疾病原因
嗜酸性粒細胞性胃腸炎細菌圖嗜酸性粒細胞性胃腸炎是一種原因不明的疾病,其特徵為胃腸道有瀰漫或局限性嗜酸粒細胞浸潤,常同時伴有周圍血的嗜酸粒細胞增多症。
本病的病因不清楚,少數病人有哮喘、食物過敏或有變應性疾病的家族史,但大部分病人並無過敏性病史。內窺鏡檢查可見嗜酸粒細胞在胃腸道浸潤甚廣,可從咽部至直腸,其中以胃和小腸最多見,按浸潤範圍可分為局限型和瀰漫型。
局限型以胃竇部最多見,肉眼所見為堅實或橡皮樣、平滑、無蒂或有蒂的息肉狀腫塊,突入腔內可導致幽門梗阻。本型多見於40~60歲的病人,男女均可發病,表現為較急性的上腹部痙攣性疼痛、噁心、嘔吐,可伴腹瀉。過敏史不明確。
瀰漫型往往僅引起黏膜水腫、充血、增厚,偶見淺表潰瘍和糜爛。腸道病變多為瀰漫型,受累腸壁水腫、增厚、漿膜面失去光澤、有纖維滲出物覆蓋。多見於30~50歲,男多於女,表現為上腹部痙攣性疼痛,伴噁心、嘔吐。發作無規律性,可能與某些食物有關,用抗酸解痙劑不能緩解。黏膜受累嚴重者,可導致嘔血、黑糞、腹瀉、吸收不良、腸道蛋白質丟失、缺鐵及體重下降等。肌層受累明顯者,可引起腸梗阻。漿膜受累者,可導致含有大量嗜酸性粒細胞的腹水或胸水。約半數患者伴有其他過敏性疾病,如濕疹、哮喘、過敏性鼻炎等。80%的病例有胃腸道症狀,病程可長達數十年。
本病缺乏臨床特異性表現,是一種自限性變態反應性疾病,雖可多次反覆發作,但預後良好,未見有惡變者。
病理改變
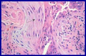
嗜酸性粒細胞性胃腸炎--病理嗜酸性粒細胞性胃腸炎在胃腸道浸潤甚廣,可從咽部至直腸,其中以胃和小腸最多見。按浸潤範圍可分為局限或瀰漫型。局限型以胃竇部最多見,肉眼所見為堅實或橡皮樣、平滑、無蒂或有蒂的息肉狀腫塊,突入腔內可導致幽門梗阻。彌溫型往往僅引起黏膜水腫、充血、增厚,偶見淺表潰瘍和糜爛。腸道病變多為彌溫型,受累腸壁水腫、增厚、漿膜面失去光澤、有纖維滲出物覆蓋。
組織學特點包括:
2、基質有大量嗜酸粒細胞和淋巴細胞浸潤,可同時伴有巨噬細胞、巨細胞或組織細胞浸潤;
3、黏膜下血管、淋巴管、肌層、漿膜和腸系膜淋巴結均可受累,伴有黏膜潰瘍與有蒂或無蒂的肉芽腫。嗜酸粒細胞浸潤可僅局限於胃腸壁,亦可呈穿壁性。
klein根據嗜酸粒細胞浸潤胃腸壁的程度分為:1.黏膜病變型:黏膜內大量嗜酸粒細胞浸潤,伴明顯的上皮細胞異常,腸絨毛可完全消失,導致失血、缺鐵、吸收不良和蛋白丟失等;2.肌層病變型:浸潤以肌層為主,胃腸壁增厚,呈結節狀,導致狹窄與梗阻塞;3.漿膜病變型:浸潤以漿膜為主,漿膜增厚,並可累及腸系膜淋巴結,有腹水形成。
臨床表現

本病缺乏特異的臨床表現,症狀與病變的部位和浸潤程度有關,一般分為兩型。
(一)彌溫型多見於30-50歲,男性略多於女性。病程可長達數十年。80%病人有胃腸道症狀,主要表現為上腹部痙攣性疼痛,伴惡性、嘔吐、發熱,發作無明顯規律性,可能與某些食物有關,用抗酸解痙劑不能緩解,但可自行緩解。
1、嗜酸性粒細胞性胃腸炎浸潤以黏膜為主者多出現上消化道出血、腹瀉、吸收不良、腸道蛋白丟失、低蛋白血症、缺鐵性貧血及體重減輕等。約50%的患者有哮喘或過敏性鼻炎,濕疹或蕁麻疹。糞便潛血試驗陽性,可有夏科雷登結晶。80%患者外周血嗜酸粒細胞增高。血清蛋白降低,D-木糖耐量試驗異常。X線胃腸鋇餐檢查正常或顯示黏膜水腫征。內鏡檢查可見黏膜充血、水腫或糜爛。活檢有嗜酸粒細胞浸潤。
