疾病名稱
胃惡性淋巴瘤
疾病分類
普通外科,腫瘤科
病因
原發性胃淋巴瘤的病因尚不清楚有學者認為可能於某些病毒的感染有關;惡性淋巴瘤病人被發現有細胞免疫功能的低下,故推測可能在某些病毒的感染下,出現細胞免疫功能的紊亂和失調而導致發病另外胃淋巴瘤起源於黏膜下或黏膜固有層的淋巴組織,該處組織不暴露於胃腔不直接與食物中的致癌物質接觸因此其發病原因與胃癌不同,因而更可能與全身性因素引起胃局部淋巴組織的異形增生有關。
原發性胃淋巴瘤與幽門螺桿菌(Hp)感染的關係受到廣泛關注。Parsonnet等發現原發性胃淋巴瘤包括胃黏膜相關性淋巴樣組織(mucosa-associated lymphoid tissueMALT)患者其HP感染率為85%,而對照組僅為55%提示HP感染與胃淋巴瘤的發生相關臨床微生物學與組織病理學研究表明胃黏膜MALT的獲得是由於HP感染後機體免疫反應的結果。HP的慢性感染狀態刺激了黏膜內淋巴細胞聚集,由此而引發的一系列自身免疫反應激活免疫細胞及其活性因子如IL-2等造成了胃黏膜內淋巴濾泡的增生為胃淋巴瘤的發生奠定了基礎MALT的發生與HP感染有關而根除HP的治療能使MALT消退,引起了人們的關注Bayer-dorffer E等報告對33例同時有原發性低度惡性MALT淋巴瘤的HP胃炎病人進行了根治HP的治療,結果發現80%以上的病人在根除HP感染後腫瘤可完全消失。而進展期腫瘤或向高度惡性移行的腫瘤對治癒HP感染無反應進而提示原發性低度惡性MALT淋巴瘤的發展可能與HP慢性感染有關但單純根除HP治療對於胃MALT淋巴瘤的遠期療效尚待長期隨訪研究。關於胃酸低下或缺乏與胃淋巴瘤的關係仍不確定。
疾病概述
胃惡性淋巴瘤是原發於胃壁內淋巴濾泡的惡性腫瘤,可表現為局限的原發性病變,但也常是全身性疾病的一個局部表現。本病的發病率有增長趨勢,國內胃惡性淋巴瘤約占胃肉瘤的70~80%,男性患者稍多見,平均年齡為42.3歲,低於胃癌。
胃惡性淋巴瘤惡性淋巴瘤根據細胞形態特點和組織結構特點分為霍奇金病(Hodgkin’s Disease)和非霍奇金淋巴瘤(Non-Hodgkin’s Lymphoma)兩類。胃惡性淋巴瘤(malignant lymphoma of stomach)是胃非癌惡性腫瘤中最常見的類型,占胃部惡性腫瘤的3%~5%。它發生於胃淋巴網狀組織,屬淋巴結外型非霍奇金淋巴瘤的一種又有原發性和繼發性之分。後者是指身體其他部位或全身性淋巴瘤所致,是最常見的類型本病多見於50~60歲年齡組,有年輕化趨勢性別中以男性多見。
術前明確診斷者不足10%,多被認為胃癌及潰瘍病,只是術後經病理檢查才能明確診斷。因其臨床症狀無特殊性,主要病理變化又不在胃黏膜表面,所以影響各種檢查的陽性率。X線鋇餐檢查可見下列表現:①多發性潰瘍,或位於胃後壁或小彎側的大而淺表潰瘍;②胃黏膜上多數不規則圓形充盈缺損,所謂“鵝卵石樣改變”;③胃壁浸潤範圍較大,但不太僵硬,仍可見蠕動通過;④充盈缺損周圍出現明顯肥大的黏膜皺襞;⑤胃壁腫塊較大,但不引起梗阻。
與胃癌相比,胃惡性淋巴瘤發病的平均年齡較低,病程較長但全身情況相對較好,腹部可捫及較大腫塊但淋巴結轉移較晚,梗阻和貧血較少見,腫瘤質地較軟而其表面黏膜常未完全破壞。
疾病描述
