概述
腸系膜淋巴結結核在小兒較多見。可能為腸道原發複合征的部分表現,腸原發灶可很快被吸收,但腫大且乾酪樣變的腸系膜淋巴結則可長期存在。也可由淋巴或血行播散而來,多與胸腔內淋巴結結核或全身粟粒結核病同時存在。有時腸系膜淋巴結結核為主要表現,而其他部位的結核並不明顯,此時應作為單獨的病例診斷。
隨著中國人民生活水平日益改善,醫療衛生科學技術不斷的發展鶒,結核病的防治已取得一定的成效,流行情況大為好轉。小兒結核感染率、患病率、病死率均有明顯下降。據中國1990年第3次全國結核病流行病學調查報告,兒童結核菌素陽性率23.4%7歲感染率6.6%,推算年感染率0.8%,患病率172.1/10萬,死亡率64.1/10萬死於結核性腦膜炎者0.5/10萬。但由於中國幅員遼闊,防治工作發展仍不平衡,有些地區結核病流行仍較嚴重。兒科臨床醫師除了解結核病的診治原則外,並應加強疫情報告,以便於防治機構掌握流行動態及診治結核病的情況,共同搞好兒童及青少年結核病的防治工作。
病發原因
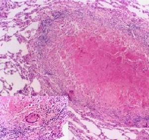
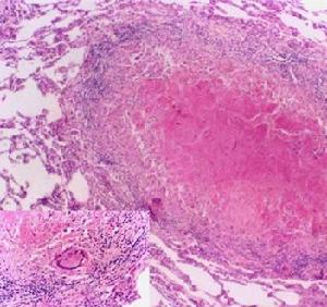
腸系膜淋巴結結核北京兒童醫院137例死於結核病患兒的屍體解剖發現30%左右有腸系膜淋巴結結核。淋巴結數目和大小不等,易融合成團塊均有乾酪樣變,有時和附近組織及器官如腸管、腹膜及大網膜相粘連。甚至結成巨大團塊似手拳樣。乾酪樣物質壞死液化可破潰至腹腔、腸腔,或通過腹壁而向外排出。病痊癒後可見散在的或廣泛的鈣化現象。
臨床表現
淋巴結腫大併發症:引起腹瀉、腹痛;腫大淋巴結壓迫門靜脈使回流受阻,可產生腹水及腹壁靜脈擴張;壓迫下腔靜脈可引起下肢水腫;壓迫胸導管可引起乳糜性腹水;壓迫幽門可致幽門狹窄;壓迫腸道可引起不全性腸梗阻。
疾病診斷
一般診斷:診斷可根據結核病接觸史結素試驗陽性、臨床症狀、腹部深觸診及直腸探查等決定腹部X線平片可發現鈣化灶,在本病慢性演變及反覆惡化過程中,對確診有幫助。
鑑別診斷:鑑別診斷要考慮慢性或急性闌尾炎。根據人們治療鶒的腸系膜淋巴結結核患兒,曾被誤診為闌尾炎者最多,甚至誤診達2~3年之久其次為肝炎、非特異性腸系膜淋巴結炎、包蟲病蛔蟲病等此外,偶需鑑別者尚有胃及十二指腸潰瘍、膽囊炎腹部淋巴結腫塊應與限局性回腸炎、淋巴肉瘤及其他腹部腫瘤相鑑別。
檢查方法
結核結節1.塗片與培養從漿膜腔液中找到抗酸桿菌是診斷結核病的重要手段,但陽性率低,僅20%~30%。此外,尚可將標本接種豚鼠做結核菌培養結核菌生長緩慢,4~6周后才出現典型病理改變。套用的Bactec460快速培養鑑定系統,採用有放射性營養物(14C棕櫚酸)為底物的7H12分枝桿菌培養基,結核菌生長期可縮短至1~3周,檢測結核桿菌需9天可鑑別結核桿菌與非結核分枝桿菌鶒藥敏試驗另需3~5天1991年套用雙相培養技術Rocheseptichek-AFB系統快速分離結核桿菌,可在2~4周出報告抗酸菌L型菌是細胞和菌落形態的一種變異,用常規方法難於培養,抗酸染色鶒不易被發現。中國套用改良的胰腖大豆蛋白瓊脂培養基(TSA-L)、快速蛋白腖瓊脂牛血清培養基、羊血培養基分離培養L型結核桿菌,1998年報導在260例復治、難治肺結核病人中培養出L型結核桿菌,陽性率29.6%。
2.結核桿菌抗體檢測過去用天然抗原PPD等檢測抗體(PPD-IgG、PPD-IgM),敏感性及特異性均差。由於製備了結核桿菌的純化或半純化的抗原,使結核桿菌特異性抗體檢測有了顯著進展常用的抗原有半純化的結核桿菌抗原5、抗原6、AOO抗原;半純化的糖脂抗原如糖脂SAGA1、B1和C酚糖脂(PGL-Tb1)、脂阿拉伯甘露聚糖(LAM)抗原、硫脂類(SL-ⅠSL-Ⅳ)、TB-C-1抗原、脂多糖(LPS)等;純化的抗原有結核蛋白抗原(38kDa、30/31kDa、71kDa、45kDa、14kDa、19kD3a結核桿菌抗原)重組38kDa結核蛋白。