2、嗜酸性粒細胞性胃腸炎浸潤以肌層為主引起胃、小腸壁顯著增厚、僵硬。患者往往出現幽門梗阻或小腸不完全性梗阻的症狀及體徵。X線胃腸鋇餐檢查顯示幽門狹窄,蠕動減少或胃竇多個息肉樣充盈缺損。診斷靠胃、小腸活檢可見廣泛成熟的嗜酸性粒粒細胞浸潤到黏膜下,並通過肌層向漿膜層延伸。
3、嗜酸性粒細胞性胃腸炎浸潤以漿膜下層為主者常可發生腹水或胸水,其中含大量嗜酸性粒細胞。剖腹探查常見小腸漿膜增厚及嗜酸性粒細胞浸潤。胃漿膜病變也可見到類似改變。
(二)局限型多見於40~60歲,男女發病率無明顯差別。主要症狀為上腹部痙攣性疼痛、噁心、嘔吐,起病較急,病程較短。患者過敏史不明顯,外周血象僅少數有嗜酸粒細胞增多。X線胃腸鋇餐造影可顯示胃竇增厚、僵硬、胃竇部狹窄,可有光滑圓形或卵圓形及分葉狀充盈缺損,類似腫瘤。內鏡檢查見有息肉樣腫塊,黏膜充血、水腫,易誤診為腫瘤或克隆病。少組織檢查可見大量嗜酸性粒細胞浸潤。
疾病診斷
嗜酸性粒細胞性胃腸炎診斷主要根據臨床表現、血象、放射學和內鏡加病理檢查結果進行診斷。
1、Talley標準
(1)存在胃腸道症狀。
(2)活檢病理顯示從食管到結腸的胃腸道有1個或1個以上部位的嗜酸性粒細胞浸潤,或有放射學結腸異常伴周圍嗜酸性粒細胞增多。
(3)除外寄生蟲感染和胃腸道以外嗜酸性粒細胞增多的疾病,如結締組織病、嗜酸性粒細胞增多症、克羅恩病、淋巴瘤、原發性澱粉樣變性Menetrieri 病等。
2、Leinbach標準
(1)進食特殊食物後出現胃腸道症狀和體徵。
(2)外周血嗜酸性粒細胞增多。
(3)組織學證明胃腸道有嗜酸性粒細胞增多或浸潤。
鑑別診斷
反流性食管炎影像1、消化不良,嗜酸性粒細胞性胃腸炎病人可有腹痛、噁心、嘔吐、腹脹等消化不良症狀,但常缺乏特異性,對於以消化不良為表現的病人要與消化性潰瘍、反流性食管炎、胃癌、慢性胰炎等鑑別。
2、腸梗阻,肌層型常可發生腸梗阻,要注意除外胃腸腫瘤和腸道血管性疾病等。
3、腹水,多見於漿膜型嗜酸粒細胞性胃腸炎。腹水常規和生化檢查,腹水CEA 檢測,腹水病理檢查有助於疾病的診斷。
4、嗜酸性粒細胞增多症,是一種病因未明的全身性疾病,它也可累及胃腸道。60%累及肝臟、14%累及胃腸道,瀰漫性嗜酸粒細胞性胃腸炎除胃腸道外,常有50%累及胃腸道外的器官。
5、腸道寄生蟲感染,可引起各種非特異性消化道系統症狀,同時出現外周血嗜酸性粒細胞增多。反覆檢查糞便蟲卵可以鑑別。
6、變態反應性疾病,支氣管哮喘、過敏性鼻炎、蕁麻疹,除可有外周血嗜酸性粒細胞增高外,各有其臨床表現。
7、嗜酸性肉芽腫,主要發生在胃、大小腸,呈局限性包塊,外周血嗜酸性粒細胞一般不升高,病理學特點為嗜酸性肉芽腫混於結締組織基質中。
8、風濕性疾病,各種血管炎,如變態反應性肉芽腫病(Churg-Strauss 綜合徵)和結節性多動脈炎,其他結締組織病如硬皮病、皮肌炎和多發性肌炎可累及胃腸道,出現腹痛、消化不良等症狀,可出現不同程度的外周血嗜酸性粒細胞增多。小腸黏膜活檢有助於鑑別診斷。
疾病檢查
實驗室檢查實驗室檢查
1、血液檢查,80%的病人有外周血嗜酸性粒細胞增多,黏膜和黏膜下層病變和肌層病變為主的病人(1~2)×109/L,漿細胞病變為主時,可達8×109/L。還可有缺鐵性貧血,血清白蛋白降低,血IgE增高,血沉增快。