胃惡性淋巴瘤是原發於胃壁內淋巴濾泡的惡性腫瘤,可表現為局限的原發性病變,但也常是全身性疾病的一個局部表現。本病的發病率有增長趨勢,國內胃惡性淋巴瘤約占胃肉瘤的70~80%,男性患者稍多見,平均年齡為42.3歲,低於胃癌。
發病機制
綜述
原發性胃淋巴瘤可發生於胃的各個部位多見於胃體和胃竇部、小彎側和後壁。病變通常較大,有時可呈多中心性開始常局限於黏膜或黏膜下層,可以逐步向兩側擴展至十二指腸或食管亦可逐漸向深層累及胃壁全層並侵及鄰近的周圍臟器,並常伴胃周淋巴結轉移因反應性增生可以有明顯的區域性淋巴結腫大。
大體形態特徵
其肉眼所見與胃癌不易區別。Friedma把原發性胃淋巴瘤的大體形態分為下列幾種:
(1)潰瘍型:最為常見,此型有時與潰瘍型胃癌難以區別淋巴瘤可以呈多發潰瘍但胃癌通常為單個潰瘍淋巴瘤所致的潰瘍較表淺,直徑數厘米至十餘厘米不等潰瘍底部不平可有灰黃色壞死物覆蓋,邊緣凸起且較硬,周圍皺襞增厚變粗,呈放射狀。
(2)浸潤型:與胃硬癌相似胃壁表現胃局限性或瀰漫性的浸潤肥厚,皺襞變粗隆起胃小區增大呈顆粒狀黏膜和黏膜下層極度增厚成為灰白色,肌層常被浸潤分離甚至破壞,漿膜下層亦常被累及。
(3)結節型:胃黏膜內有多數散在的小結節,直徑半厘米至數厘米其黏膜面通常有淺表或較深的潰瘍產生。結節間的胃黏膜皺襞常增厚,結節位於黏膜和黏膜下層,常擴展至漿膜面,呈灰白色,境界不清、變粗甚至可形成巨大皺襞
(4)息肉型:較少見。在胃黏膜下形成局限性腫塊向胃腔內突起呈息肉狀或蕈狀有的則呈扁盤狀,病變質地較軟.其黏膜常有潰瘍形成。
(5)混合型:在一個病例標本中,同時有以上2~3種類型的病變形式存在。
組織學特徵
(1)高分化淋巴細胞型:成熟的淋巴細胞增生,通常不具有惡性細胞的組織學特徵。
(2)低分化淋巴細胞型:淋巴細胞顯示不同程度的未成熟性這種類型大致相當於原先屬於大細胞或淋巴母細胞性的淋巴肉瘤。
(3)混合細胞型:含有淋巴細胞和組織細胞而不以哪一種細胞為主的腫瘤增生這些腫瘤通常呈結節狀。
(4)組織細胞型:有組織細胞不同時期的成熟與分化的腫瘤增生。
(5)未分化型:沒有按組織細胞或淋巴細胞系統明顯分化的原始網織細胞的腫瘤增生。
臨床特點
(一)症狀和體徵
低度惡性淋巴瘤的患者常有長期的非特異性症狀,包括消化不良、噁心和嘔吐。高級別惡性病變可表現為明顯的上腹部包塊,可引起嚴重的症狀,包括體重減輕。
(二)影像學
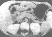
低度惡性黏膜相關淋巴瘤表現為胃內結節,多位於胃竇部。更為具體的評估可用水將胃充經螺旋CT檢查來獲得。此技術可以識別多達88%的病例,這些病例大部分表現為結節或增寬的皺襞。用此技術還可評估腫瘤侵犯黏膜下層的範圍。高級別惡性淋巴瘤常比較大,常以腫塊或潰瘍的形式存在。一些病例的放射學特點可能類似於瀰漫型胃癌。超聲內窺鏡檢查為評估淋巴瘤在胃壁中的浸潤範圍提供了選擇。局部淋巴結受累也可用此方法進行評估。
(三)內窺鏡
一些病例表現為胃皺襞增大、胃炎、淺表糜爛或潰瘍。這些病例中,周圍看似正常的胃黏膜可能就隱藏著淋巴瘤,確定病變位置需要從各個部位多點取材,包括那些大體上看似正常的區域。在一部分病例,內窺鏡檢查顯示了非常小的變化如呈蒼白色等高級別貧血貌。另在一些病變,隨意對顯然是正常的黏膜活檢就可以發現淋巴瘤。高級別惡性淋巴瘤常表現為鮮紅色的潰瘍和腫塊性病變。內窺鏡下區分淋巴瘤和癌常常是不可能的。