(1)酶聯免疫吸附試驗(ELISA):用於檢測結核病人血清、腦脊液及漿膜腔液中的抗結核抗體可作為輔助診斷指標。應半純化抗原的ELISA的敏感性為65%~85%,對痰塗片陰性的肺結核敏感性為53%~62%對肺外結核病敏感性為34%~40%特異性95%套用38kDa純化抗原鶒的ELISA檢測抗體,敏感性為73%,對痰塗片陰性的肺結核敏感性為70%特異性98%。套用抗原5的ELISA檢測結核性腦膜炎患者腦脊液中特異性抗體,敏感性70%,特異性100%。
(2)酶聯免疫電泳技術(ELIEP):鶒是將ELISA與電泳結合起來的一項免疫技術是各種結核病輔助診斷的血清學方法。
3.結核桿菌抗原檢測套用ELISA、乳膠凝集試驗、反向被動血凝試驗等方法檢測體液中的結核桿菌抗原如套用ELISA方法檢測腦脊液中的結核桿菌34kDa細胞漿蛋白(抗原5)以診斷結核性腦膜炎敏感性80%,特異性100%。用雙抗體夾心ELISA方法檢測腦脊液、腹水、胸腔積液中的結核桿菌43kDa免疫顯性抗原敏感性100%,特異性96%。套用協同凝集試驗測定脂阿拉伯甘露聚糖抗原,敏感性85%~90%,特異性93%套用免疫印跡技術(Westernblot)檢測結核桿菌抗原,敏感性89.7%,特異性95.7%,對肺外結核、痰塗片陰性肺結核病有診斷意義。
4.結核桿菌結構成分測定套用氣相色譜-質譜分析的方法,檢測血清腦脊液中結核桿菌的菌體結構成分,即結核硬脂酸(10-甲基十八烷酸),具有較高的特異性及敏感性。套用頻率脈衝電子捕獲氣相色譜法測定腦脊液中結核桿菌的羧酸,敏感性95%,特異性91%,但所需設備及技術複雜昂貴。
5.分子生物學檢查:(1)DNA探針分子雜交:DNA探針方法檢測臨床標本的敏感性不高標本中細菌數1萬/ml時才呈陽性。用吖啶酯(acridiniumester)標記的基因探針技術及化學發光測定系統取代酶標顯色系統,可提高敏感性,能鑑定多種分枝桿菌快速檢測結核桿菌。套用細菌螢光酶檢測雜交信號,可提高敏感性100倍鶒。(2)聚合酶鏈式反應(PCR):選擇性地擴增對結核桿菌複合物有特異性的MPB64蛋白質的編碼基因片段,能將此極微量的DNA樣品放大幾十萬倍以上,數小時可得結果快速、敏感、特異性強。但較易產生假陽性和假陰性結果套用PCR擴增結核桿菌特異性插入序列IS6110檢測痰標本,陽性率93%假陽性率2.9%。國內馬路套用巢式PCR測定病理標本、痰標本等的結核桿菌DNA,無假陽性。有人套用巢式PCR檢測結核病人外周血單個核細胞中結核桿菌的特異性重複插入序列IS6110,陽性率64%,高於痰塗片的32%與痰培養的35%;(3)DNA指紋技術:分析細菌染色體的限制性內切酶酶切片段的特異性帶譜如DNA插入序列IS6110,以鑑定菌株,用於流行病學研究;(4)結核桿菌耐藥基因檢測:套用PCR-單鏈構象多態性(PCR-SSCP)分析、PCR-限制性片段長度多態性(PCR-RFLP)分析PCR-DNA序列測定,研究結核桿菌耐藥基因;(5)基因晶片(genechip)技術:將許多DNA探針以一定順序及排列方式固定於固相載體上,構成探針矩陣,與待測DNA雜交,可同時獲得大量基因信息1999年美國研製了測定分枝桿菌種間多態性的16SrRNA基因晶片,用於鑑定結核桿菌與其他非結核分枝桿菌。另一種為分析耐藥結核菌株rpoB基因型的基因晶片,用於分析rpoB基因突變;6.血沉結核病活動期血沉可以加快。抗結核治療後,血沉逐漸下降,則更說明原來有活動性病變血沉檢查無特異性,血沉正常不能除外活動性結核。
其它輔助檢查
腹部X線平片中多發性大小不一的鈣化灶對確診有幫助。在鑑別診斷中應與腸系膜淋巴結炎、急慢性闌尾炎、腸梗阻等區別,腹腔如有巨大包塊應與淋巴肉瘤、神經纖維瘤鑑別。B超可見腫大的淋巴結或腹水。
