子呈亮綠色。
④吉姆薩染色和瑞特染色:適用於莢膜組織胞漿菌,染色前用甲醇固定,油鏡下菌體染成紅色,較小一端有出芽,菌體周圍有一圈莢膜樣結構,為此菌的細胞壁。通常菌體位於巨噬細胞或單核細胞內,少數位於細胞外。
⑤乳酸酚棉藍染色:適用於各種真菌培養塗片,菌體染成藍色。
(3)真菌培養:糞標本直接鏡檢通常不容易確定菌種,需參考糞培養結果,觀察菌落形態,再挑取菌落染色後鏡檢。常用沙保培養基和血瓊脂培養基。對於雙相型真菌還需在不同溫度下(25℃或37℃)分別培養,以便觀察其形態改變。
①大培養:是鑑別真菌的主要方法之一,可觀察菌落的生長情況。根據菌落的生長速度、形態、色澤等,初步判別菌種。
A.試管斜面:用白金環刺破瓊脂平面,分3點將標本接種於試管斜面培養基上。此法不易污染,但菌落較小。
B.培養皿:分3點將標本接種於平皿培養基中央,倒置後放恆溫箱中培養,每3天觀察1次菌落生長情況。
②小培養:將大培養中生長較好的菌落接種在玻片培養基上。培養1~3天后,在顯微鏡下觀察菌體的特徵。
A.點片法:先將少許培養基成形於載玻片中央,再將菌種接種於培養基邊緣。覆以蓋玻片,置於有U形管的玻璃平皿中,培養後於不同時間取出鏡下觀察或染色鏡檢。
B.壓片法:將菌種接種在試管斜面或平皿培養基上,覆一蓋玻片,以便菌體向蓋玻片上生長,然後於適當時間取出置於載玻片上鏡檢。
鑑別
真菌性腸炎(1)霍亂:大流行現已少見,多為局部暴發流行。患者有劇烈吐瀉,吐瀉物呈米泔水樣或黃水樣,無腹痛,不發熱,常迅速出現嚴重脫水和微循環衰竭。吐瀉物直接鏡檢可見大量呈魚群樣運動的弧菌。
(2)細菌性痢疾:終年均有發病,多見於夏秋季。主要病變是結腸的化膿性炎症。患者嘔吐少,常有發熱,腹瀉伴腹痛、里急後重,左下腹壓痛。大便混有膿血,鏡檢可見紅細胞、膿細胞和巨噬細胞,培養有痢疾桿菌生長。
(3)阿米巴痢疾:以散發為主。患者常隱匿起病,腹瀉輕重不一,毒血症少,腹痛與里急後重不明顯,與真菌性腸炎頗為相似。但糞便與膿血不混合,典型者呈果醬樣,腥臭,鏡檢以紅細胞為主,可見吞噬紅細胞的阿米巴滋養體和夏科-雷登結晶。乙狀結腸鏡檢見腸黏膜散在潰瘍,邊緣整齊,充血隆起,潰瘍間黏膜正常。潰瘍塗片或活檢可見滋養體。
(4)傷寒與副傷寒:副傷寒丙可呈胃腸炎型發作,但病程短,預後好,多在3~5天內恢復。傷寒與副傷寒甲、乙以高熱、全身毒血症症狀為主,可伴有腹痛,但腹瀉少。血或骨髓培養有傷寒或副傷寒桿菌生長即可確診。
(5)局限性腸炎:或稱Crohn病,通常病史漫長,有明顯發作與緩解交替出現的現象。X線鋇餐顯示病變以迴腸末端為主,有邊緣不全的線條狀陰影,病變呈節段分布,間以擴張的腸曲,即所謂脫漏征。
(6)潰瘍性結腸炎:臨床表現為反覆發作的腹瀉、膿血便,可伴有發熱。病變以乙狀結腸、直腸最為嚴重,或累及整個結腸。腸鏡檢查可見腸黏膜充血、水腫及潰瘍形成,黏膜鬆脆易出血。糞培養無致病菌生長。晚期病例X線鋇餐顯示結腸袋消失,腸管呈鉛管樣變化。
(7)難辨梭狀芽孢桿菌性腸炎:兩者均常出現於套用抗生素治療之後,難辨梭狀芽孢桿菌多引起假膜性腸炎,其特徵是結腸黏膜深處壞死性炎症,出現滲出性斑或形成大片假膜。病原學檢測可以鑑別。
(8)其他腹瀉:過敏性腹瀉有進食魚蝦或接觸變應原史,既往有類似藥物性腹瀉有服用瀉藥史;酶缺乏性腹瀉有遺傳病家族史。通過詳細詢問病史,結合糞病原學檢查,均不難鑑別。值得注意的是,對於細菌性腸炎和病毒性腸炎,通常以糞標本中找到病原體為主要鑑別依據。而對於真菌性腸炎,即使糞培養有真菌生長,仍難以確診,因為糞標本很容易被真菌污染,而且,有些真菌屬於腸道正常菌群。
治療
真菌性腸炎2.液體療法靜脈補液:進食少、失水明顯的患者,應靜脈輸液,以補充水分、熱量,及時糾正酸鹼平衡和電解質紊亂。原則上損失多少補多少,遵循“先鹽後糖,先快後慢,糾酸補鉀”的方針。口服補液:適用於輕度失水者和靜脈補液後病情已有改善者。
3.中醫中藥運用中醫的整體觀點,辨證施治,扶正祛邪,在提高機體免疫力和改善全身狀況的同時,加以有效的抗真菌藥治療。尤其是愛滋病並發真菌性腸炎,中西醫結合療法有其獨到的優勢。大蒜、黃連、土槿皮、毛薑等中藥均有一定的抗真菌作用。由大蒜的有效成分——大蒜素製成的注射液,可供靜脈滴注,亦可口服。近來有人用中藥濃煎成汁灌腸,亦取得不錯的療效。
4.抗真菌治療首選制黴菌素口服。重症或口服有困難者選用氟康唑或二性黴素B合用氟胞嘧啶(5-氟胞嘧啶)靜脈滴注。
(1)制黴菌素:為多烯類抗真菌抗生素,因不溶於水,口服不吸收,故副作用較小。成人每次100萬U,3次/d,兒童酌減,療程10~14天。可與大蒜素合用。
(2)大蒜素:為大蒜經真空分餾得到的一種有效揮髮油,化學名為三硫二丙烯,亦可人工合成。注射劑,成人每天90~150mg,加入5%葡萄糖中滴注,4~5h滴完。口服膠丸,成人每次40~60mg,3次/d,飯後服。兒童用量酌減。療程2周~4個月。
(3)氟康唑:為取代酮康唑的新一代三唑類化學製劑,對肝臟的毒副作用遠較酮康唑小。用法:成人每天200~400mg,兒童5~10mg/(kg?d),1次口服或靜脈滴入。療程10~14天。此藥應避免與降低胃pH值的鹼性藥物同服,否則影響該藥的吸收;也應避免與降血糖藥、環孢素A、苯妥英鈉、利福平、H2拮抗藥等合用,以免相互干擾、加速代謝而降低療效。
(4)伊曲康唑:作用與氟康唑類似,僅供口服。用法及注意點同氟康唑。用於治療副球孢子菌腸炎,療程需6~12個月。