病理組織學分類
(1)組織學分類:胃惡性淋巴瘤其細胞組成主要分為3型即淋巴肉瘤網織細胞肉瘤與霍奇金病。以淋巴肉瘤為最多見Gonnors報告74例胃原發性惡性淋巴瘤其中淋巴肉瘤41例,網織細胞肉瘤29例,霍奇金病4例
(2)免疫學分類(lukes and collins):根據T細胞和B細胞的免疫學特性,將惡性淋巴瘤分為U細胞型(非B非T細胞即未定型細胞)T細胞型B細胞型M細胞型(單核細胞組織細胞)這種分類有一定的套用價值可以清楚地識別大部分非霍奇金淋巴瘤屬B細胞型,大多數低度惡性的非霍奇金淋巴瘤也屬B細胞型;T細胞型多為高度惡性且具很強的侵犯性霍奇金病多屬此型;U細胞型則惡性程度更高對化療不敏感。
臨床分期
確定胃惡性淋巴瘤的臨床分期對於選擇治療方案及預測病人的預後有重要意義為準確地了解病變範圍腫瘤與周圍組織和器官的關係須作纖維胃鏡B超CT或MRI等檢查,以了解腫瘤對胃鄰近腹腔臟器及淋巴結等浸潤情況目前最普遍地採用Ann Ar-bor分期法或其他改良方法。
在ⅢE和Ⅳ期病變中,要區分原發性胃淋巴瘤與繼發性胃淋巴瘤往往是不可能的因為急性非霍奇金淋巴瘤病人胃部受侵犯的百分率相當高。
流行病學
胃惡性淋巴瘤原發性胃淋巴瘤具有某些地理特徵在中東國家、北非的阿拉伯人及猶太人較常見,但生活在歐洲的猶太人較少見在我國,以海南省的發病率最高。
原發性胃淋巴瘤的多發生於50~60歲年齡組,平均年齡為56歲男性多見,男女比例約為2∶1Burgess等報告的218例中男性148例女性70例;年齡12~83歲,有28例在40歲以下。
症狀體徵
上腹痛、上腹飽脹、食慾減退、消瘦、乏力、噁心、噯氣、返酸。嘔血、黑便,量多少。上腹部腫塊發現以及變化情況、發熱。家族中、貧血貌;淺表淋巴結腫大;上腹部壓痛,腫塊,注意腫塊部位、大小、形狀、質地、邊界、與附近臟器關係及活動度;肝、脾腫大;腹水征;振水音。
臨床表現
1.症狀 原發性胃淋巴瘤的症狀極似胃癌。
胃惡性淋巴瘤(1)腹痛:胃惡性淋巴瘤最常見的症狀是腹痛。腹痛發生率在90%以上。疼痛性質不定,自輕度不適到劇烈腹痛不等,甚而有因急腹症就診者。最多的是隱痛和脹痛進食可加重最初的印象一般是潰瘍病但制酸劑常不能緩解腹痛可能是惡性淋巴瘤原發性損傷周圍神經或腫大淋巴結壓迫所致。
(2)體重減輕:約占60%為腫瘤組織大量消耗營養物質和胃納差攝入減少所引起,重者可呈惡病質
(3)嘔吐:與腫瘤引起的不全幽門梗阻有關,以胃竇部和幽門前區病變較易發生。
(4)貧血:較胃癌更常見。有時可伴嘔血或黑便
2.體徵 上腹部觸痛和腹部包塊是最常見的體徵有轉移者可發生肝脾腫大少部分患者可無任何體徵。
診斷
病史
詳詢發病時間、病程、以往檢查結果及治療經過。有無上腹痛、疼痛性質和程度;有無上腹飽脹、食慾減退、消瘦、乏力、噁心、噯氣、返酸。有無嘔血、黑便,量多少。上腹部有無腫塊發現以及變化情況。有無發熱。家族中有無同類疾病發生。
體檢
注意全身營養情況,有無貧血貌;淺表淋巴結有無腫大;上腹部有無壓痛,有無腫塊,注意腫塊部位、大小、形狀、質地、邊界、與附近臟器關係及活動度;肝、脾是否腫大;有無腹水征;有無振水音。通常惡性淋巴瘤患者貧血或惡病質徵象不明顯,約1/4患者上腹部能觸及較大腫塊。