2、糞便檢查,酸細胞性胃腸炎糞便檢查的意義是除外腸道寄生蟲感染,有的可見到夏科-雷登(Charcot-Leyden)結晶,便常規檢查潛血呈陽性,有些病人有輕中度脂肪瀉。Cr 標記白蛋白增加,α-抗胰蛋白酶清除率增加,D-木糖吸收試驗異常。
其他輔助檢查:
1、X線檢查,嗜酸細胞性胃腸炎缺乏特異性,X線鋇餐可見黏膜水腫,皺襞增寬,呈結節樣充盈缺損,胃腸壁增厚,腔狹窄及梗阻。
2、CT檢查,可發現胃腸壁增厚,腸系膜淋巴結腫大或腹水。
3、內鏡及活檢,適用於黏膜和黏膜下層病變為主的嗜酸細胞性胃腸炎。鏡下可見黏膜皺襞粗大、充血、水腫、潰瘍或結節,活檢從病理上證實有大量嗜酸粒細胞浸潤,對確診有價值。但活檢組織對於肌層和漿膜層受累為主的病人價值不大,有時需經手術病理證實。
4、腹腔穿刺,腹水病人必須行診斷性腹腔穿刺,腹水為滲出性,內含大量嗜酸性粒細胞,必須做腹水塗片染色,以區別嗜酸性粒細胞和中性粒細胞。
5、腹腔鏡檢查,腹腔鏡下缺乏特異性表現,輕者僅有腹膜充血,重者可類似於腹膜轉移癌。腹腔鏡檢查的意義在於進行腹腔黏膜組織活檢,得到病理診斷。
6、手術探察,對於懷疑嗜酸細胞性胃腸炎一般不行剖腹探查術來證實,但當有腸梗阻或幽門梗阻或懷疑腫瘤時才進行手術。
治療方法
內科治療本病的治療原則是去除過敏原,抑制變態反應和穩定肥大細胞,達到緩解症狀,清除病變。
(一)內科治療
1、飲食的控制
對於確定的或可疑的過敏食物或藥物應立即停止使用。沒有食物和藥物過敏史者,可採取序貫法逐個排除可能引起致敏的食物,諸如牛奶(特別在兒童)、蛋類、肉類、海蝦、麥膠製品以及敏感的藥物。許多病人在從飲食中排除有關致病食物或藥物後,腹部疼痛和腹瀉迅速改善,特別是以黏膜病變為主的病人,效果更明顯。雖然飲食控制不一定能治癒本病,但一般在制定治療方案時,總應把飲食控制作為基本措施,而首先套用。
2、糖皮質激素的套用
激素對本病有良好療效,多數病例在用藥後1~2周內症狀即改善,表現為腹部痙攣性疼痛迅速消除,腹瀉減輕和消失,外周血嗜酸性粒細胞降至正常水平。以腹水為主要表現的漿膜型患者在激素套用後7-10天腹水完全消失。遠期療效也甚好。個別病例激素治療不能完全消除症狀,加用硫唑嘌呤常用良好療效(每日 50-100mg)。一般套用強的松20-40mg/d,口服,連用7-14天作為一療程。也可套用相當劑量的地塞米松。
3、色甘酸二鈉的套用
色甘酸二鈉(色甘酸鈉)系肥大細胞穩定劑,可穩定肥大細胞膜,抑制其脫顆粒反應,防止組織胺、慢反應物質和緩激肽等介質的釋放而發揮其抗過敏作用。 1988年Moots報告一例強的松治療失敗的患者套用色甘酸二鈉治療,取得良好效果。方法是100mg,每日4次口服。10天后症狀漸好轉,一個月後完全緩解,血中嗜酸性粒細胞由71%降至4%,10周后完全康復,體重增加10kg。Di-Gioacchino報告2例每日服1200mg色甘酸二鈉,治療4~5月後症狀消失,炎症消退,外周血嗜酸性粒細胞完全恢復正常。
色甘酸二鈉的用法為40-60mg,每日3次。也有用至800-1200mg/d。療程從6周至5月不等。對糖皮質激素治療無效或產生了較為嚴重的副反應者可改用色甘酸二鈉治療,作為前者的替代藥物。
(二)手術治療
病變局限以肌層浸潤為主的患者,常有幽門梗阻或小腸梗阻,可考慮行胃次全切除或腸段切除或胃腸吻合術。術後如仍有症狀或嗜酸粒細胞升高者,尚可套用小劑量強的松,5mg或2.5mg/d口服,維持治療一段時間。