治療途徑
在全身療法基礎上進行抗結核藥物治療。腫大淋巴結經內科治療無效且產生持久性壓迫症狀時可考慮外科手術切除。
化學治療
(1)輕症單用異煙肼(INH),劑量為10~15mg/(kg·d)療程12個月。
(2)異煙肼(INH)+Sm聯用,Sm20~30mg/(kg·d),1~3個月,INH持續1~1.5年。
(3)病情較重或考慮有耐藥菌感染時則在Sm+異煙肼(INH)治療的基礎上加用利福平(RFP)10mg/(kg·d),9個月及吡嗪醯胺(PZA)20~30mg/(kg·d),6~9個月。
若對利福平(RFP)有胃腸反應可用吡嗪醯胺(PZA)9~12個月。若肝功能不正常時不用利福平(RFP)及吡嗪醯胺(PZA),而用乙胺丁醇(EB)10mg/(kg·d),6個月。
合併氣管結核
在全身化療的基礎上並用異煙肼(INH)0.1g+地塞米松2mg霧化吸入,能促進氣管黏膜炎症和水腫的吸收改善呼吸道的通氣功能,促進淋巴氣管瘺的癒合,使肺含氣不良或肺不張早日恢復。
氣管鏡檢查治療
若氣管結核引起呼吸困難或出現大葉性肺不張,除加用霧化吸入外,還宜加用潑尼松(強的松)1mg/(kg·d)http://www.huoguan.com,2~3周后逐漸減量而停,並考慮做氣管鏡檢查及治療。當氣管淋巴結乾酪物質突然破潰進入氣管或支氣管時,可做為應急搶救措施之一
外科手術
單純腫瘤型支氣管淋巴結結核,經強化治療療效不著或有乾酪物質破潰之可能,宜儘早外科做淋巴結清除術,避免突然破潰窒息造成生命危險
預防措施
預後
預後良好,淋巴結乾酪樣變可逐漸被吸收、硬結鈣化而自愈。慢性中毒症狀可存在很長時間才消失。淋巴結乾酪壞死液化,破潰到腹腔或腹壁外形成瘺管長期不愈,這種病例稱腸系膜結核,現已極少見合併腹膜炎及腸結核時,預後與該二病有直接關係。
預防
1.控制傳染源,減少傳染機會結核菌塗片陽性病人是小兒結核主要傳染源,早期發現和合理治療塗片陽性結核病人,是預防小兒結核病的根本措施嬰幼兒患活動性結核,其家庭成員應做詳細檢查(攝胸片、PPD等)。對國小和托幼機構工作人員應定期體檢,及時發現和隔離傳染源,能有效地減少小兒感染結核的機會。
2.普及卡介苗接種實踐證明,接種卡介苗是預防小兒結核病的有效措施。卡介苗為法國醫師Calmette和Guerin在1921年所發明,故又稱B.C.G,中國規定在新生兒期接種卡介苗,按規定卡介苗接種於左上臂三角肌上端,皮內注射,劑量為0.05mg/次。劃痕法現已很少採用。衛生部1997年通知取消7歲和12歲的卡介苗複種計畫。但必要時,對該年齡結素試驗陰性兒童仍可給予複種。新生兒期卡介苗可與B肝疫苗分手臂同天注射。接種卡介苗禁忌證:陽性結素反應;濕疹或皮膚病患者;急性傳染病恢復期(1個月);先天性胸腺發育不全症或嚴重聯合免疫缺陷病患者。
3.預防性化療主要用於下列對象:(1)3歲以下嬰幼兒未接種過卡介苗而結素試驗陽性者;(2)與開放性肺結核病人(多系家庭成員)密切接觸者;(3)結素試驗新近由陰性轉為陽性者;(4)結素試驗呈強陽性反應者;(5)結素試驗陽性小兒需較長期使用腎上腺皮質激素或其他免疫抑制劑者。
用於化學預防藥物主要為異煙肼劑量為10mg/(kg·d),療程6~9個月。父母新患肺結核家中之6歲以下兒童和患結核病產婦所娩出的新生兒,不管結素試驗結果如何,均應給予異煙肼治療,劑量同上用藥3個月後再做結素試驗,若呈陽性,則持續用異煙肼到9個月;若結素試驗陰性(<5mm)則停用異煙肼。抗HIV陽性兒童有結核接觸史者不管結素試驗結果如何均應接受異煙肼治療12個月。兒童接觸之結核病人若系抗異煙肼株,則化療藥物應改為利福平15mg/(kg·d),6~9個月;若系耐異煙肼又耐利福平株,則建議給吡嗪醯胺加氧氟沙星6~9個月,或吡嗪醯胺加乙胺丁醇6~9個月。