化驗檢查
查血常規,了解有無貧血及貧血程度;糞便隱血試驗是否陽性。
輔助檢查
(1)X線檢查:鋇餐檢查X線片上可見多個不規則充盈缺損,如“鵝卵石樣”改變;觀察胸部X線片可了解肺門、縱隔淋巴結是否腫大,有助於臨床分期。
(2)胃鏡及超聲胃鏡檢查:可發現黏膜下腫塊及其位置和大小,並可取組織活檢;表面有無糜爛、出血或壞死。超聲胃鏡可見侵犯深度及胃壁各層變化和了解胃周淋巴結和鄰近組織器官的情況。
(3)CT檢查:可進一步了解腫塊部位、範圍、大小、胃周圍淋巴結有無腫大以及鄰近臟器有無占位病變和肝、脾是否腫大。
鑑別診斷
胃淋巴瘤的臨床症狀常與胃癌或胃潰瘍相似須注意鑑別診斷。
1.胃癌 除病理以外,臨床上胃淋巴瘤與胃癌的鑑別確有一定的困難,但胃淋巴瘤的主要特點為:①平均發病年齡較胃癌輕;②病程較長而全身情況尚好;③梗阻、貧血和惡病質較少見;④腫瘤質地較軟,切面偏紅;⑤腫瘤表面黏膜完整或未完全破壞。
2.假性淋巴瘤 另外組織學上應注意與良性的假性淋巴瘤區別,二者的臨床症狀、X線表現均極為相似。在組織學上,淋巴網狀細胞的腫塊中呈現一混合的感染浸潤,成熟的淋巴細胞及其他各種感染細胞同時出現在濾泡組織內並且與普遍存在的瘢痕組織交錯混合在一起。仔細尋找真正的生髮中心有重要意義,常可藉此與淋巴細胞肉瘤區別。
檢查
實驗室檢查
組織病理學檢查及免疫組化檢查是本病診斷的主要依據。
1.大體形態 分為潰瘍型、多發性結節型息肉型和混合型與胃癌難以區別。晚期病例表現為巨大的腦回狀改變,類似肥大性胃炎。
2.組織學類型 大多數原發性胃淋巴瘤為非霍奇金淋巴瘤,B細胞性T細胞性淋巴瘤少見霍奇金病則屬罕見。
3.分化程度 原發性胃腸道B細胞性淋巴瘤以黏膜相關組織(MALT)淋巴瘤最為常見MALT淋巴瘤又分為低度惡性和高度惡性兩個亞型。
胃惡性淋巴瘤(1)B細胞性低度惡性MALT淋巴瘤:特點是:①腫瘤主要由中心細胞樣細胞(CLL)組成。腫瘤細胞中等偏小,核稍不規則,染色質較成熟,核仁不明顯很像小裂核細胞。②腫瘤細胞侵犯和破壞被覆上皮細胞和腺上皮細胞,形成黏膜上皮損害。③腫瘤內常見淋巴濾泡結構或反應性淋巴濾泡。腫瘤細胞浸潤固有膜、黏膜下層和肌層,並常累及腸系膜淋巴結。④免疫組化示:CD21CD35、CD20、bcl-2常陽性CD5、CD10為陰性。低度惡性的MALT淋巴瘤首先要與胃良性淋巴組織增殖相鑑別。良性淋巴組織增殖除成熟的淋巴細胞以外常混有其他炎症細胞;常出現具有生髮中心的淋巴濾泡;往往有纖維結締組織增生:許多病例有典型慢性胃潰瘍病變;局部淋巴結無淋巴瘤改變免疫組化顯示多克隆淋巴細胞成分。
(2)B細胞性高度惡性MALT淋巴瘤:在低度惡性MALT淋巴瘤內有較明顯的高度惡性轉化灶,表現為瘤細胞變大,核不規則增加和帶有核仁的轉化淋巴細胞樣細胞(中心母細胞)核分裂象多見或可見Reed-Stemberg樣細胞。
其它輔助檢查
原發性胃淋巴瘤由於較少見,其病史和症狀又缺乏特徵性,因此診斷頗為困難,一旦診斷明確時病變常已較大。原發性胃淋巴瘤患者從發病到診斷明確的時間通常較長,有文獻報告約50%的病人超過6個月約25%超過12個月。雖然診斷較困難,只要通過仔細的檢查和分析,還是有可能及時做出正確的診斷。目前胃淋巴瘤診斷的主要檢查方法有:
1.X線鋇劑檢查 是診斷胃淋巴瘤的主要方法。雖然X線檢查常不能提供明確的惡性淋巴瘤診斷但對於80%以上的胃部病變,可通過此項檢查而被診斷為惡性病變從而作進一步檢查。
胃惡性淋巴瘤在X線鋇劑檢查下的表現常常是非特異性的。常累及胃的大部分,且呈瀰漫型和浸潤型生長,多伴有潰瘍形成如X線所見中有多數不規則圓形的充盈缺損似鵝卵石樣改變則有較肯定的診斷價值。此外,若見到以下跡象也應考慮胃淋巴瘤可能:多發性惡性潰瘍;位於胃後壁、小彎側大而淺的潰瘍;充盈缺損或龕影周圍出現十分肥大的黏膜皺襞;胃壁增厚僵硬,但蠕動尚能通過;腫塊較大胃外形變化不明顯亦不引起梗阻;腫瘤擴展越過幽門累及十二指腸。
2.纖維內鏡檢查 為了在術前明確淋巴瘤的診斷,纖維胃鏡檢查被越來越廣泛地套用。胃鏡所觀察到的胃淋巴瘤的大體類型常與胃癌相似因而不易從這些腫瘤的大體表現作出診斷,確診仍須依靠活組織檢查。如果是黏膜下病變就難於從黏膜下方的腫瘤獲得陽性的組織標本,故其活檢的陽性率常不如胃癌高。胃鏡下可見胃惡性淋巴瘤有黏膜皺襞肥大及水腫或多發性表淺的潰瘍,須與肥厚性胃炎及凹陷性早期胃癌相鑑別有時某些潰瘍型的惡性淋巴瘤可暫時癒合而與胃潰瘍病難以區別。如惡性淋巴瘤表現為潰瘍性病變,則可通過直視下的細胞刷法或直接鉗取腫瘤組織作活檢獲得確診。
3.超聲內鏡檢查(endoscopic ultrasongraphy) 通過超聲內鏡可清楚顯示胃壁各層組織,從而可見胃淋巴瘤之浸潤情況該技術對上消化道惡性腫瘤之檢查可達83%的敏感率及87%的陽性率。同時可明確胃周淋巴結轉移情況。
4.灰階超聲和CT檢查 可見胃壁呈結節狀增厚可確定病變的部位範圍以及對治療的反應。表現為腹部腫塊的胃淋巴瘤,超聲檢查可助診斷。
治療方案
綜述
原發性胃淋巴瘤的手術切除率和術後5年生存率均優於胃癌並且對放射治療和化學治療均有良好的反應故對原發性胃淋巴瘤應採用以手術切除為主的綜合治療。
由於原發性胃淋巴瘤缺乏特異性臨床徵象術前診斷和術中判斷的正確率較低主要通過手術探查時活檢明確診斷,並按病變大小及擴展範圍確定其臨床分期以進一步選擇合理的適當的治療方案。
手術治療
手術原則基本上與胃癌相似。大多數學者對切除胃淋巴瘤的原發病灶持積極態度。
對於ⅠE和Ⅱ1E期的病變因病灶較局限以手術治療為主儘可能地根治性切除原發病灶及鄰近的區域淋巴結術後輔以化療或放療達到治癒的目的Ⅱ2EⅢE及Ⅳ期的病人則以聯合化療與放療為主若患者情況許可,應儘可能切除原發病灶,以提高術後化療或放療的效果,並可避免由此引起的出血或穿孔等併發症。
胃淋巴瘤的胃切除範圍應根據病變大小、部位大體形態特徵而定一般對局限於胃壁的息肉或結節狀腫塊行胃次全切除術。有時局限的淋巴瘤的邊界可能難於辨認因此需要術中將切除標本的遠端和近端邊緣作冰凍切片檢查,如活檢有腫瘤則需作更廣泛的切除若腫瘤浸潤或擴展範圍過廣,邊界不清或胃壁內有多個病灶時,應行全胃切除術。對於術前或術中懷疑惡性淋巴瘤時即使瘤體較大或周圍有粘連也不應該輕易放棄手術,可在術中做活組織檢查,如確係惡性淋巴瘤則應力爭切除因不僅在技術上是可能的,而且常可獲得較好的療效。甚至腫瘤較大須作全胃切除的術後5年生存率仍可達50%。
胃惡性淋巴瘤可引起較嚴重的併發症如梗阻出血及穿孔等若不能根治切除也應爭取作姑息性切除;對不能根治病例的姑息性切除成功率約為50%。姑息性切除術不但有助於防止或解除併發症而且其殘留的轉移瘤有自然消退的可能亦有報告在姑息性切除術後輔以放療部分病例仍可獲長期生存,因此對胃惡性淋巴瘤的姑息切除手術應較胃癌更為積極對已不能施行姑息切除的病例術中可將腫瘤定位後,予以術後放療也常獲得一定的療效。淋巴結清除範圍:淋巴結轉移是胃淋巴瘤的主要轉移途徑約占50%。因此在根治手術中應注意對應區域淋巴結的清除。
放射治療
鑒於淋巴瘤對放射的敏感性,通常將放療作為手術切除後的輔助治療或作為對晚期病變不能切除時的治療。關於手術後放射治療的價值,人們意見不一有些作者主張放射治療只限於不能切除的病變及術後殘留或復發的腫瘤。而另一些作者則堅持認為不論腫瘤或淋巴結轉移與否都應接受術後放射治療,理由是外科醫生術中不可能正確估計淋巴結有無轉移或淋巴結轉移的程度。總之放療成功的前提是需要精確的病灶定位及分期。一般照射劑量為40~45Gy腫瘤侵犯的鄰近區域照射劑量為30~40Gy。
化學治療
原發性胃淋巴瘤有別於胃癌其化療之敏感性已眾所周知化學治療可作為術後輔助治療的一種手段,以進一步鞏固和提高療效通常對惡性淋巴瘤採用聯合化療的方法較常用且有效的聯合化療有MOPP、COPP及CHOP等方案近年來,臨床或臨床實驗性治療所啟用的聯合化療方案亦相當多除MOPP等方案外,主要有ABVD、CVB、SCABVABCDM-BACOD等據報導均獲較高的5年生存率。
化療前,應在全面了解分析疾病的病理類型、臨床分期病變的侵犯範圍及全身狀況等基礎上制訂一個合理的治療方案以增加療效,延長緩解期和無瘤生存期。
(1)MOPP方案:
氮芥6mg/m2及長春新鹼1.4mg/m2第1,8天靜脈給藥。
丙卡巴肼(甲基苄肼)100mg/m2及潑尼松(強的松)40mg/m2第1~14天每天口服給藥。
每28天為一個周期,連用6個周期以上。潑尼松(強的松)僅在第135周期給予
胃惡性淋巴瘤(2)COPP方案:
環磷醯胺650mg/m2及長春新鹼1.4mg/m2靜脈給藥第18天
丙卡巴肼(甲基苄肼)100mg/m2及潑尼松(強的松)30mg/m2口服連續14天。
每28天為一個周期共6個周期
(3)CHOP方案:
環磷醯胺500mg/m2、多柔比星(阿黴素)40mg/m2及長春新鹼1.4mg/m2第1天靜脈給藥;潑尼松(強的松)30mg/m2第1~5天口服
每21天為一個周期,共6個周期
用藥安全
1、均發病年齡為43歲左右,男性多於女性;
2、胃惡性淋巴瘤預後與腫瘤大小、浸潤範圍、腫瘤組織類型以及治療方式有關。胃霍奇金病及T細胞性淋巴瘤惡性程度較高,呈中、高度惡性,預後較差。而胃B細胞性惡性淋巴瘤多呈低度惡性,預後較好。
預後
胃惡性淋巴瘤的預後與腫瘤的臨床分期(即具體包括腫瘤的大小浸潤範圍淋巴結轉移程度有無遠處轉移)、腫瘤的病理組織類型以及治療方式等有關。
通常,腫瘤的臨床分期與預後的關係較腫瘤的組織類型更為密切ⅠE期病人的5年生存率在75%以上,ⅡE期為50%左右ⅢE期約31%IV期約27%。
胃惡性淋巴瘤體積的大小與預後也有關,腫瘤直徑為5~8cm者有80%可治癒瘤體越大,治癒率就越低直徑大於12cm者僅37%治癒率。
儘管有報告認為胃惡性淋巴瘤有淋巴轉移者手術後的5年生存率可達40%~50%,但一般認為以無淋巴轉移的療效顯著其5年生存率較有淋巴轉移者約高2倍。

